医影在线

标题: CT25349:看看这个肺部病例? [打印本页]

作者: 新竹平易    时间: 2010-3-26 17:02
标题: CT25349:看看这个肺部病例?
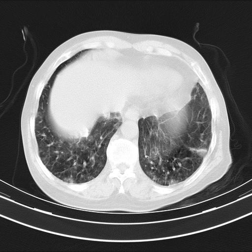
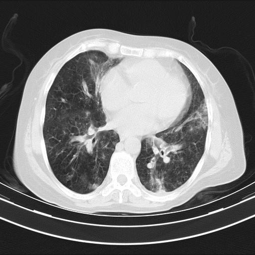
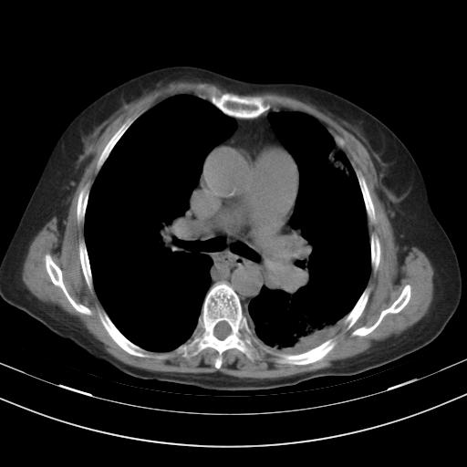
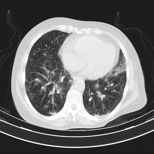
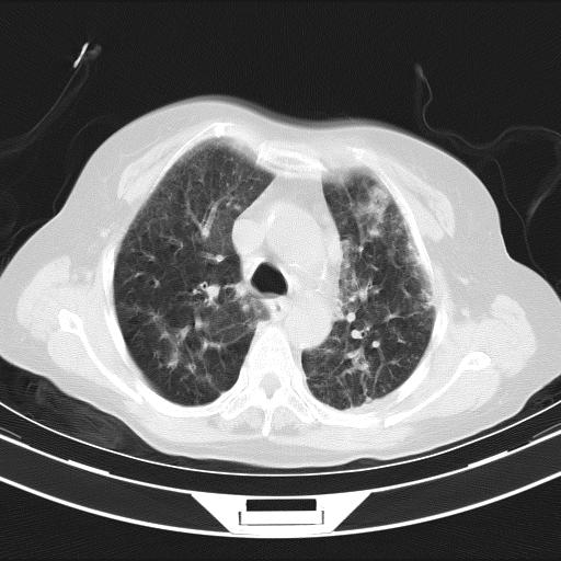
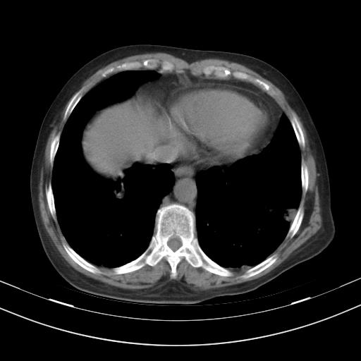
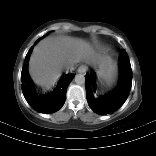
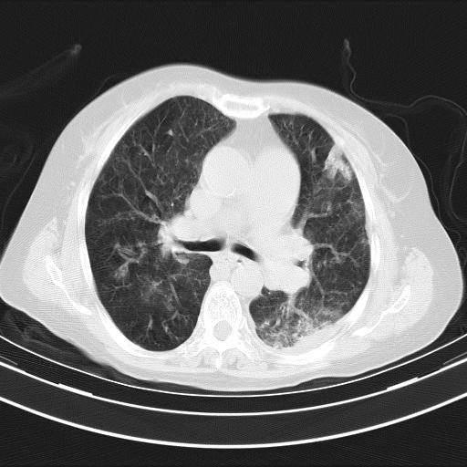
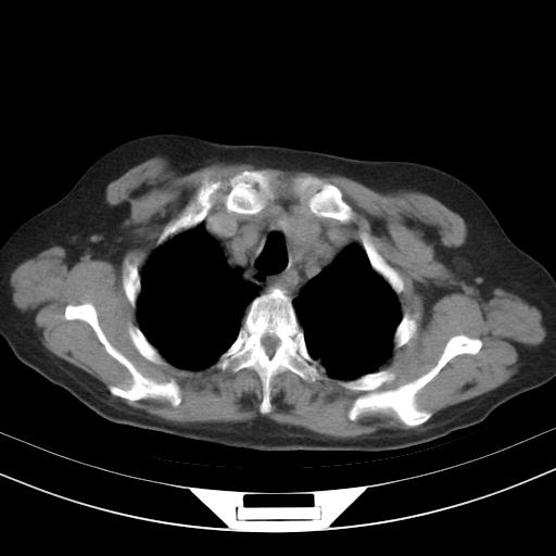
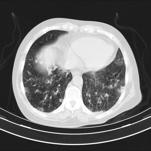
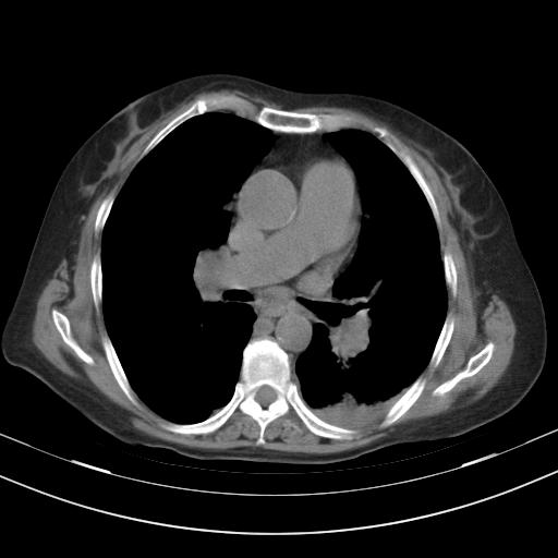
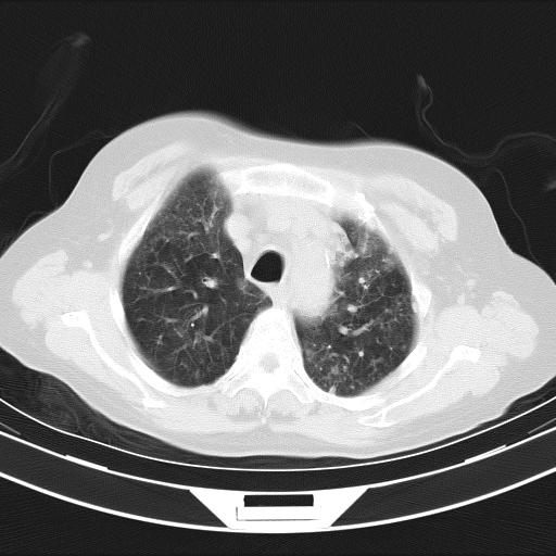
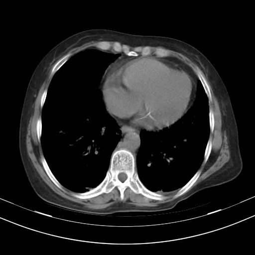
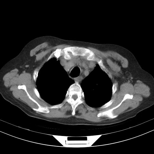
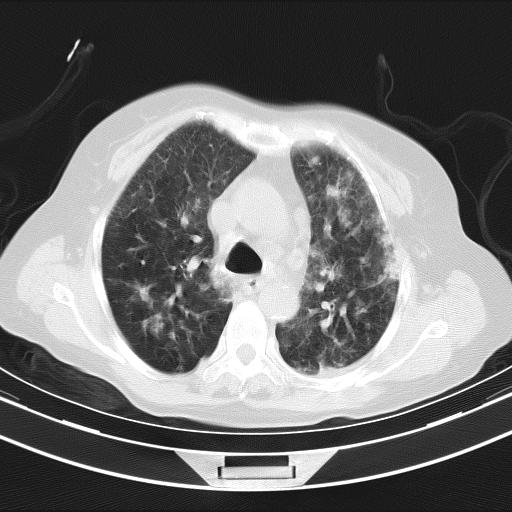
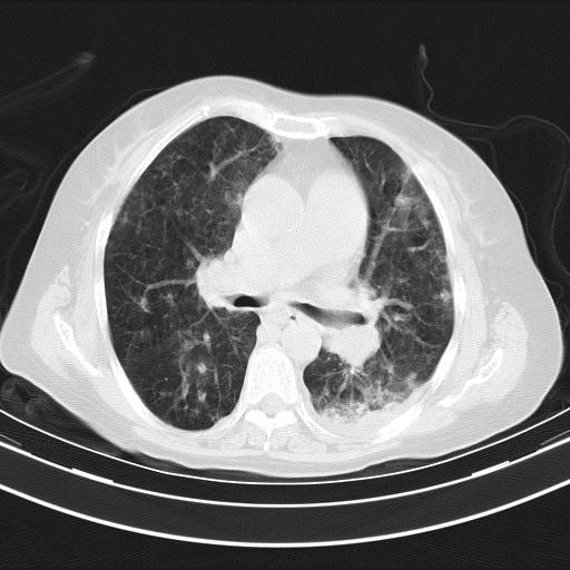
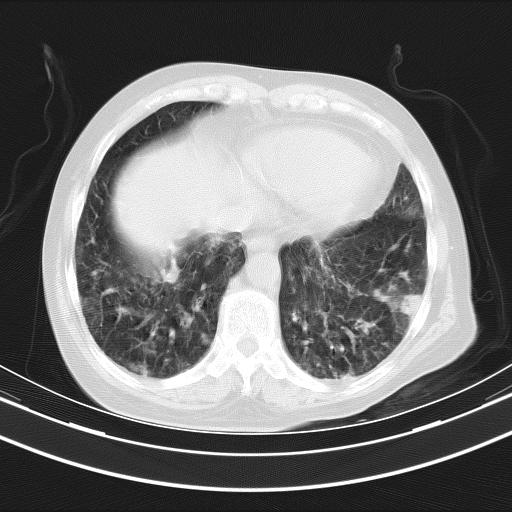
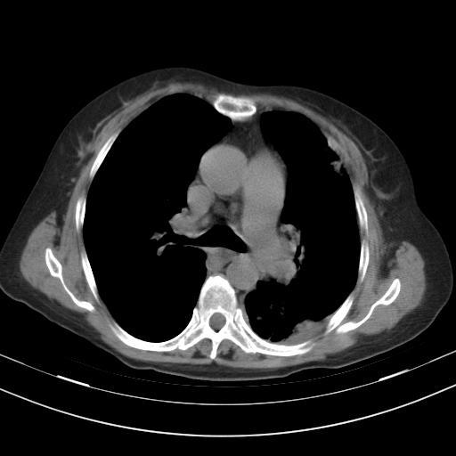
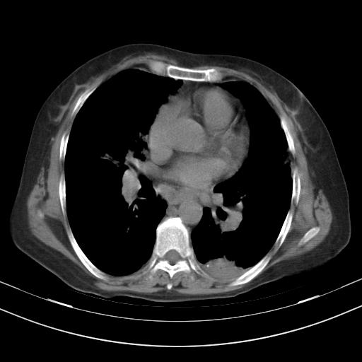
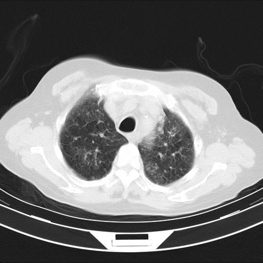
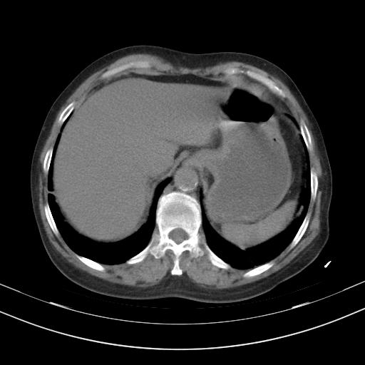
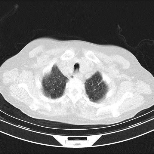
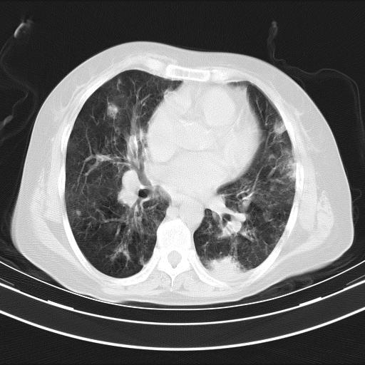
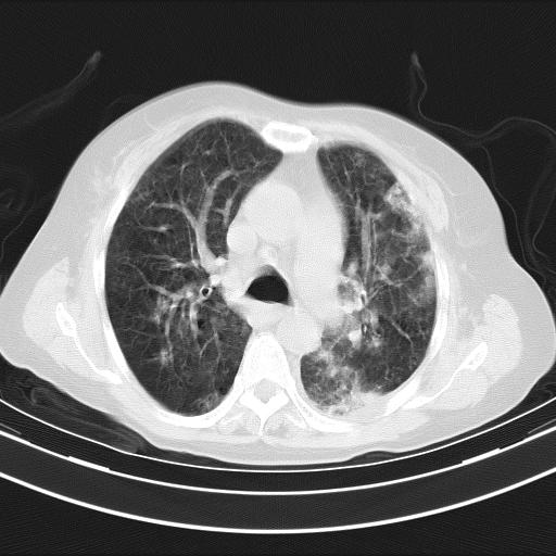
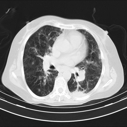
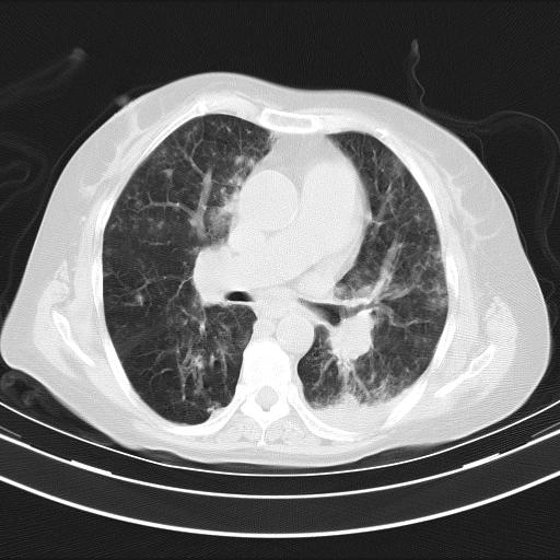
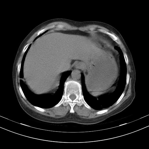
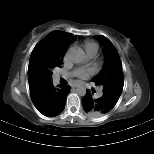
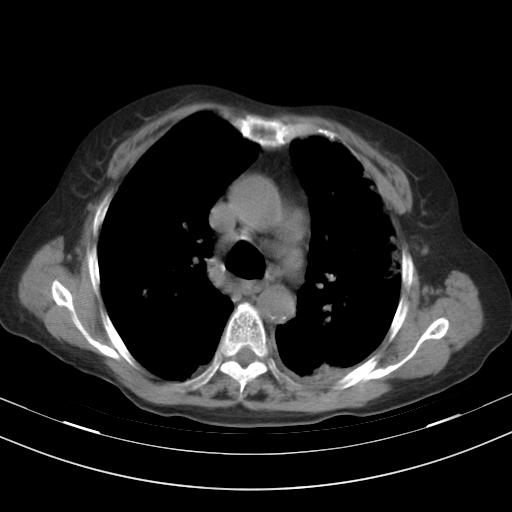
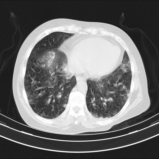
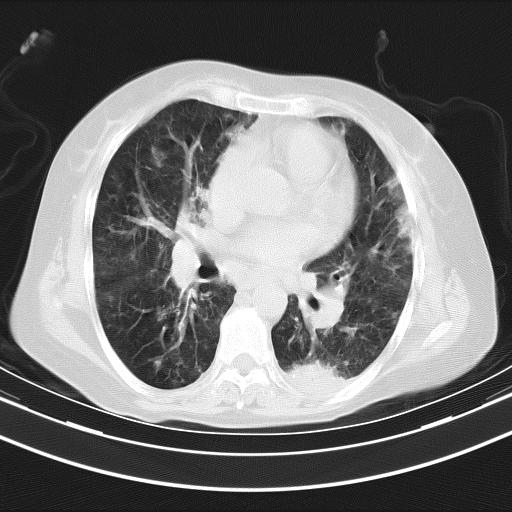
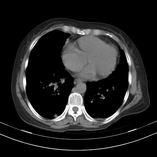
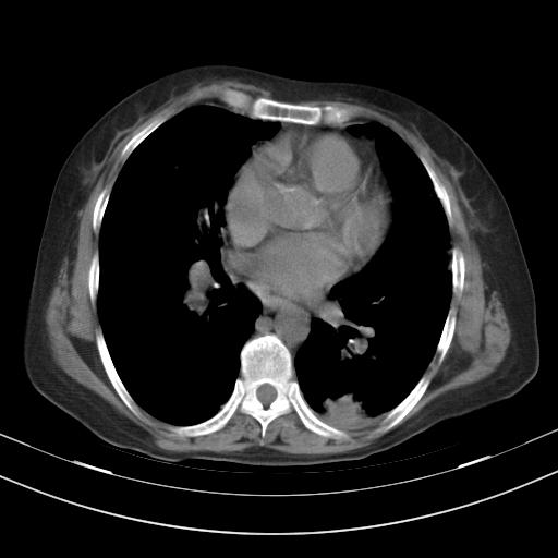
老年女性,嗜睡3天,意识模糊。轻咳,无发热。













































































[本贴已被 jiajie 于 2010-3-26 22:09:42 修改过]

作者: 科室第一人    时间: 2010-3-26 17:30
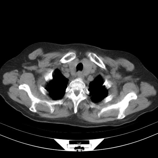
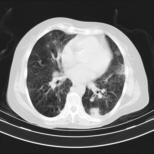
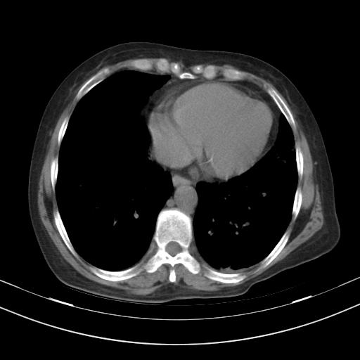
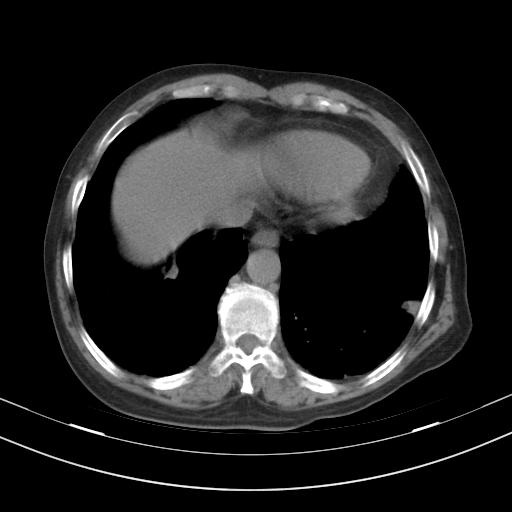
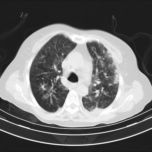
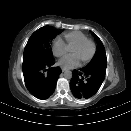
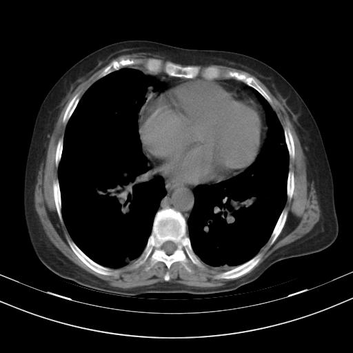
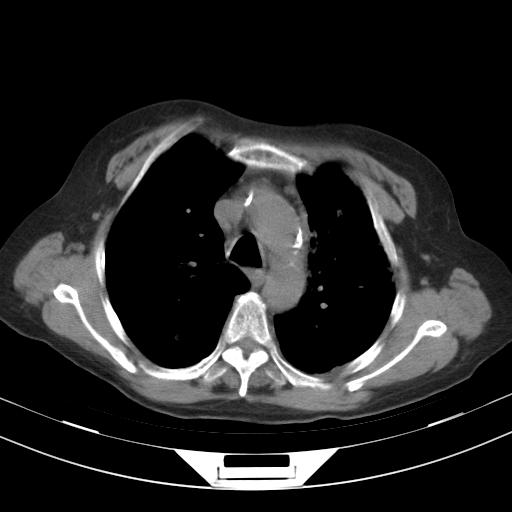
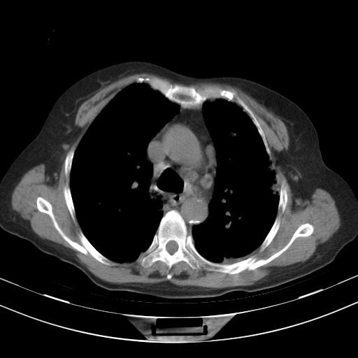
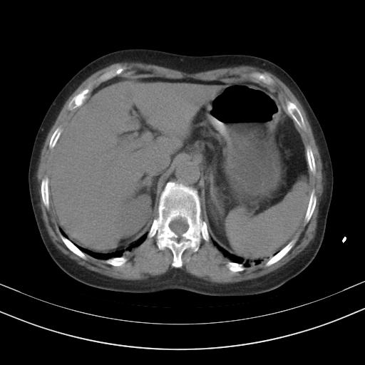
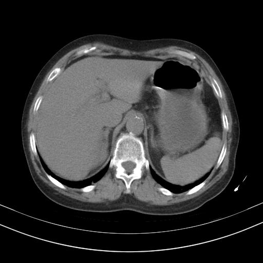
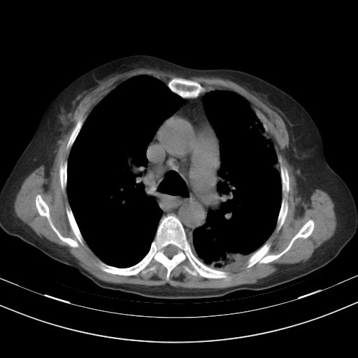
两肺慢支炎伴感染,左侧胸腔积液。纵膈及双侧肺门淋巴结肿大建议复查。
作者: zxl51642    时间: 2010-3-26 18:23
标题: 回复:看看这个肺部病例?
以下是引用科室第一人在2010-3-26 9:30:00的发言:[br]两肺慢支炎伴感染,左侧胸腔积液。纵膈及双侧肺门淋巴结肿大建议复查。

作者: 赵物学    时间: 2010-3-26 19:58
标题: 回复:看看这个肺部病例?
以下是引用科室第一人在2010-3-26 9:30:00的发言:[br]两肺慢支炎伴感染,左侧胸腔积液。纵膈及双侧肺门淋巴结肿大建议复查。

复查一定要复查
作者: ct诊断高手    时间: 2010-3-26 20:35
支持
作者: 苦作舟    时间: 2010-3-26 23:46
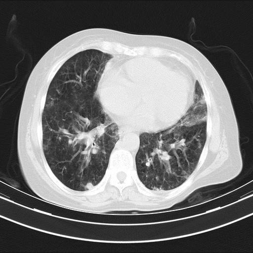
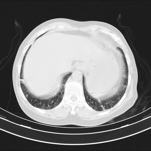
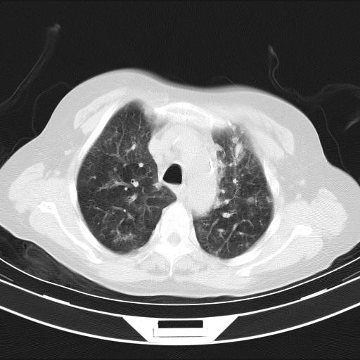
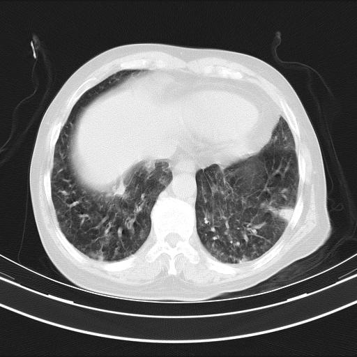
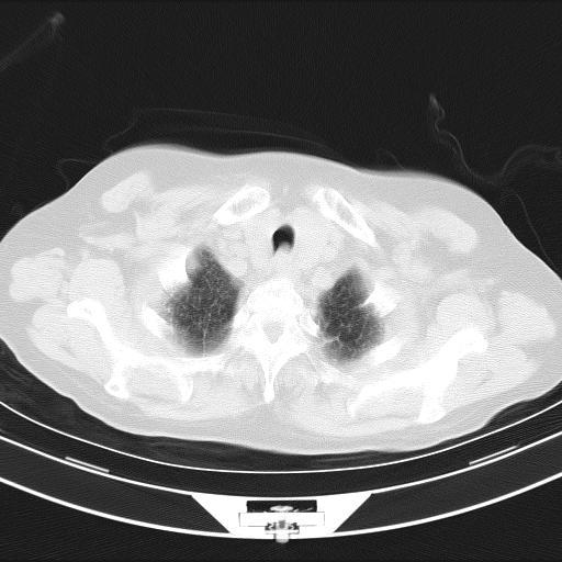
双肺多发淡片影,毛玻璃影,,支持支气管肺炎,,建议血气找原因,,嗜睡是否肺性脑病?有没有慢支病史?
作者: 唐坚    时间: 2010-3-27 01:25
甲流?
作者: shuiyuan    时间: 2010-3-27 05:54
双肺炎症,建议抗炎治疗后复查,见过几个老年肺炎病例,没有发烧、咳嗽症状,直接以昏迷就诊。
作者: yangyudong333    时间: 2010-3-27 13:46
两肺慢支炎伴感染,左侧胸腔积液。纵膈及双侧肺门淋巴结肿大建议复查。
作者: 随光逐影    时间: 2010-3-27 16:06
1)两肺感染性病变;建议抗炎治疗后复查。2)纵隔淋巴结肿大。3)左侧胸腔积液。
作者: 黑白光影    时间: 2010-3-27 21:50
1)两肺感染性病变;建议抗炎治疗后复查。2)纵隔淋巴结肿大。3)左侧胸腔积液。
作者: mary-zhou    时间: 2010-3-31 07:45
1)先考虑两肺感染性病变;建议抗炎治疗后复查。
2)纵隔淋巴结肿大。
3)左侧胸腔积液。




欢迎光临 医影在线 (http://bbs.radida.com/bbs/) Powered by Discuz! X3.2