医影在线
标题: CT25475:发一个比较典型的病例,大家看看 [打印本页]
作者: fanshl 时间: 2010-4-1 17:48
标题: CT25475:发一个比较典型的病例,大家看看
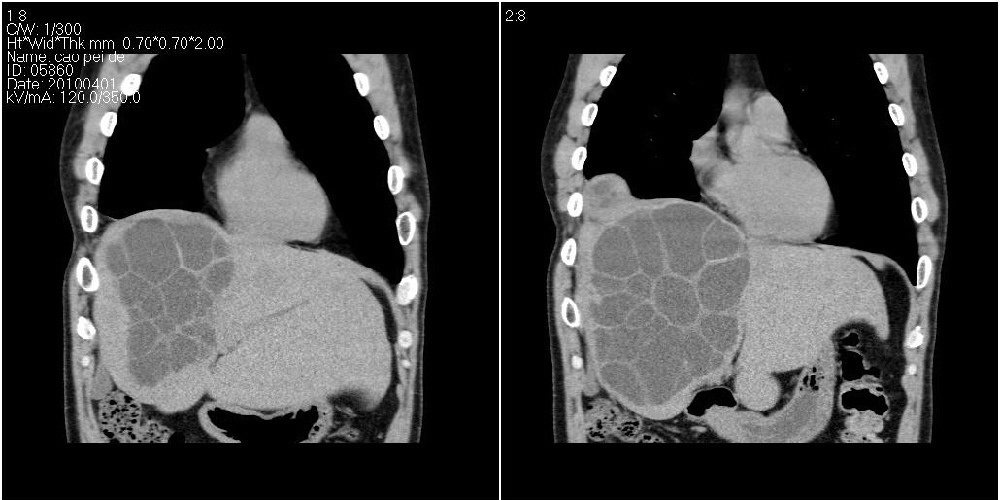
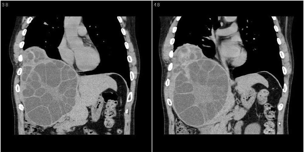
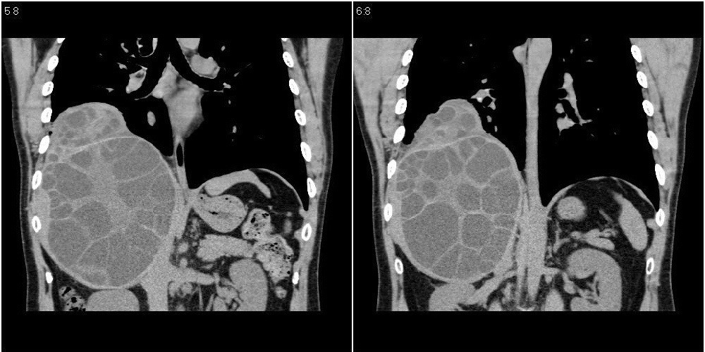
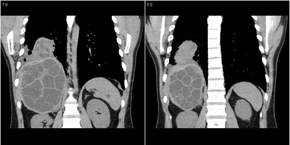
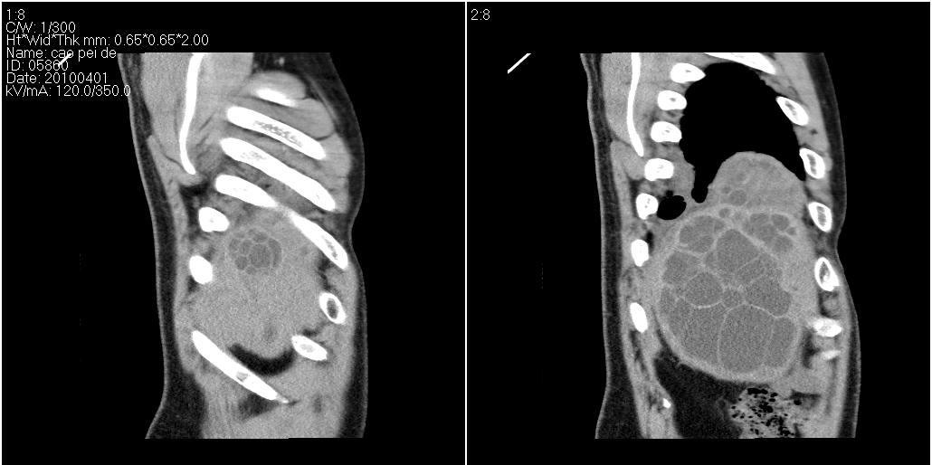
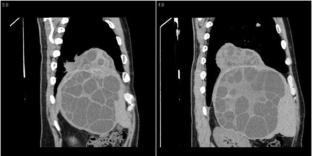
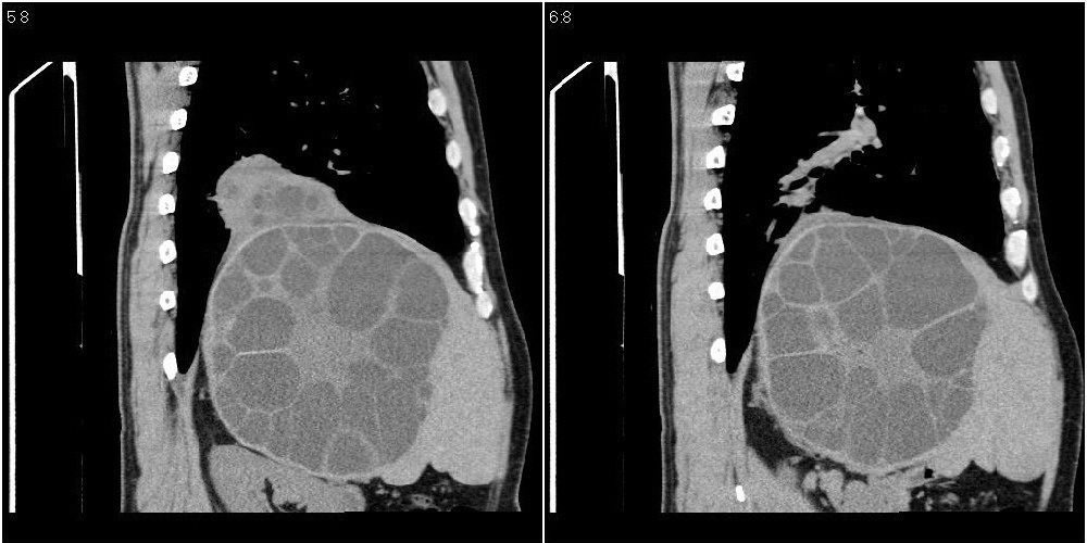
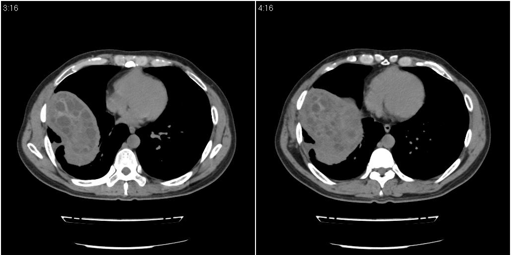
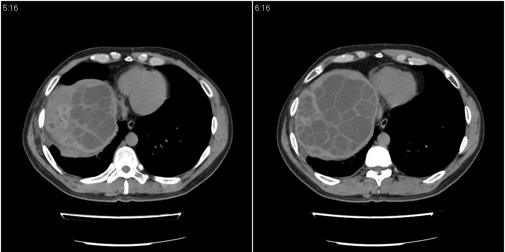
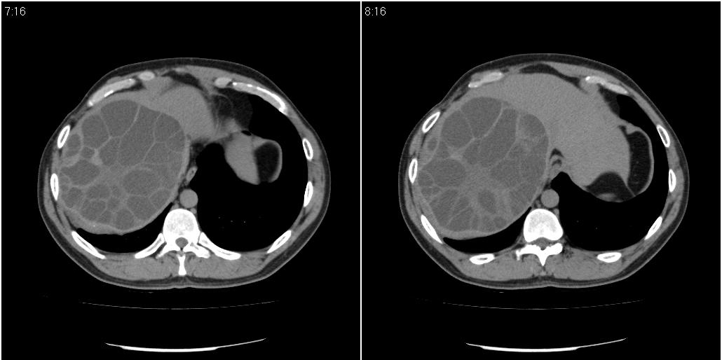
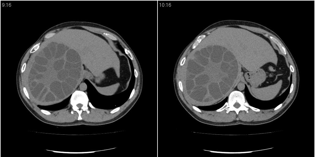
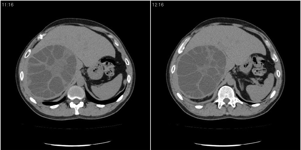
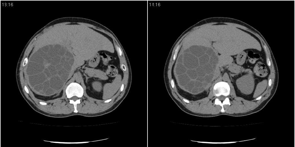
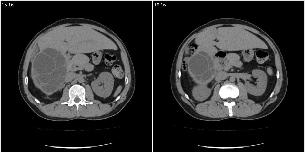
该患者70岁男性,手术后10年,现复查。2008年6月份本人曾经发过一极其类似的病例,只是部位略有差异。
















[本贴已被 fanshl 于 2010-4-1 10:47:19 修改过]
[本贴已被 翁志蓬 于 2010-4-1 15:33:00 修改过]
作者: 北方的狼 时间: 2010-4-1 18:12
多囊肝
作者: 求知若渴 时间: 2010-4-1 18:20
血吸虫病?期待结果
作者: 杀毒软件 时间: 2010-4-1 18:36
肝脏多房性包虫囊肿
作者: huangkunmao 时间: 2010-4-1 18:37
包虫
作者: yangyudong333 时间: 2010-4-1 19:06
水上浮莲征,肝包虫囊肿。
作者: 张辉9999 时间: 2010-4-1 19:08
肝脏多房性包虫囊肿
作者: 随光逐影 时间: 2010-4-1 19:13
肝脏及右侧胸腔包虫病。
作者: 深泽交通 时间: 2010-4-1 19:37
肝包囊虫病
作者: mary-zhou 时间: 2010-4-1 19:42
典型的肝包囊虫病
作者: 心路寻觅 时间: 2010-4-1 19:55
支持肝包囊虫病。
作者: jgr 时间: 2010-4-1 20:22
支持肝包囊虫病
作者: 沉默是金 时间: 2010-4-1 20:28
支持肝包囊虫病
作者: 西瓜999号 时间: 2010-4-1 21:41
典型的肝包囊虫病
作者: 赵物学 时间: 2010-4-1 21:48
标题: 回复:发一个比较典型的病例,大家看看
以下是引用深泽交通医院在2010-4-1 11:37:00的发言:[br]肝包囊虫病
支持
作者: DXM 时间: 2010-4-1 21:58
浮莲征 肝包虫囊肿
作者: dhlyq 时间: 2010-4-1 22:28
肝包囊虫病
作者: 施明 时间: 2010-4-1 23:56
肝包虫
作者: zxl51642 时间: 2010-4-2 00:43
肝包虫
作者: 道哥 时间: 2010-4-2 01:22
大囊套小囊!肝脏多房性包虫囊肿
作者: 拂晓 时间: 2010-4-2 04:33
标题: 回复:ct25475:发一个比较典型的病例,大家看看
以下是引用随光逐影在2010-4-1 11:13:00的发言:[br]肝脏及右侧胸腔包虫病。
作者: yangyang2000 时间: 2010-4-2 04:57
肝包囊虫病
作者: 黑白光影 时间: 2010-4-2 05:55
肝脏及右侧胸腔包虫病。
作者: 草古木子 时间: 2010-4-2 06:26
谢楼主提供这么典型病例。
作者: yuhongjun 时间: 2010-4-3 13:47
肝包囊虫病
作者: dr.yang 时间: 2013-5-15 23:10
学习了。
| 欢迎光临 医影在线 (http://bbs.radida.com/bbs/) |
Powered by Discuz! X3.2 |