医影在线
标题: CT25419:男性,18岁。右耳肿、痛5个多月。 [打印本页]
作者: fanshl 时间: 2010-3-30 15:37
标题: CT25419:男性,18岁。右耳肿、痛5个多月。





















[本贴已被 fanshl 于 2010-3-30 7:41:21 修改过]
[本贴已被 jiajie 于 2010-3-30 19:25:03 修改过]
作者: 施明 时间: 2010-3-30 16:01
中耳炎 中耳肿物 活检吧
作者: 深泽交通 时间: 2010-3-30 17:03
支持楼上
作者: 求知若渴 时间: 2010-3-30 17:28
标题: 回复:男性,18岁。右耳肿、痛5个多月。

作者: zxl51642 时间: 2010-3-30 19:00
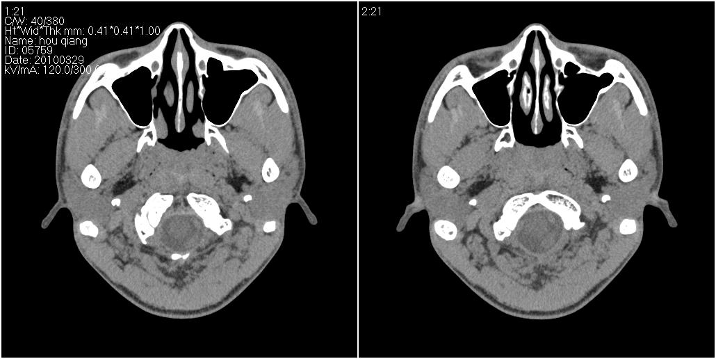
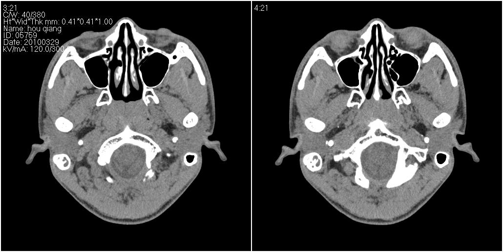
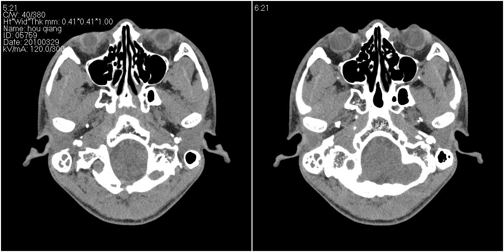
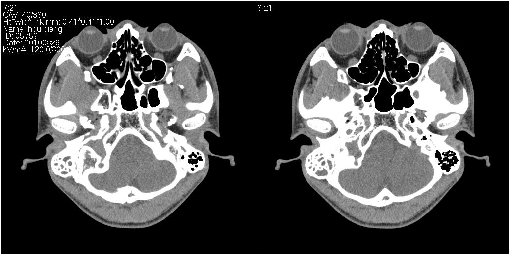
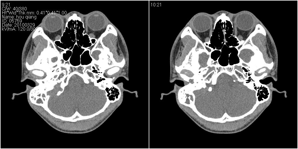
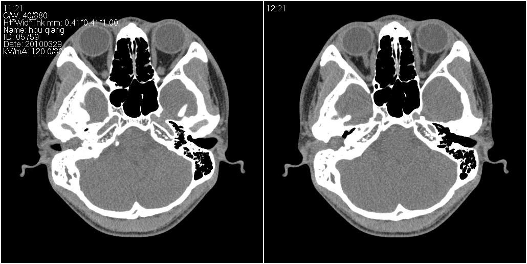
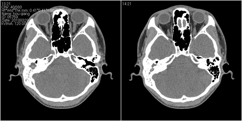
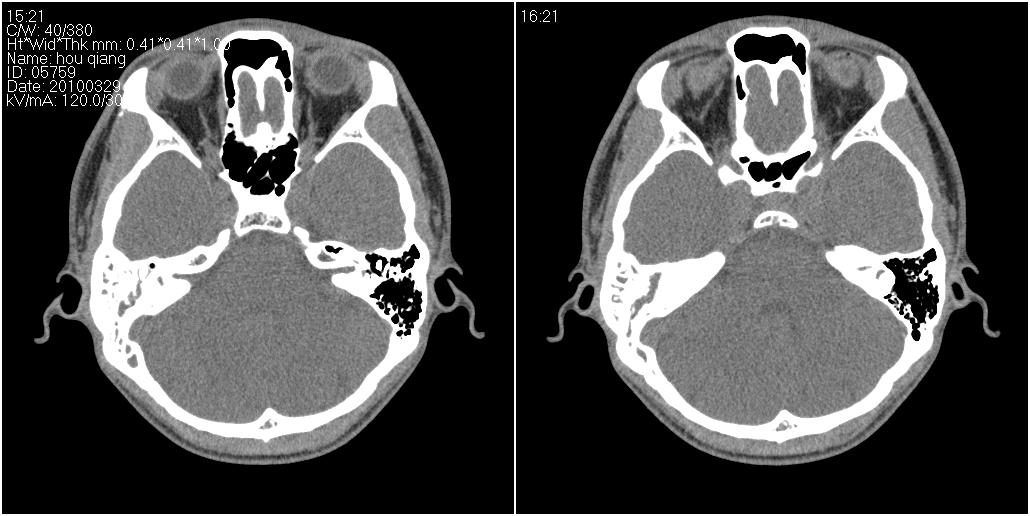
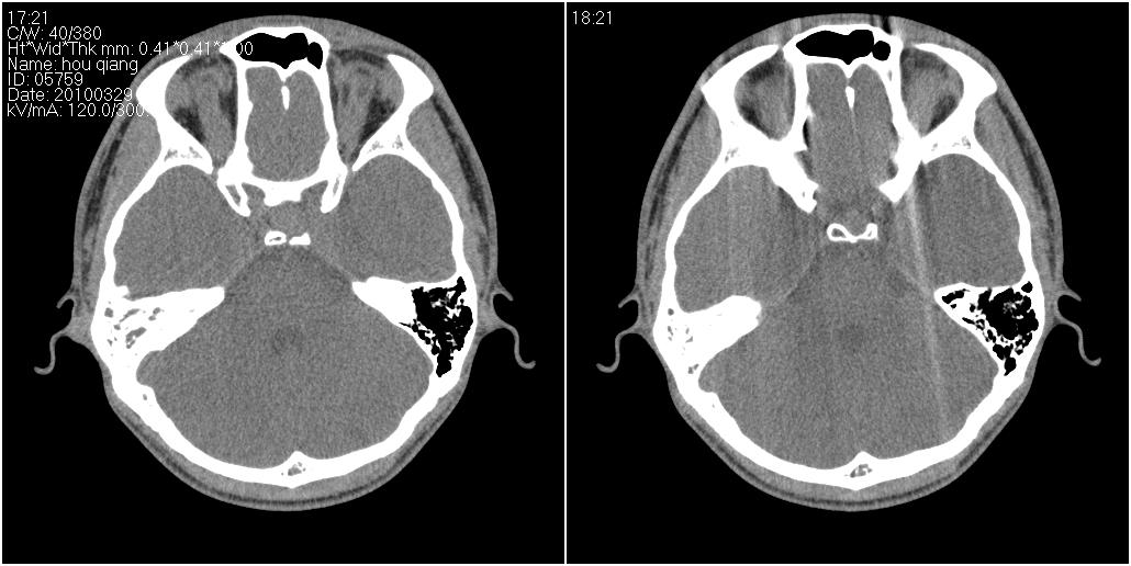
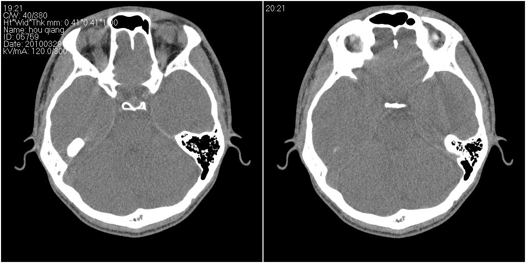
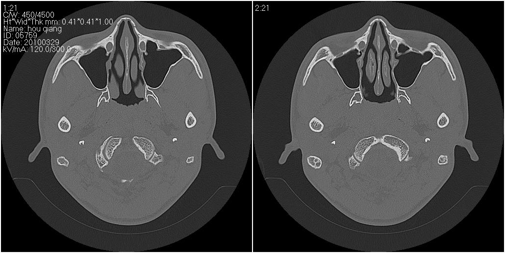
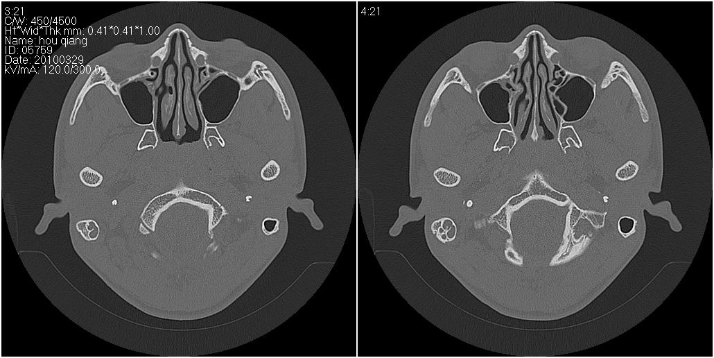
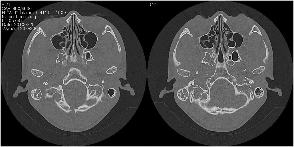
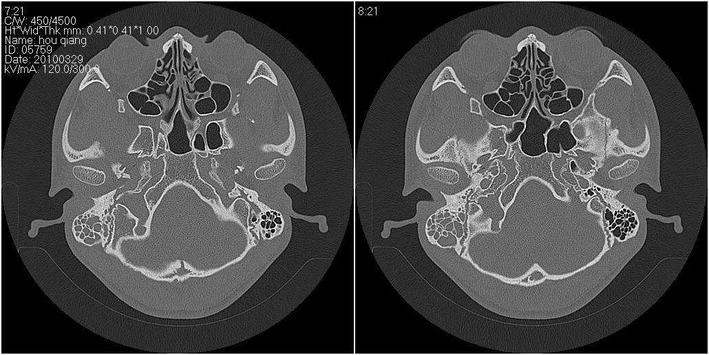
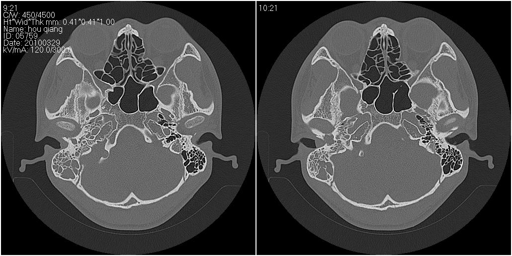
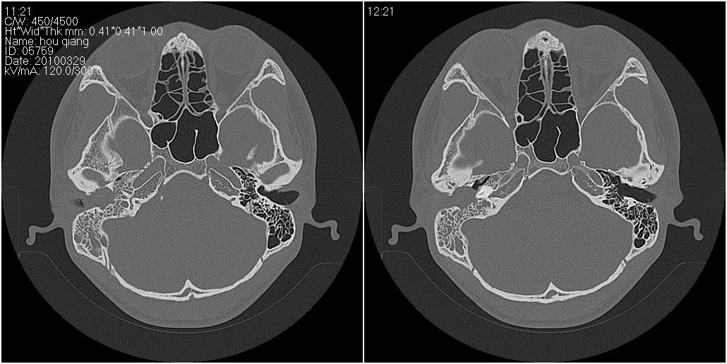
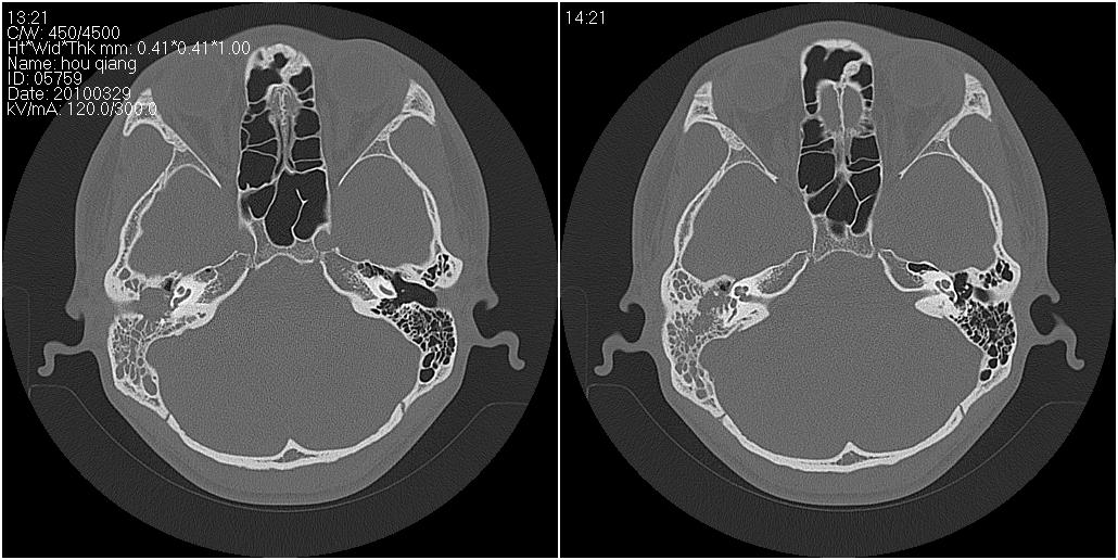
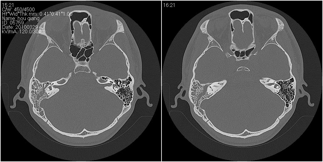
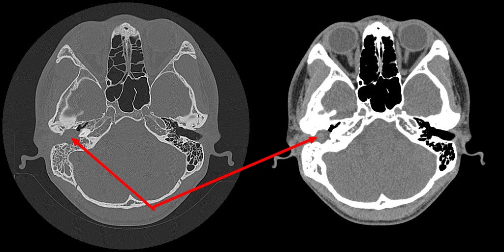
右侧中耳乳突炎累及外耳道,鼻咽腺样体肥大。
作者: 随光逐影 时间: 2010-3-30 22:08
1)右侧慢性中耳乳突炎并右侧中耳腔及外耳道肉芽肿或胆脂瘤形成。2)鼻咽腺样体肥大。
作者: yangyang2000 时间: 2010-3-31 04:56
1)右侧慢性中耳乳突炎并右侧中耳腔及外耳道肉芽肿或胆脂瘤形成。2)鼻咽腺样体肥大。
作者: 草古木子 时间: 2010-3-31 07:10
1)右侧慢性中耳乳突炎并右侧中耳腔及外耳道肉芽肿或胆脂瘤形成。2)鼻咽腺样体肥大。
作者: yuhongjun 时间: 2010-3-31 14:07
右侧中耳乳突炎累及外耳道,鼻咽腺样体肥大。
作者: yangyudong333 时间: 2010-3-31 14:22
1)右侧慢性中耳乳突炎并右侧中耳腔及外耳道肉芽肿或胆脂瘤形成。2)鼻咽腺样体肥大。
作者: 黑白光影 时间: 2010-3-31 23:47
支持1)右侧慢性中耳乳突炎并右侧中耳腔及外耳道肉芽肿或胆脂瘤形成。2)鼻咽腺样体肥大。
| 欢迎光临 医影在线 (http://bbs.radida.com/bbs/) |
Powered by Discuz! X3.2 |