医影在线

标题: CT25415:四脑室钙化灶? [打印本页]

作者: ayi    时间: 2010-3-30 07:40
标题: CT25415:四脑室钙化灶?
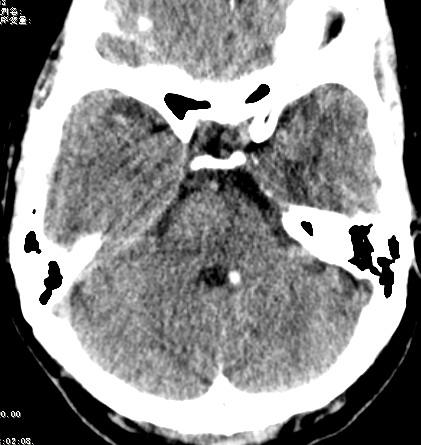
女,46岁,头晕1周。(第四脑室点状高密度灶,ct值约为65hu)。







[本贴已被 jiajie 于 2010-3-30 19:16:55 修改过]

作者: 学者~『风    时间: 2010-3-30 07:42
支持楼主诊断
作者: pujunzhi    时间: 2010-3-30 08:21
支持楼主的诊断,为四脑室脉络从钙化。
作者: yuhongjun    时间: 2010-3-30 14:02
支持楼主诊断。
作者: 卜一    时间: 2010-3-30 14:57
四脑室脉络从钙化。
作者: 施明    时间: 2010-3-30 16:03
应该正常
作者: 随光逐影    时间: 2010-3-30 21:48
第四脑室脉络丛钙化。
作者: 草古木子    时间: 2010-3-31 04:26
支持楼主的诊断,为四脑室脉络从钙化。
作者: lyb999    时间: 2010-3-31 04:44
没什么意义
作者: zxl51642    时间: 2010-3-31 04:47
四脑室脉络从钙化。
作者: 黑白光影    时间: 2010-3-31 23:27
四脑室脉络从钙化。




欢迎光临 医影在线 (http://bbs.radida.com/bbs/) Powered by Discuz! X3.2