医影在线

标题: CT25434:胸部CT增强扫描 [打印本页]

作者: 王靖旗    时间: 2010-3-30 21:15
标题: CT25434:胸部CT增强扫描
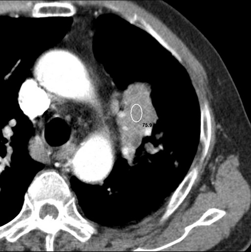
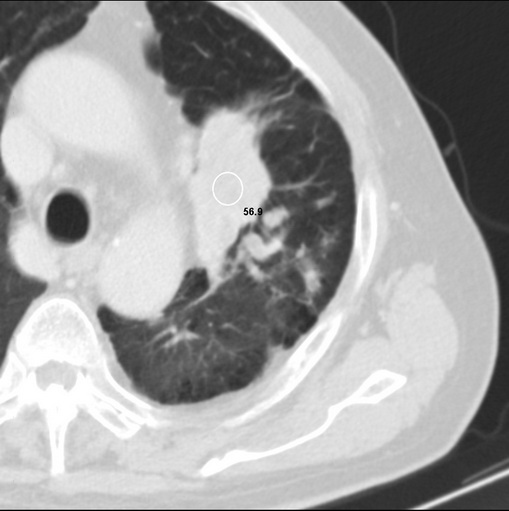
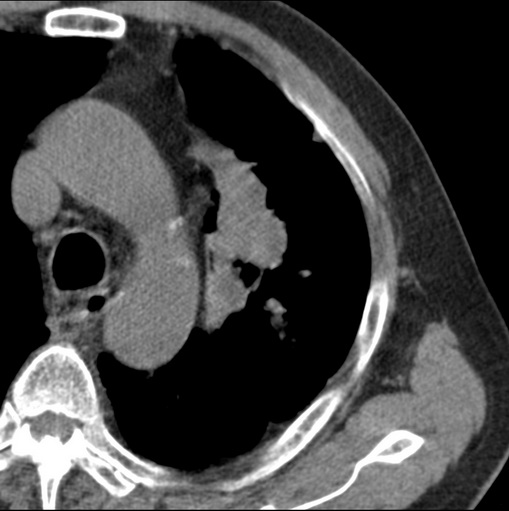
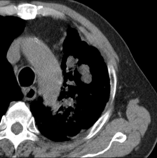
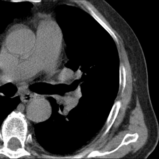
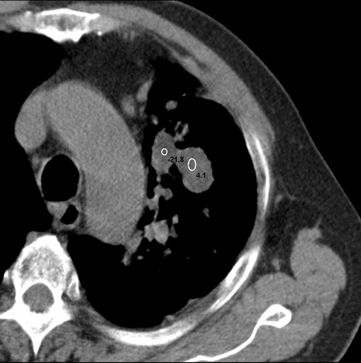
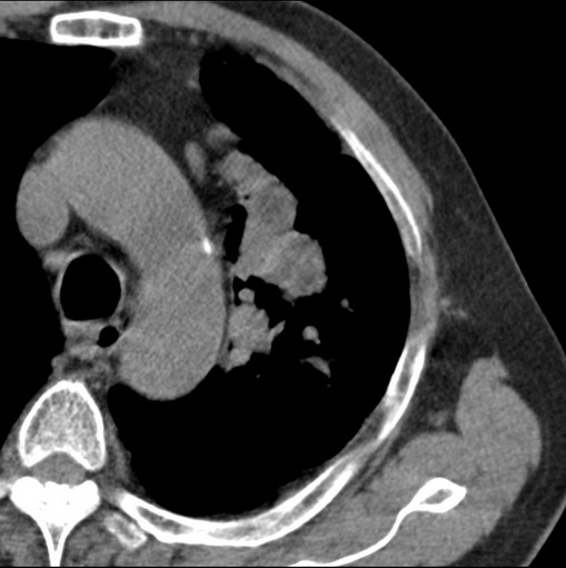
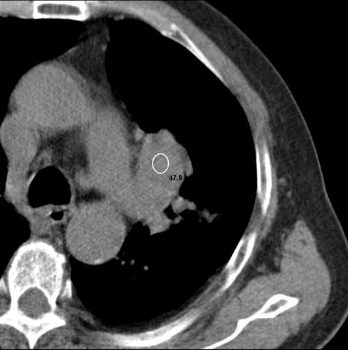
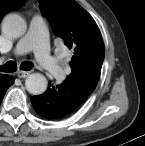
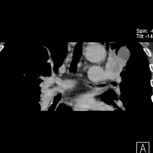
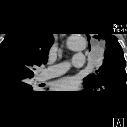
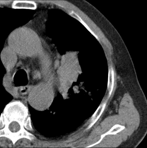
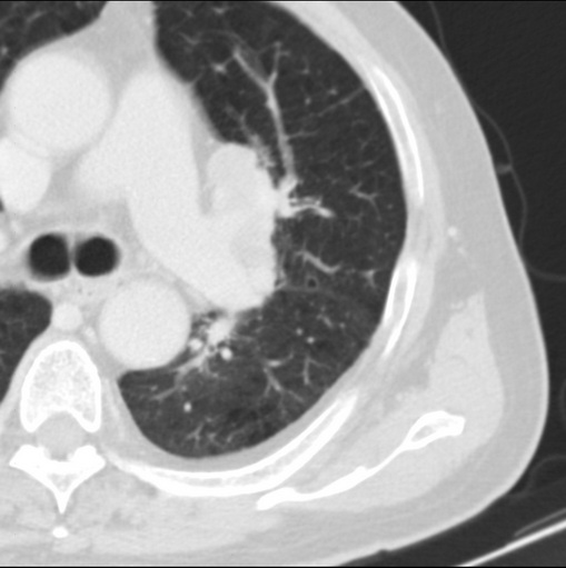
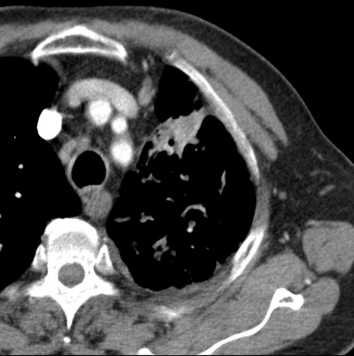
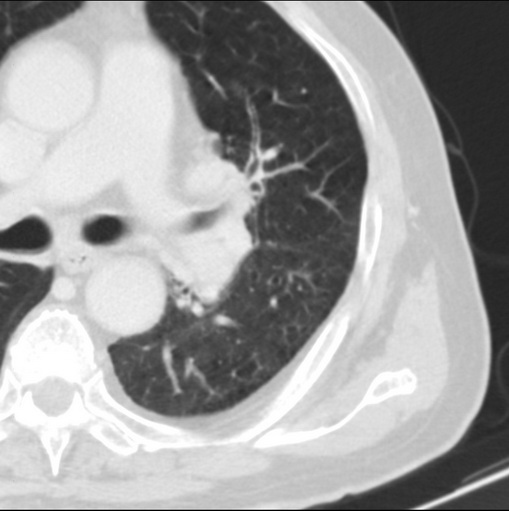
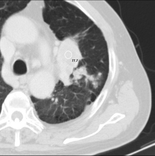
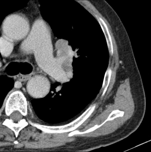
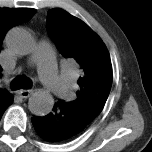
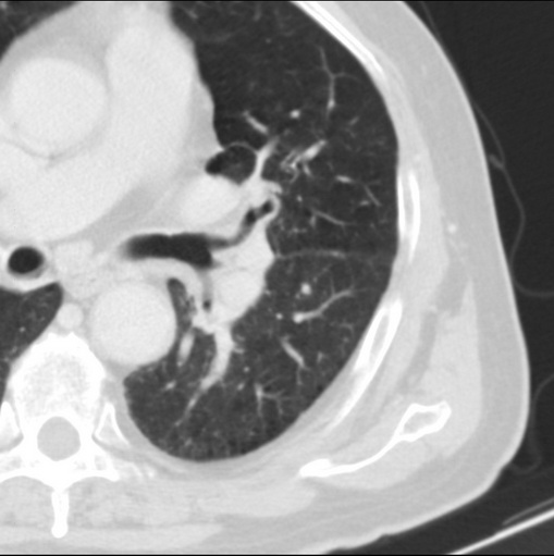
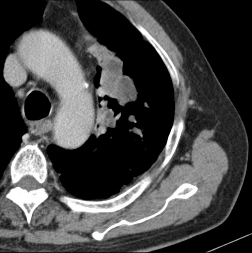
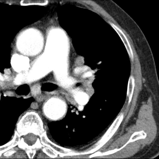
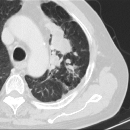
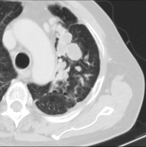
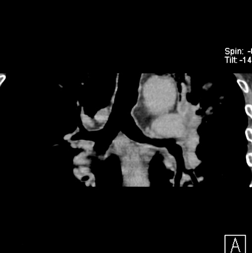
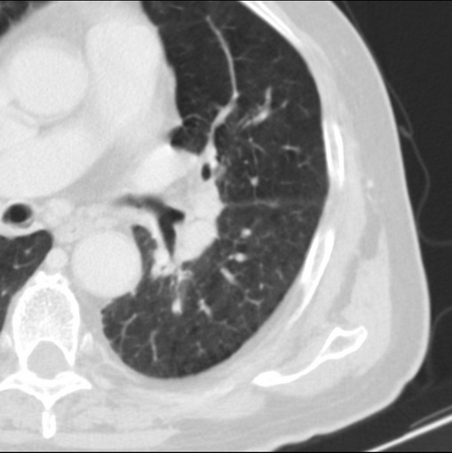
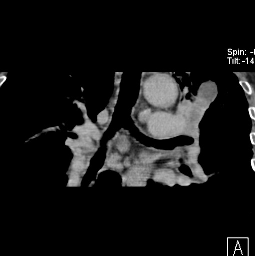
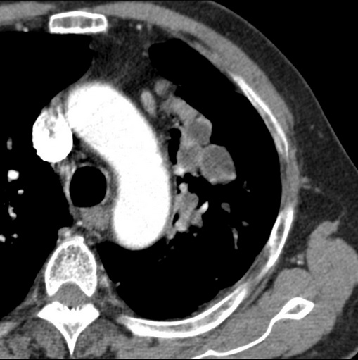
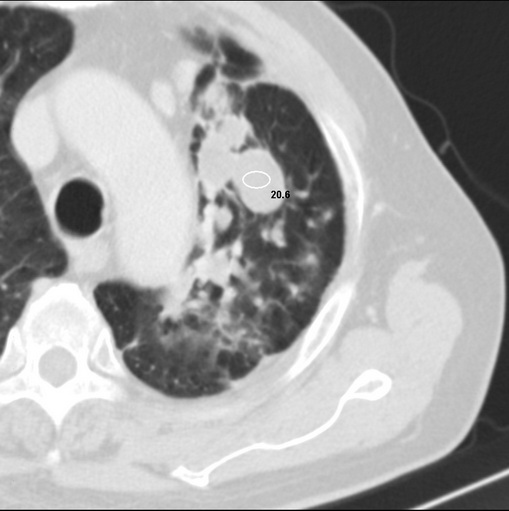
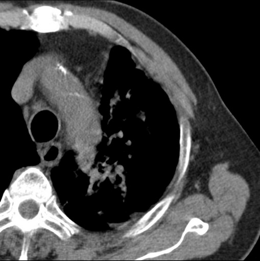
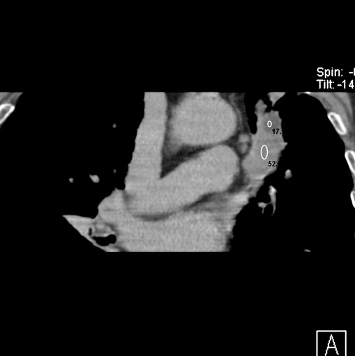
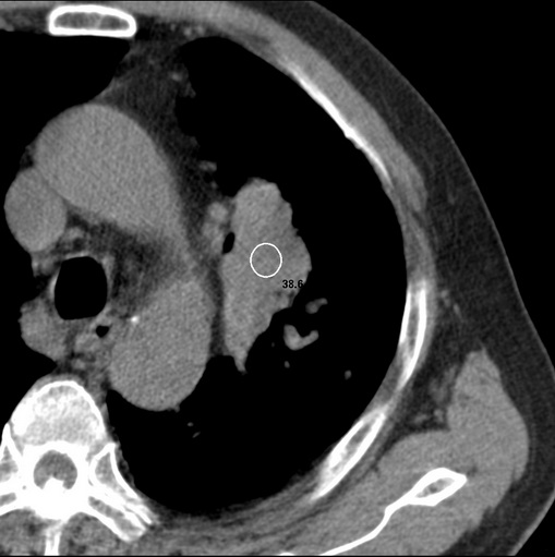
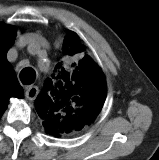
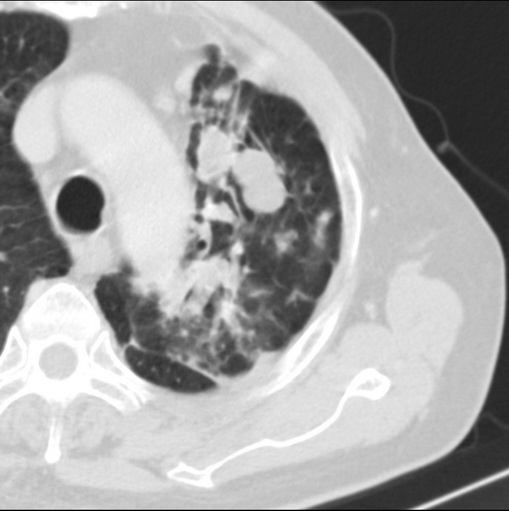
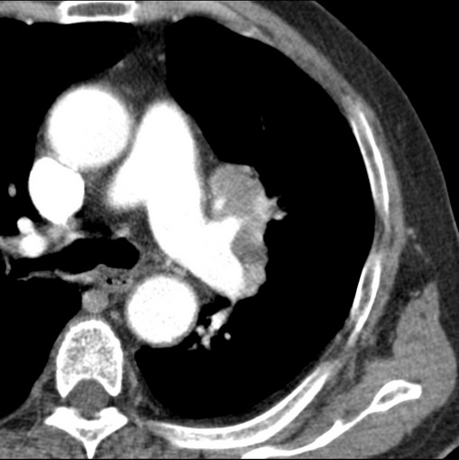
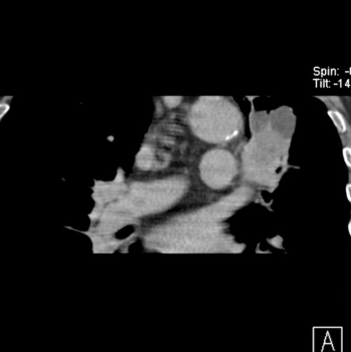
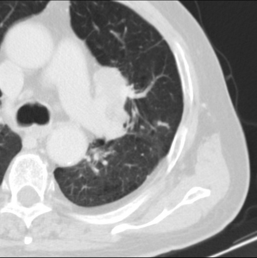
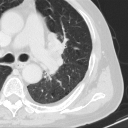
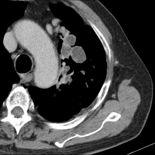
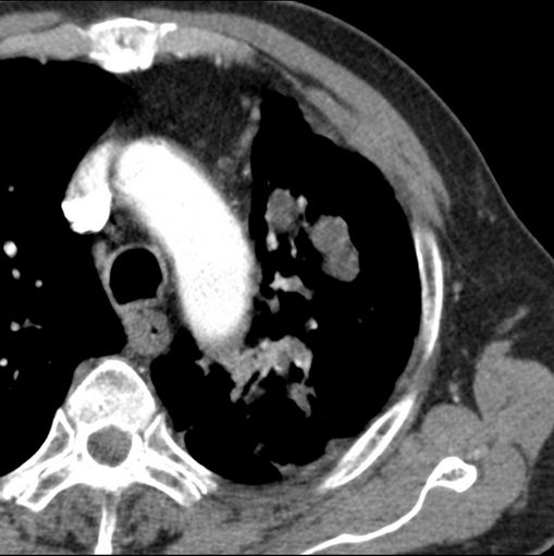
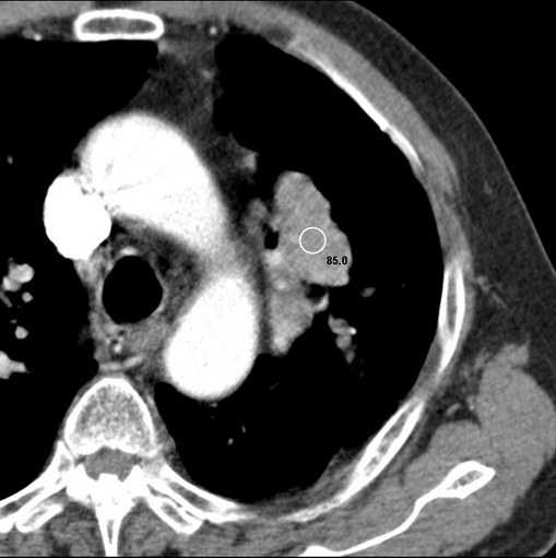
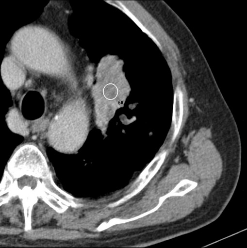
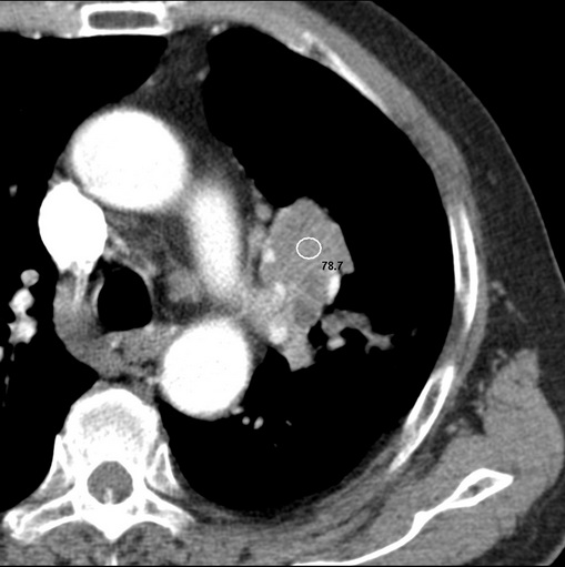
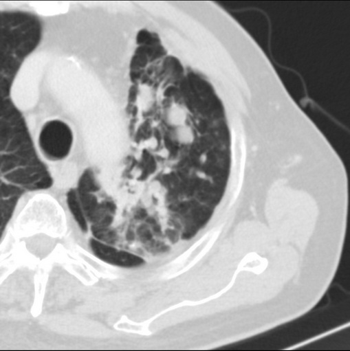
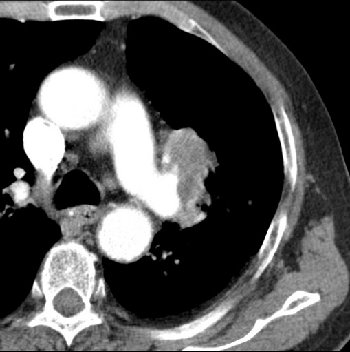
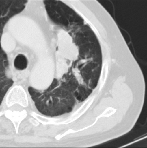
男性患者 81岁 咳嗽 咳痰 咯血


































































[本贴已被 jiajie 于 2010-3-30 20:09:59 修改过]

作者: 深泽交通    时间: 2010-3-30 22:54
有强化 考虑肺癌肺门淋巴结转移
作者: 求知若渴    时间: 2010-3-30 23:09
左肺中心型肺癌并:1.左肺阻塞性肺炎;2.纵隔淋巴结肿大;
作者: 湘江一滴    时间: 2010-3-30 23:12
强化较典型,左上肺癌并纵膈淋巴结转移;左上肺结核并空洞形成;胸膜增厚.
作者: 随光逐影    时间: 2010-3-30 23:23
考虑左上肺癌并阻塞性肺炎,左肺转移、左肺门及纵隔淋巴结转移。
作者: 心路寻觅    时间: 2010-3-30 23:48
支持左侧中央型肺癌伴肺门及纵膈淋巴结转移。
作者: zxl51642    时间: 2010-3-31 00:34
变态反应性支气管肺曲霉菌病与鳞癌鉴别,前者可能性大,左侧胸膜肥厚。
作者: 草古木子    时间: 2010-3-31 03:56
考虑肺癌。
作者: frzh    时间: 2010-3-31 03:59
考虑左上肺癌并阻塞性肺炎,左肺转移、左肺门及纵隔淋巴结转移。
作者: yangyang2000    时间: 2010-3-31 04:20
考虑左上肺癌并阻塞性肺炎,左肺转移、左肺门及纵隔淋巴结转移。
作者: yuhongjun    时间: 2010-3-31 14:16
左肺中心型肺癌并:1.左肺阻塞性肺炎;2.纵隔淋巴结肿大;
作者: yangyudong333    时间: 2010-3-31 14:20
强化较典型,左上肺癌并纵膈淋巴结转移;左上肺结核并空洞形成;胸膜增厚.
作者: 黑白光影    时间: 2010-4-1 00:37
考虑左上肺癌并阻塞性肺炎,左肺转移、左肺门及纵隔淋巴结转移。
作者: fengyuzhe1970    时间: 2010-4-1 00:43
肺癌伴转移
作者: 翁志蓬    时间: 2010-4-1 05:21
标题: 考虑左侧中央型肺癌可能性大
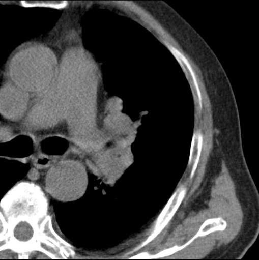
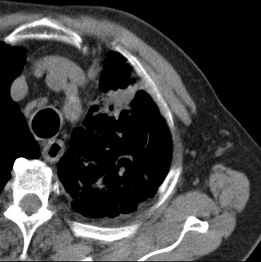
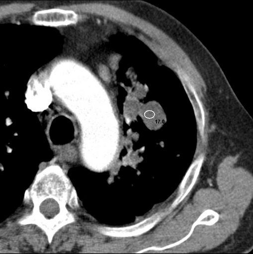
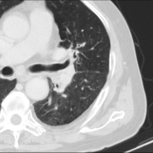
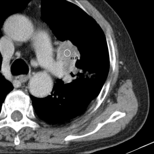
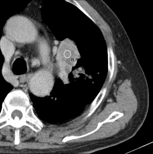
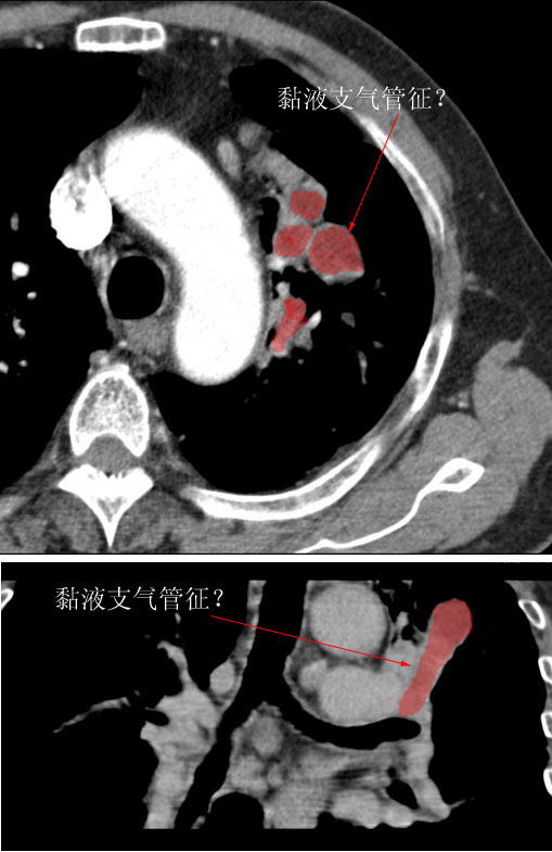
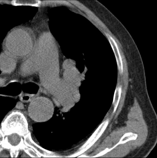
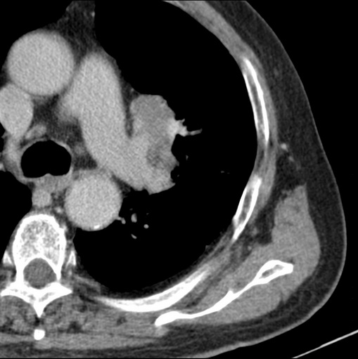
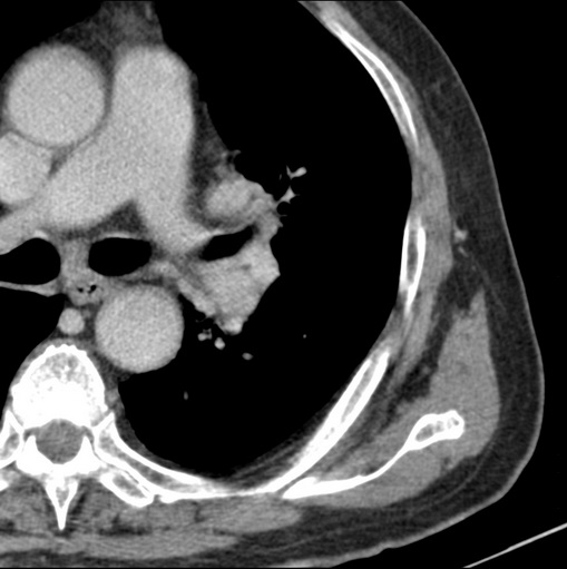
肿块贴近左肺门,包绕左上肺动脉,形态不规则。肿块增强扫描中度强化。纵膈内主动脉弓左旁间隙、气管隆突前、下间隙见多枚淋巴结影。综上考虑左侧中央型肺癌可能性大。图片没有完整上传,尤其是左肺上叶支气管分支层面没有上传,因此不好判断是叶支气管中断还是段支气管中断。另外,下图红色部分所示是“黏液支气管征”吗?

作者: panyishengct    时间: 2010-4-1 07:14
考虑左上肺癌并阻塞性肺炎,左肺转移、左肺门及纵隔淋巴结转移。
作者: mary-zhou    时间: 2010-4-1 19:33
左上肺癌并阻塞性肺炎,左肺转移、左肺门及纵隔淋巴结转移。
作者: dr.yang    时间: 2013-5-15 22:13
考虑左上肺癌并阻塞性肺炎,左肺转移、左肺门及纵隔淋巴结转移。




欢迎光临 医影在线 (http://bbs.radida.com/bbs/) Powered by Discuz! X3.2