医影在线

标题: CT25393:病人45岁,咳嗽,吐黄痰带血丝,发热,胸闷月余 [打印本页]

作者: wly491109    时间: 2010-3-29 20:34
标题: CT25393:病人45岁,咳嗽,吐黄痰带血丝,发热,胸闷月余


























































































[本贴已被 jiajie 于 2010-3-29 18:18:52 修改过]

作者: wly491109    时间: 2010-3-29 20:47
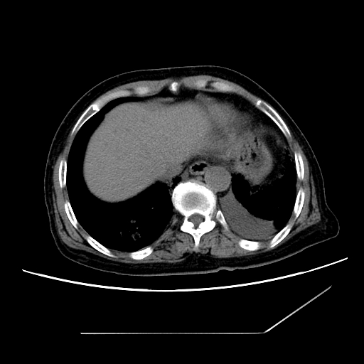
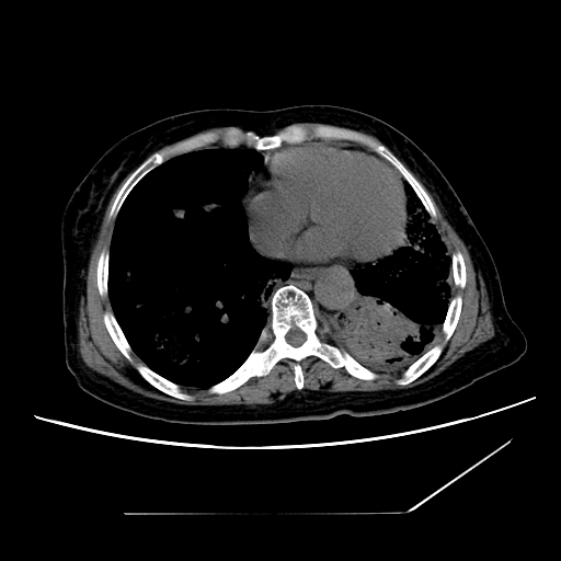
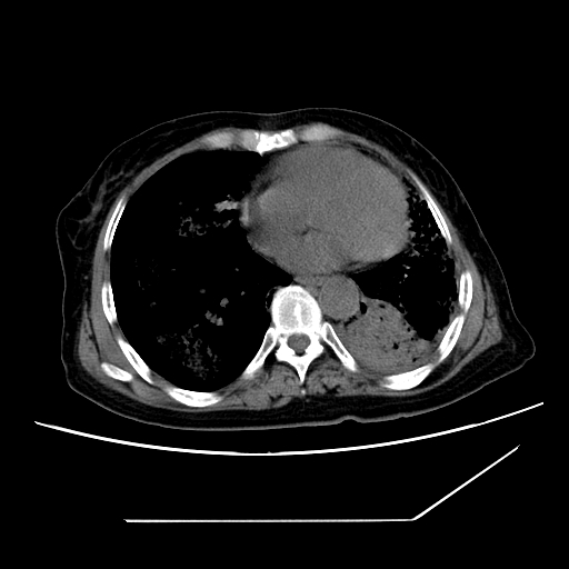
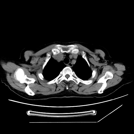
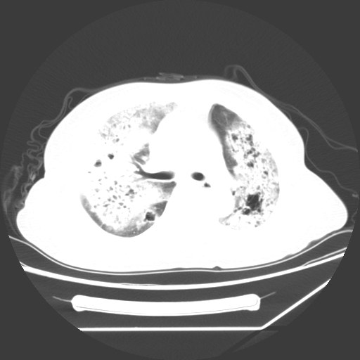
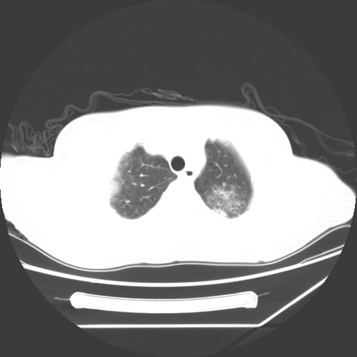
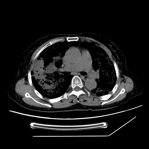
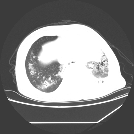
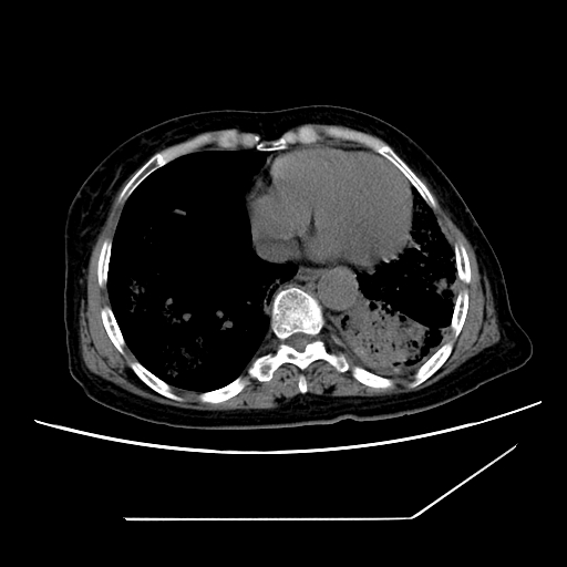
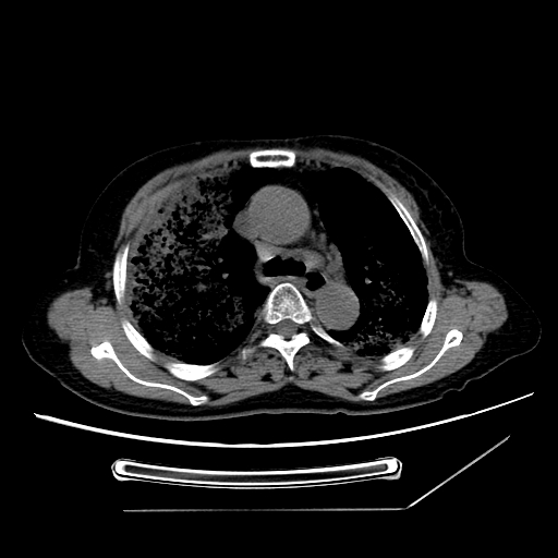
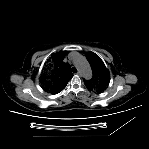
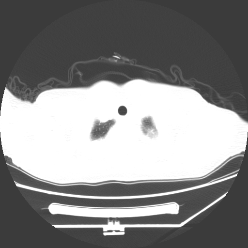
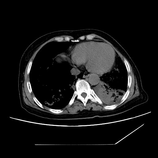
请大家分析一下,有病理结果
作者: 学者~『风    时间: 2010-3-29 20:56
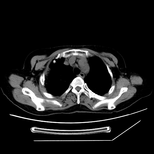
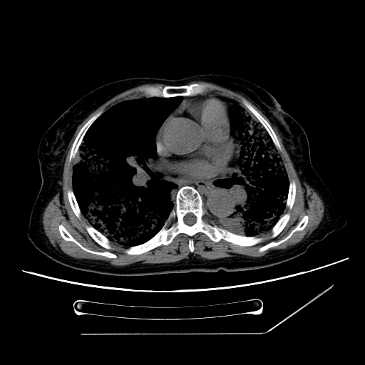
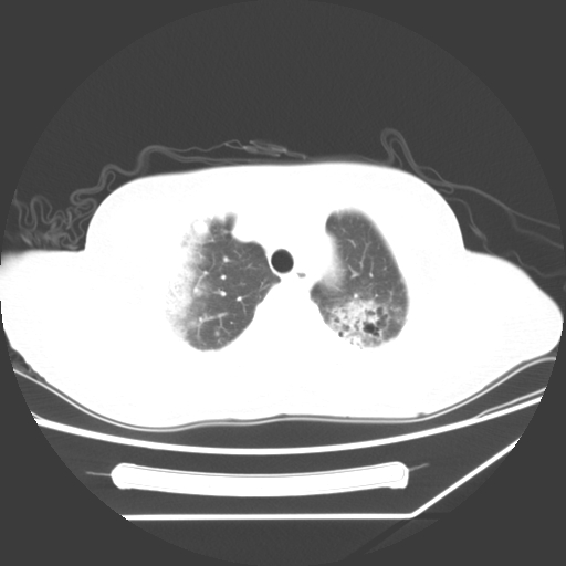
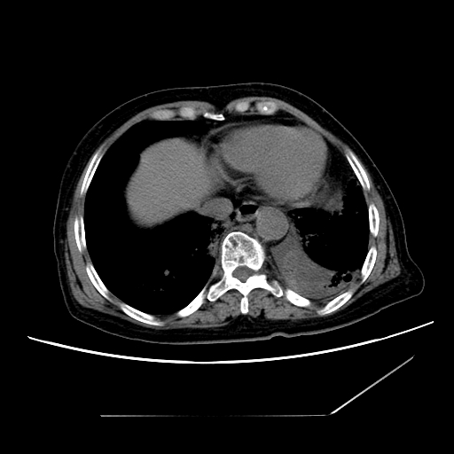
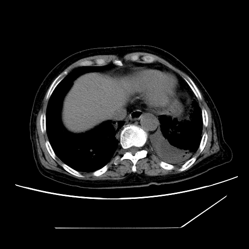
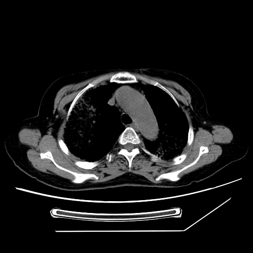
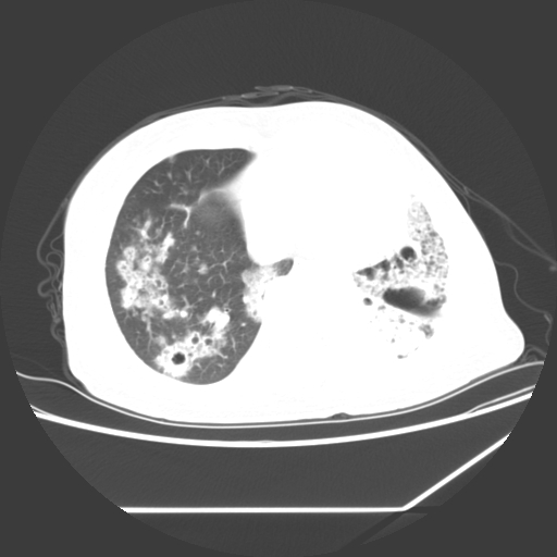
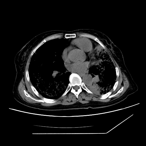
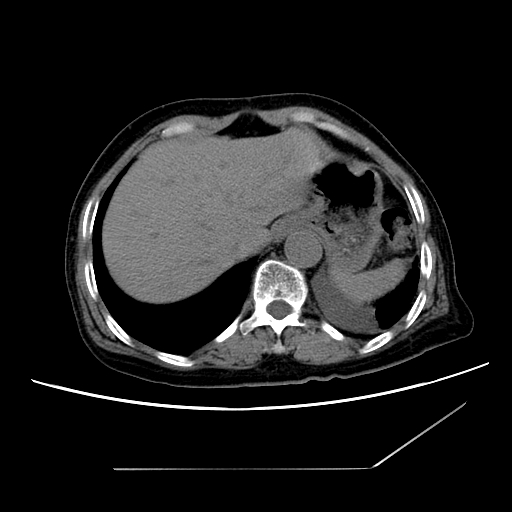
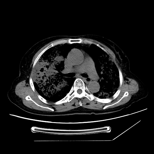
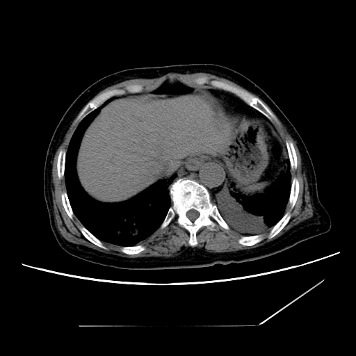
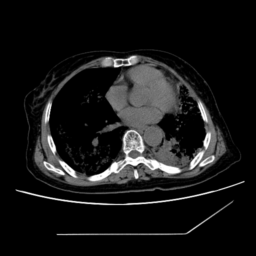
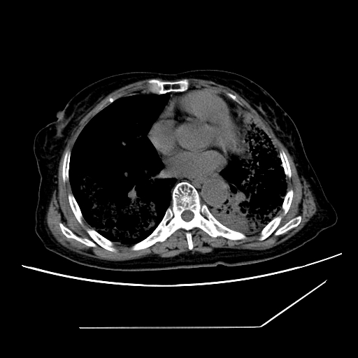
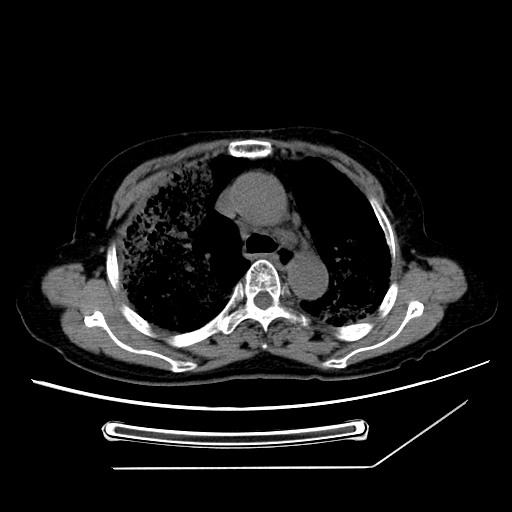
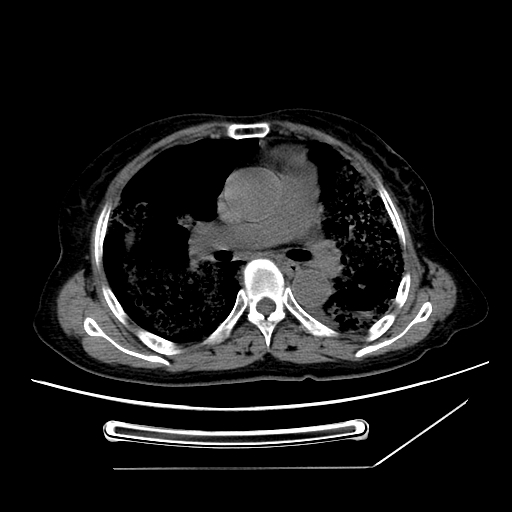
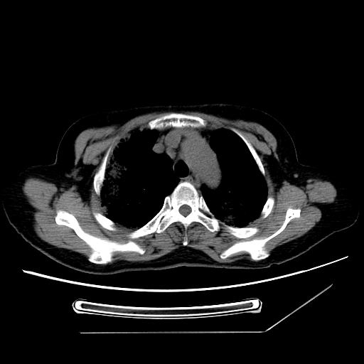
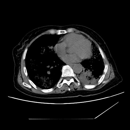
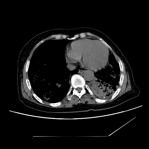
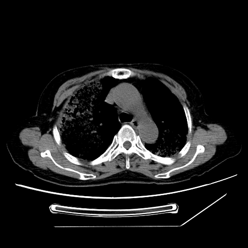
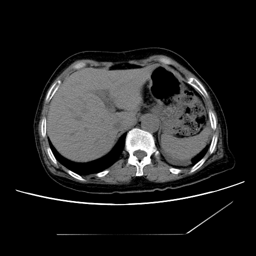
1、左肺中央型肺癌并双肺弥漫性转移   2、双肺部感染    3、肺大泡     4、左侧胸腔积液
作者: 心路寻觅    时间: 2010-3-29 21:22
双侧肺弥漫性病变,可见“空泡征”及“蜂窝征”,考虑肺泡癌可能性大,左侧胸腔积液,考虑胸膜受累可能!
作者: yuhongjun    时间: 2010-3-29 22:37
标题: 回复:病人45岁,咳嗽,吐黄痰带血丝,发热,胸闷月余
以下是引用心路寻觅在2010-3-29 13:22:00的发言:[br]双侧肺弥漫性病变,可见“空泡征”及“蜂窝征”,考虑肺泡癌可能性大,左侧胸腔积液,考虑胸膜受累可能!

作者: 草古木子    时间: 2010-3-29 23:34
考虑肺泡癌,建议排除感染。
作者: shuiyuan    时间: 2010-3-29 23:34
双侧肺弥漫性病变,可见“空泡征”及“蜂窝征”,考虑肺泡癌可能性大,左侧胸腔积液,考虑胸膜受累可能!
作者: 深泽交通    时间: 2010-3-29 23:41
考虑肺泡癌
作者: 黑白光影    时间: 2010-3-30 06:17
考虑肺泡癌
作者: 随光逐影    时间: 2010-3-30 18:15
1)不排除肺泡癌可能。2)左侧胸腔积液。




欢迎光临 医影在线 (http://bbs.radida.com/bbs/) Powered by Discuz! X3.2