医影在线
标题: CT25436:肺内多发结节影?? [打印本页]
作者: 新竹平易 时间: 2010-3-30 21:25
标题: CT25436:肺内多发结节影??
(结果公布:http://www.radida.com/bbs/forum.php?mod=viewthread&tid=71859)
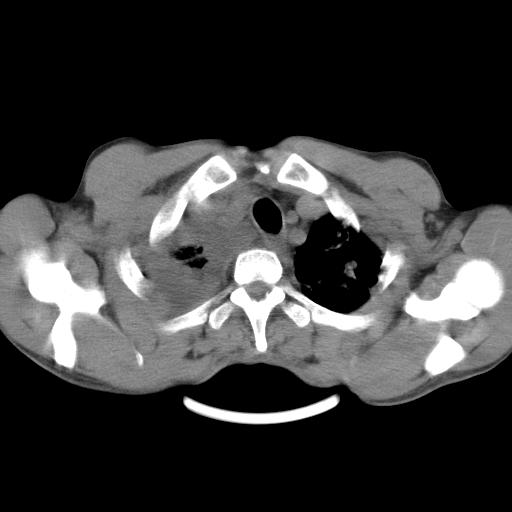
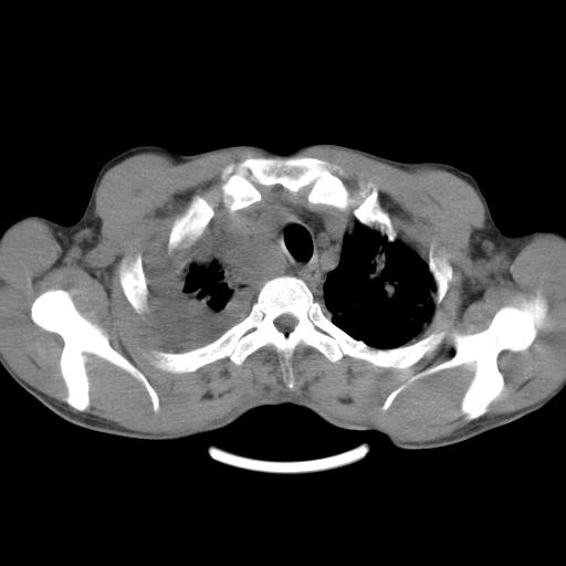
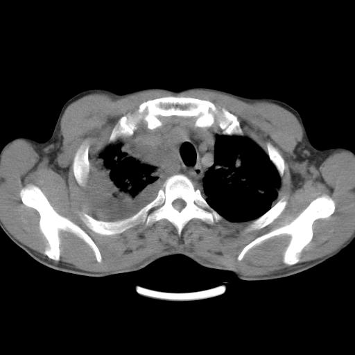
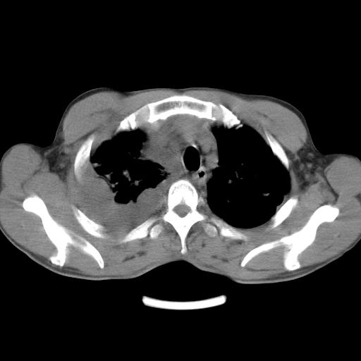
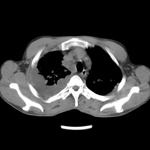
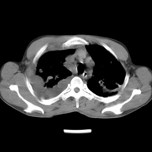
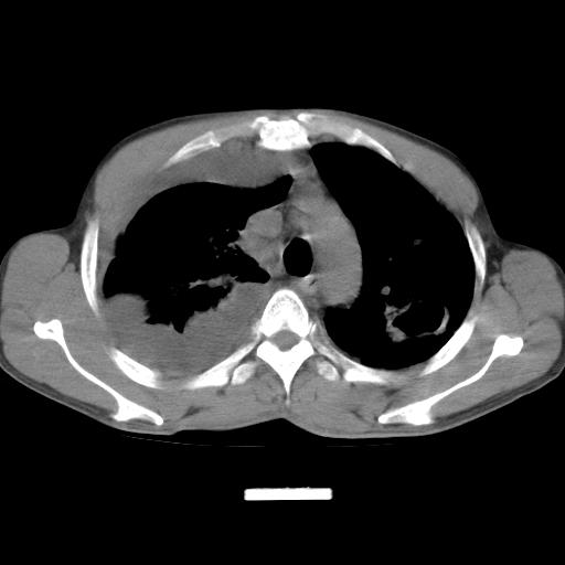
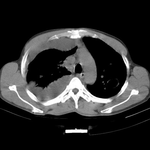
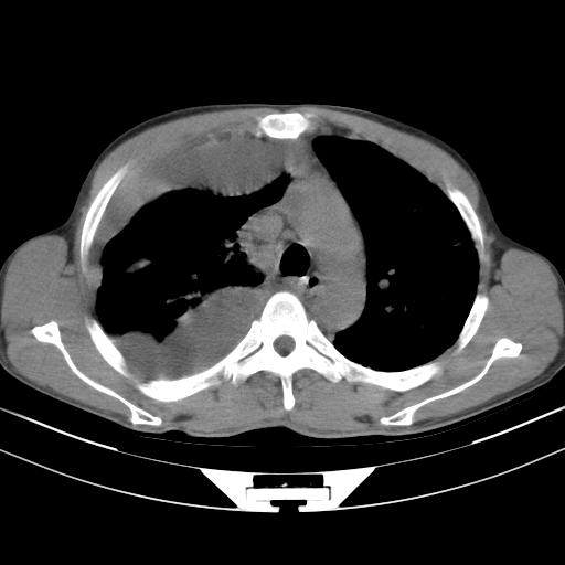
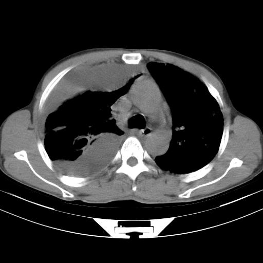
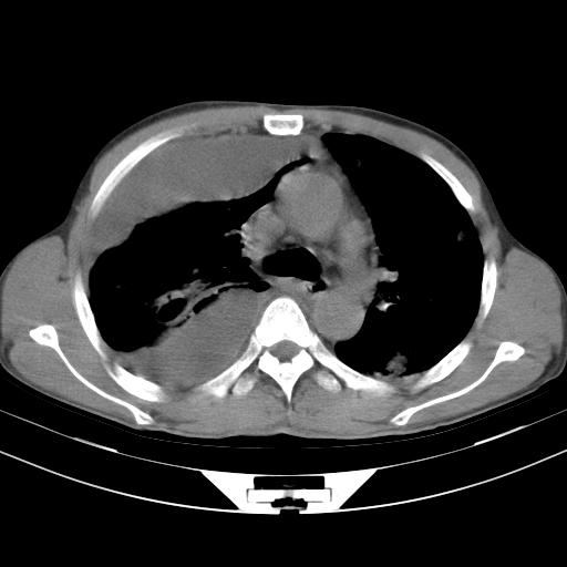
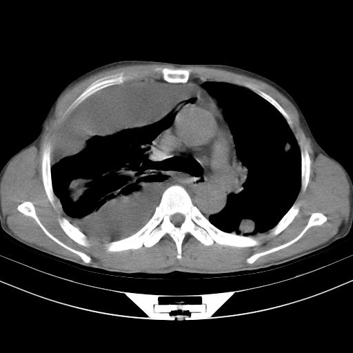
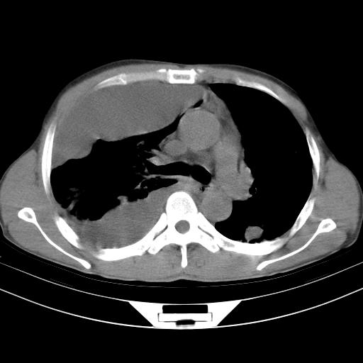
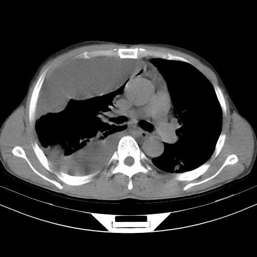
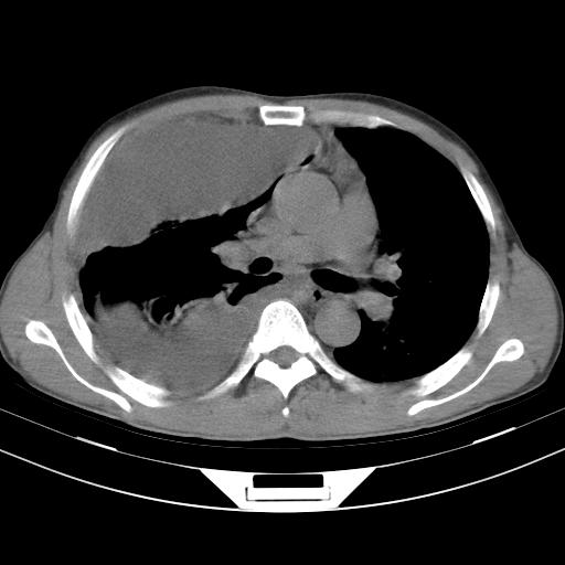
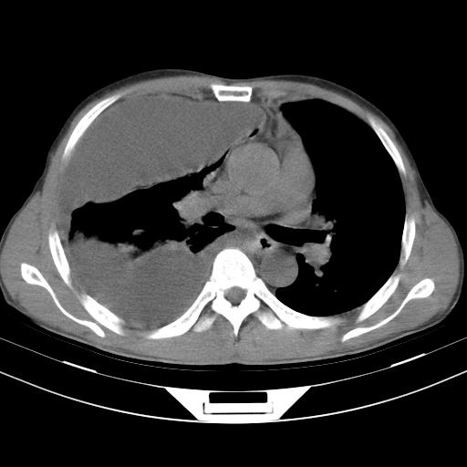
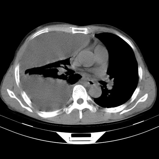
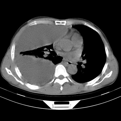
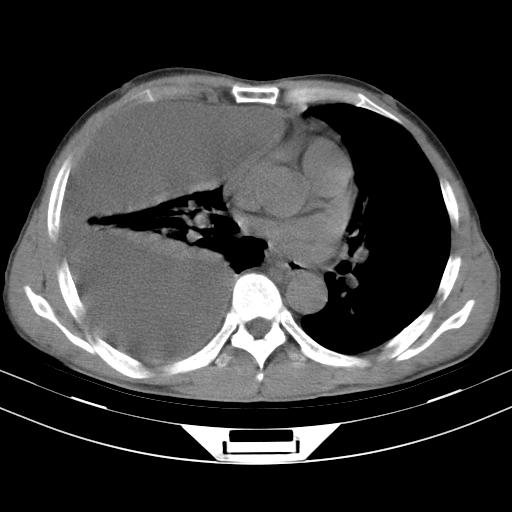
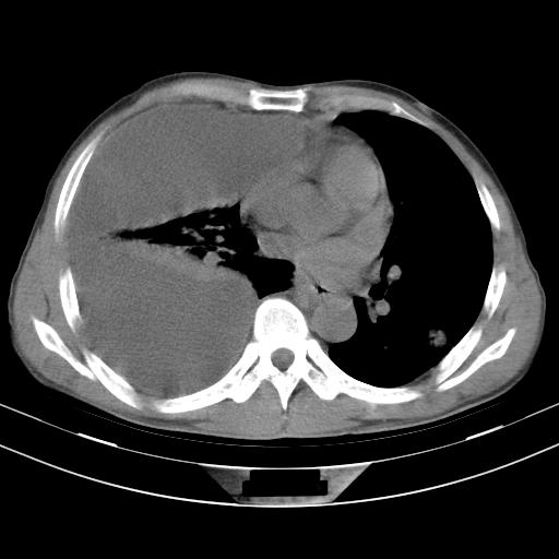
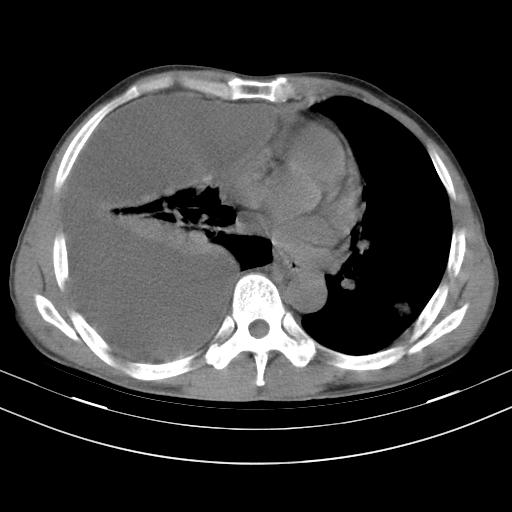
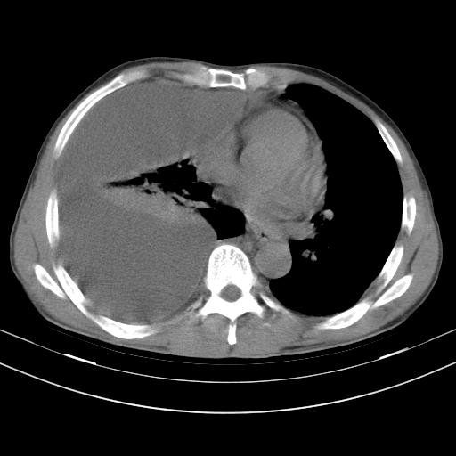
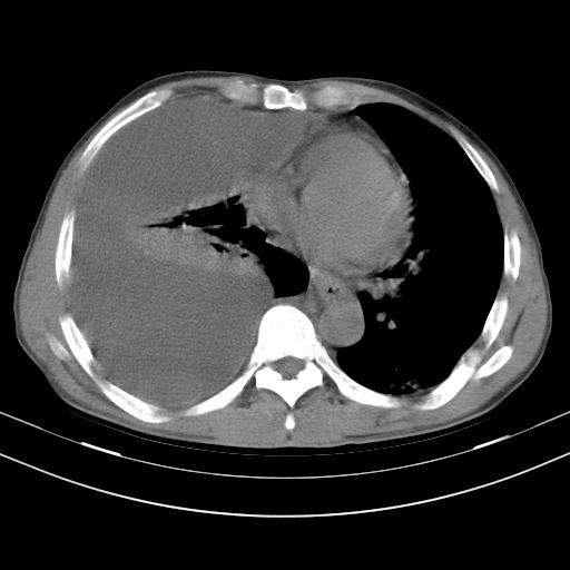
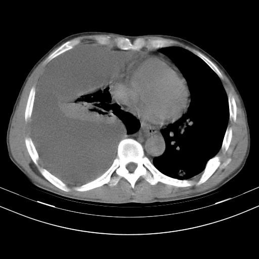
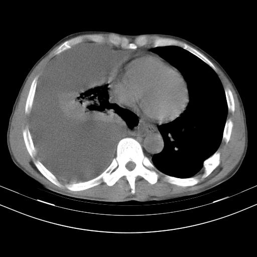
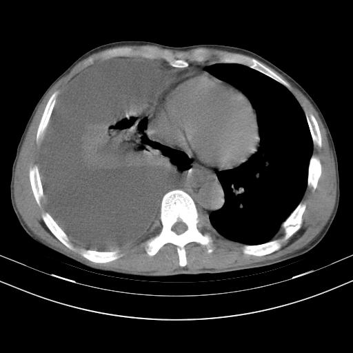
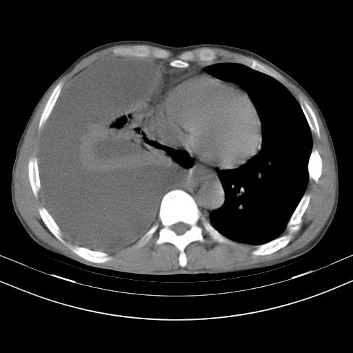
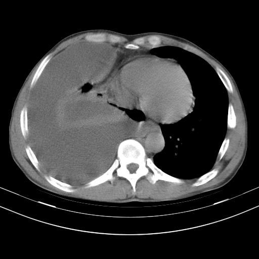
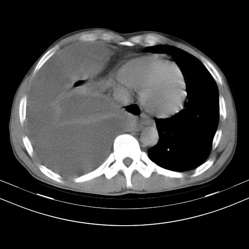
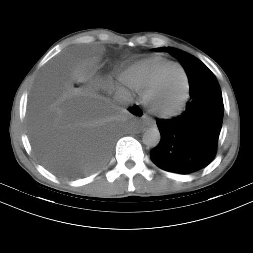
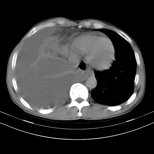
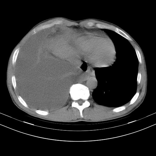
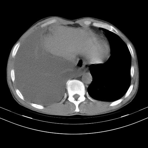
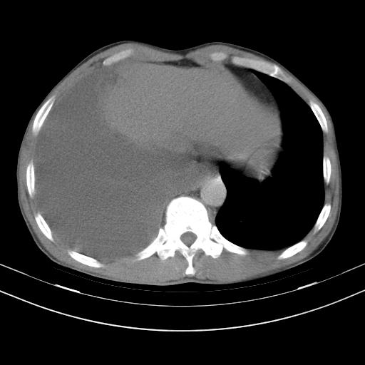
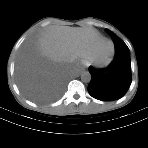
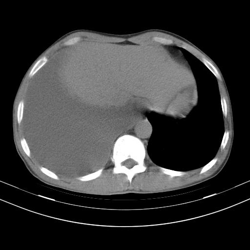
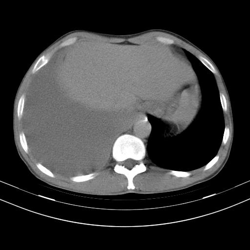
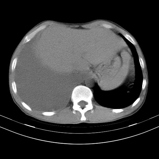
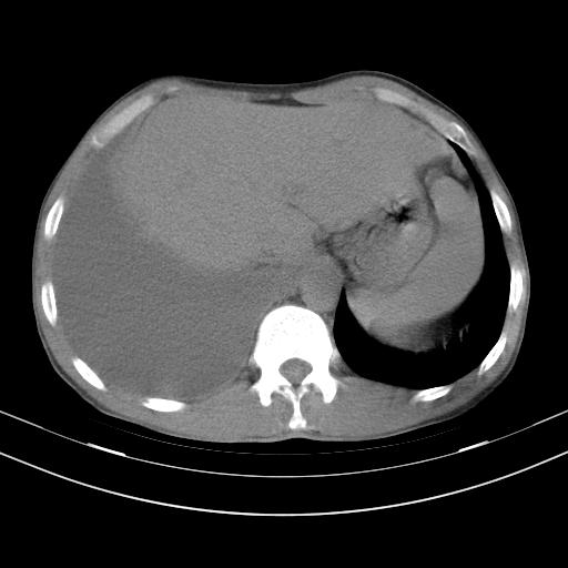
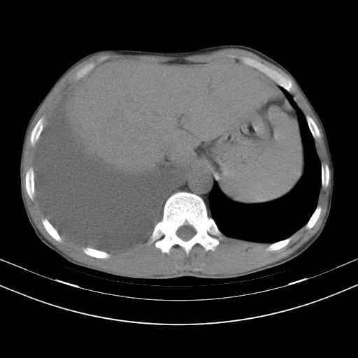
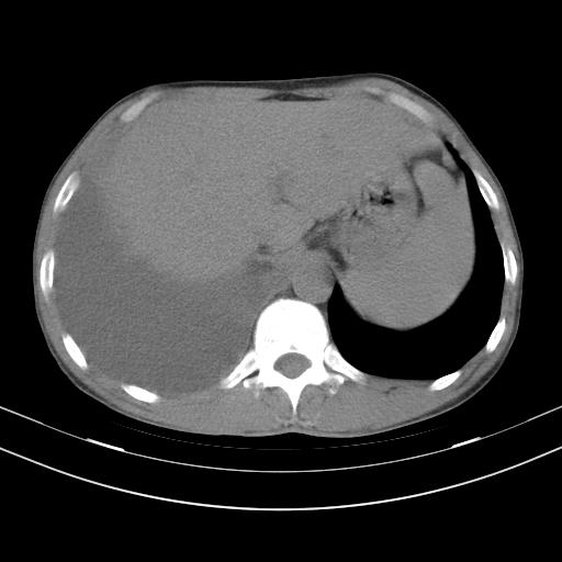
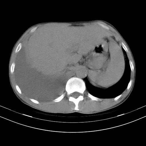
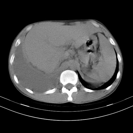
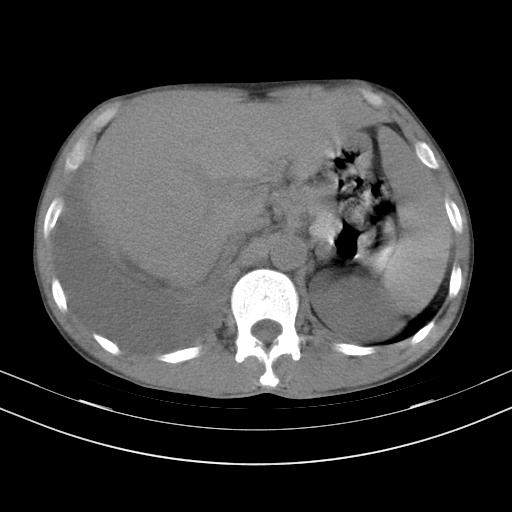
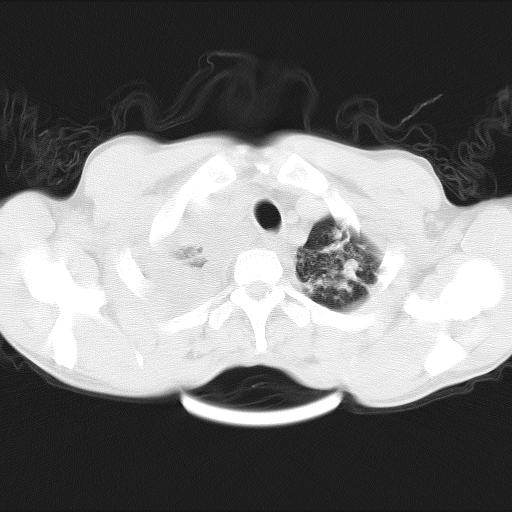
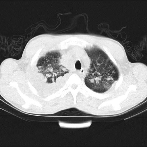
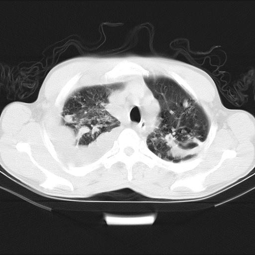
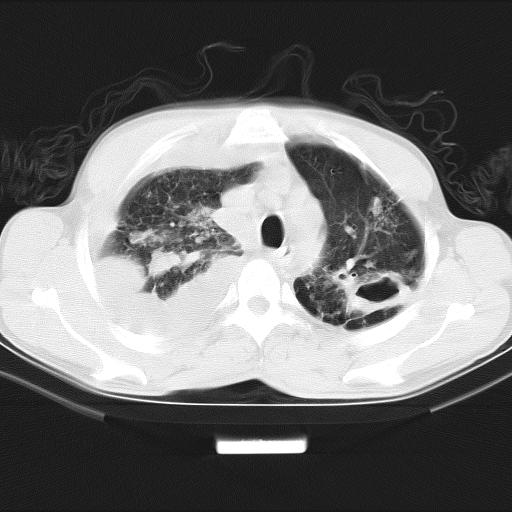
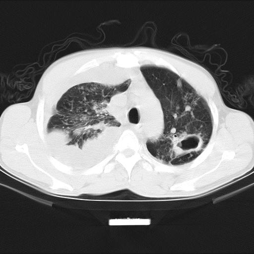
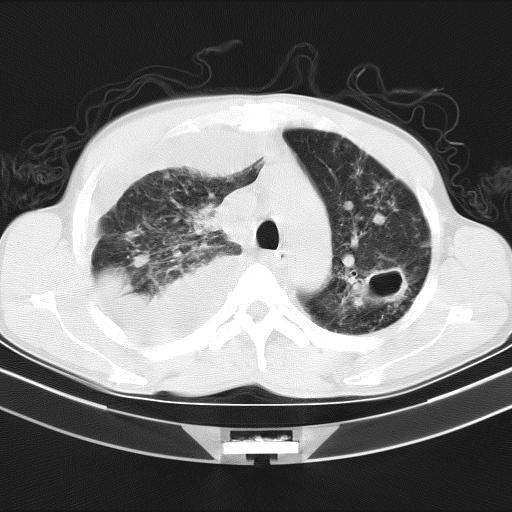
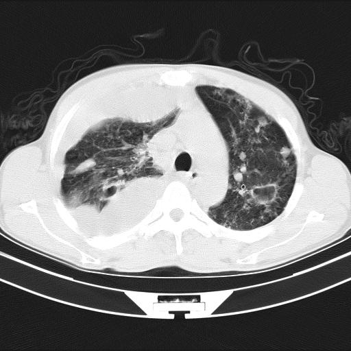
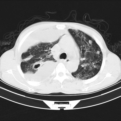
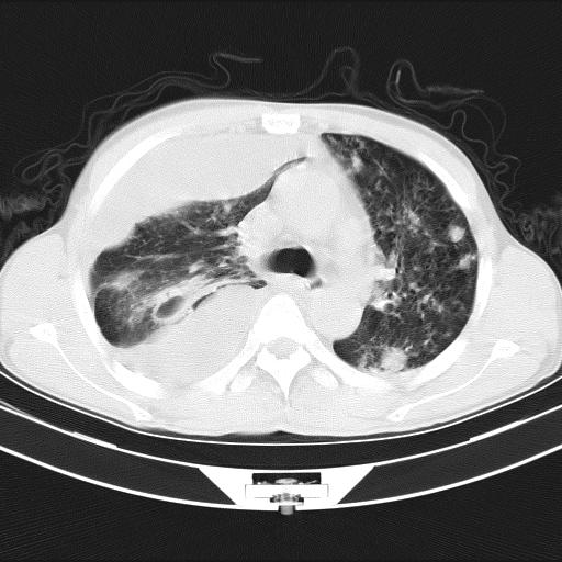
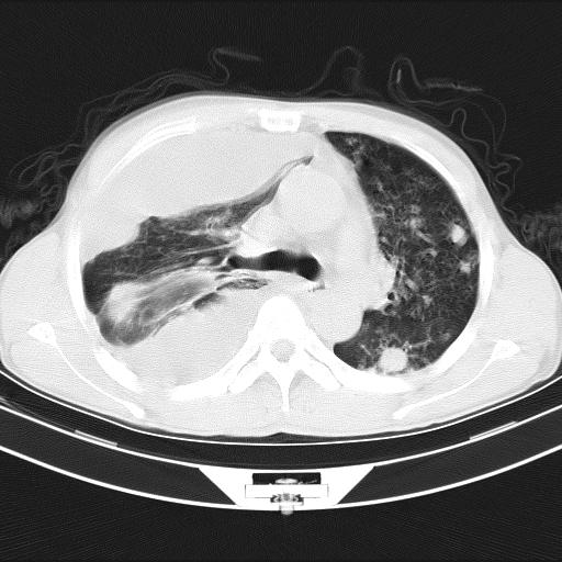
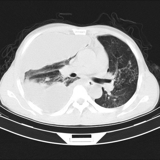
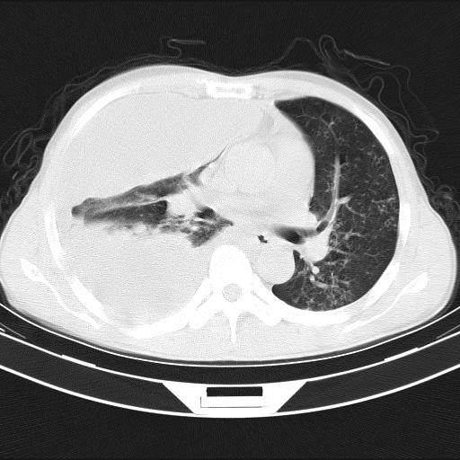
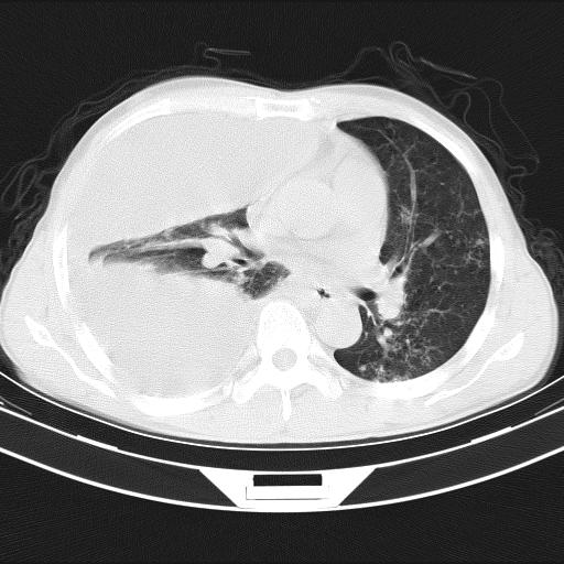
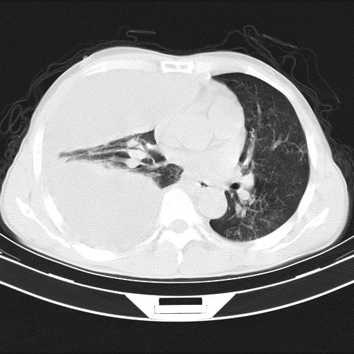
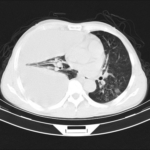
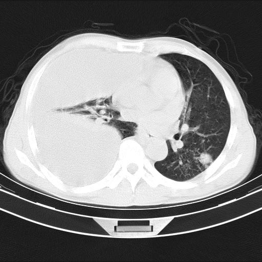
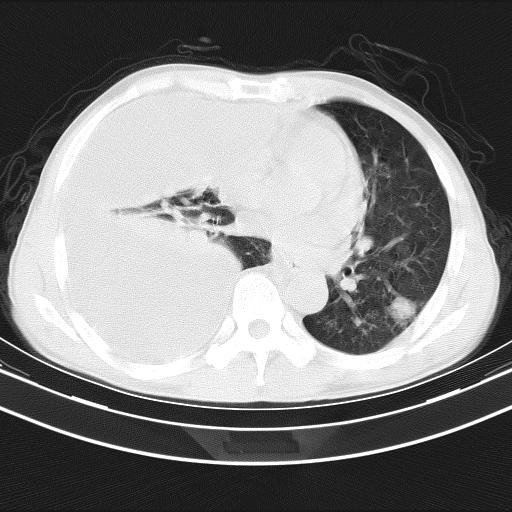
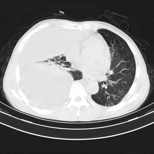
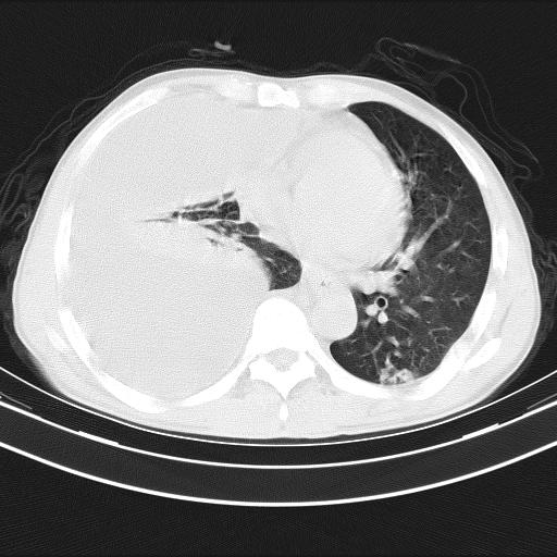
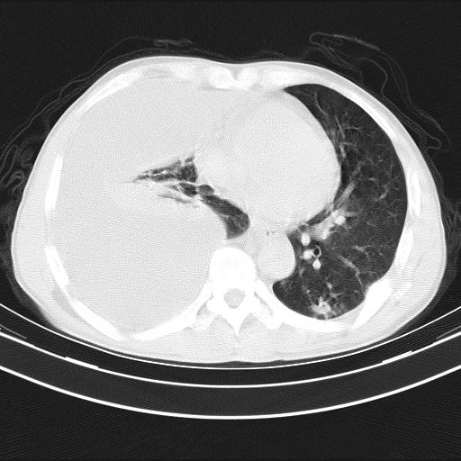
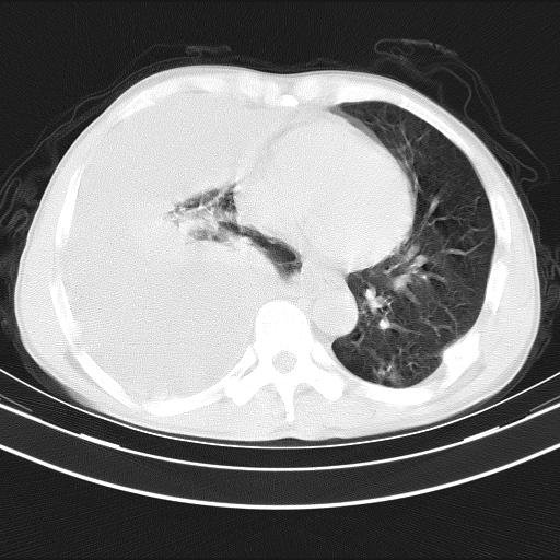
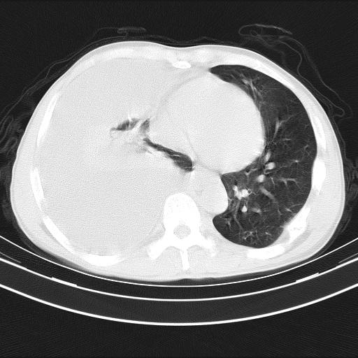
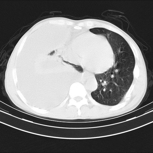
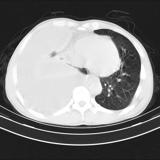
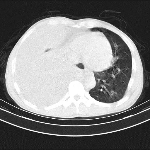
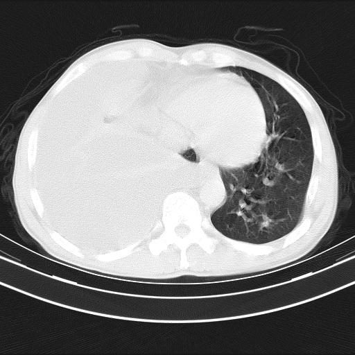
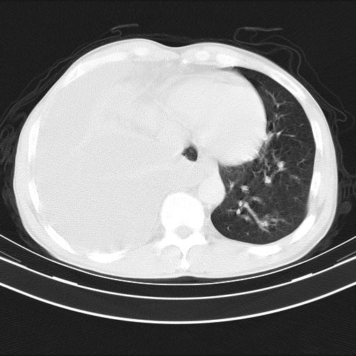
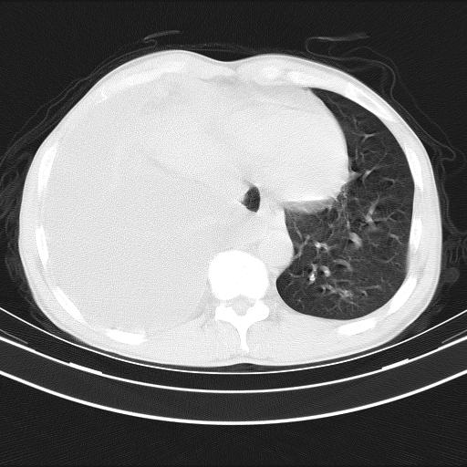
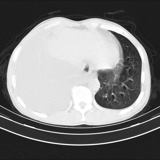
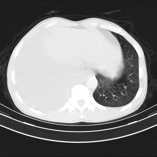
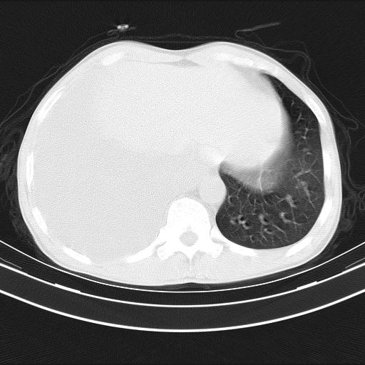
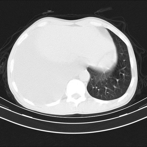
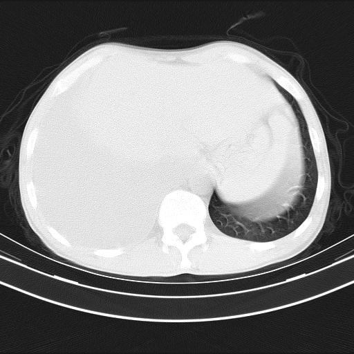
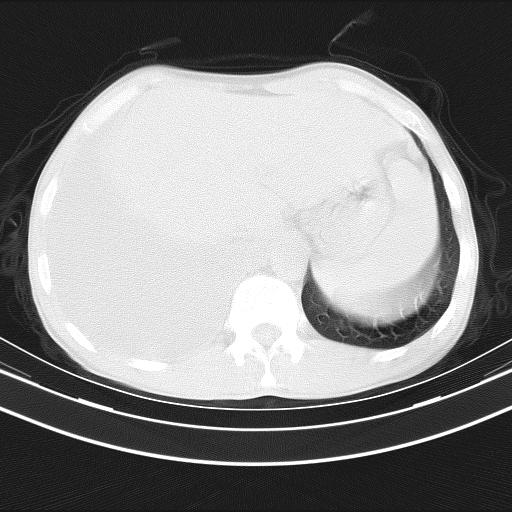
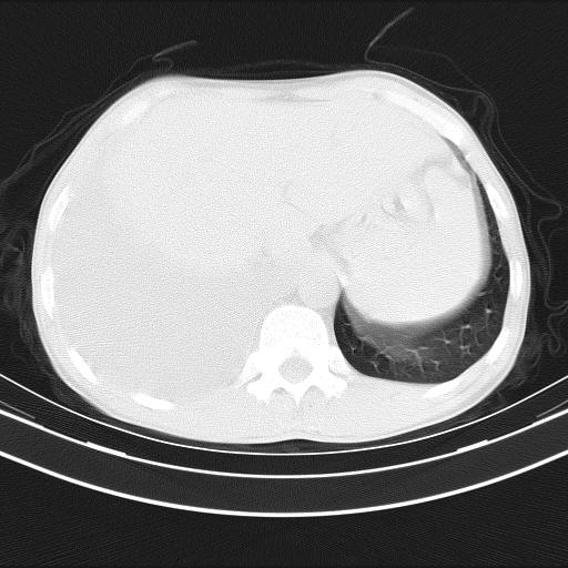
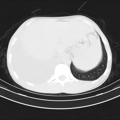
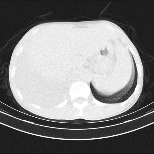
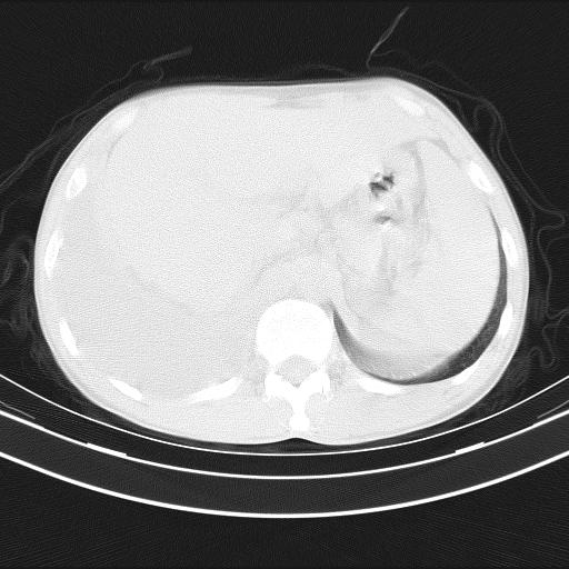
男性,44岁,结核病史多年。现胸闷气短,咳嗽,偶咳血。

































































































[本贴已被 jiajie 于 2010-3-30 20:13:23 修改过]
[本贴已被 jiajie 于 2010-10-12 18:33:25 修改过]
作者: 赵物学 时间: 2010-3-30 21:43
右侧胸腔积液
右肺下叶不张
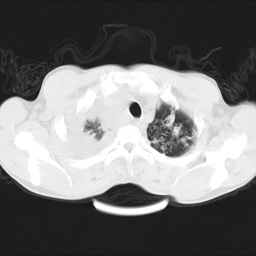
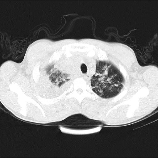
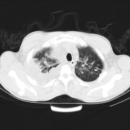
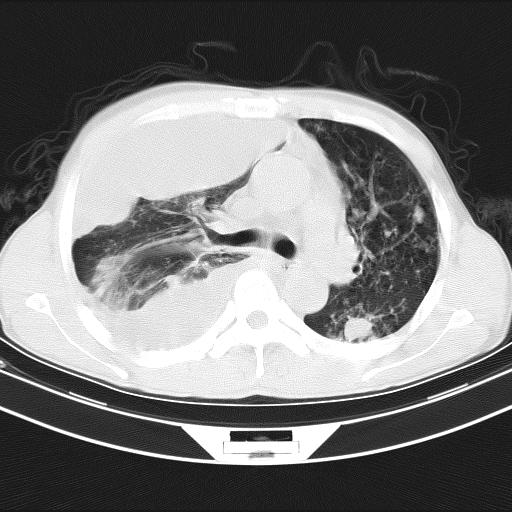
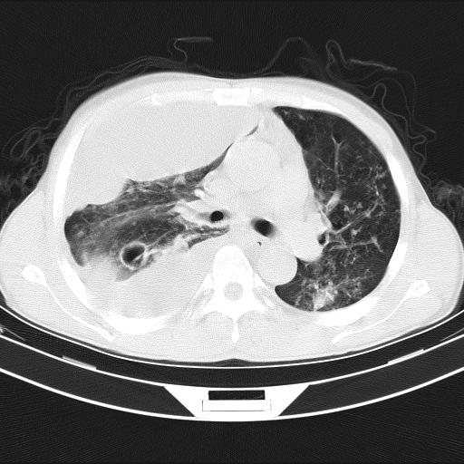
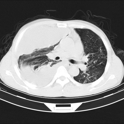
双肺多发结节影最分空洞形成考虑占位不除外结核
双肺陈旧性病变
作者: 深泽交通 时间: 2010-3-30 22:48
左肺纵膈淋巴结有转移
作者: 心路寻觅 时间: 2010-3-30 22:50
1、右侧大量胸腔积液伴右肺压缩性膨胀不全,建议抽液治疗后复查 2、两肺继发性tb伴空洞形成。
作者: 随光逐影 时间: 2010-3-30 23:32
1)两肺继发性肺结核伴空洞形成,左肺多发性结核球。2)右侧大量胸腔积液伴右肺部分膨胀不全。3)纵隔淋巴结肿大。
作者: jgr 时间: 2010-3-30 23:40
支持楼上意见
作者: 37度 时间: 2010-3-31 00:05
标题: 回复:肺内多发结节影??
以下是引用随光逐影在2010-3-30 15:32:00的发言:[br]1)两肺继发性肺结核伴空洞形成,左肺多发性结核球。2)右侧大量胸腔积液伴右肺部分膨胀不全。3)纵隔淋巴结肿大。
作者: pujunzhi 时间: 2010-3-31 00:34
支持1)两肺继发性肺结核伴空洞形成。2)右侧大量胸腔积液伴右肺部分膨胀不全。3)纵隔淋巴结肿大。
作者: zxl51642 时间: 2010-3-31 00:35
以下是引用随光逐影在2010-3-30 15:32:00的发言:
1)两肺继发性肺结核伴空洞形成,左肺多发性结核球。2)右侧大量胸腔积液伴右肺部分膨胀不全。3)纵隔淋巴结肿大。
支持!
作者: ZJB 时间: 2010-3-31 02:14
支持大家
作者: yangyang2000 时间: 2010-3-31 04:35
支持1)两肺继发性肺结核伴空洞形成。2)右侧大量胸腔积液伴右肺部分膨胀不全。3)纵隔淋巴结肿大
作者: 草古木子 时间: 2010-3-31 06:14
1)两肺继发性肺结核伴空洞形成,左肺多发性结核球。2)右侧大量胸腔积液伴右肺部分膨胀不全。3)纵隔淋巴结肿大。
作者: wxn112233 时间: 2010-3-31 07:51
1,双肺多发结节 并空洞影改变, 左侧胸腔积液并部分包裹, 结合原病史首先考虑结核. 但也不除外其它.
2,左侧有一根肋骨陈旧性骨折? 建议追查 .
作者: yuhongjun 时间: 2010-3-31 14:04
支持1)两肺继发性肺结核伴空洞形成。2)右侧大量胸腔积液伴右肺部分膨胀不全。3)纵隔淋巴结肿大。
作者: yangyudong333 时间: 2010-3-31 14:46
以下是引用随光逐影在2010-3-30 15:32:00的发言:
1)两肺继发性肺结核伴空洞形成,左肺多发性结核球。2)右侧大量胸腔积液伴右肺部分膨胀不全。3)纵隔淋巴结肿大。
支持!
作者: 黑白光影 时间: 2010-4-1 00:45
1)两肺继发性肺结核伴空洞形成,左肺多发性结核球。2)右侧大量胸腔积液伴右肺部分膨胀不全。3)纵隔淋巴结肿大。支持
作者: hguox 时间: 2010-4-3 00:47
1,双肺多发结节 并空洞影改变, 左侧胸腔积液并部分包裹, 结合原病史首先考虑结核. 但也不除外其它.
2,左侧有一根肋骨陈旧性骨折? 建议追查 .
作者: 新竹平易 时间: 2010-4-8 05:28
吉大一院胸水抽检结果:结核性胸水
作者: ghp3522 时间: 2010-10-13 05:46
谢谢反馈。
作者: 37度 时间: 2010-10-13 06:13
谢反馈胸水结果。
作者: xiongneo 时间: 2010-10-13 06:33
学习
作者: 影像之路 时间: 2010-10-13 06:37
结核性胸水——结核性胸膜炎 感谢楼主反馈结果
作者: 杨阳 时间: 2010-10-13 07:14
支持5楼
作者: dhlyq 时间: 2010-10-13 16:06
结核性胸水——结核性胸膜炎 感谢楼主反馈结果
作者: yuhongjun 时间: 2010-10-13 17:22
谢谢反馈。
作者: sdzyy 时间: 2010-10-13 23:55
谢谢反馈。
作者: 拾荒者 时间: 2010-10-17 04:09
感谢反馈结果--结核性胸水,双肺陈旧结核。
作者: 12640484 时间: 2010-11-6 08:43
收藏
欢迎光临 医影在线 (http://bbs.radida.com/bbs/) |
Powered by Discuz! X3.2 |