









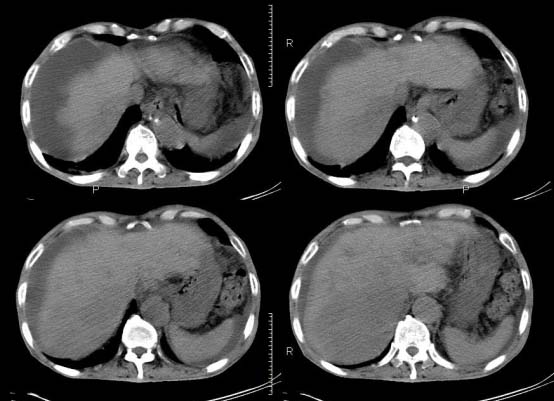
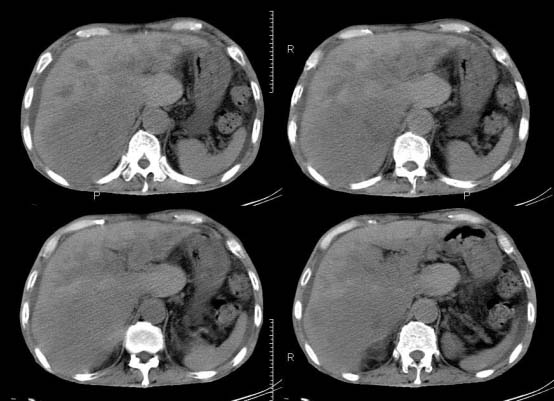
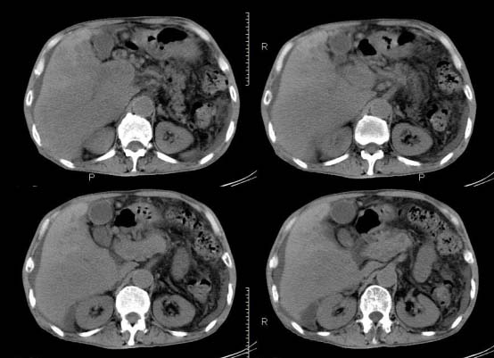
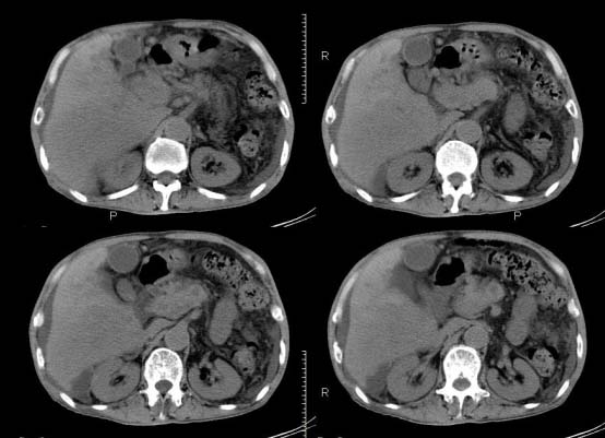
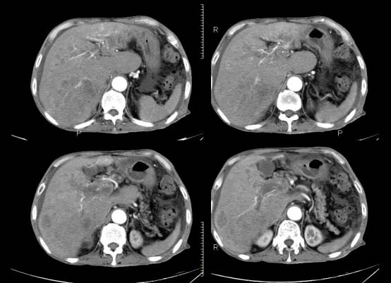
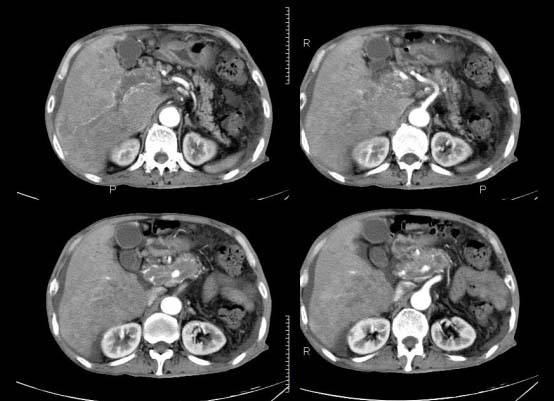
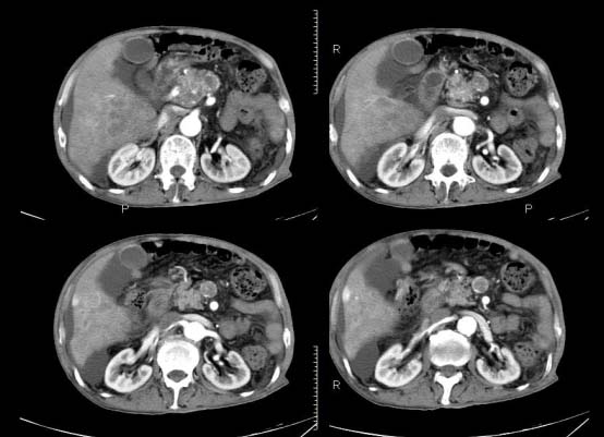
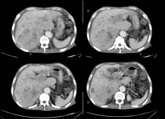
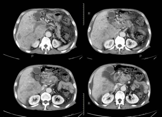
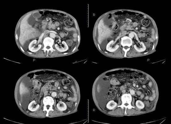
以下是引用杀毒软件在2010-3-30 18:11:00的发言:[br]考虑---hcc侵犯侵犯周围组织〔胰腺、胆管、肠系膜上动静脉〕伴门脉、下腔静脉癌栓形成、动-静脉瘘、肝门、腹腔动脉周围淋巴结转移可能性大、腹水。
以下是引用杀毒软件在2010-3-30 18:11:00的发言:[br]考虑---hcc侵犯侵犯周围组织〔胰腺、胆管、肠系膜上动静脉〕伴门脉、下腔静脉癌栓形成、动-静脉瘘、肝门、腹腔动脉周围淋巴结转移可能性大、腹水。
以下是引用pujunzhi在2010-3-31 8:45:00的发言:[br]支持 肝癌并多发肝内转移,胰头、肝门、腹腔动脉周围淋巴结转移,下腔静脉癌栓形成,肝硬化、腹水。
以下是引用jsgdoctor在2010-3-30 20:42:00的发言:[br]考虑---hcc侵犯侵犯周围组织〔胰腺、胆管、肠系膜上动静脉〕伴门脉、下腔静脉癌栓形成、动-静脉瘘、肝门、腹腔动脉周围淋巴结转移可能性大、腹水。
| 欢迎光临 医影在线 (http://bbs.radida.com/bbs/) | Powered by Discuz! X3.2 |