医影在线

标题: CT25450:肺结核? [打印本页]

作者: xiao实习生    时间: 2010-3-31 16:45
标题: CT25450:肺结核?


































































[本贴已被 jiajie 于 2010-3-31 19:45:13 修改过]

作者: muzi888    时间: 2010-3-31 16:51
符合结核表现!
作者: 赵物学    时间: 2010-3-31 17:12
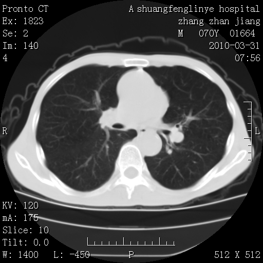
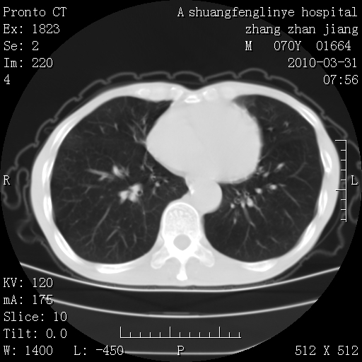
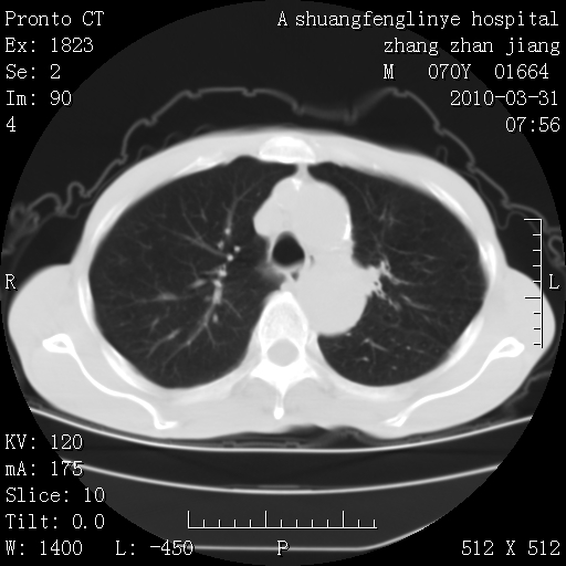
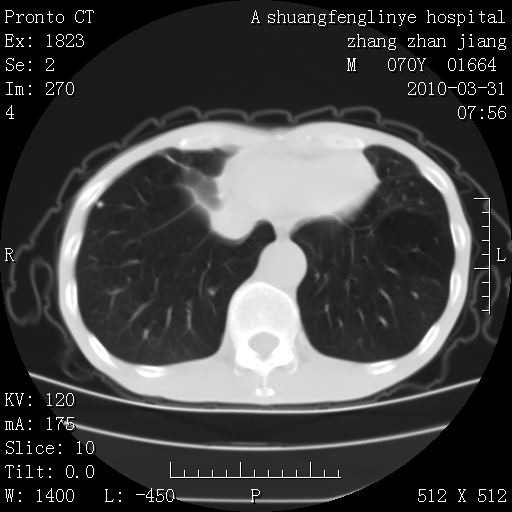
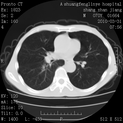
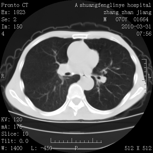
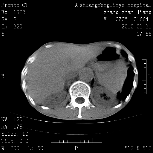
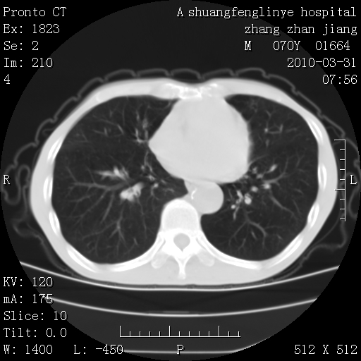
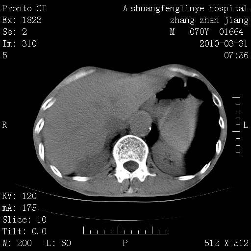
支持,不过左肺中叶那个像陈旧病变的结节要不要单报一下,在图上没看到钙化单报一下放心啊
作者: zxl51642    时间: 2010-3-31 18:07
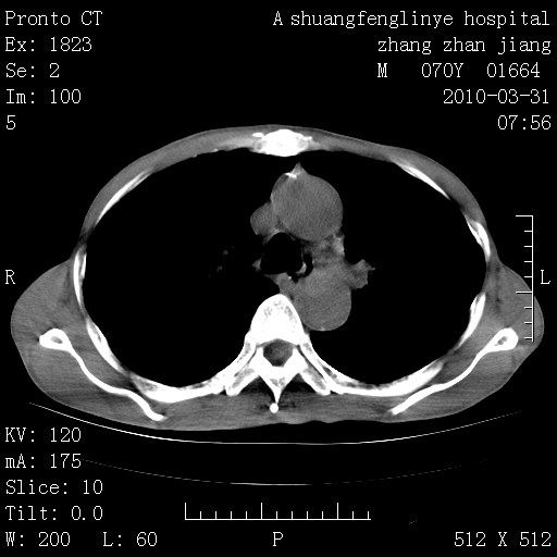
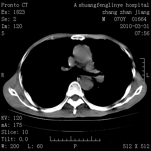
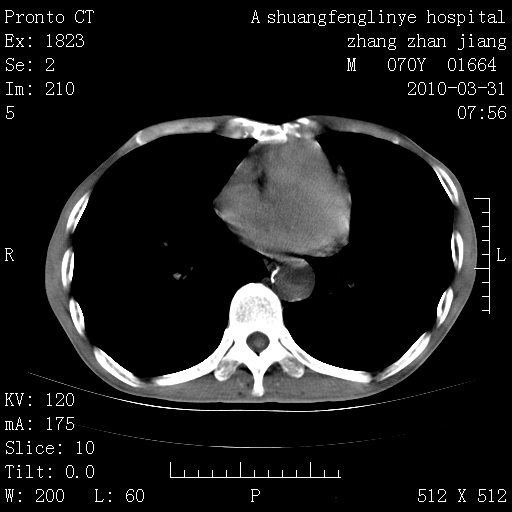
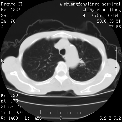
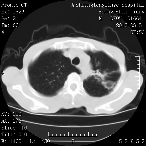
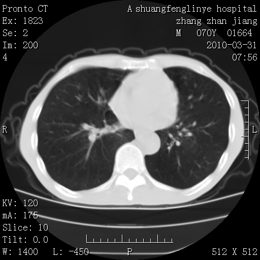
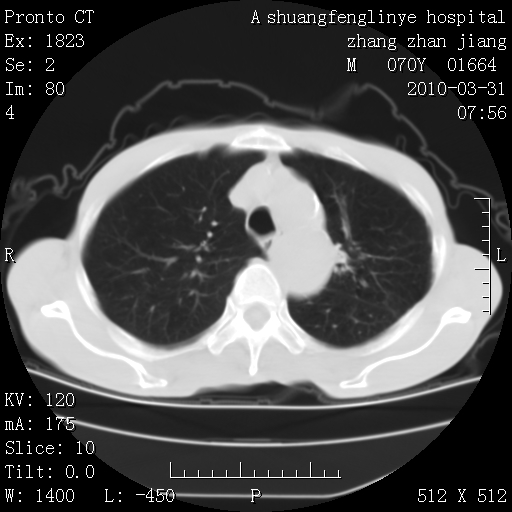
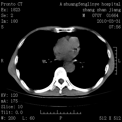
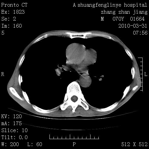
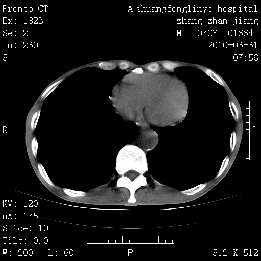
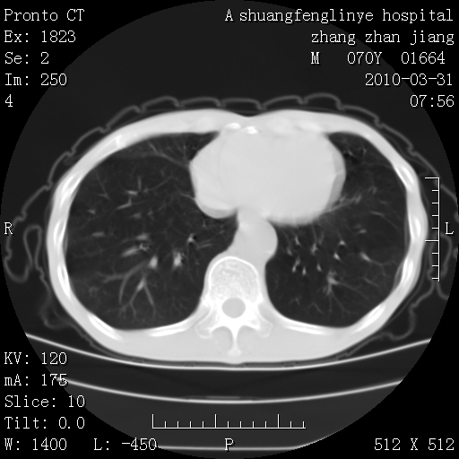
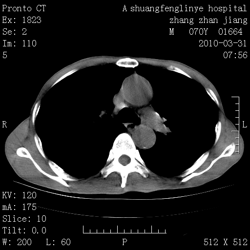
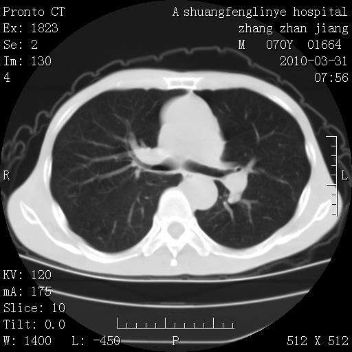
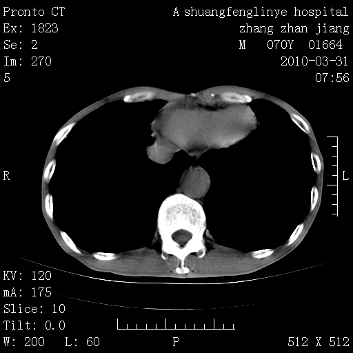
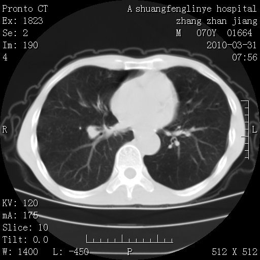
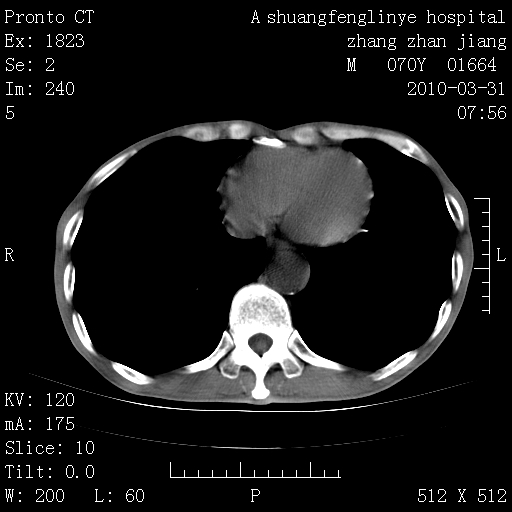
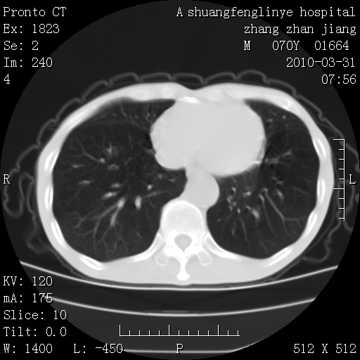
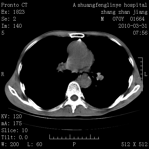
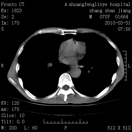
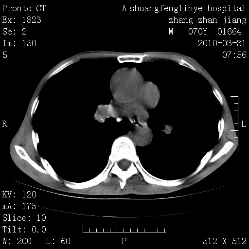
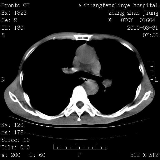
双上肺继发型tb并左上空洞形成,主动脉冠脉钙化。
作者: 卜一    时间: 2010-3-31 18:10
支持:继发性肺结核伴空洞形成!建议纤支镜检查待出外周围型肺癌可能!
作者: wansheng    时间: 2010-3-31 18:34
支持楼主
作者: shibing    时间: 2010-3-31 18:40
支持
作者: 施明    时间: 2010-3-31 19:05
应该是tb
作者: 随光逐影    时间: 2010-3-31 19:25
1)两肺上叶继发性肺结核并左肺上叶空洞形成。2)冠状动脉及主动脉钙化。
作者: wly491109    时间: 2010-3-31 20:01
1)两肺上叶继发性肺结核并左肺上叶空洞形成。2)冠状动脉及主动脉钙化。
作者: 草古木子    时间: 2010-3-31 21:45
符合结核表现。
作者: 黑白光影    时间: 2010-4-1 01:25
支持
作者: yuhongjun    时间: 2010-4-1 13:18
符合结核表现!




欢迎光临 医影在线 (http://bbs.radida.com/bbs/) Powered by Discuz! X3.2