医影在线

标题: CT25423:头部外伤意外发现右顶叶??? [打印本页]

作者: 健力宝    时间: 2010-3-30 18:07
标题: CT25423:头部外伤意外发现右顶叶???
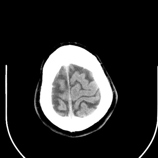
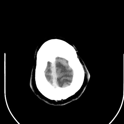
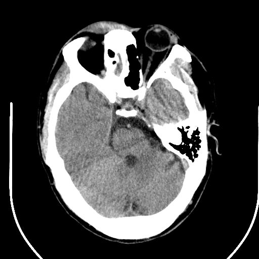
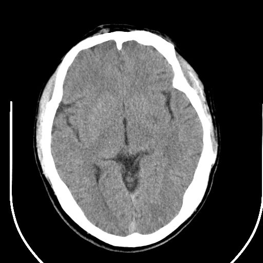
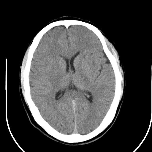
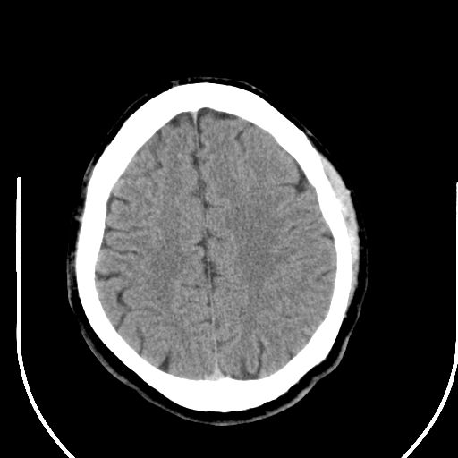
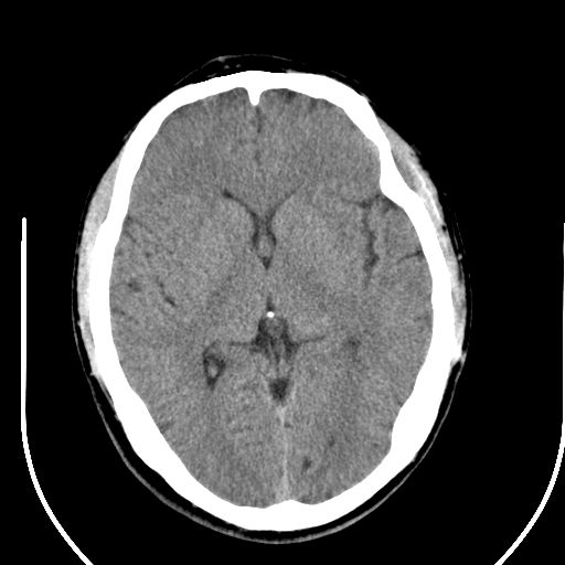
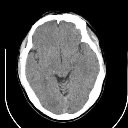
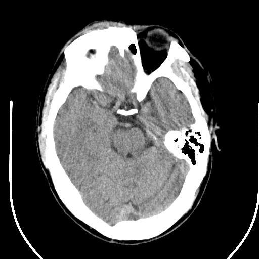
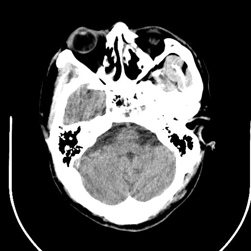
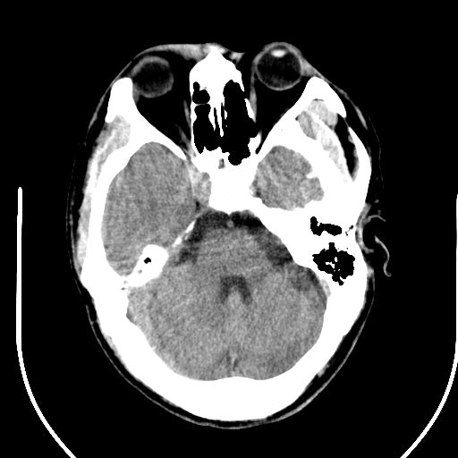
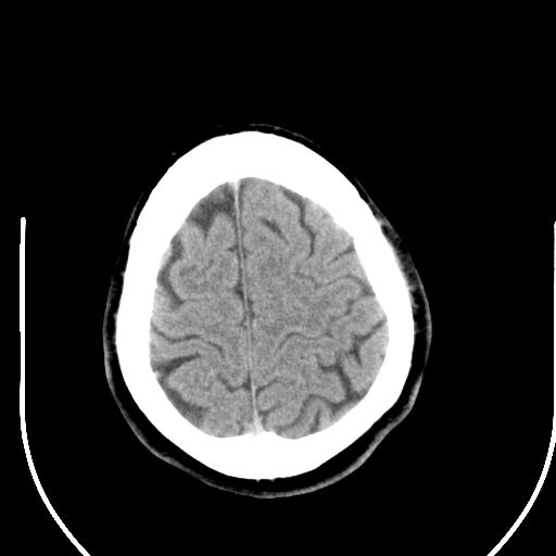
ct值约13hu。
































[本贴已被 jiajie 于 2010-3-30 19:29:06 修改过]

作者: 拂晓    时间: 2010-3-30 18:13
右顶叶低密度影考虑脑沟
作者: 快乐流星    时间: 2010-3-30 18:46
边缘清晰,没有占位效应,不像脑沟,结合ct值,软化灶可能吧
作者: zxl51642    时间: 2010-3-30 19:11
与脑沟没关系,小软化灶或陈旧性感染吧!
作者: 赵物学    时间: 2010-3-30 19:49
看样年纪不小了直接报腔梗,当然你要想报软化灶也是一样的
作者: 随光逐影    时间: 2010-3-30 22:27
考虑右侧额叶巨腔隙灶;建议必要时行mri检查。
作者: 草古木子    时间: 2010-3-31 05:07
软化灶。
作者: panyishengct    时间: 2010-3-31 06:05
软化灶。
作者: yuhongjun    时间: 2010-3-31 14:36
软化灶。
作者: yangyudong333    时间: 2010-3-31 14:42
软化灶。




欢迎光临 医影在线 (http://bbs.radida.com/bbs/) Powered by Discuz! X3.2