

以下是引用zxl51642在2010-3-30 19:22:00的发言:[br]粗隆间骨折,移位不明显,打三翼钉固定即可,血供没有影响不用换头,髋关节(-)
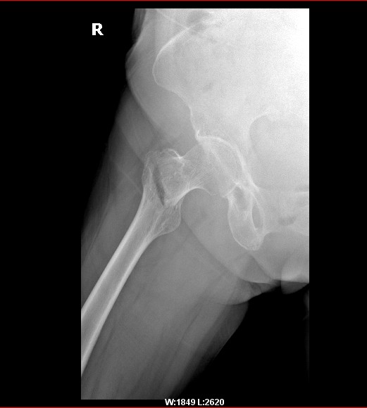
以下是引用拾荒者在2010-3-30 20:20:00的发言:[br]右侧股骨粗隆间骨折,右侧髋关节间隙变窄,建议ct扫描看髋臼有否骨折。
以下是引用拾荒者在2010-3-30 20:20:00的发言:[br]右侧股骨粗隆间骨折,右侧髋关节间隙变窄,建议ct扫描看髋臼有否骨折。
以下是引用zxl51642在2010-3-30 19:22:00的发言:[br]粗隆间骨折,移位不明显,打三翼钉固定即可,血供没有影响不用换头,髋关节(-)
| 欢迎光临 医影在线 (http://bbs.radida.com/bbs/) | Powered by Discuz! X3.2 |