医影在线
标题: CT25445:上段食管正常吗? [打印本页]
作者: feiwu9 时间: 2010-3-31 02:17
标题: CT25445:上段食管正常吗?
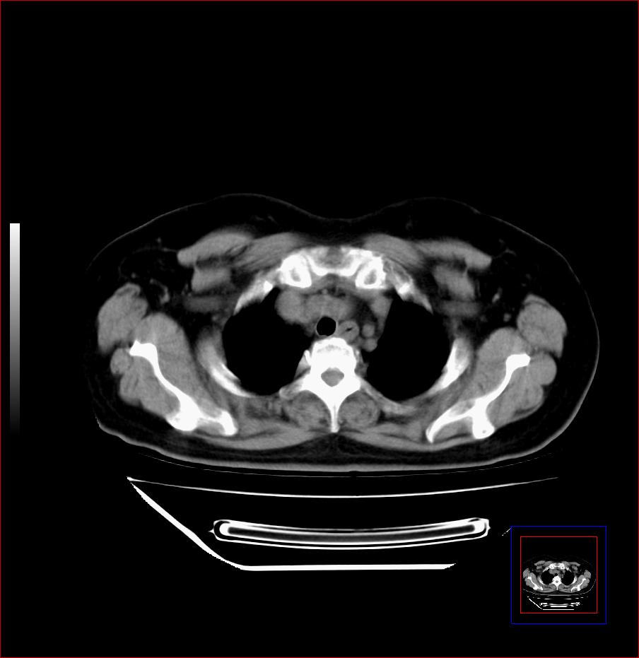
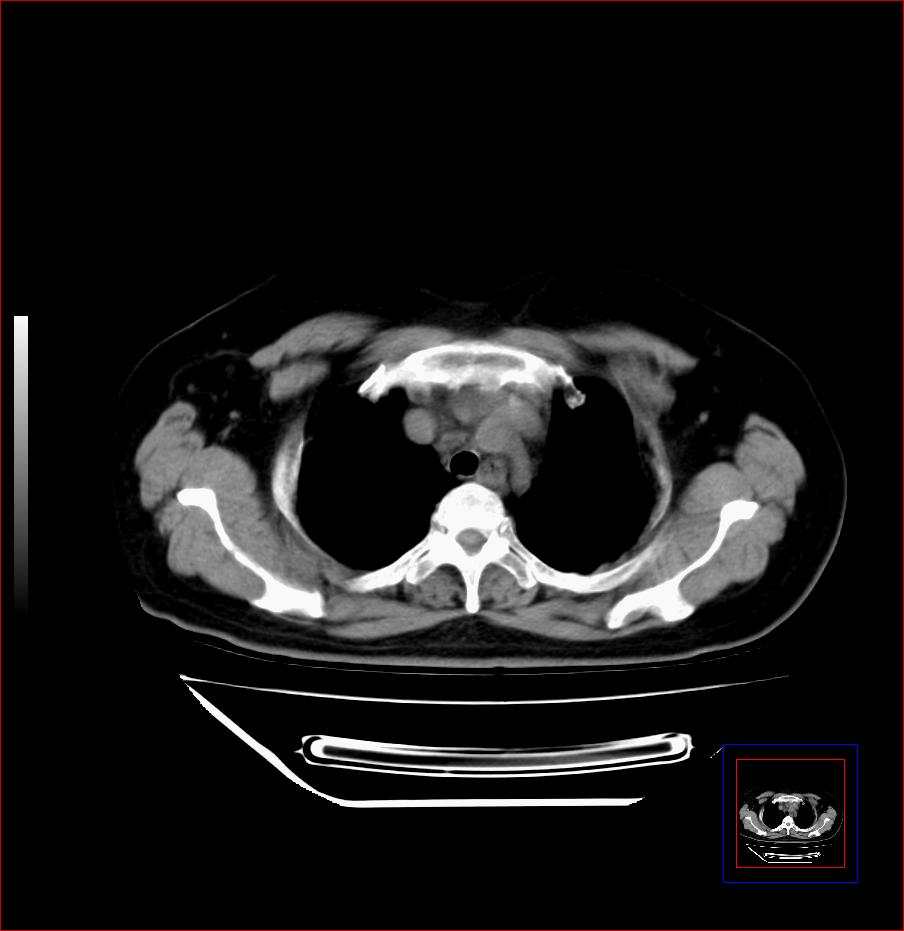
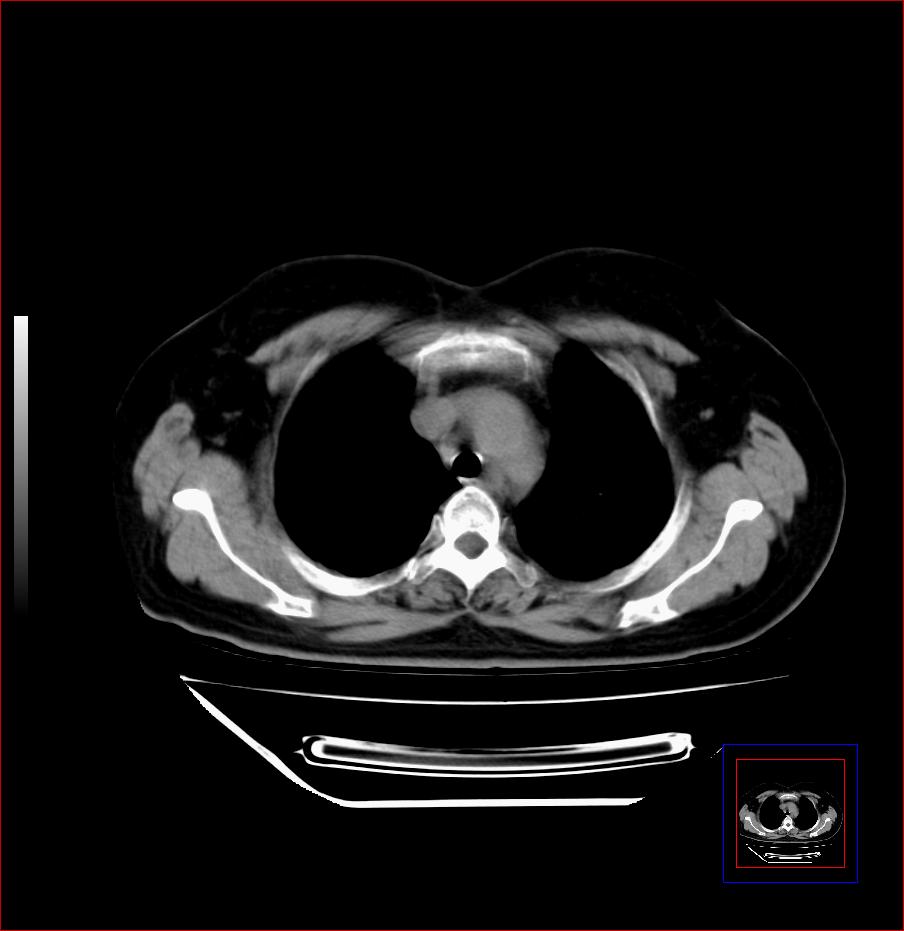
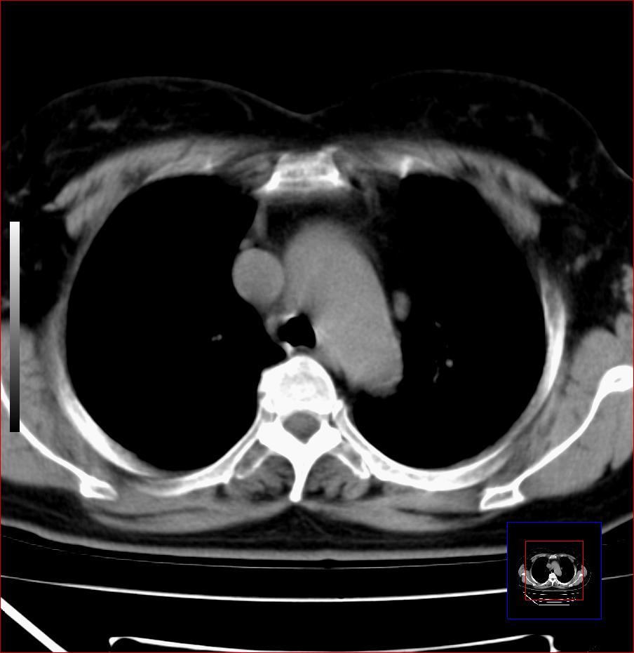
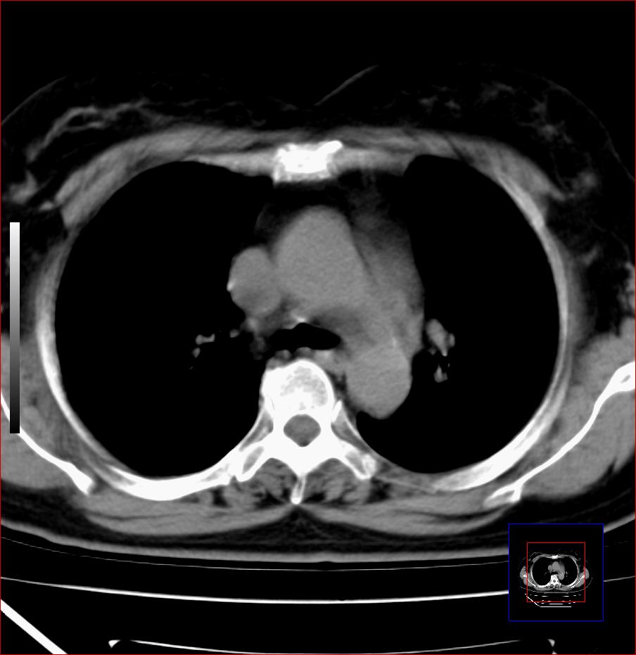
女,56岁,胸部体检,无不适。感觉食管壁略厚,最后约6mm.谢谢大家讨论,主要是自己亲人,疑神疑鬼的。主动脉弓旁淋巴结还有点肿大。


[本贴已被 jiajie 于 2010-3-30 20:23:39 修改过]


[本贴已被 feiwu9 于 2010-3-31 14:01:19 修改过]
作者: 快乐流星 时间: 2010-3-31 02:20
支撑,做个胃镜吧
作者: 宝天曼 时间: 2010-3-31 02:56
进一步检查
作者: 联众之王 时间: 2010-3-31 02:58
进一步检查
作者: zxl51642 时间: 2010-3-31 03:29
不好说,应该没什么,建议钡透或胃镜。
作者: lyb999 时间: 2010-3-31 04:13
钡透较好,可能是正常的
作者: yangyang2000 时间: 2010-3-31 04:23
进一步检查
作者: 卜一 时间: 2010-3-31 04:33
建议钡透或胃镜。
作者: 泪洒红尘 时间: 2010-3-31 04:39
未见明显异常。
作者: dyqct 时间: 2010-3-31 04:47
进一步检查吧!
作者: ze3200636 时间: 2010-3-31 05:25
进一步检查
作者: 拂晓 时间: 2010-3-31 06:07
建议钡透或胃镜
作者: 草古木子 时间: 2010-3-31 06:41
应该没什么问题,可做一下钡餐。
作者: 随光逐影 时间: 2010-3-31 07:12
未见明确异常;建议必要时行胃镜检查。
作者: shibing 时间: 2010-3-31 08:23
钡透较好,可能是正常的
作者: linyiming 时间: 2010-3-31 08:38
进一步检查。
作者: yangyudong333 时间: 2010-3-31 13:47
不好说,应该没什么,建议钡透或胃镜。
作者: yuhongjun 时间: 2010-3-31 13:52
建议钡透或胃镜。
作者: 施明 时间: 2010-3-31 16:38
食管上三分之一段为横纹肌含气少或无 管壁可以厚些
作者: 赵物学 时间: 2010-3-31 16:47
ct看食道是不太行,要是怀疑就让他做别的检查吧
作者: muzi888 时间: 2010-3-31 17:17
钡透较好,可能是正常的
作者: wansheng 时间: 2010-3-31 18:51
标题: 回复:ct25445:上段食管正常吗?
以下是引用dyqct在2010-3-30 20:47:00的发言:[br]进一步检查吧!
作者: whmy 时间: 2010-3-31 20:23
不好说,应该没什么,建议钡透或胃镜。
作者: 黑白光影 时间: 2010-4-1 01:12
不好说,应该没什么,建议钡透或胃镜。
| 欢迎光临 医影在线 (http://bbs.radida.com/bbs/) |
Powered by Discuz! X3.2 |