医影在线

标题: CT25347:男,60岁,反复咳、痰、喘3月,加重3天。诊断??? [打印本页]

作者: 地球上的    时间: 2010-3-26 06:25
标题: CT25347:男,60岁,反复咳、痰、喘3月,加重3天。诊断???
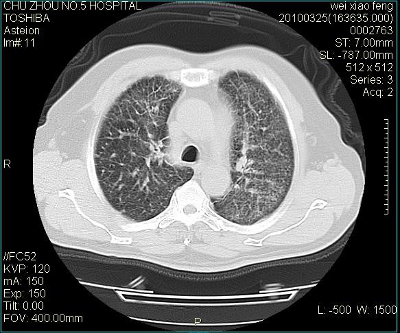
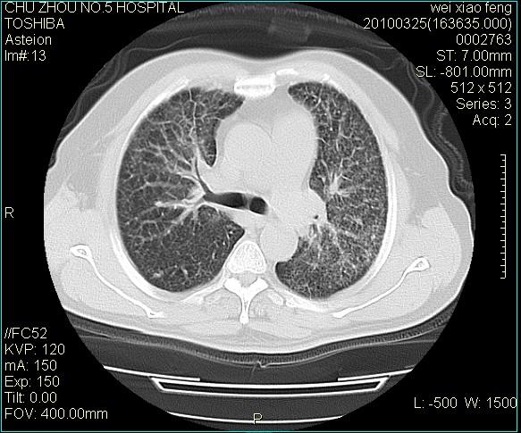
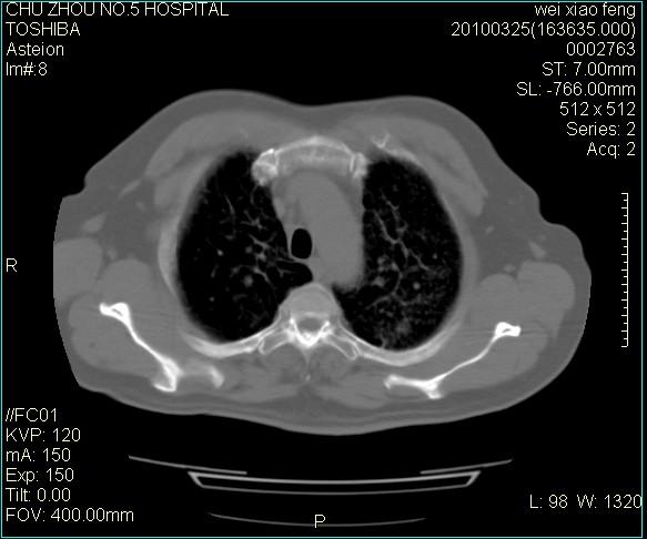
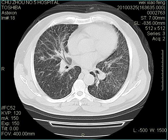
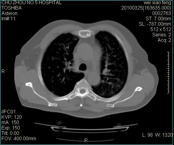
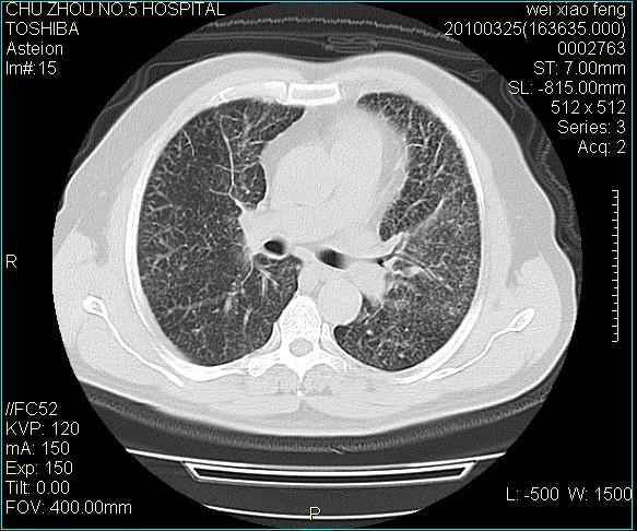
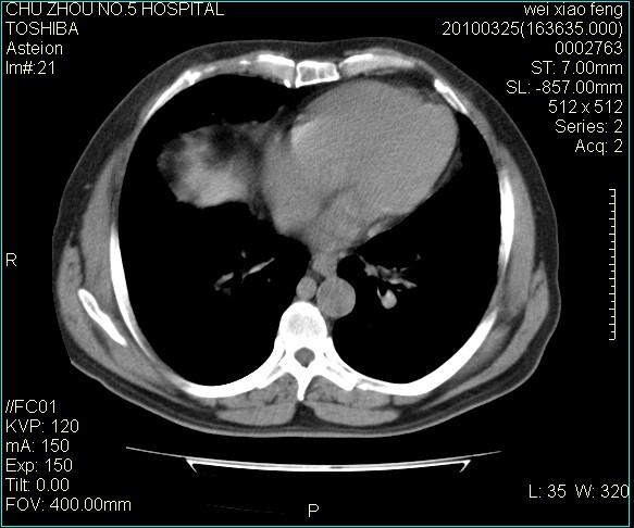
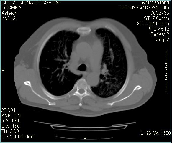
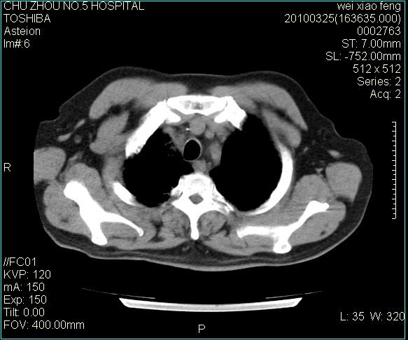
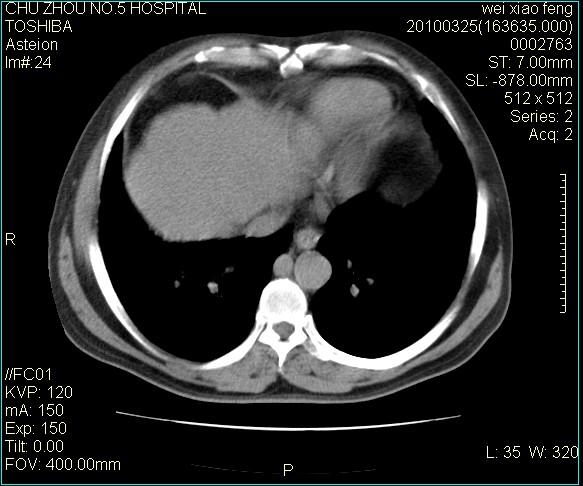
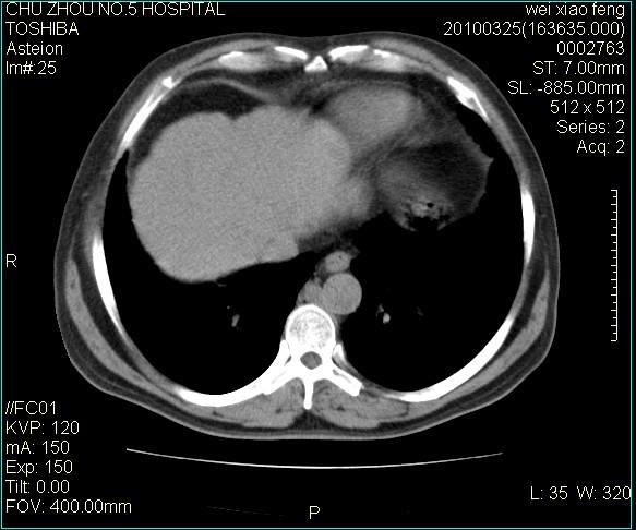
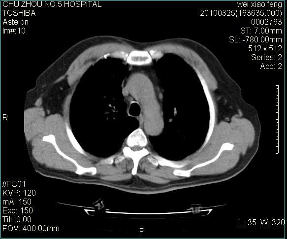
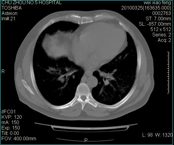
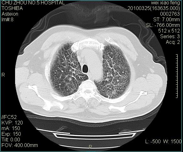
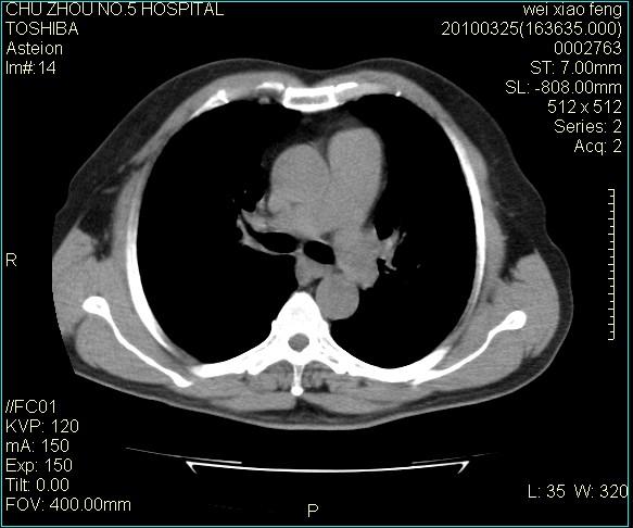
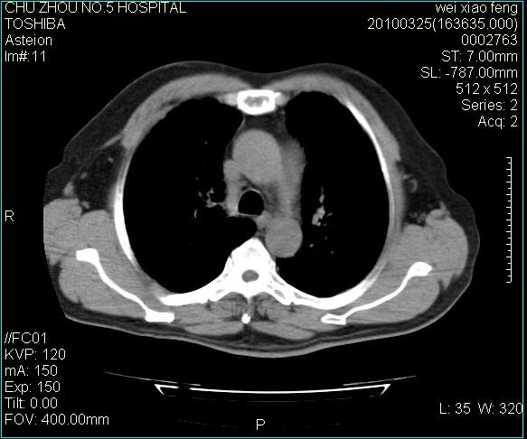
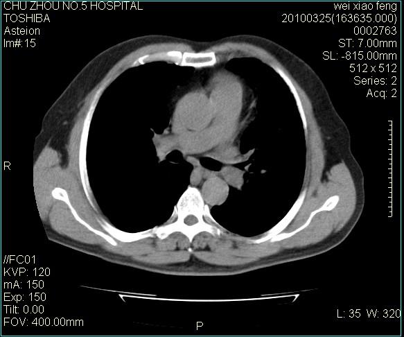
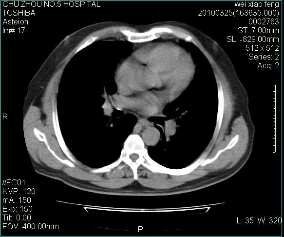
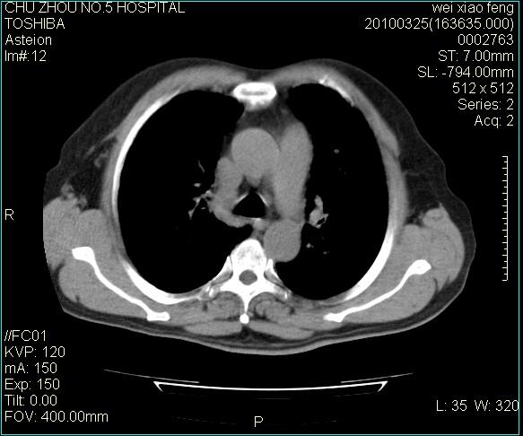
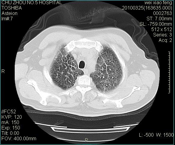
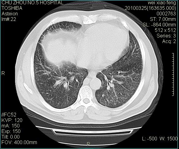
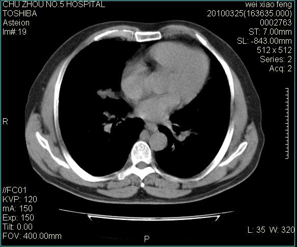
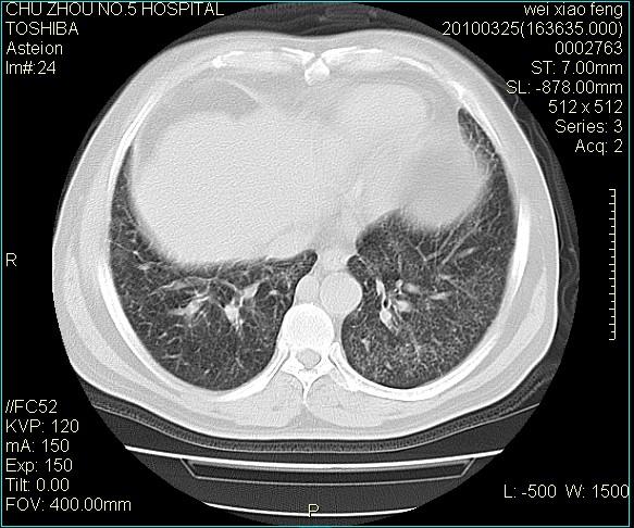
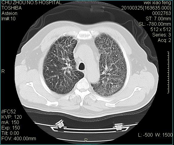
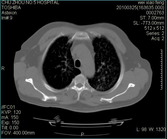
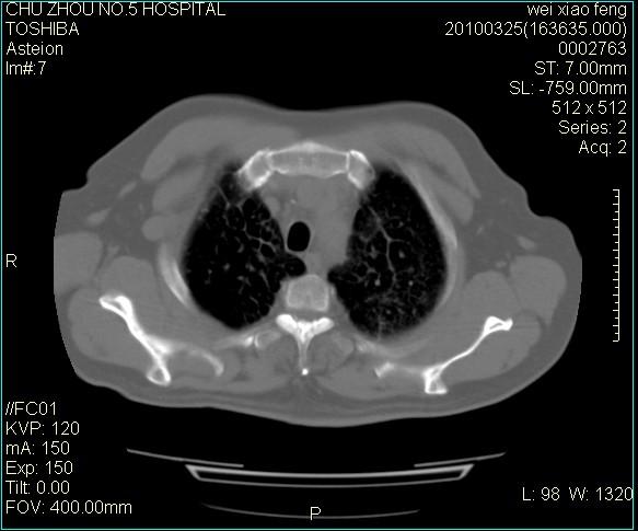
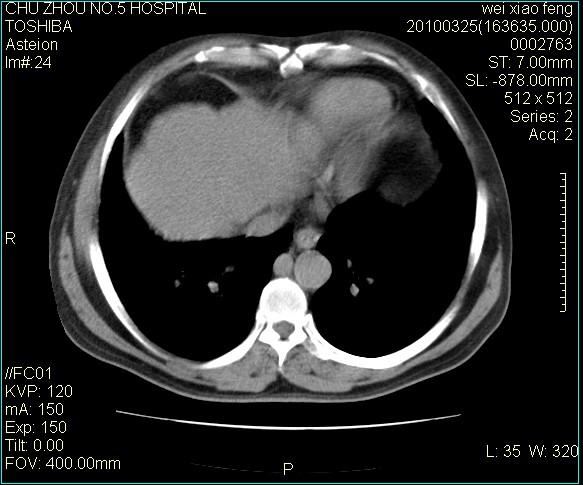
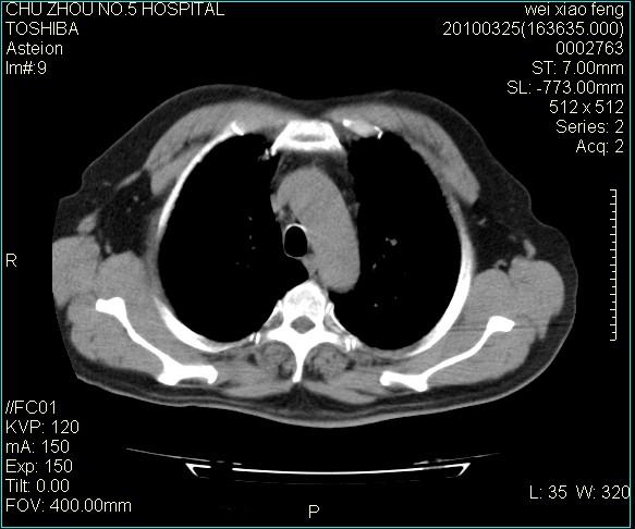
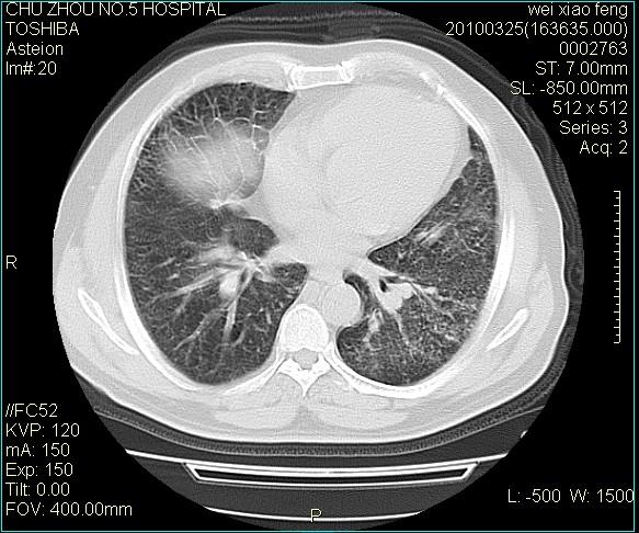
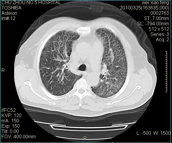
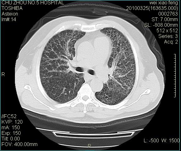
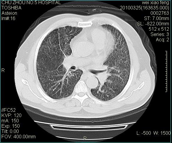
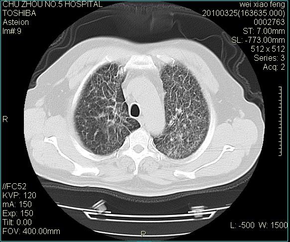
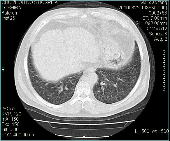
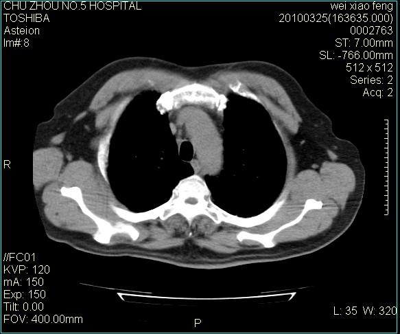
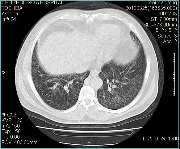
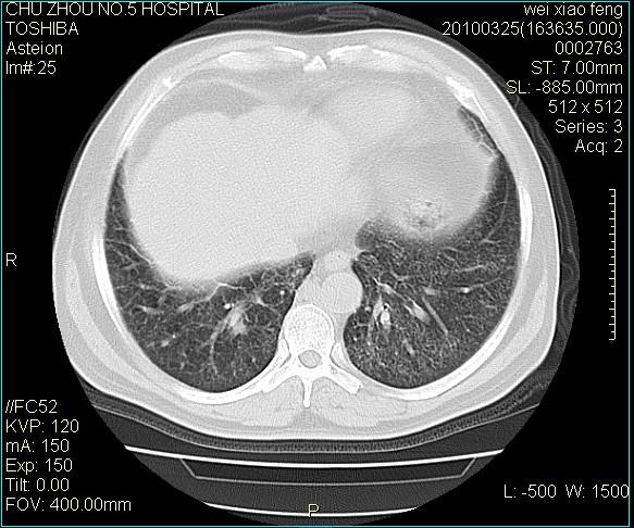
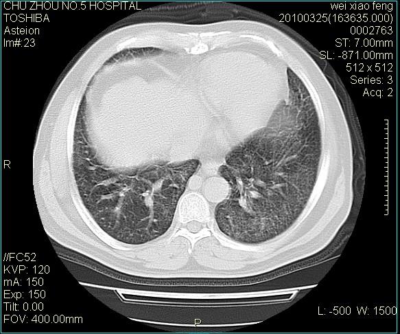
男,60岁,反复咳、痰、喘3月,加重3天。

































































[本贴已被 翁志蓬 于 2010-3-26 1:21:08 修改过]

作者: 光线    时间: 2010-3-26 07:25
双肺间质性改变。
建议职业病鉴定。
作者: 地球上的    时间: 2010-3-26 07:44
追问病史:此病人无职业病接触史,无发热、盗汗,咳白痰,曾经有过咯血。
作者: wxn112233    时间: 2010-3-26 07:45
转移不除外,
作者: linyiming    时间: 2010-3-26 10:07
考虑双肺血型潘散肺结核/
作者: 卜一    时间: 2010-3-26 12:39
间质性肺炎伴间质纤维化!不排除伴有职业病!
作者: 赵物学    时间: 2010-3-26 14:02
标题: 回复:ct25347:男,60岁,反复咳、痰、喘3月,加重3天。诊断
以下是引用卜一在2010-3-26 4:39:00的发言:[br]间质性肺炎伴间质纤维化!不排除伴有职业病!

支持
作者: yuhongjun    时间: 2010-3-26 14:12
急性血型潘散肺结核。
作者: yangyudong333    时间: 2010-3-26 14:26
急性血型潘散肺结核。
作者: muzi888    时间: 2010-3-26 16:22
双肺间质纤维化,双肺血型潘散肺结核。
作者: 深泽交通    时间: 2010-3-26 16:33
考虑尘肺
作者: zxl51642    时间: 2010-3-26 18:04
uip
作者: 网事随风    时间: 2010-3-26 18:53
心功能怎么样?感觉象肺淤血。
作者: 随光逐影    时间: 2010-3-26 19:10
考虑间质性肺炎伴间质纤维化。
作者: jgr    时间: 2010-3-26 19:36
支持6楼意见
作者: 科室第一人    时间: 2010-3-26 20:26
肺泡癌不除外
作者: wangyihuan33    时间: 2010-3-26 22:55
血播?
作者: SHY0520    时间: 2010-3-27 02:23
间质病变,间质炎症,间质纤维化趋势
作者: shuiyuan    时间: 2010-3-27 05:34
右肺中叶结节影为原发灶,考虑右肺中叶周围型肺癌并淋巴道转移
作者: jiazi    时间: 2010-3-27 06:36
间质性肺炎
作者: 黑白光影    时间: 2010-3-27 21:44
标题: 回复:ct25347:男,60岁,反复咳、痰、喘3月,加重3天。诊断
以下是引用卜一在2010-3-26 4:39:00的发言:[br]间质性肺炎伴间质纤维化!不排除伴有职业病!





欢迎光临 医影在线 (http://bbs.radida.com/bbs/) Powered by Discuz! X3.2