医影在线

标题: PED3157:左肾缺如,请教脾脏的改变?、、 [打印本页]

作者: 新竹平易    时间: 2010-3-26 17:04
标题: PED3157:左肾缺如,请教脾脏的改变?、、
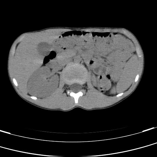
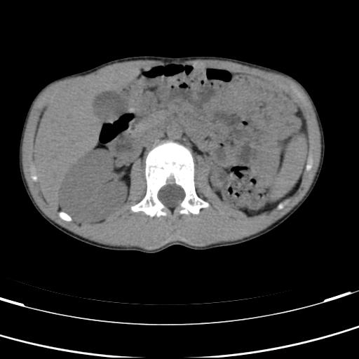
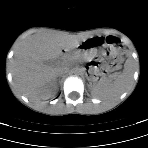
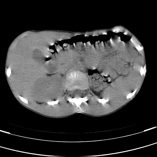
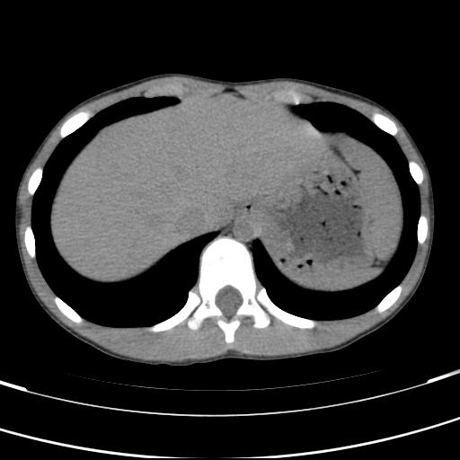
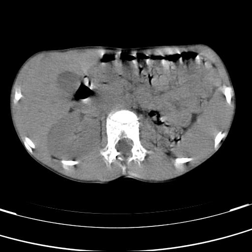
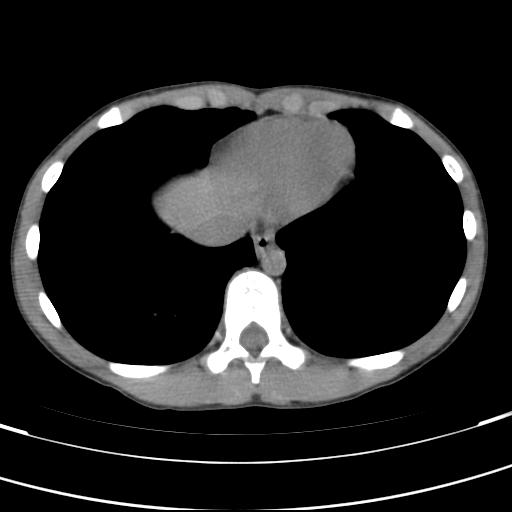
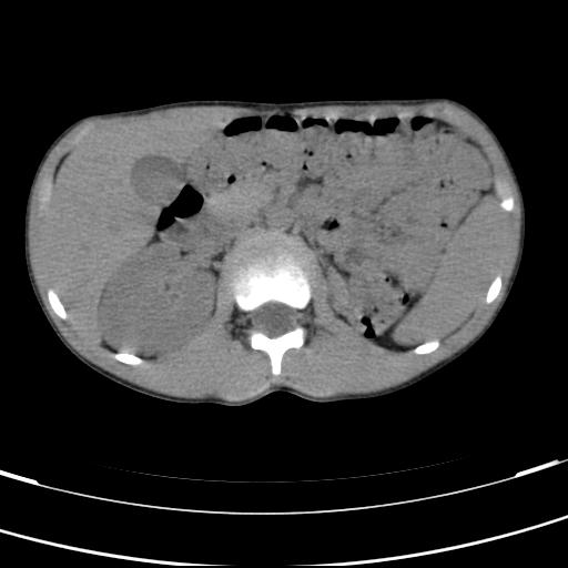
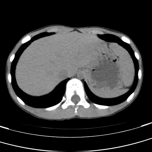
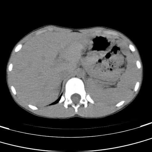
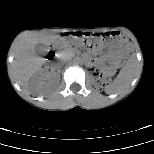
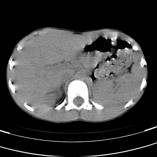
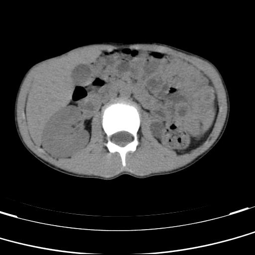
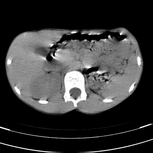
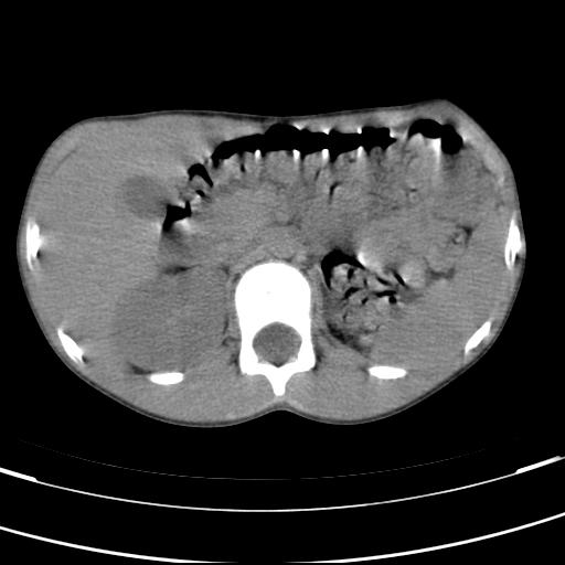
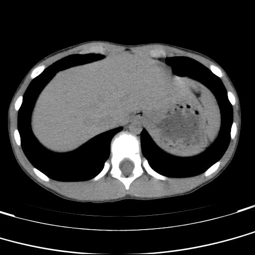
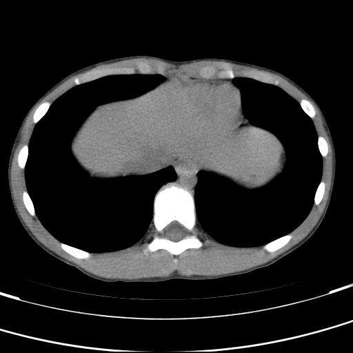
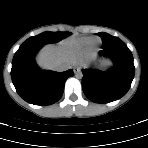
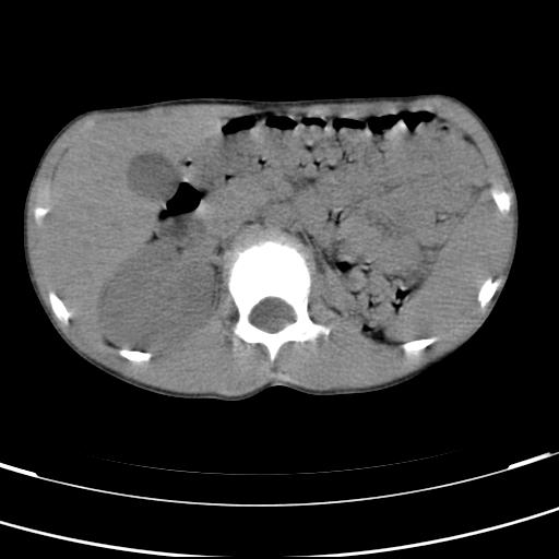
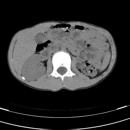
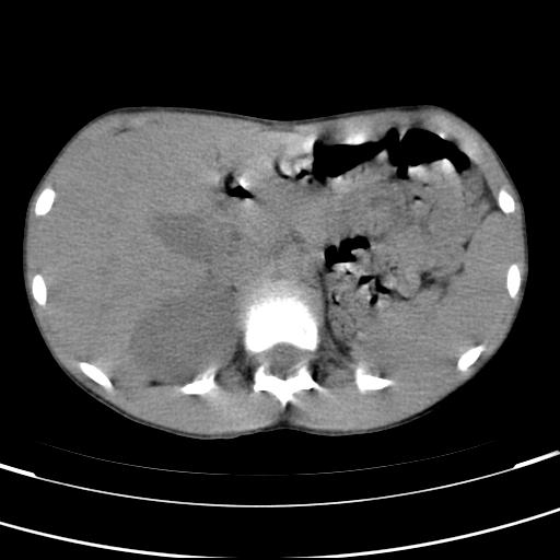
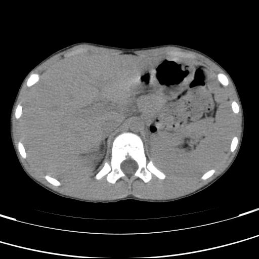
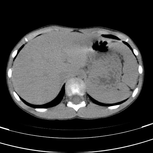
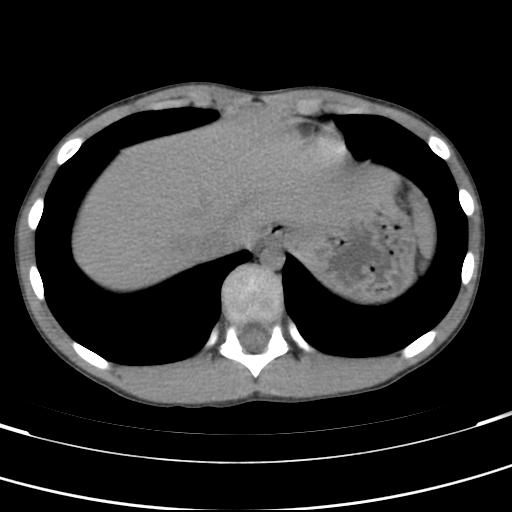
男孩,9岁。胃部不适。



































[本贴已被 jiajie 于 2010-3-26 22:45:22 修改过]

作者: 联众之王    时间: 2010-3-26 18:09
左肾发育不良
作者: zxl51642    时间: 2010-3-26 18:21
脾脏变异,左肾未见,游走、异位、发育不全都要可能,增强或ivp造影。
作者: 随光逐影    时间: 2010-3-26 19:16
支持3楼意见。
作者: jgr    时间: 2010-3-26 19:35
支持3楼意见
作者: 深泽交通    时间: 2010-3-26 19:42
支持
作者: 赵物学    时间: 2010-3-26 19:56
标题: 回复:左肾缺如,请教脾脏的改变?、、
以下是引用zxl51642在2010-3-26 10:21:00的发言:[br]脾脏变异,左肾未见,游走、异位、发育不全都要可能,增强或ivp造影。

支持
作者: ct诊断高手    时间: 2010-3-26 20:40
支持3楼意见。
作者: 子期    时间: 2010-3-27 06:46
脾脏位于左侧,但数个脾脏呈分离状态,左肾缺如,右肾代偿肥大。考虑多脾综合征。
作者: yangyudong333    时间: 2010-3-27 13:57
脾脏变异,左肾未见,游走、异位、发育不全都要可能,增强或ivp造影。
作者: 拾荒者    时间: 2010-3-28 05:40
同意三楼意见,符合多脾综合症。
作者: dyqct    时间: 2010-3-30 03:16
支持3楼意见。
作者: muzi888    时间: 2010-3-31 18:26
脾脏变异,左肾未见,游走、异位、发育不全都要可能,增强或ivp造影。支持!
作者: sunbin    时间: 2010-4-1 05:31
脾脏变异,左肾未见,异位、游走、发育不全都有可能,建议增强或ivp。




欢迎光临 医影在线 (http://bbs.radida.com/bbs/) Powered by Discuz! X3.2