医影在线

标题: X7031:老片子,好东西(踝关节) [打印本页]

作者: andy_wang    时间: 2010-3-26 07:35
标题: X7031:老片子,好东西(踝关节)
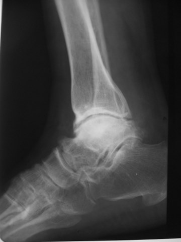
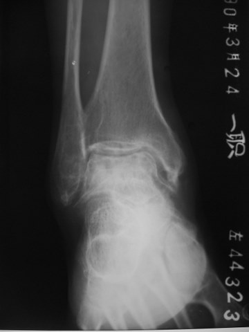
最近翻出一张刚上班时收藏的病例,男性,55岁,左踝部疼痛数年,加重2月余,正侧位片示:距骨塌陷变扁,密度增高,其内密度不均匀,关节面硬化毛糙,间隙变窄,跟骨短缩,诊断:踝关节改变符合大骨节病。



[本贴已被 jiajie 于 2010-3-26 22:19:09 修改过]

作者: linyiming    时间: 2010-3-26 07:50
距骨塌陷变扁,密度增高,其内密度不均匀,关节面硬化毛糙,间隙变窄,考虑退行性骨关节病。
作者: yuhongjun    时间: 2010-3-26 13:53
谢谢分享。
作者: yangyudong333    时间: 2010-3-26 15:18
谢谢分享。
作者: fanxinyu    时间: 2010-3-26 17:26
谢谢分享。
作者: zxl51642    时间: 2010-3-26 17:32
谢谢分享,但需流行病学支持。
作者: muzi888    时间: 2010-3-26 17:47
支持大骨节病并退变!
作者: 随光逐影    时间: 2010-3-26 18:37
感谢楼主提供共享。
作者: xshq371    时间: 2010-3-26 18:44
符合大骨节病改变。
作者: 赵物学    时间: 2010-3-26 20:07
大骨节病啊学过一次不过不熟悉,谢谢
作者: 黑白光影    时间: 2010-3-26 21:21
谢谢分享。
作者: jiahui7z    时间: 2010-3-27 03:03
谢谢分享。
作者: 老爱克斯    时间: 2010-3-27 03:28
距骨扁,跟骨短,典型大骨节病。
作者: scdlc2008    时间: 2010-3-27 03:29
谢谢
作者: 拾荒者    时间: 2010-3-27 04:49
谢谢分享!
作者: luoxinjun    时间: 2010-3-27 06:20
谢谢分享
作者: yongbest    时间: 2010-3-27 06:32
3q
作者: shibing    时间: 2010-3-27 07:45
难道不考虑缺血坏死
作者: gjj6818    时间: 2010-3-27 17:24
大骨节病与别的骨关节病比较重要的区别是跟骨会有病变,但这个跟骨好像无异常,不太支持大骨节病,需流行病学支持。
作者: zhanggenliang    时间: 2010-3-27 23:09
谢谢分享。不过还需流行病学支持
作者: 拂晓    时间: 2010-3-27 23:15
标题: 回复:x7031:老片子,好东西(踝关节)
以下是引用随光逐影在2010-3-26 10:37:00的发言:[br]感谢楼主提供共享。

作者: 黄玉龙    时间: 2010-3-28 01:05
谢谢支持
作者: whmy    时间: 2010-3-28 21:12
大骨节病与别的骨关节病比较重要的区别是跟骨会有病变,但这个跟骨好像无异常,不太支持大骨节病,需流行病学支持。
作者: 谨言慎行    时间: 2010-3-29 00:26
谢谢分享
作者: 观影朔征    时间: 2010-3-29 04:19
支持考虑大骨节病
作者: andy_wang    时间: 2010-4-11 03:20
这是我们这的地方病,很常见,西北地区,渭北,咸阳地区(永寿、麟游、礼泉等)都是高发区,跟骨外形变短,足弓略扁平,距骨改变是大骨节病成人型的典型表现,诊断上结合病人的居住史、饮水水质等不难做出诊断。




欢迎光临 医影在线 (http://bbs.radida.com/bbs/) Powered by Discuz! X3.2