医影在线

标题: CT25483:肺部病变 请指教 [打印本页]

作者: vinesion    时间: 2010-4-2 00:07
标题: CT25483:肺部病变 请指教
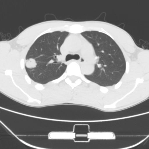
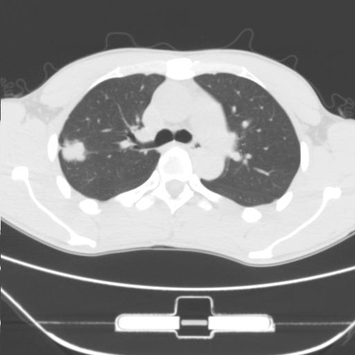
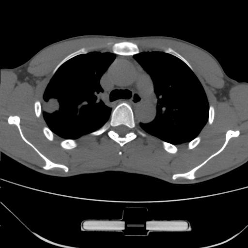
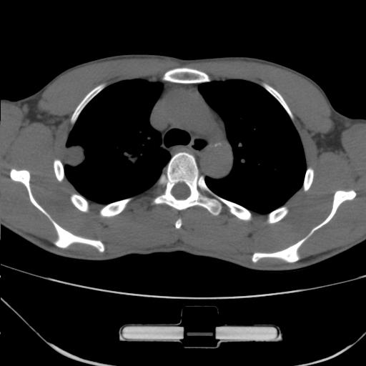
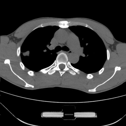
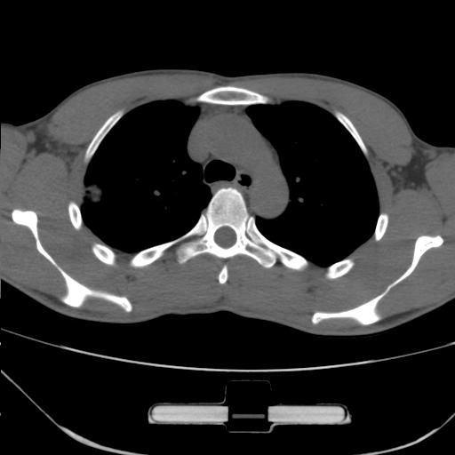
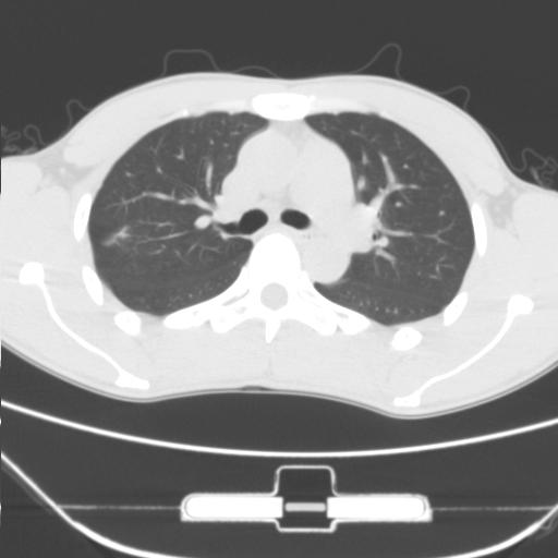
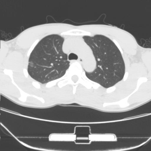
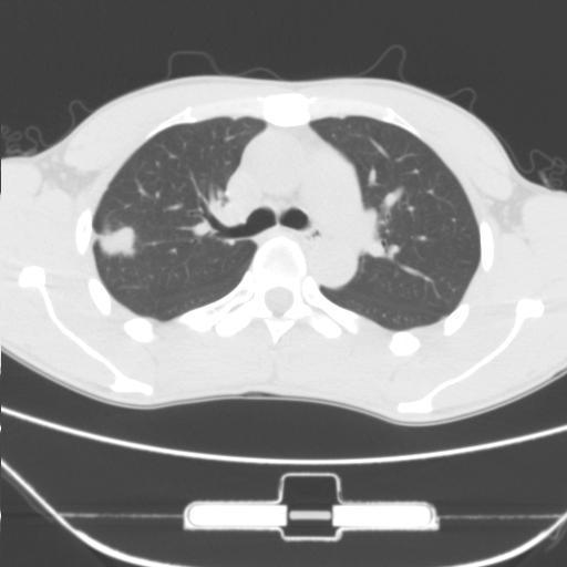
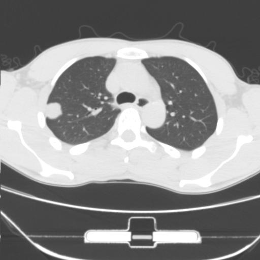
车祸伤者





































[本贴已被 翁志蓬 于 2010-4-1 22:40:56 修改过]

作者: fxt2347    时间: 2010-4-2 01:20
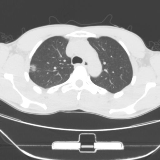
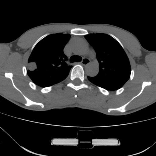
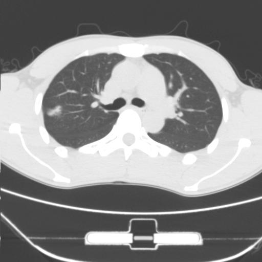
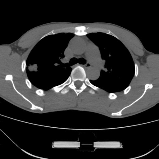
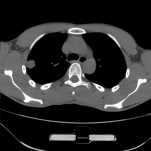
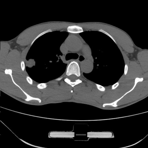
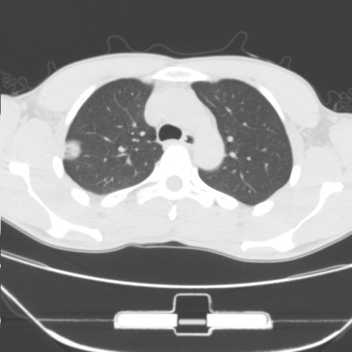
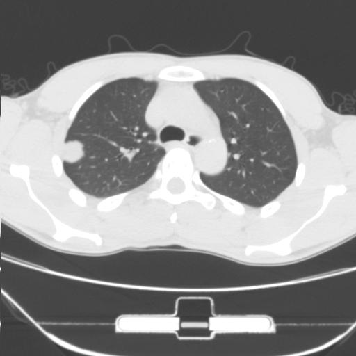
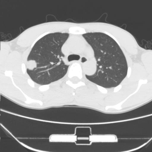
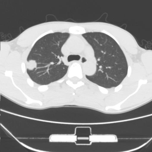
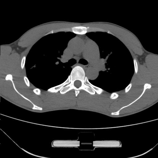
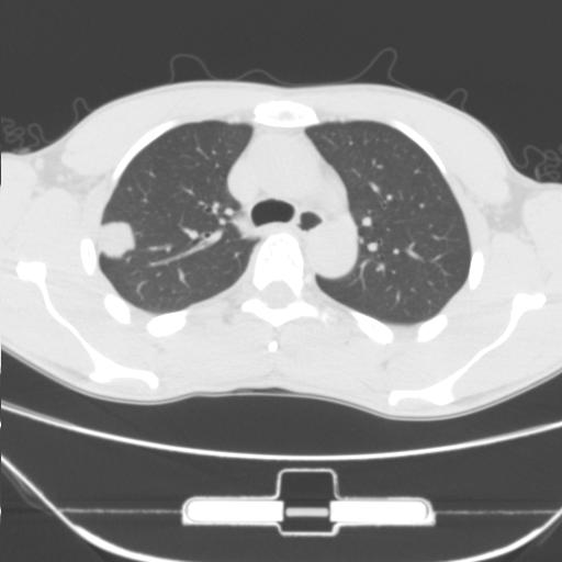
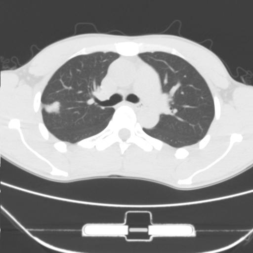
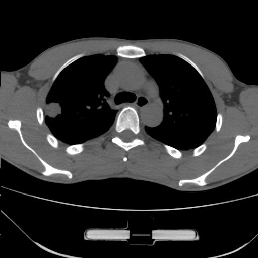
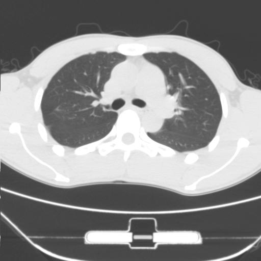
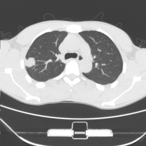
右肺上叶后段近胸膜下结节样异常密度灶,似见分页及毛刺,考虑右肺上叶周围型肺ca,建议穿刺病理检查
作者: dhlyq    时间: 2010-4-2 01:25
周围型肺ca与炎性假瘤待鉴别。建议穿刺病理检查
作者: panyishengct    时间: 2010-4-2 01:28
考虑周围型肺癌
作者: 地球上的    时间: 2010-4-2 02:46
考虑周围型肺癌可能性大,建议穿刺病理检查
作者: dyqct    时间: 2010-4-2 03:17
标题: 回复:肺部病变 请指教
以下是引用dhlyq在2010-4-1 17:25:00的发言:[br]周围型肺ca与炎性假瘤待鉴别。建议穿刺病理检查

支持!
作者: liangshusheng    时间: 2010-4-2 03:17
缺乏病史,症状体征,但这个孤立结节具备了几乎所有的恶性征象:分叶,毛刺,空泡征,胸膜凹陷征,血管集束。
作者: 随光逐影    时间: 2010-4-2 03:27
考虑右肺上叶后段周围型肺癌。
作者: yangyang2000    时间: 2010-4-2 05:06
周围型肺癌
作者: 黑白光影    时间: 2010-4-2 06:08
支持大家。
作者: yangyudong333    时间: 2010-4-2 14:55
考虑右肺上叶后段周围型肺癌。
作者: yuhongjun    时间: 2010-4-2 15:04
考虑右肺上叶后段周围型肺癌。
作者: zxl51642    时间: 2010-4-2 19:09
考虑周围型肺癌可能性大,建议穿刺病理检查
作者: dr.yang    时间: 2013-5-15 23:08
引用第12楼zxl51642于2010-04-02 19:09发表的  :
考虑周围型肺癌可能性大,建议穿刺病理检查





欢迎光临 医影在线 (http://bbs.radida.com/bbs/) Powered by Discuz! X3.2