医影在线
标题: CT25435:头皮下高密度影??? [打印本页]
作者: 新竹平易 时间: 2010-3-30 21:21
标题: CT25435:头皮下高密度影???
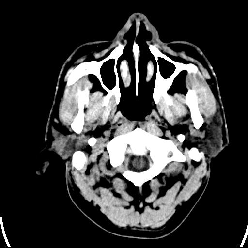
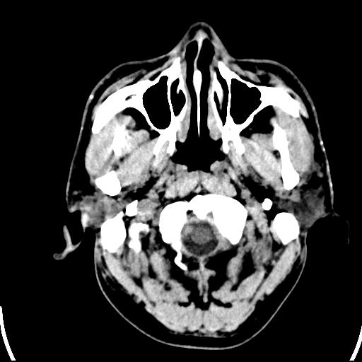
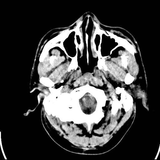
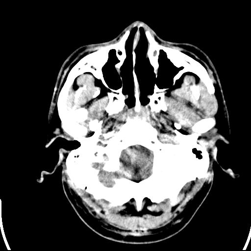
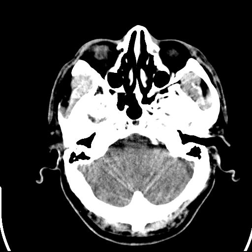
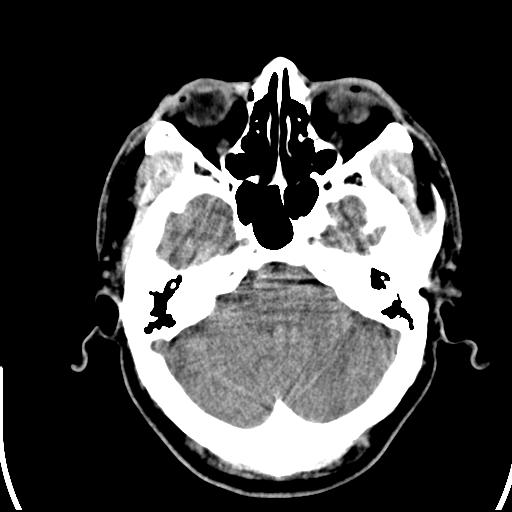
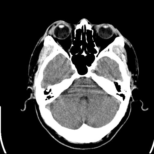
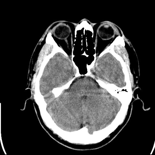
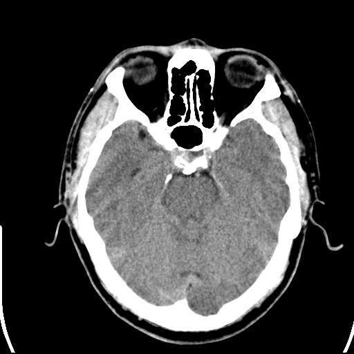
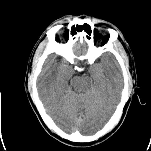
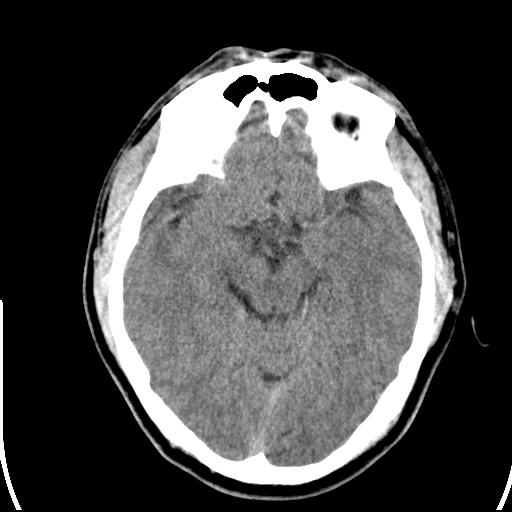
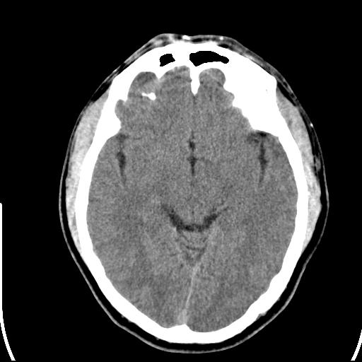
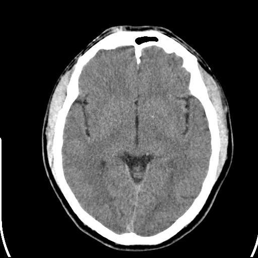
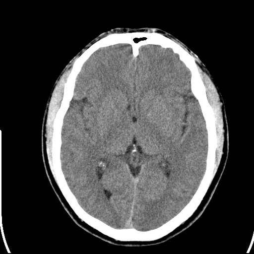
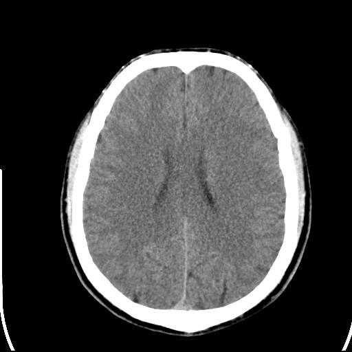
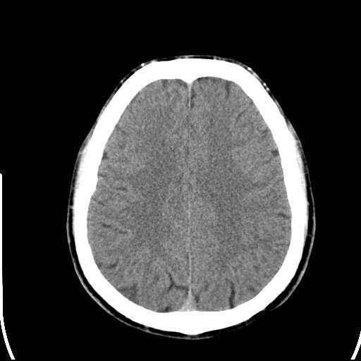
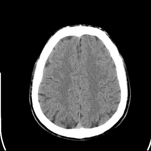
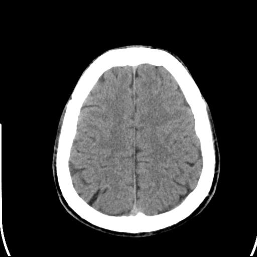
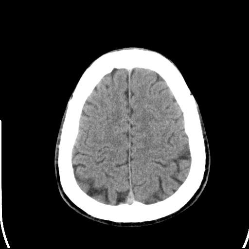
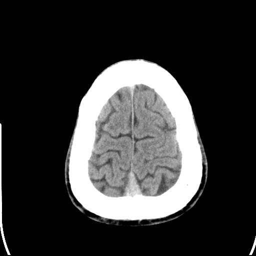
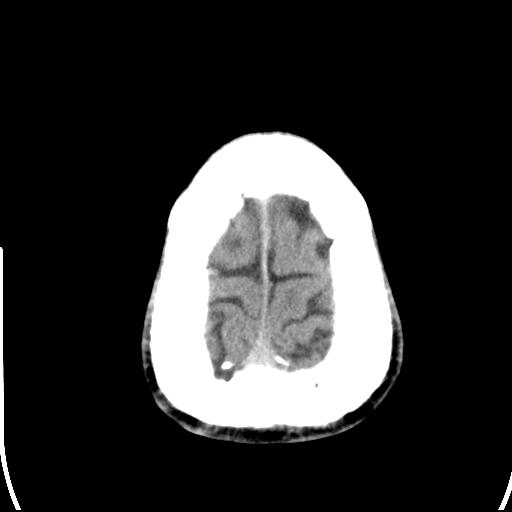
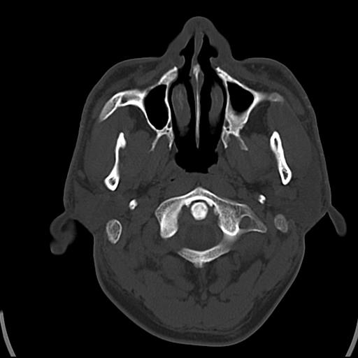
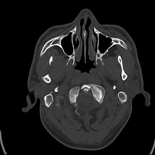
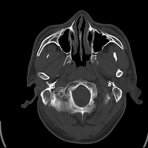
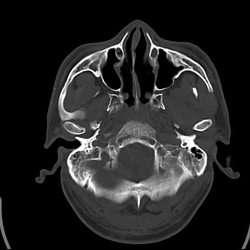
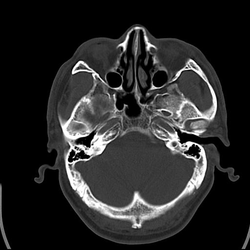
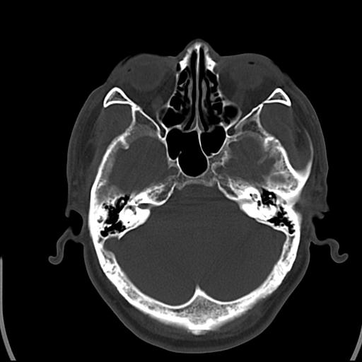
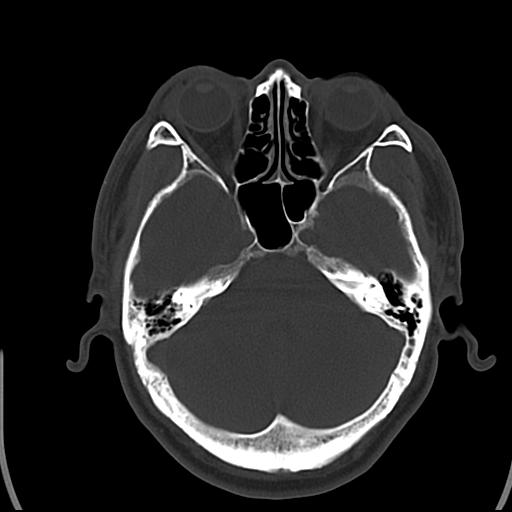
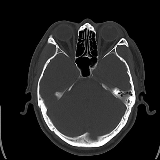
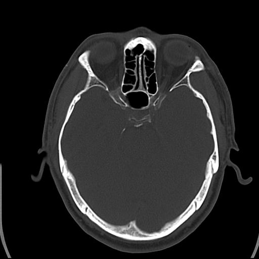
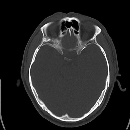
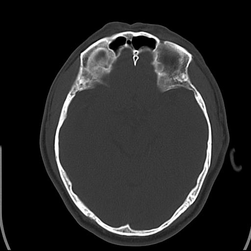
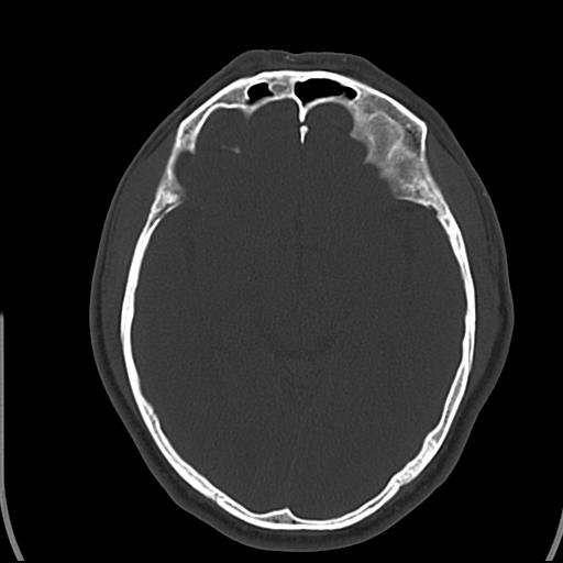
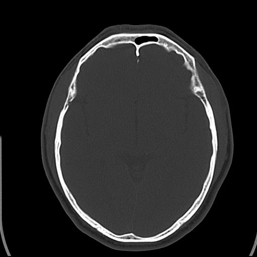
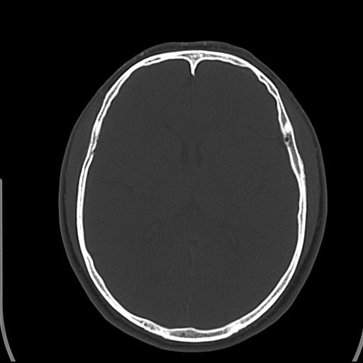
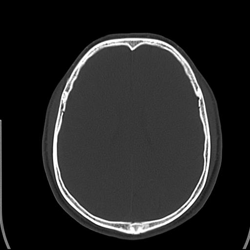
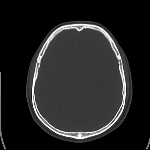
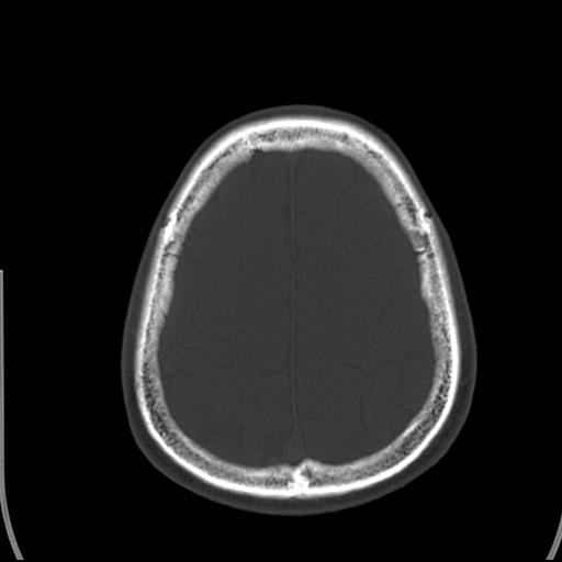
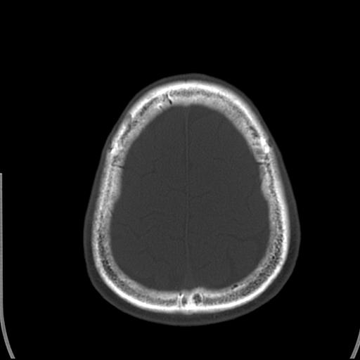
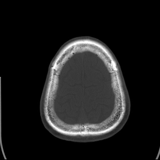
头皮下高密度结节影???临床上在老年男性比较常见。大家看看是什么?成因是? 本例患者,男性,51岁。外伤来诊。无染发史及发根植入史。
























































[本贴已被 jiajie 于 2010-3-30 20:13:01 修改过]
作者: 赵物学 时间: 2010-3-30 21:31
标题: 不知道
你说的是皮肤上的高密度占性影吧,没见过,不过我想一是没事,二是怎么来的可能是有点不全钙化的意思吧,没见过所以不知道
另外这人有没有格氏眼病
知道的说一下,让你们看看皮肤上的高密度影是怎么来的呢
改下吧,我看了半天觉得还得报皮下,没报过皮肤结节啊,反正就是亮占了
[本贴已被 赵物学 于 2010-3-30 13:35:53 修改过]
作者: 深泽交通 时间: 2010-3-30 22:51
未见明显异常
作者: 随光逐影 时间: 2010-3-30 23:27
考虑异物。
作者: 湘江一滴 时间: 2010-3-30 23:33
皮下钙化点
作者: 0o80o0 时间: 2010-3-30 23:47
看了有点不知所措!
作者: zxl51642 时间: 2010-3-31 00:23
没见过,可能为毛囊钙化。
作者: 草古木子 时间: 2010-3-31 05:21
考虑钙化。
作者: yuhongjun 时间: 2010-3-31 14:17
考虑钙化。
作者: yangyudong333 时间: 2010-3-31 14:28
未见明显异常
作者: 黑白光影 时间: 2010-4-1 00:44
这种东西有时要结合触诊和望诊。
| 欢迎光临 医影在线 (http://bbs.radida.com/bbs/) |
Powered by Discuz! X3.2 |