医影在线

标题: CT25424:女性,70岁,胸闷、咳嗽月余。 [打印本页]

作者: lp7169    时间: 2010-3-30 18:14
标题: CT25424:女性,70岁,胸闷、咳嗽月余。

























































[本贴已被 jiajie 于 2010-3-30 19:30:41 修改过]

作者: 求知若渴    时间: 2010-3-30 18:31
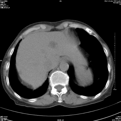
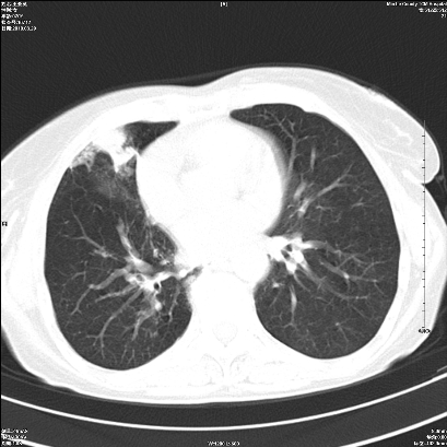
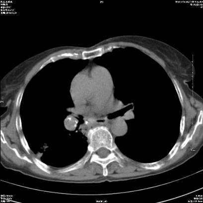
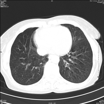
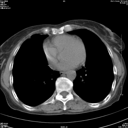
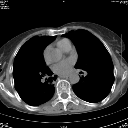
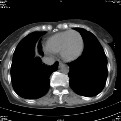
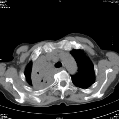
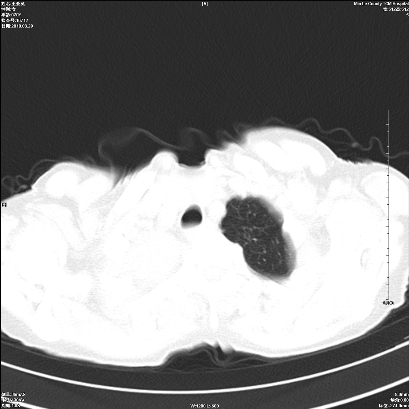
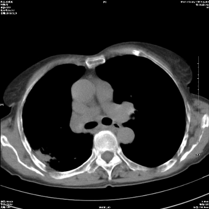
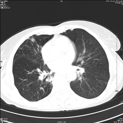
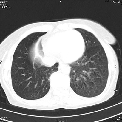
右肺上叶支气管开口阻塞,上叶呈不均匀致密影,右肺中下叶内见斑片状密度增高影,上叶见钙化点,纵隔内见钙化淋巴结,桶状胸,右下肺动脉增粗,残根征,意见:1.右肺中心性肺癌;2.右肺陈旧性结核;3.肺心病。
作者: 快乐流星    时间: 2010-3-30 18:54
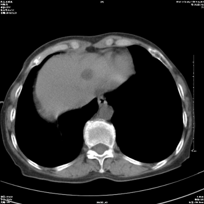
1 右肺门占位伴上叶不张 2 有肺多发感染 3 肝脏转移? 建议增强
作者: 深泽交通    时间: 2010-3-30 18:57
考虑右肺中心型肺癌并上叶不张
作者: 心路寻觅    时间: 2010-3-30 19:03
1、右侧中央型肺癌伴右肺上叶不张建议支气管镜检   2、右肺中叶及下叶陈旧性病灶   3、肝内多发低密度影,肝内多发转移不除外,建议ct增强!
作者: zxl51642    时间: 2010-3-30 19:13
标题: 回复:女性,70岁,胸闷、咳嗽月余。
以下是引用心路寻觅在2010-3-30 11:03:00的发言:[br]1、右侧中央型肺癌伴右肺上叶不张建议支气管镜检   2、右肺中叶及下叶陈旧性病灶   3、肝内多发低密度影,肝内多发转移不除外,建议ct增强!

支持
作者: 赵物学    时间: 2010-3-30 19:47
左肺上叶不张考虑占位建议支气管镜检查
左肺下中叶感染
双侧胸膜增厚
左肺条索影
肝脏多发占位建议增强检查
作者: 随光逐影    时间: 2010-3-30 22:42
1)考虑右肺中央型肺癌伴右肺上叶肺不张,右肺门淋巴结转移;建议行支纤维镜检查。2)右肺中叶、下叶及左肺上叶舌段感染性病变。3)肝内多发低密度影,不排除转移瘤可能;建议行ct增强扫描检查。
作者: yangyang2000    时间: 2010-3-31 04:52
1)考虑右肺中央型肺癌伴右肺上叶肺不张,右肺门淋巴结转移;建议行支纤维镜检查。2)右肺中叶、下叶及左肺上叶舌段感染性病变。3)肝内多发低密度影,不排除转移瘤可能;建议行ct增强扫描检查
zhichi
作者: 草古木子    时间: 2010-3-31 07:02
1)考虑右肺中央型肺癌伴右肺上叶肺不张,右肺门淋巴结转移;建议行支纤维镜检查。2)右肺中叶、下叶及左肺上叶舌段感染性病变。3)肝内多发低密度影,不排除转移瘤可能;建议行ct增强扫描检查。
作者: yuhongjun    时间: 2010-3-31 14:10
1、右侧中央型肺癌伴右肺上叶不张建议支气管镜检   2、右肺中叶及下叶陈旧性病灶   3、肝内多发低密度影,肝内多发转移不除外,建议ct增强!
作者: yangyudong333    时间: 2010-3-31 14:14
1、右侧中央型肺癌伴右肺上叶不张建议支气管镜检   2、右肺中叶及下叶陈旧性病灶   3、肝内多发低密度影,肝内多发转移不除外,建议ct增强!
作者: 黑白光影    时间: 2010-4-1 00:08
1、右侧中央型肺癌伴右肺上叶不张建议支气管镜检   2、右肺中叶及下叶陈旧性病灶   3、肝内多发低密度影,肝内多发转移不除外,建议ct增强!
作者: 翁志蓬    时间: 2010-4-1 04:49
标题: 考虑右肺上叶支气管内膜结核合并右肺上叶肺不张
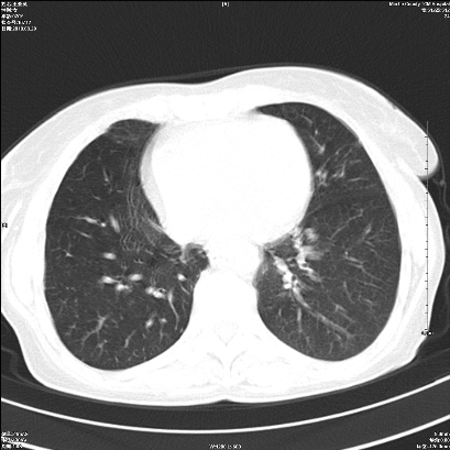
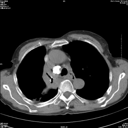
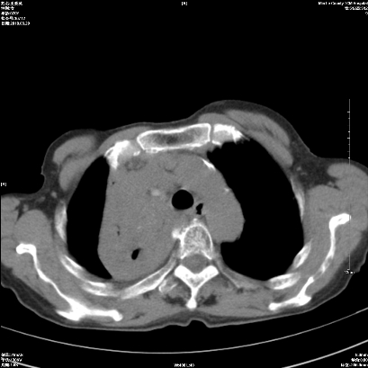
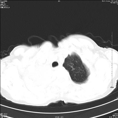
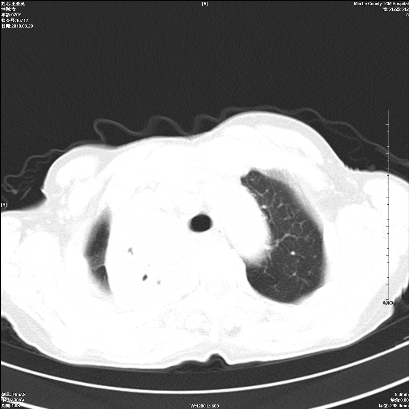
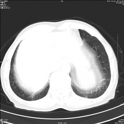
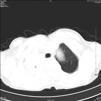
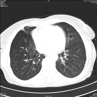
ct所见:右肺上叶肺不张,呈软组织密度影向肺门区聚拢,其内可见含气段支气管及细支气管影,病灶内尚可见钙化结节。右肺上叶支气管狭窄,段支气管壁可见钙化。右肺下叶背段、右肺中叶见不规则小片絮状影及纤维条索影,形态较僵硬。右肺中叶胸膜旁可见多个小结节影。纵膈内见钙化淋巴结。
分析:右侧胸廓及右肺体积缩小,说明病变时间比较长了,应该是有数年的时间了,如果是短期内出现的肺不张,只会引起纵膈向患侧移位,而不会引起胸廓的塌陷。不张的肺组织内可见含气支气管影,说明右肺上叶支气管没有完全中断,只是狭窄。右肺中叶、下叶散在不规则病灶,部分呈纤维化改变。纵膈内的淋巴结大部分钙化。因此,本例给我的感觉良性病变的可能是大。
结论:考虑右肺上叶支气管内膜结核合并右肺上叶肺不张;右肺中叶、下叶陈旧性肺结核改变。




欢迎光临 医影在线 (http://bbs.radida.com/bbs/) Powered by Discuz! X3.2