医影在线
标题: CT25476:腹盆部CT [打印本页]
作者: 北方的狼 时间: 2010-4-1 18:02
标题: CT25476:腹盆部CT
(结果公布:http://www.radida.com/bbs/forum.php?mod=viewthread&tid=71861)
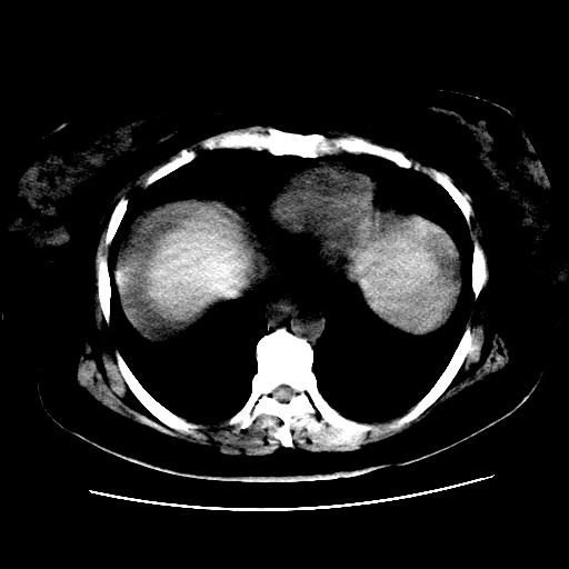
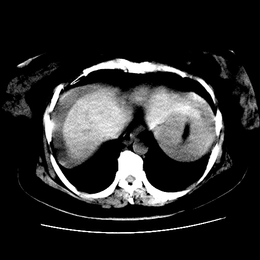
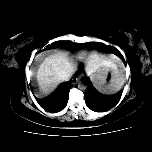
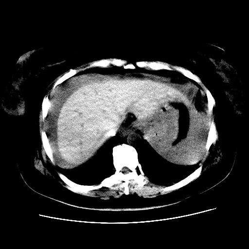
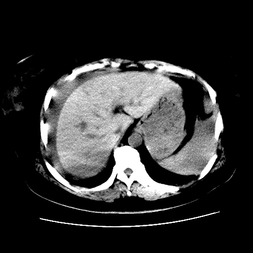
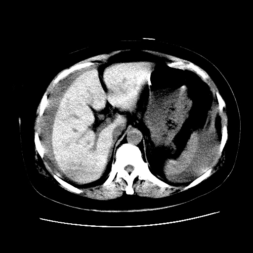
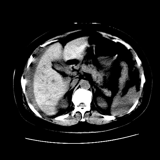
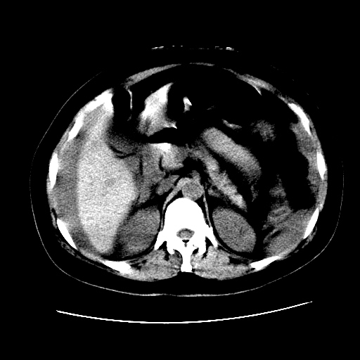
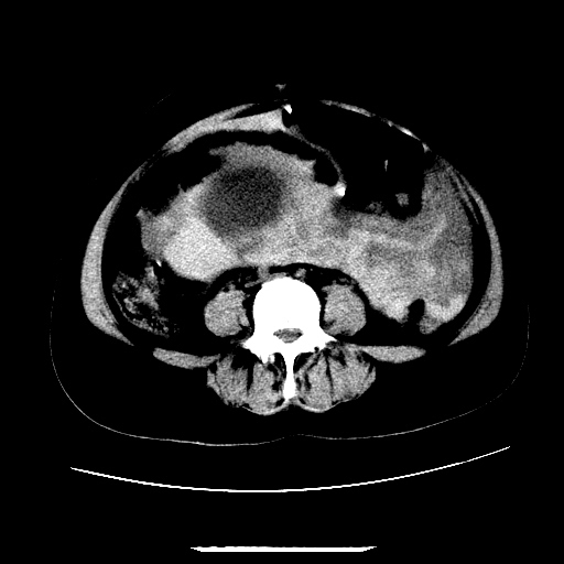
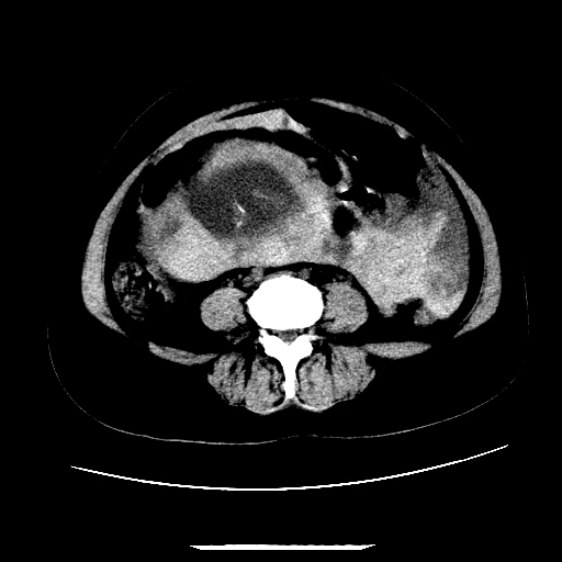
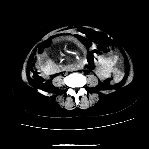
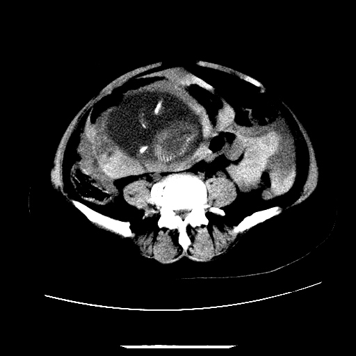
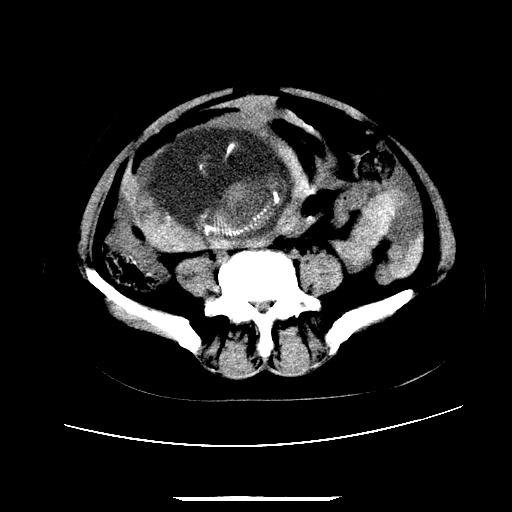
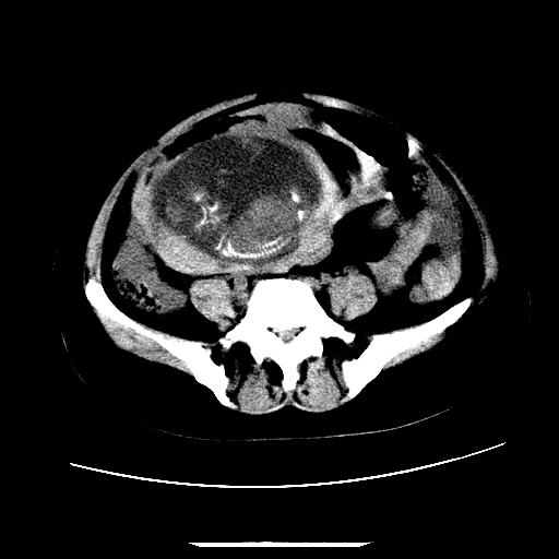
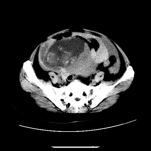
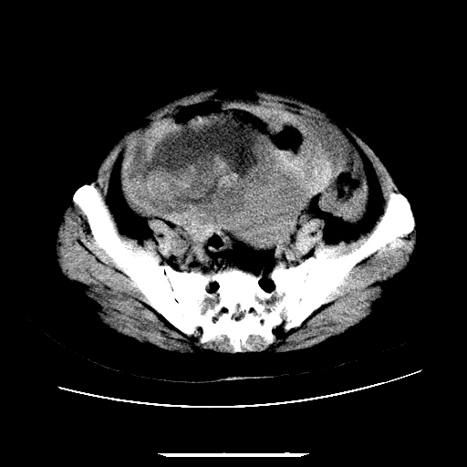
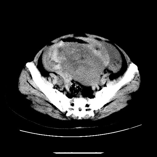
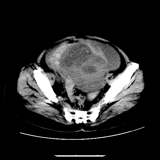
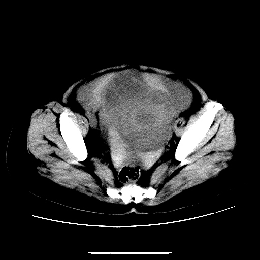
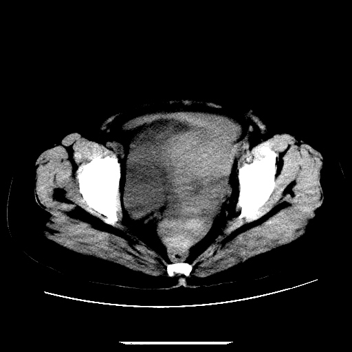
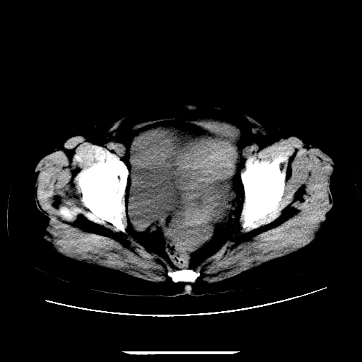
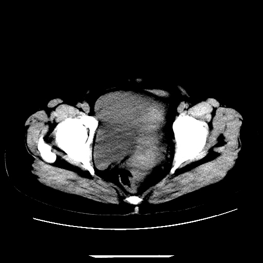
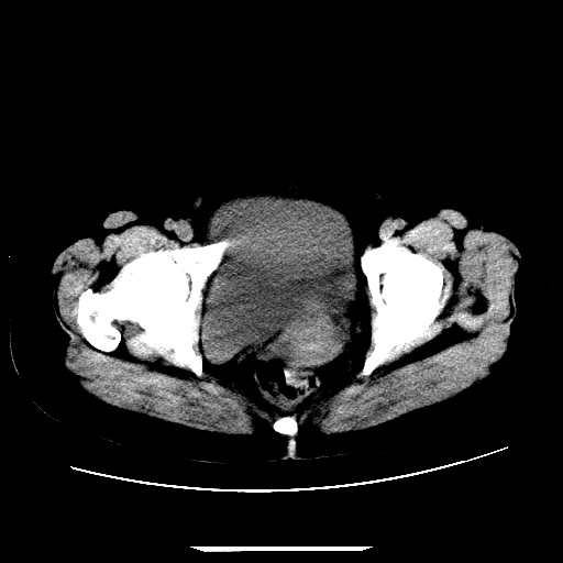
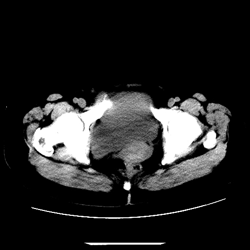
f,45y.怀孕4月晕倒,b超提示死胎,有手术结果,请展开讨论后明天告诉。




























[本贴已被 翁志蓬 于 2010-4-1 15:35:50 修改过]
[本贴已被 jiajie 于 2010-10-12 18:46:31 修改过]
作者: 杀毒软件 时间: 2010-4-1 18:28
膈下-肠间隙内见气体密度影,子宫轮廓显示不清,宫腔-腹腔积液,首选考虑---子宫破裂出血。
作者: yangyudong333 时间: 2010-4-1 19:05
首选考虑---子宫破裂出血
作者: 随光逐影 时间: 2010-4-1 19:16
1)宫腔妊娠。2)子宫破裂出血,腹腔及盆腔积血。
作者: 深泽交通 时间: 2010-4-1 19:35
上腹部有液气影考虑胃穿孔
作者: 心路寻觅 时间: 2010-4-1 20:00
没见过,学习下!!
作者: 沉默是金 时间: 2010-4-1 20:29
标题: 回复:腹盆部ct
以下是引用随光逐影在2010-4-1 11:16:00的发言:[br]1)宫腔妊娠。2)子宫破裂出血,腹腔及盆腔积血。
作者: DXM 时间: 2010-4-1 21:37
1)宫腔妊娠。2)子宫破裂出血,腹腔及盆腔积血。
作者: 赵物学 时间: 2010-4-1 21:46
头一回用ct看这个
讨论是吧,那就论下吧
肝小可能是肝硬化,也可能是正常或畸形
腹腔积液,怎么来的可能是肝来的,也可能是别的来的
盆腔积液考虑破裂,至于说那裂了,那要不是宫外孕就是子宫破了要是宫外动就是宫外孕破裂出血
正常怀孕什么样从没在ct上看过,所以不知道位置是什么样的,我考虑宫外孕
作者: dhlyq 时间: 2010-4-1 22:34
宫腔妊娠。2)子宫破裂出血,腹腔及盆腔积血。
作者: 施明 时间: 2010-4-2 00:02
见到胎体
作者: 草古木子 时间: 2010-4-2 05:15
怀孕4个月晕倒,病史就这么简单?有没有腹痛呢?腹腔内有没有气体?窗宽太窄了脂肪组织与气体已不好分。如果有气体,那就是空腔脏器穿孔,如胃肠穿孔。如没有气体,就考虑子宫破裂或宫外孕破裂。正常怀孕子宫破裂很少见,有可能是宫外孕。极有可能是残角子宫怀孕破裂。腹腔怀孕破裂也有可能。
作者: 黑白光影 时间: 2010-4-2 05:56
标题: 回复:ct25476:腹盆部ct
以下是引用随光逐影在2010-4-1 11:16:00的发言:[br]1)宫腔妊娠。2)子宫破裂出血,腹腔及盆腔积血。
作者: 北方的狼 时间: 2010-4-2 17:49
感谢同行们的高见。手术结果:子宫破裂出血。
我们的诊断是:腹、盆腔积液(考虑腹盆腔脏器破裂出血);宫腔妊娠。让人纳闷的是当时我们没有经验,现在回头看看分析:4月宫腔妊娠:1、洋膜囊不可能紧贴胎体这么小;2仔细看看子宫后壁肌层模糊不清;3腹、盆腔液体来源原因?4、45岁高龄妊娠有晕倒。由此可大胆诊断:宫腔妊娠子宫破裂出血。
作者: zxl51642 时间: 2010-4-2 18:35
宫腔妊娠。2)子宫破裂出血,腹腔及盆腔积血。
作者: ghp3522 时间: 2010-10-13 05:55
感谢同行们的高见。手术结果:子宫破裂出血。
我们的诊断是:腹、盆腔积液(考虑腹盆腔脏器破裂出血);宫腔妊娠。让人纳闷的是当时我们没有经验,现在回头看看分析:4月宫腔妊娠:1、洋膜囊不可能紧贴胎体这么小;2仔细看看子宫后壁肌层模糊不清;3腹、盆腔液体来源原因?4、45岁高龄妊娠有晕倒。由此可大胆诊断:宫腔妊娠子宫破裂出血。谢谢楼主反馈。学习了。
作者: xiongneo 时间: 2010-10-13 06:22
学习了
作者: 37度 时间: 2010-10-13 06:23
学习了,谢反馈。
作者: 影像之路 时间: 2010-10-13 06:27
1)宫腔妊娠。2)子宫破裂出血,腹腔及盆腔积血。
好病例
作者: 王多贵 时间: 2010-10-13 14:49
学习了
作者: dhlyq 时间: 2010-10-13 15:39
学习了,谢反馈
作者: yuhongjun 时间: 2010-10-13 17:48
学习了,谢反馈。
作者: cfililiu 时间: 2010-10-13 18:36
值得学习
作者: 随光逐影 时间: 2010-10-13 18:44
——感谢楼主反馈结果。
作者: sdzyy 时间: 2010-10-14 00:12
感谢楼主反馈病理结果。
作者: jiazhirong 时间: 2010-10-14 00:50
值得学习
作者: ljj8935 时间: 2010-10-14 06:09
1)宫腔妊娠。2)子宫破裂出血,腹腔及盆腔积 .确实没有见过,学习了
作者: 拾荒者 时间: 2010-10-17 04:21
学习了!我们这都用b超,所以ct表现见的少。
作者: 12640484 时间: 2010-11-6 08:35
收藏
欢迎光临 医影在线 (http://bbs.radida.com/bbs/) |
Powered by Discuz! X3.2 |