医影在线
标题: CT25454:男,51岁,体检时发现右上纵隔高密度影。请会诊! [打印本页]
作者: zbs567 时间: 2010-3-31 19:07
标题: CT25454:男,51岁,体检时发现右上纵隔高密度影。请会诊!
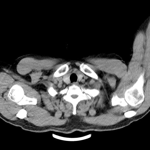
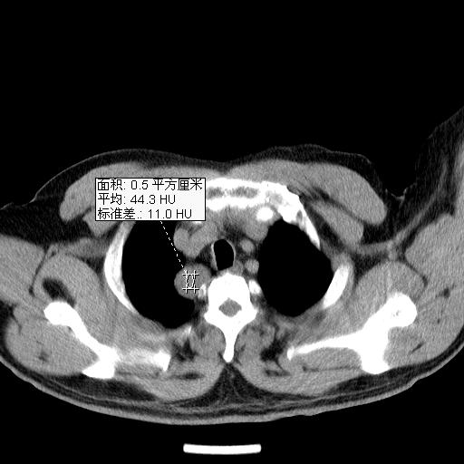
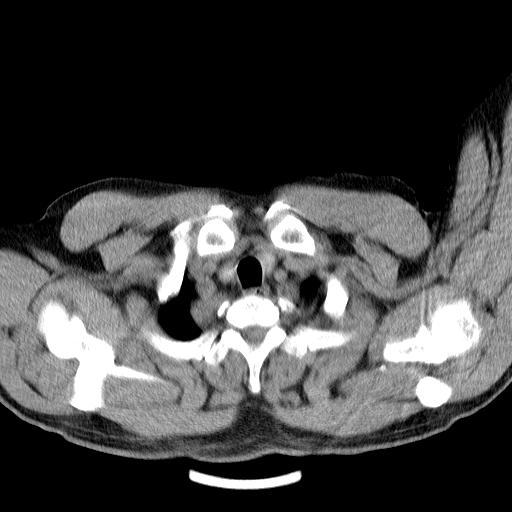
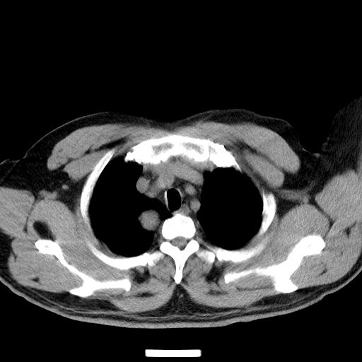
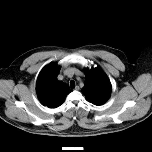
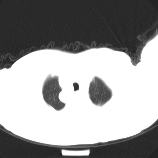
男,51岁,体检时发现右上纵隔高密度影。














[本贴已被 zbs567 于 2010-3-31 11:09:17 修改过]
[本贴已被 zbs567 于 2010-3-31 11:10:02 修改过]
[本贴已被 jiajie 于 2010-3-31 19:48:37 修改过]
作者: yangyudong333 时间: 2010-3-31 19:21
考虑后纵隔神经源性肿瘤。
作者: 快乐流星 时间: 2010-3-31 19:27
1 后纵膈神经源性肿瘤 2 右肺尖的肿瘤
作者: 随光逐影 时间: 2010-3-31 19:43
考虑右后上纵隔神经源性肿瘤。
作者: wufeisheng 时间: 2010-3-31 20:59
右上纵隔脊柱旁圆形结节,密度均匀,边界清楚——考虑神经源性肿瘤!
作者: 科室第一人 时间: 2010-3-31 21:45
良性占位,建议增强
作者: 草古木子 时间: 2010-3-31 22:07
考虑后纵隔神经源性肿瘤。
作者: tao772 时间: 2010-3-31 22:39
考虑后纵隔神经源性肿瘤。
作者: 北方的狼 时间: 2010-3-31 23:27
考虑后纵隔神经源性肿瘤(神经纤维瘤)
作者: yuhongjun 时间: 2010-3-31 23:38
考虑后纵隔神经源性肿瘤,或支气管囊肿不除外。
作者: 黑白光影 时间: 2010-4-1 01:57
支持大家。
作者: zxl51642 时间: 2010-4-1 03:17
神经源性肿瘤,次之castleman';s diease
| 欢迎光临 医影在线 (http://bbs.radida.com/bbs/) |
Powered by Discuz! X3.2 |