医影在线
标题: CT25416:男性,70岁。胸片发现右下肺斑片状阴影 [打印本页]
作者: fanshl 时间: 2010-3-30 08:25
标题: CT25416:男性,70岁。胸片发现右下肺斑片状阴影
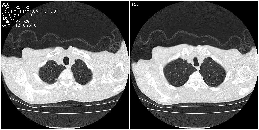
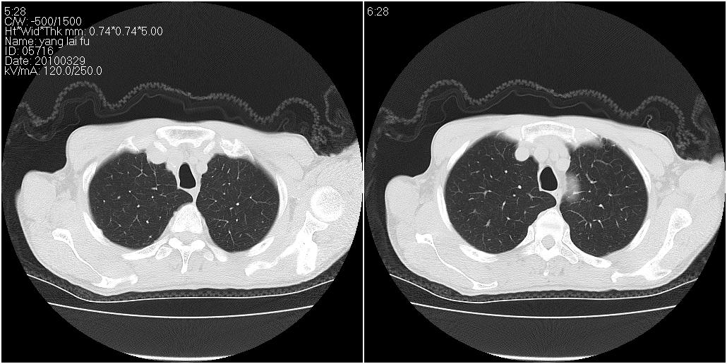
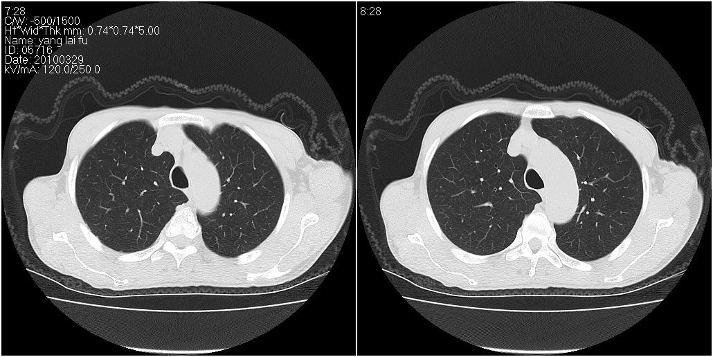
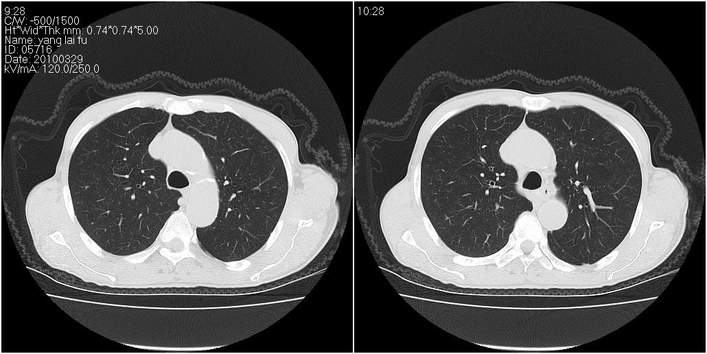
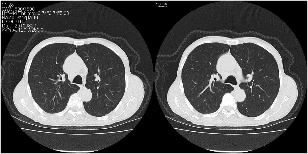
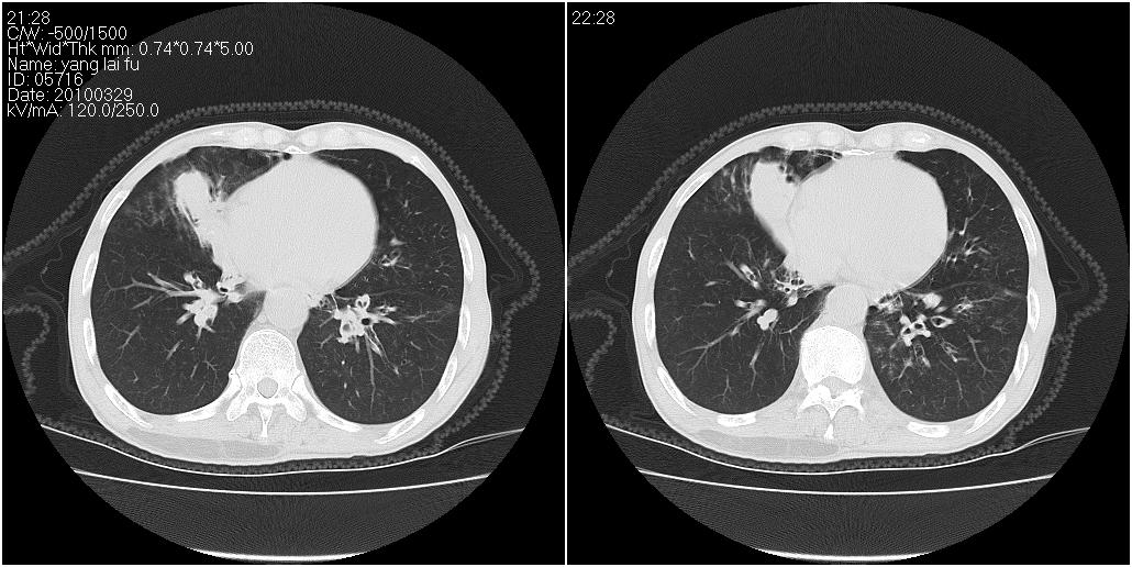
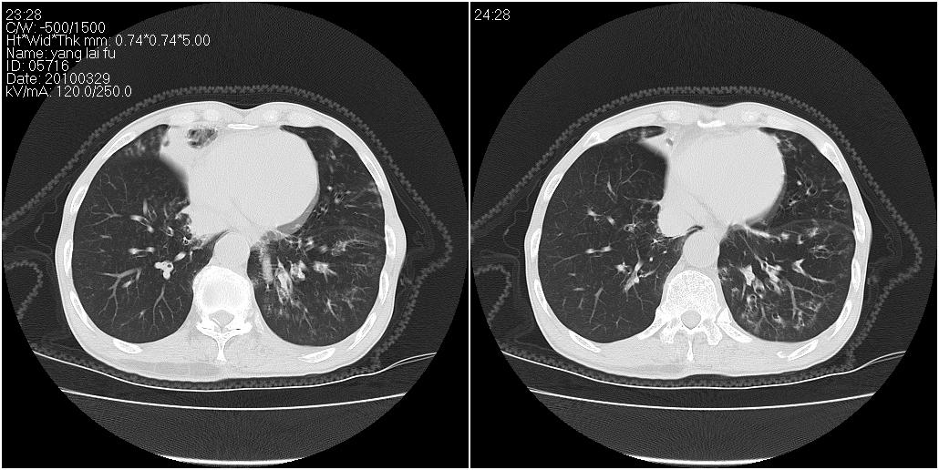
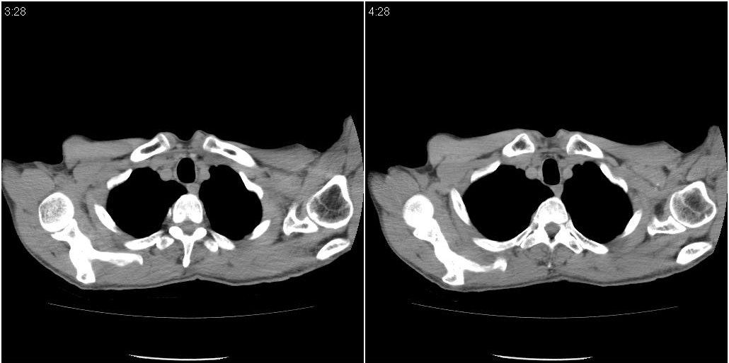
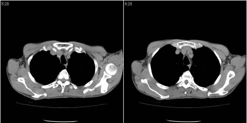
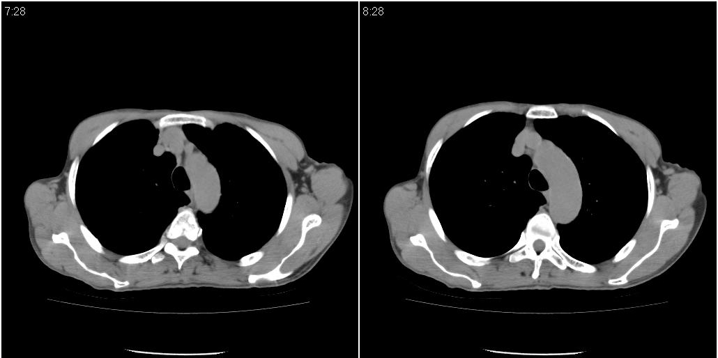
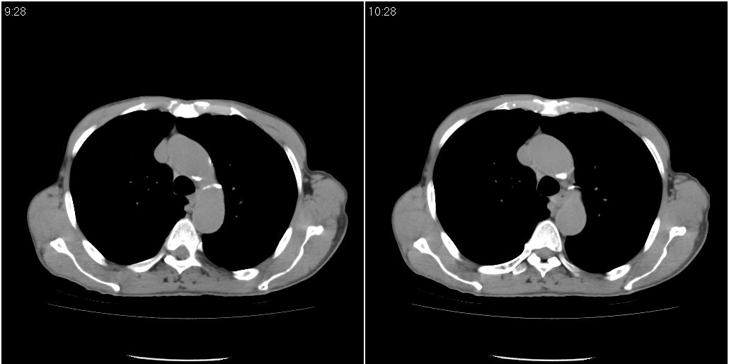
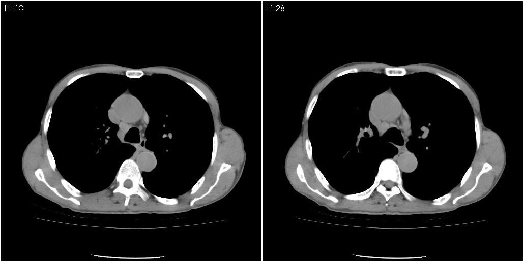
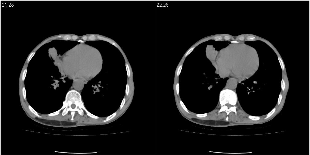
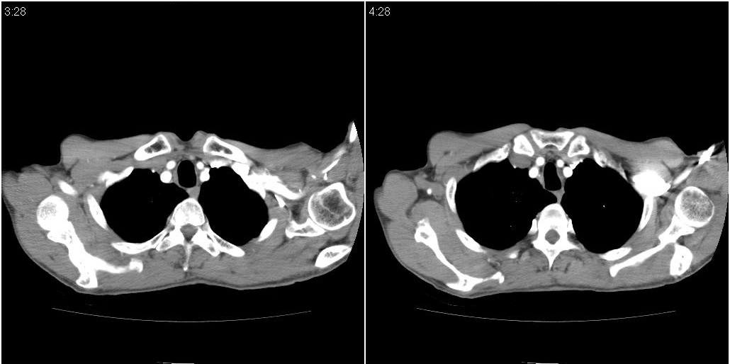
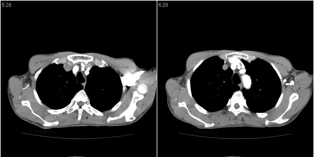
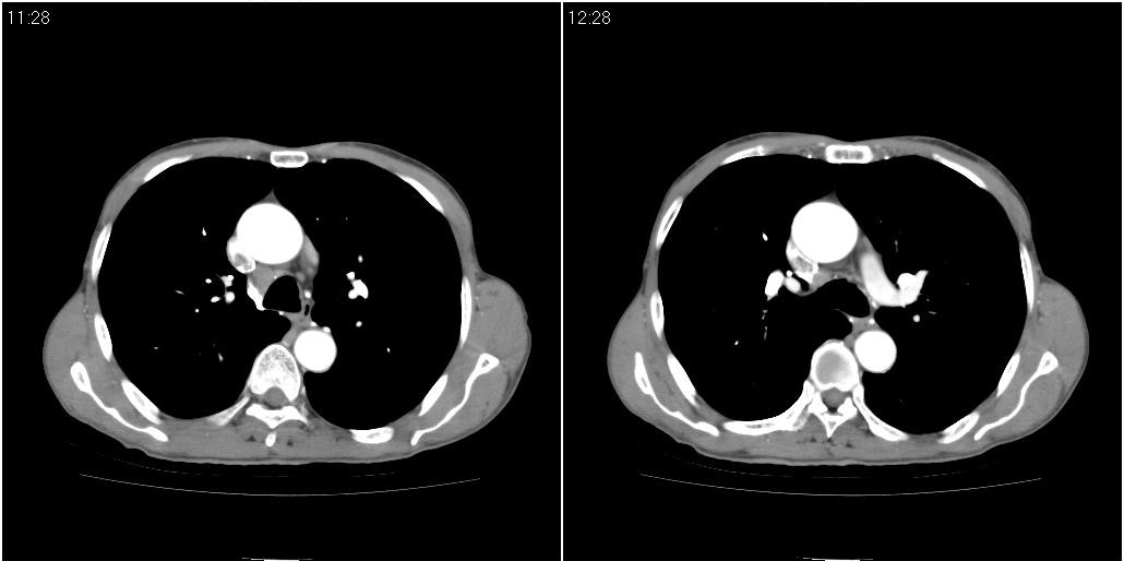
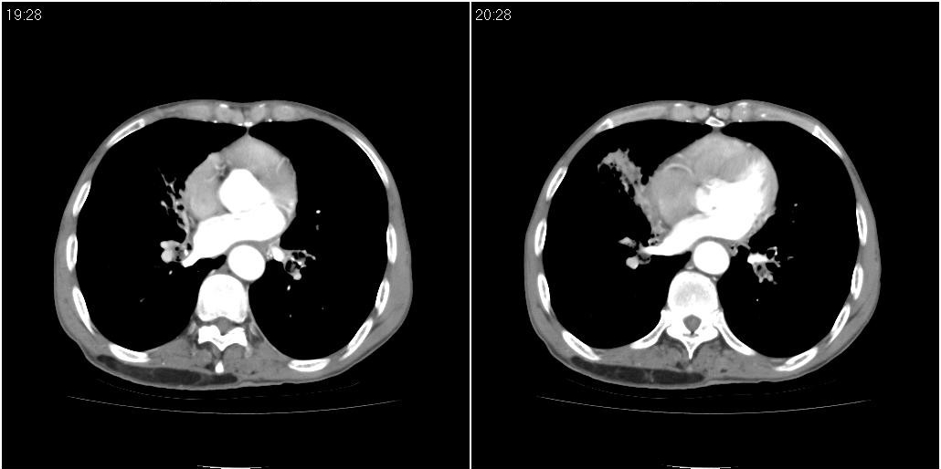
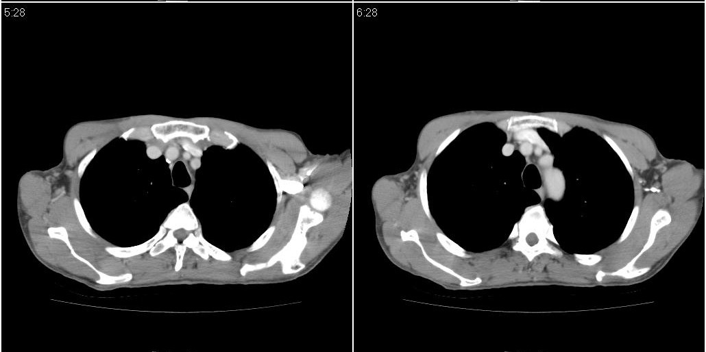
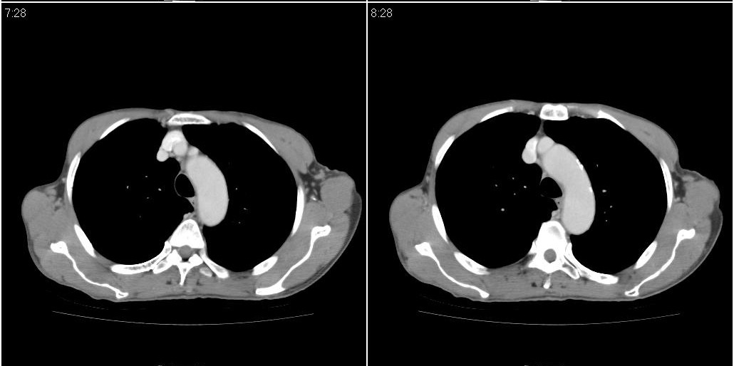
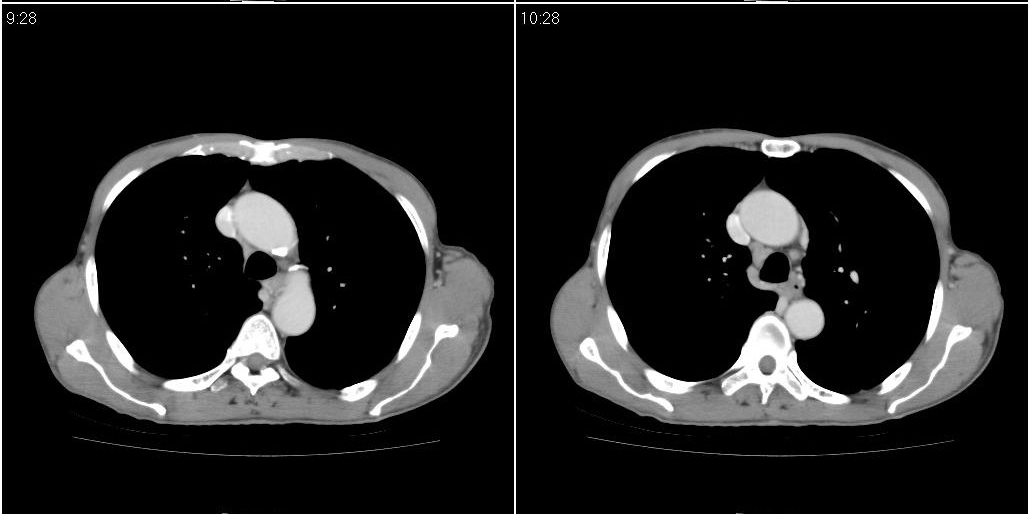
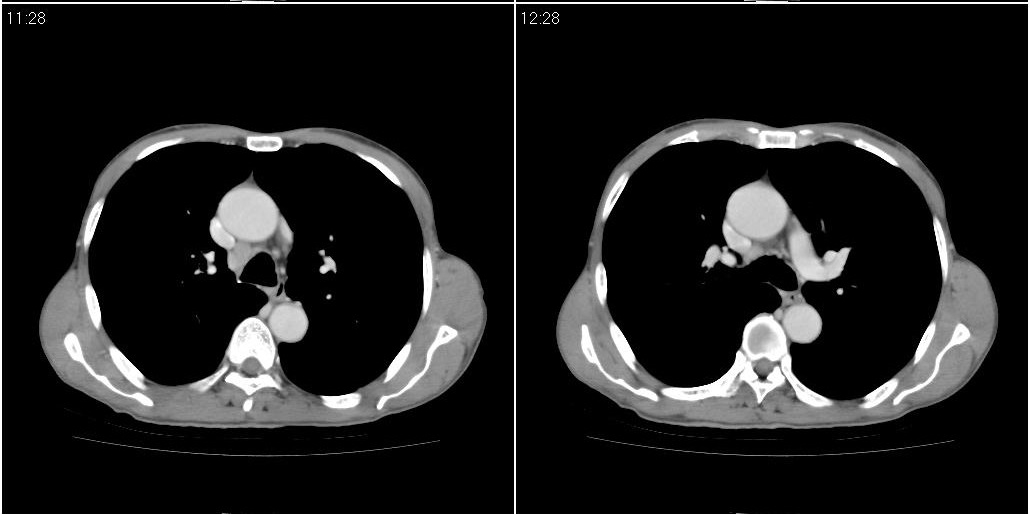
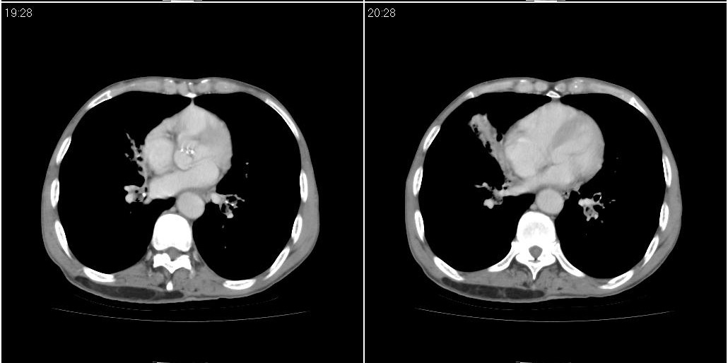
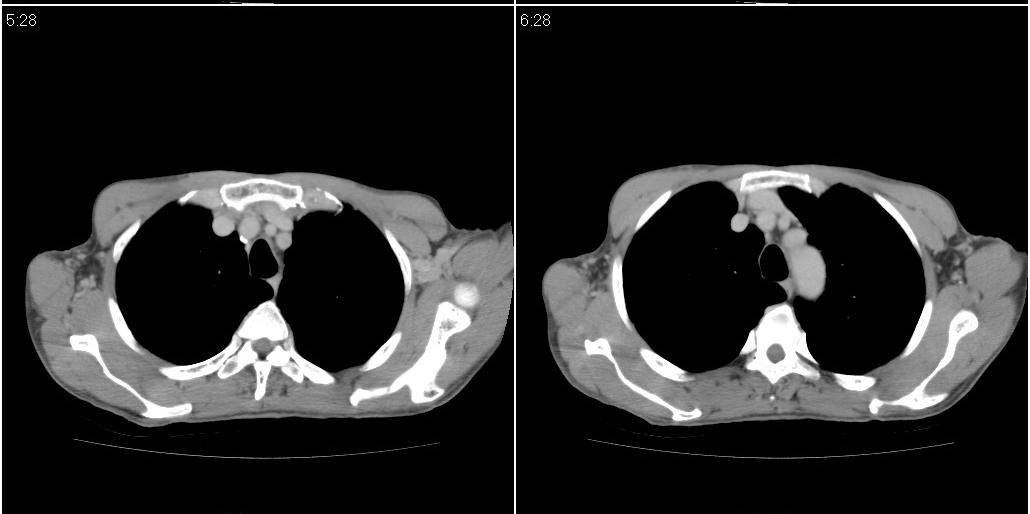
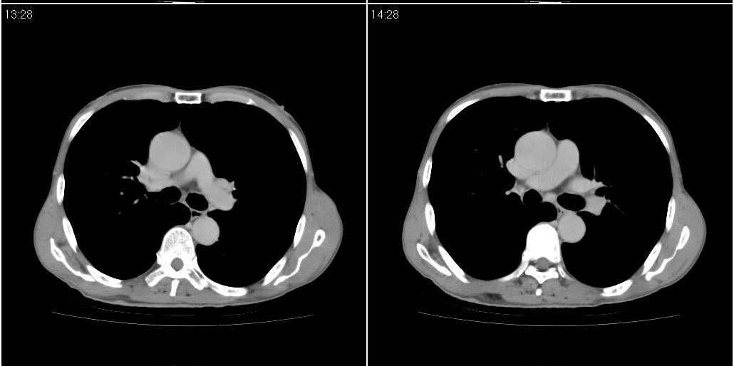
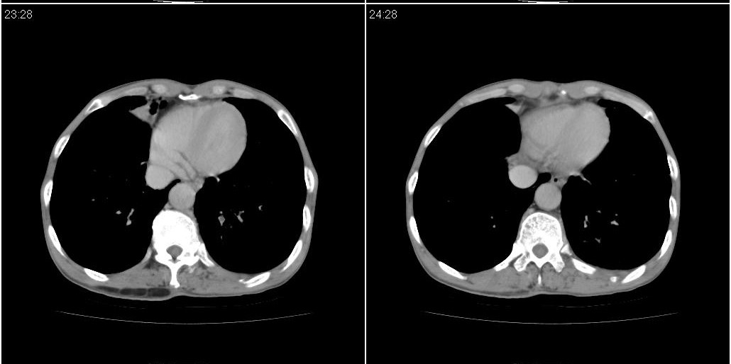
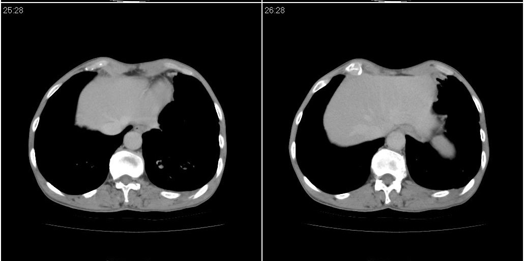
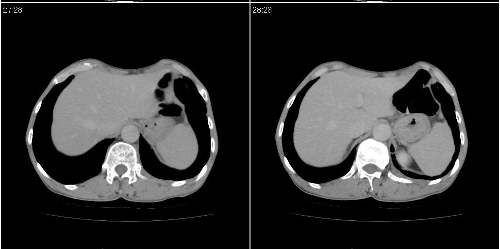
以下是ct检查的情况:




























[本贴已被 jiajie 于 2010-3-30 19:17:52 修改过]
作者: linyiming 时间: 2010-3-30 10:32
考虑右肺下叶炎症可能性大?未除占位,建议增强。右下肺肺不张
右下胸壁皮下气肿。
作者: 随缘的人 时间: 2010-3-30 14:34
炎症?占位建议纤支镜或增强检查
作者: 卜一 时间: 2010-3-30 14:52
右下肺阻塞性肺炎!建议纤支镜!
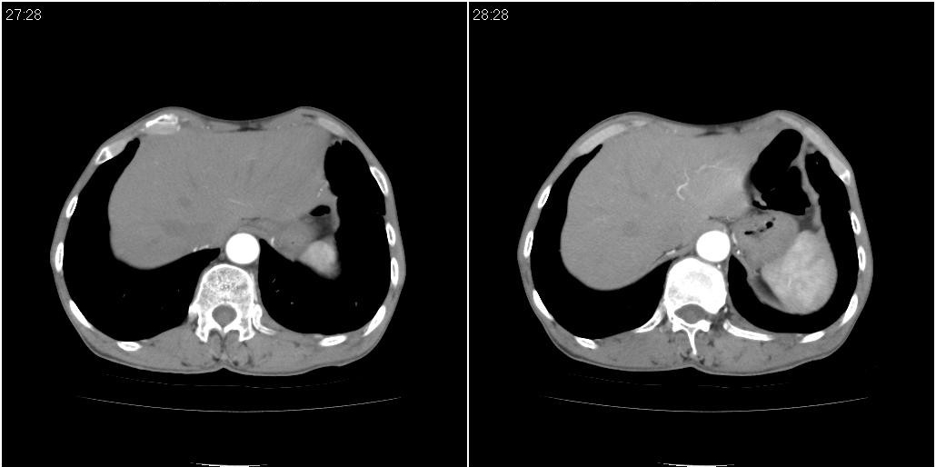
作者: fanshl 时间: 2010-3-30 15:13
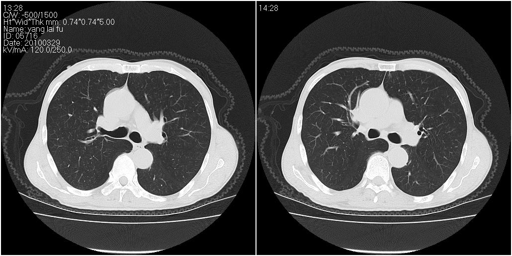
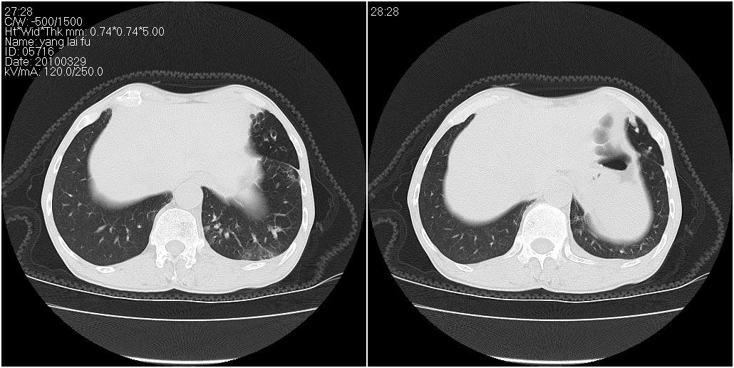
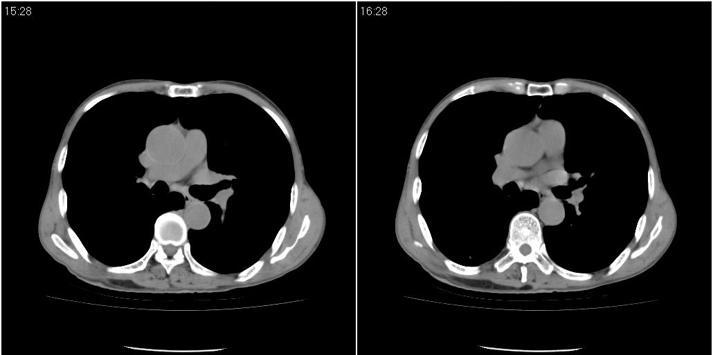
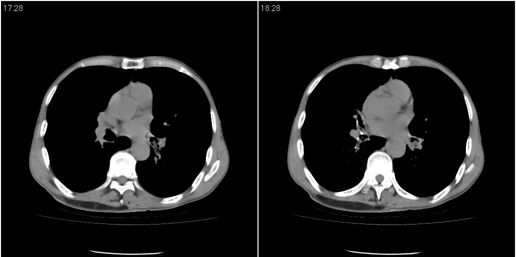
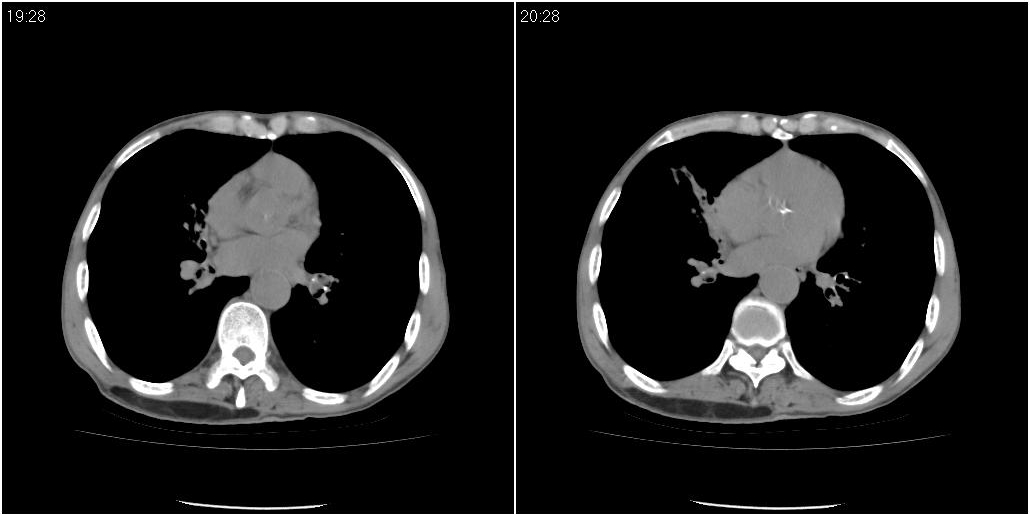
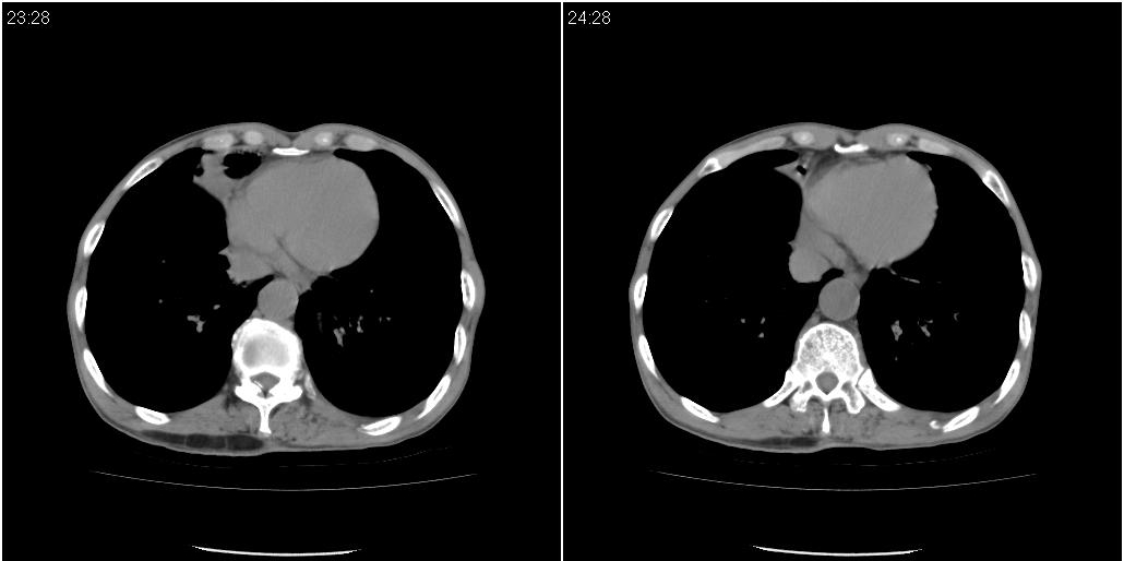
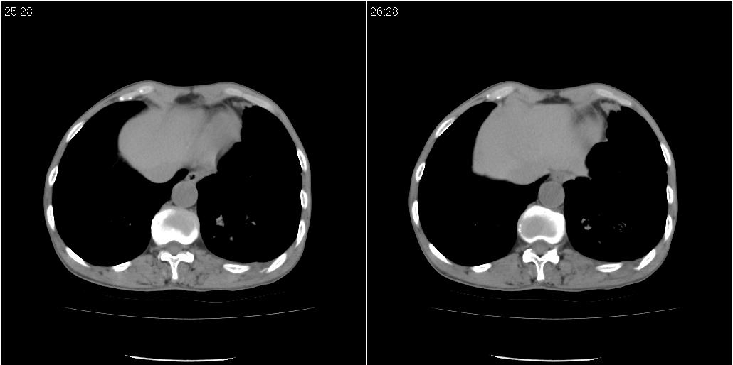
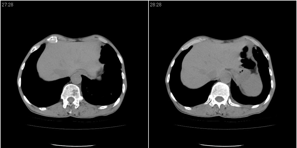
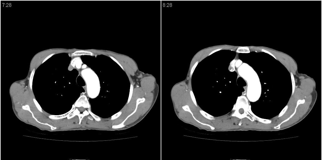
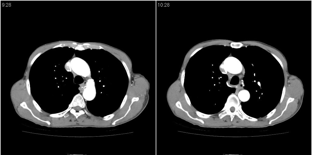
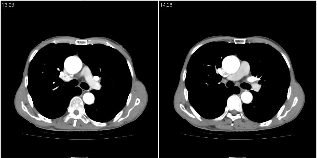
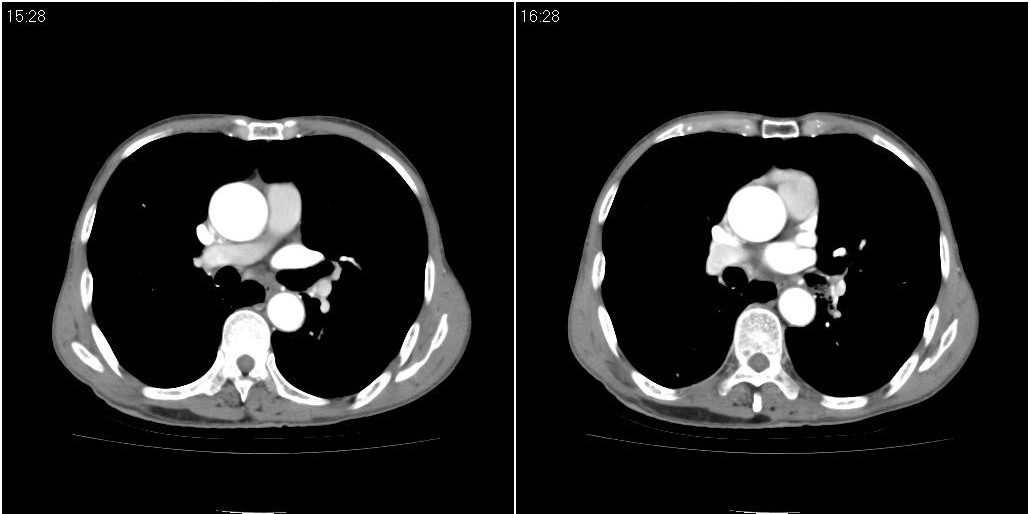
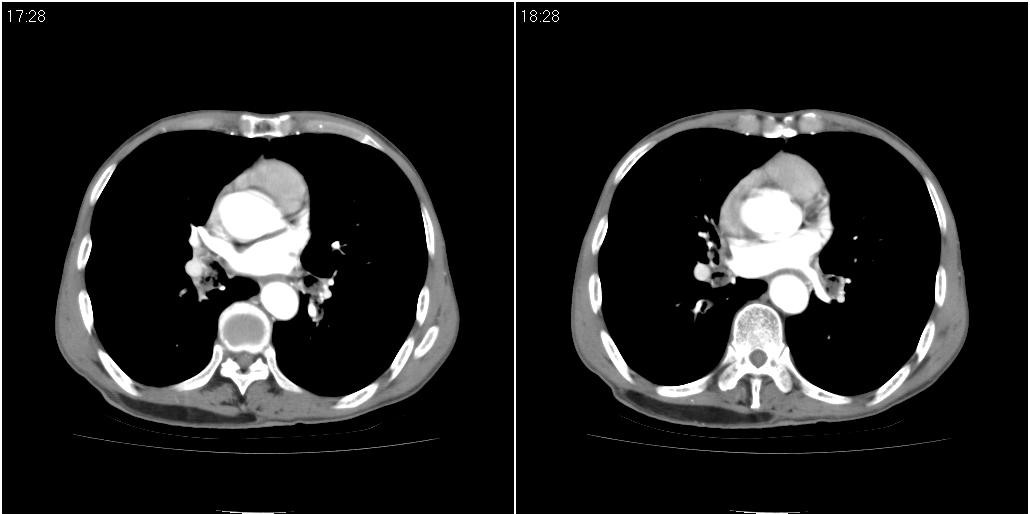
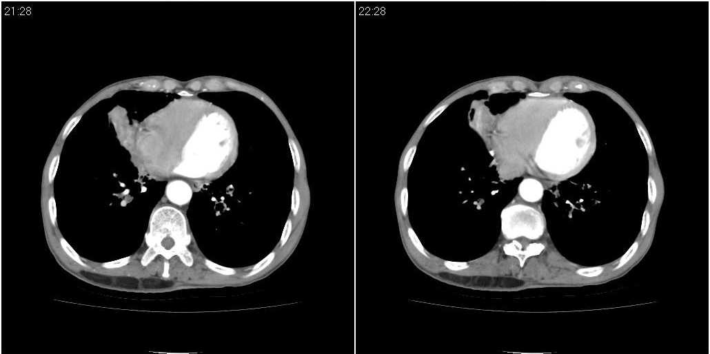
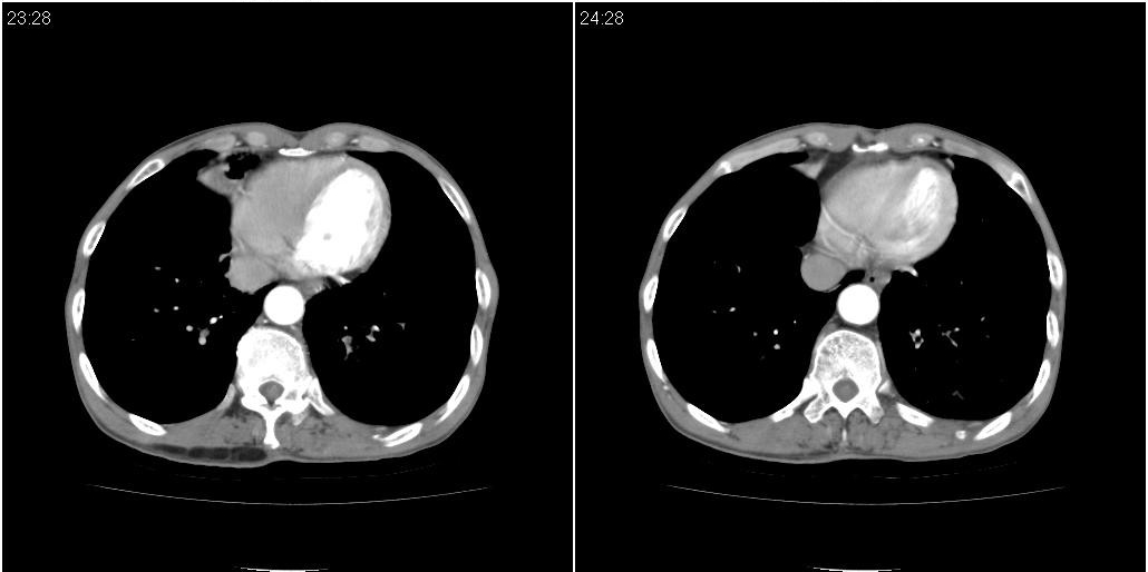
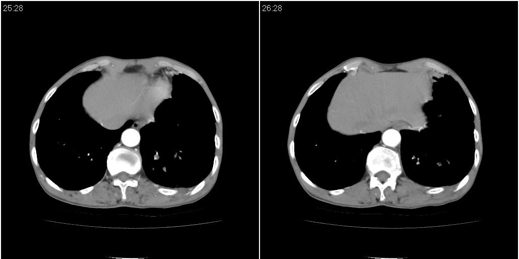
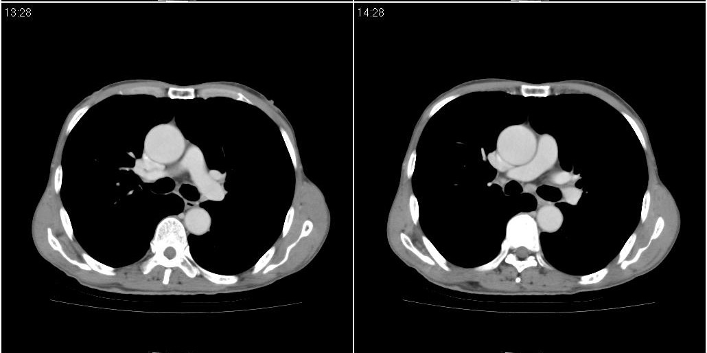
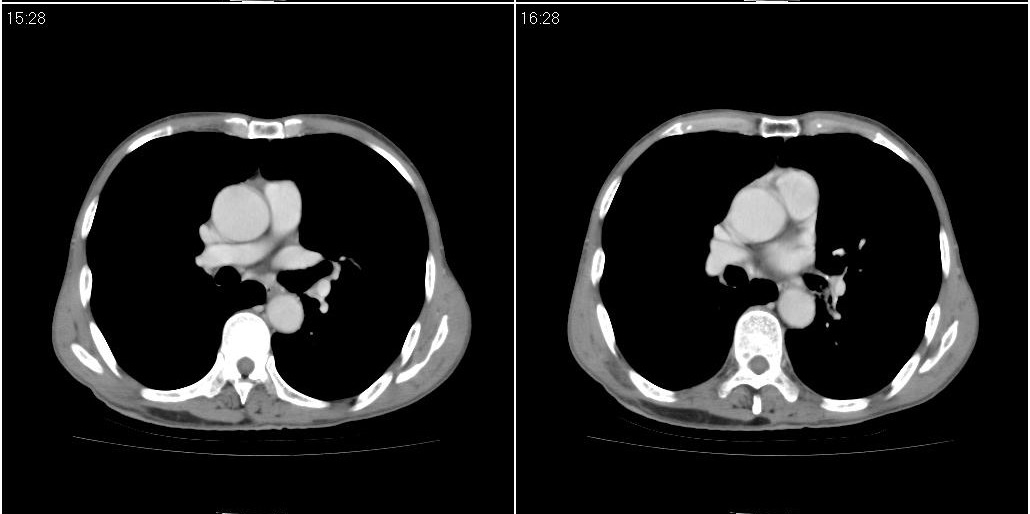
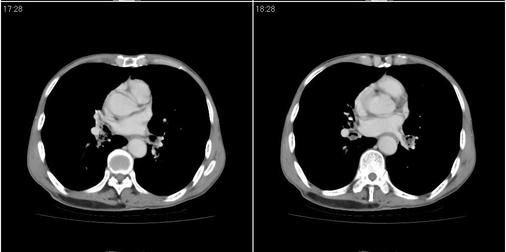
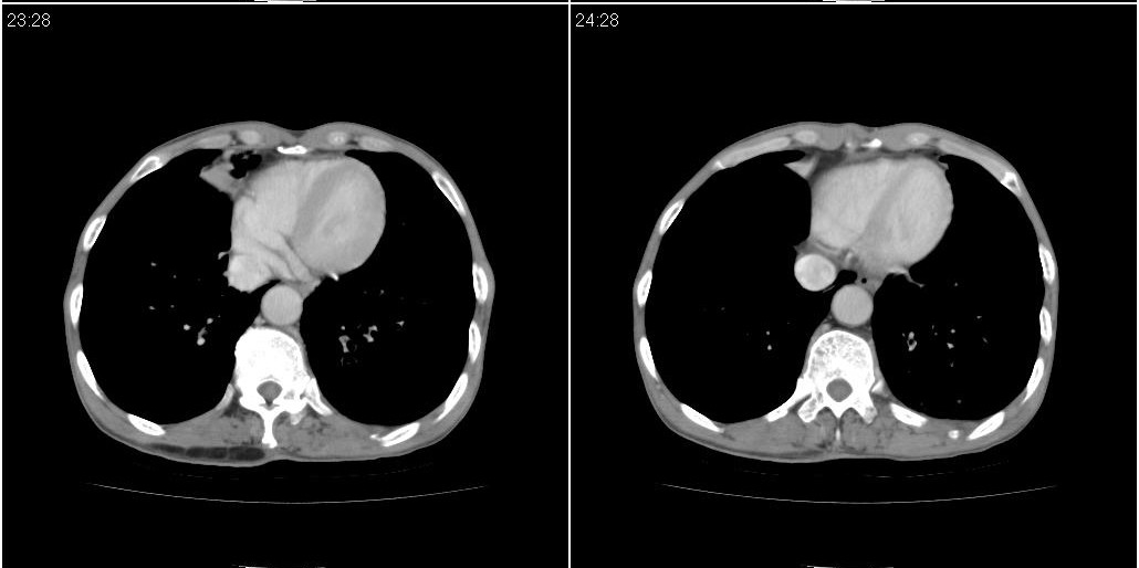
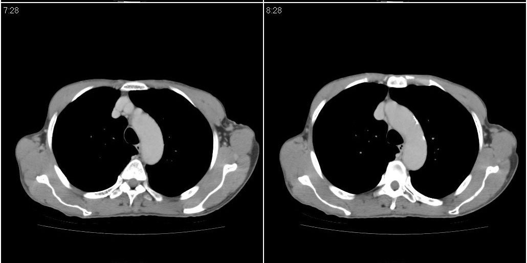
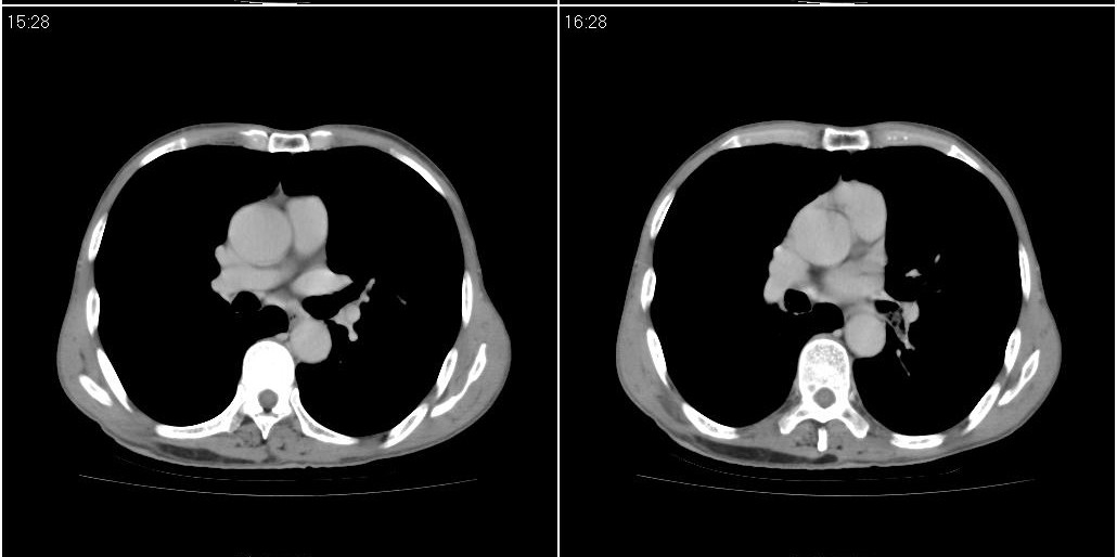
标题: ct增强:










































[本贴已被 fanshl 于 2010-3-30 7:14:31 修改过]
作者: 施明 时间: 2010-3-30 16:07
炎性肿块
作者: 心路寻觅 时间: 2010-3-30 18:39
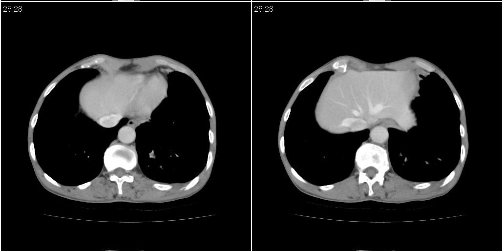
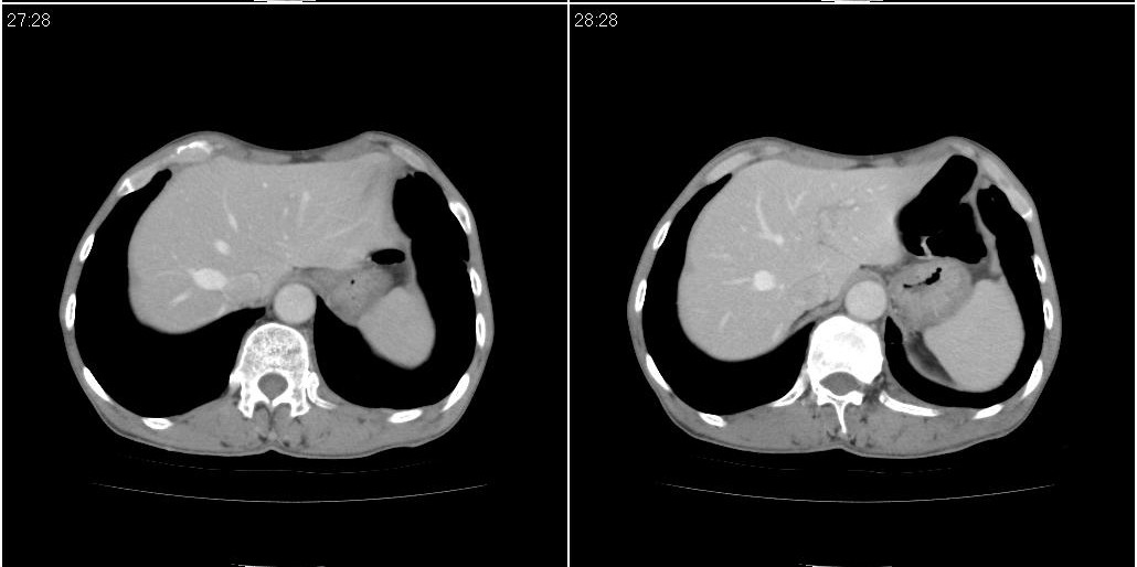
右肺中叶阻塞性不张及肺炎,高度怀疑支气管占位,建议纤支镜检查!
作者: LIAOQIANG 时间: 2010-3-30 18:42
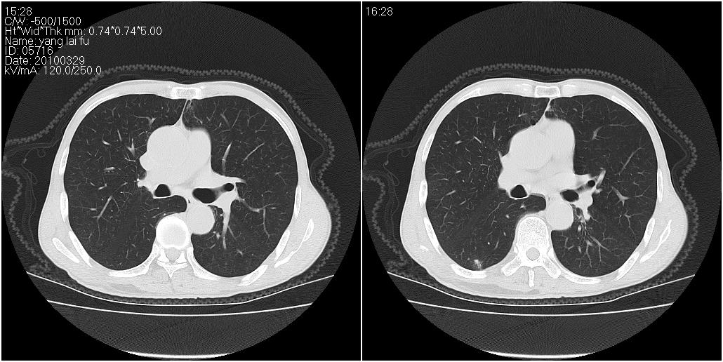
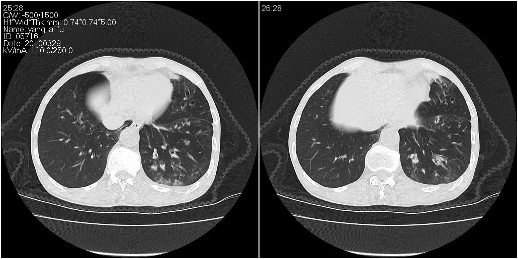
考虑右肺中叶感染。左肺下叶支扩。
作者: zxl51642 时间: 2010-3-30 19:06
标题: 回复:男性,70岁。胸片发现右下肺斑片状阴影
右中肺阻塞性炎症,建议纤支镜!双下支扩感染。
作者: 随光逐影 时间: 2010-3-30 21:58
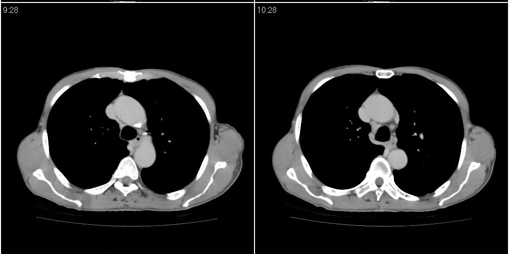
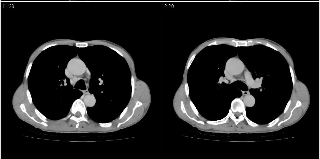
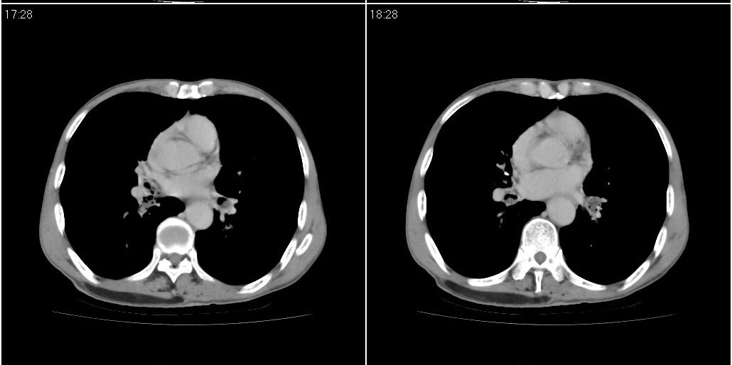
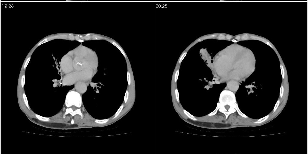
1)右肺中叶慢性炎症并支气管扩张,节段性肺不张。2)两肺下叶支气管扩张。
作者: 草古木子 时间: 2010-3-31 04:37
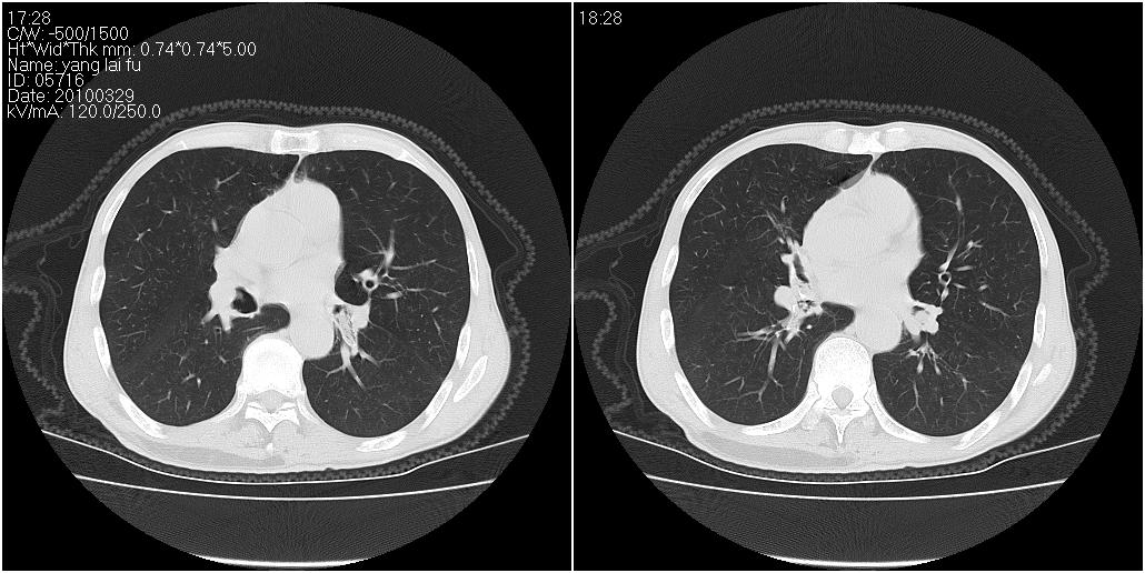
1)右肺中叶慢性炎症并支气管扩张,节段性肺不张。2)两肺下叶支气管扩张。
作者: lyb999 时间: 2010-3-31 04:52
1)右肺中叶慢性炎症并支气管扩张,节段性肺不张。2)左肺下叶支气管扩张
作者: 黑白光影 时间: 2010-3-31 23:34
1)右肺中叶慢性炎症并支气管扩张,节段性肺不张。2)两肺下叶支气管扩张。
作者: yuhongjun 时间: 2010-3-31 23:36
1)右肺中叶慢性炎症并支气管扩张,节段性肺不张。2)两肺下叶支气管扩张。
黑白老师来真的了 还背着枪啊
| 欢迎光临 医影在线 (http://bbs.radida.com/bbs/) |
Powered by Discuz! X3.2 |