医影在线
标题: CT25398:女,左耳流脓两年余,带有异物 [打印本页]
作者: 边生丽 时间: 2010-3-30 00:06
标题: CT25398:女,左耳流脓两年余,带有异物




















[本贴已被 jiajie 于 2010-3-29 18:27:45 修改过]
作者: 草古木子 时间: 2010-3-30 01:03
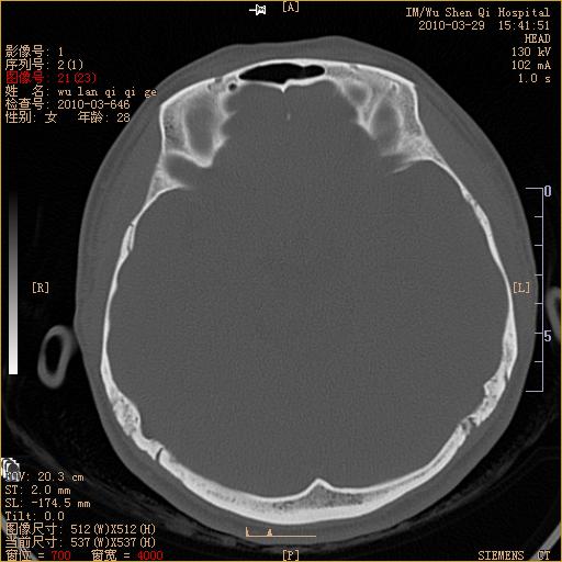
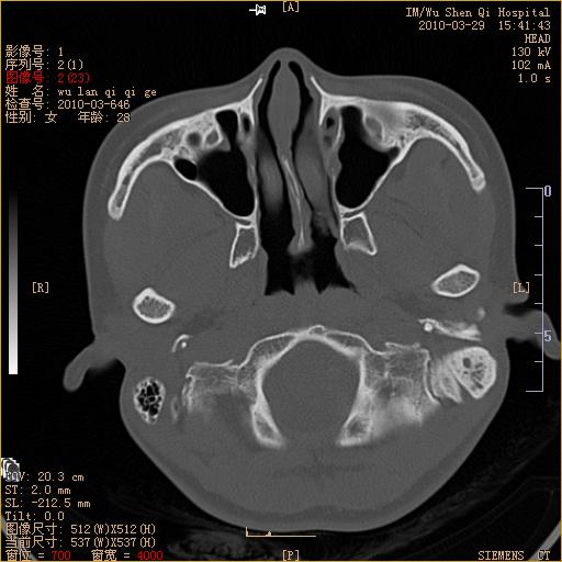
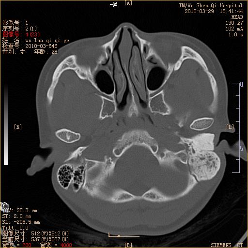
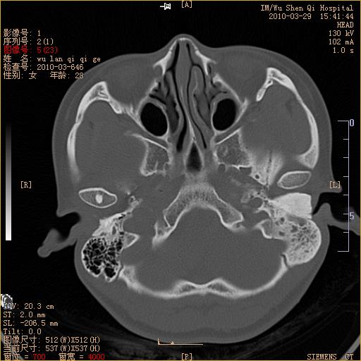
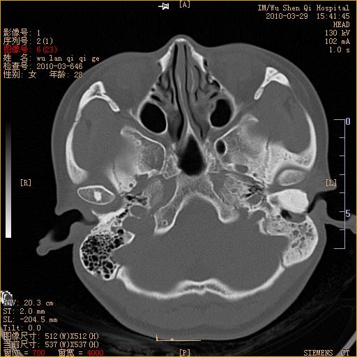
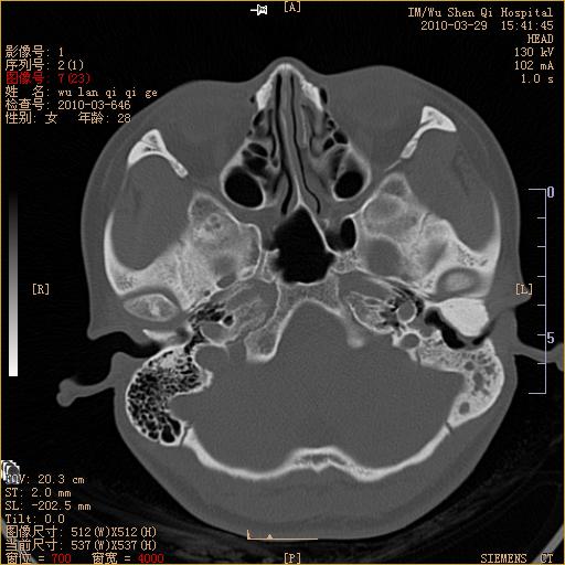
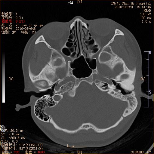
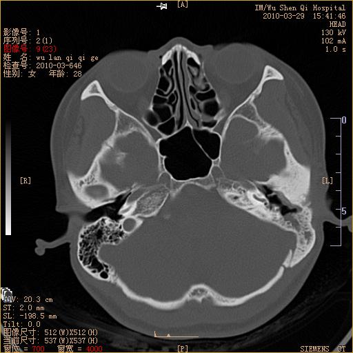
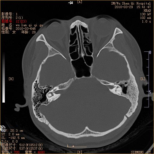
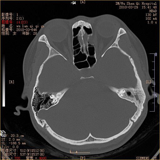
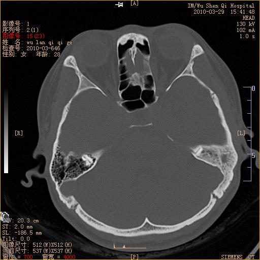
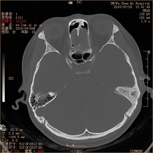
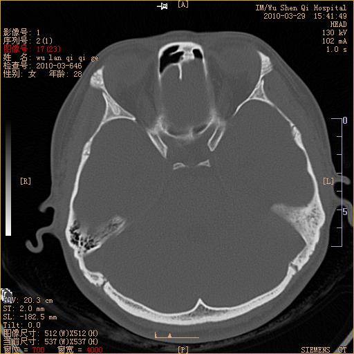
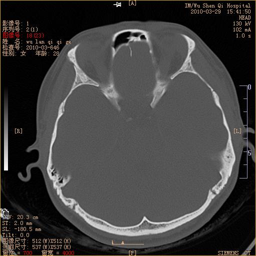
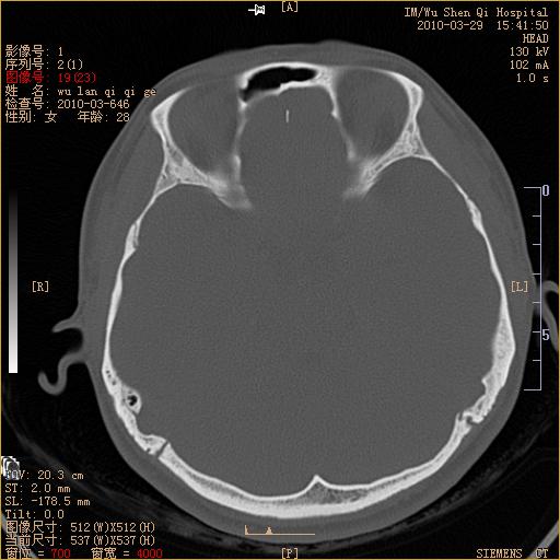
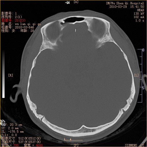
左侧中耳乳突炎,不排除胆脂瘤形成。
作者: 湘江一滴 时间: 2010-3-30 01:13
标题: 回复:女,左耳流脓两年余,带有异物
以下是引用草古木子在2010-3-29 17:03:00的发言:[br]左侧中耳乳突炎,不排除胆脂瘤形成。
支持
作者: yuhongjun 时间: 2010-3-30 01:24
标题: 回复
左侧中耳乳突炎,胆脂瘤形成。
[本贴已被 yuhongjun 于 2010-3-30 5:52:12 修改过]
作者: 张辉9999 时间: 2010-3-30 01:25
左侧中耳乳突炎,不排除胆脂瘤形成。
作者: yangyang2000 时间: 2010-3-30 04:36
左侧中耳乳突炎,不排除胆脂瘤形成
作者: 随光逐影 时间: 2010-3-30 16:33
1)左侧慢性中耳乳突炎并肉芽肿(或胆脂瘤)形成。2)考虑左侧颞骨慢性炎症伴骨质增生硬化,不排除骨纤。
作者: 黑白光影 时间: 2010-3-31 22:35
标题: 回复:ct25398:女,左耳流脓两年余,带有异物
以下是引用随光逐影在2010-3-30 8:33:00的发言:[br]1)左侧慢性中耳乳突炎并肉芽肿(或胆脂瘤)形成。2)考虑左侧颞骨慢性炎症伴骨质增生硬化,不排除骨纤。
| 欢迎光临 医影在线 (http://bbs.radida.com/bbs/) |
Powered by Discuz! X3.2 |