医影在线

标题: CT25447:讨论 筛窦 [打印本页]

作者: z456    时间: 2010-3-30 07:56
标题: CT25447:讨论 筛窦
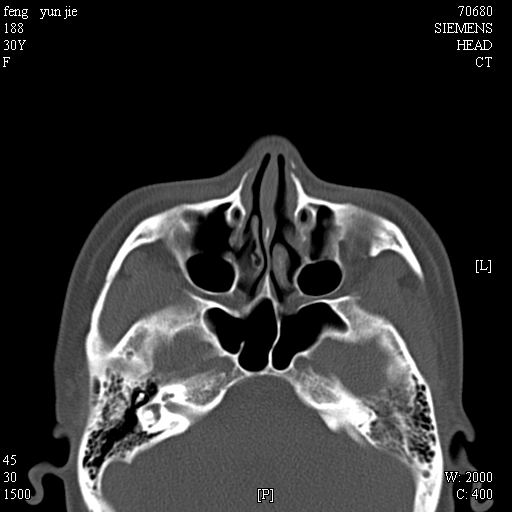
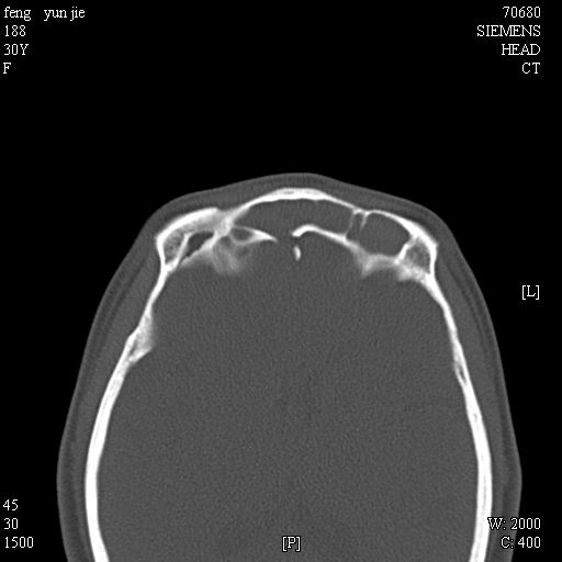
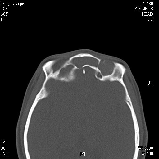
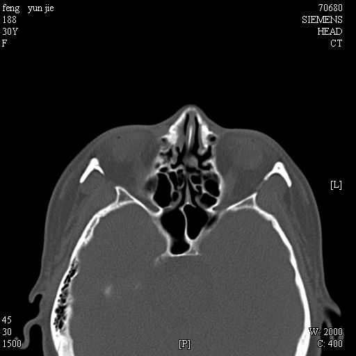
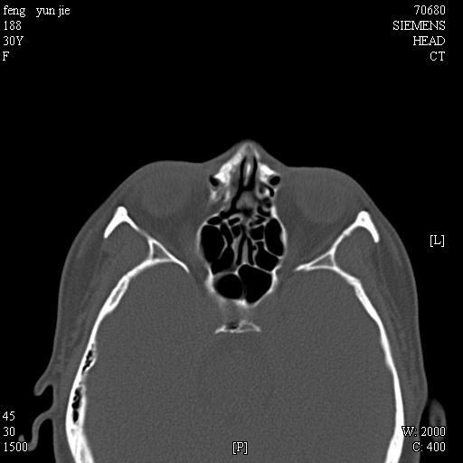
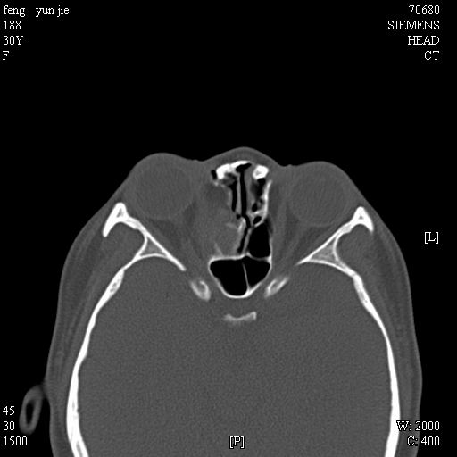
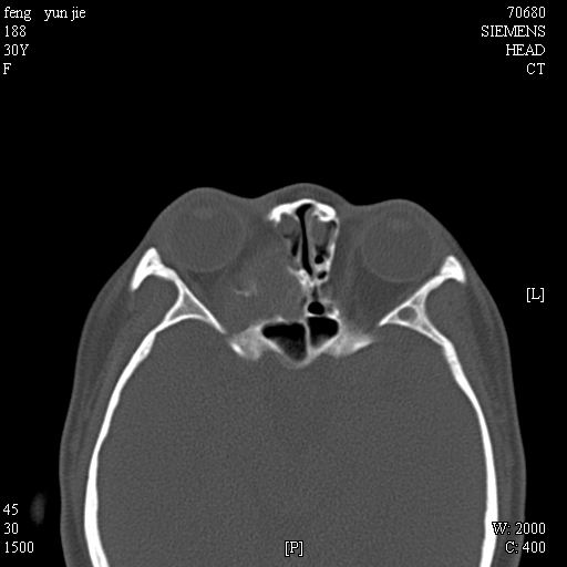
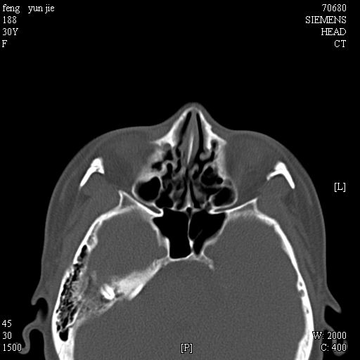
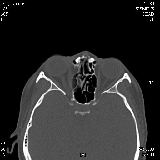
女,37岁,多年前鼻骨骨折过,现在穿刺有炎性分泌物














[本贴已被 jiajie 于 2010-3-31 6:46:20 修改过]

作者: dyqct    时间: 2010-3-30 15:45
一是没有软组织窗,二是没有冠状位。
考虑:1、鼻骨陈旧性骨折;
      2、额窦粘液囊肿(右侧水平额窦突入眶内上方)可能性大。
作者: 随光逐影    时间: 2010-3-30 16:28
1)左侧鼻骨骨折(陈旧性)。2)双侧额窦及双侧筛窦炎症,伴右侧额筛窦黏液囊肿突入右侧眼眶。
作者: 沉默是金    时间: 2010-3-30 17:31
标题: 回复:讨论 筛窦
以下是引用随光逐影在2010-3-30 8:28:00的发言:[br]1)左侧鼻骨骨折(陈旧性)。2)双侧额窦及双侧筛窦炎症,伴右侧额筛窦黏液囊肿突入右侧眼眶。

作者: zxl51642    时间: 2010-3-30 19:09
以下是引用随光逐影在2010-3-30 8:28:00的发言:
1)左侧鼻骨骨折(陈旧性)。2)双侧额窦及双侧筛窦炎症,伴右侧额筛窦黏液囊肿突入右侧眼眶。
作者: 513ytb    时间: 2010-3-31 03:35
额窦粘液囊肿(右侧水平额窦突入眶内上方)可能性大
作者: 拾荒者    时间: 2010-3-31 03:35
是黏液囊状还是淋巴瘤?建议结合穿刺细胞学检查。
作者: 草古木子    时间: 2010-3-31 05:43
考虑额窦粘液囊肿可能性大。
作者: 黑白光影    时间: 2010-3-31 23:31
标题: 回复:ct25447:讨论 筛窦
以下是引用随光逐影在2010-3-30 8:28:00的发言:[br]1)左侧鼻骨骨折(陈旧性)。2)双侧额窦及双侧筛窦炎症,伴右侧额筛窦黏液囊肿突入右侧眼眶。





欢迎光临 医影在线 (http://bbs.radida.com/bbs/) Powered by Discuz! X3.2