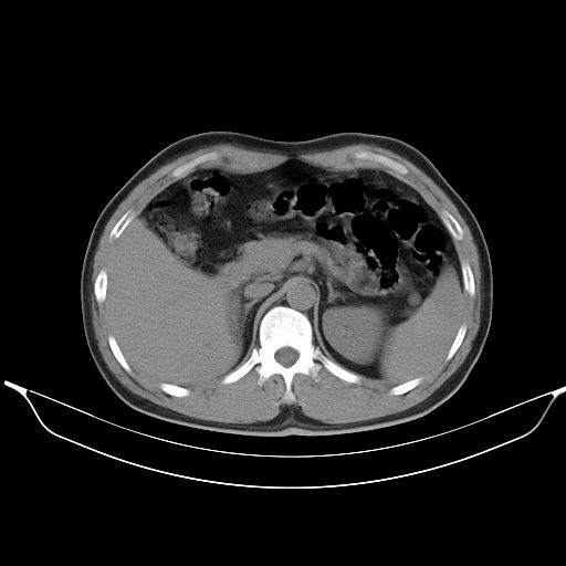
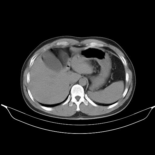
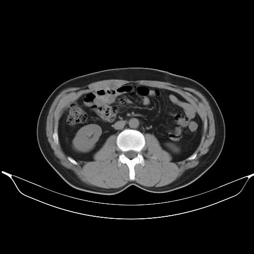
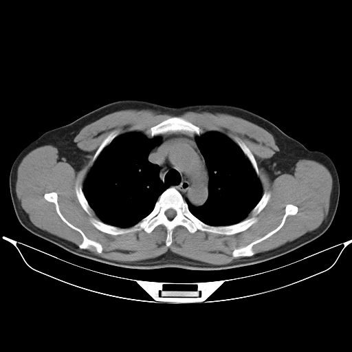
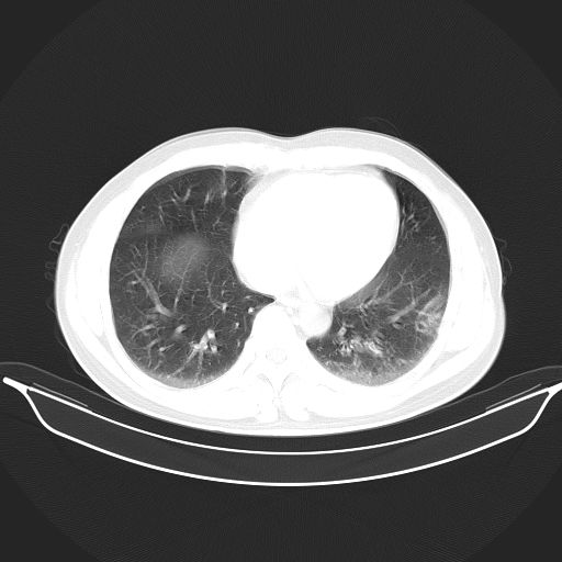
医影在线

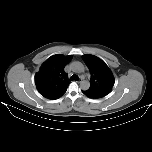
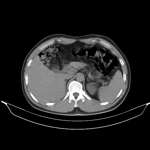
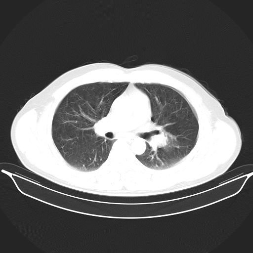
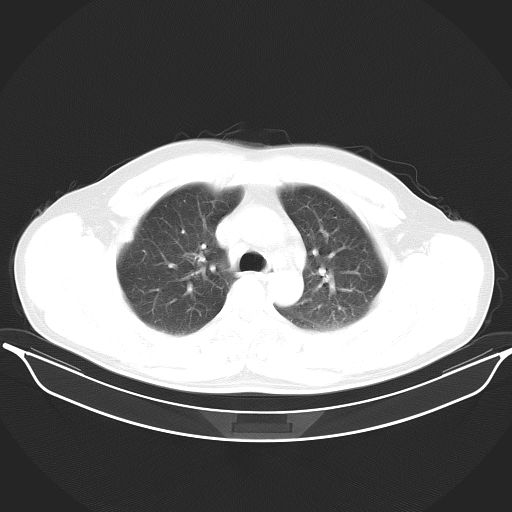
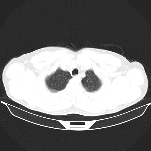
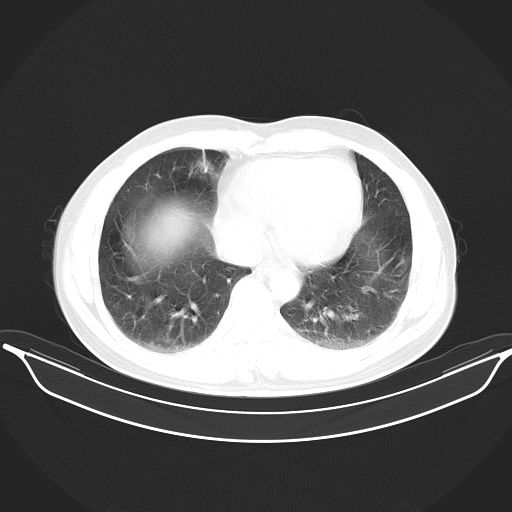
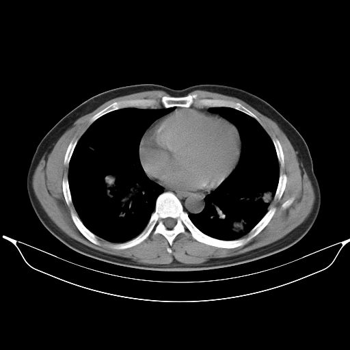
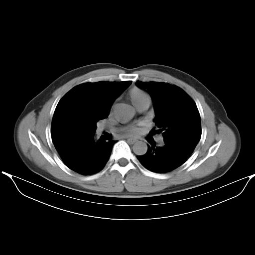
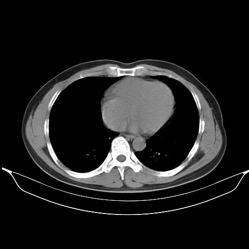
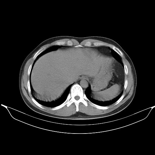
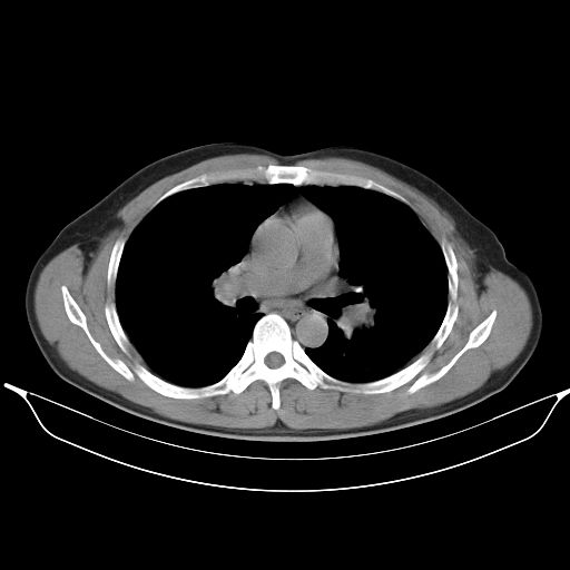
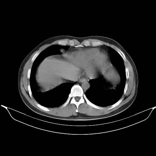
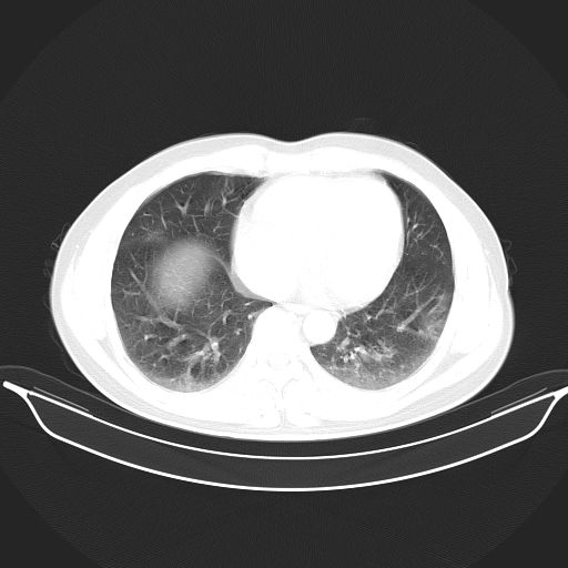
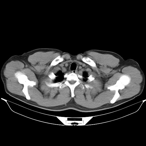
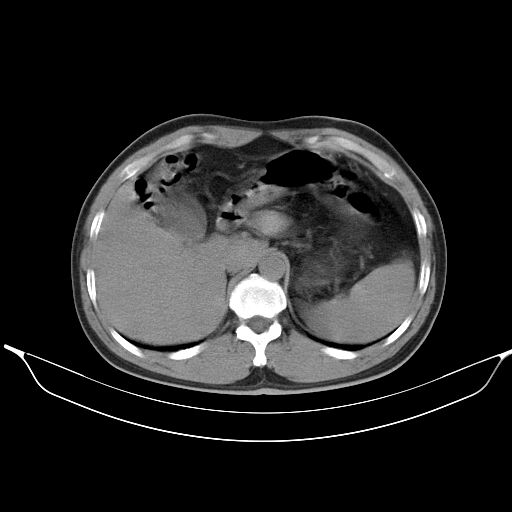
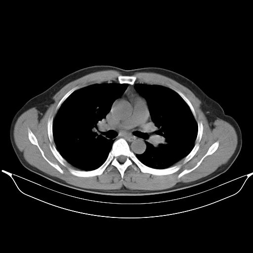
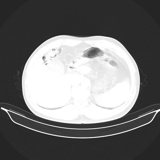
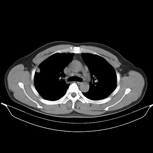
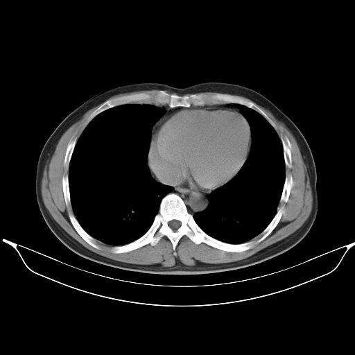
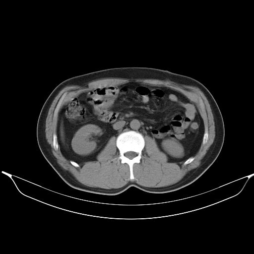
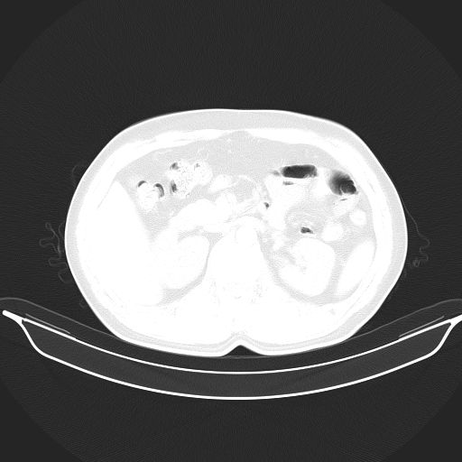
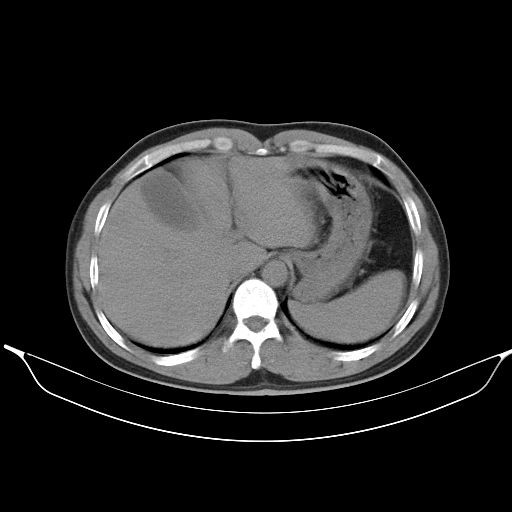
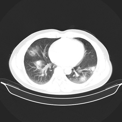
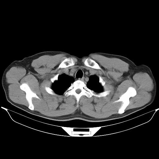
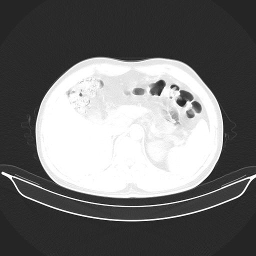
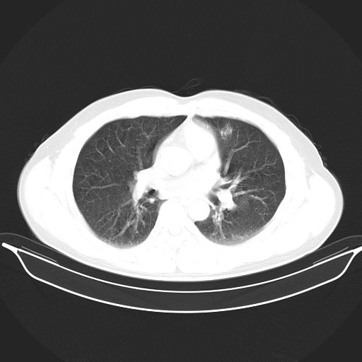
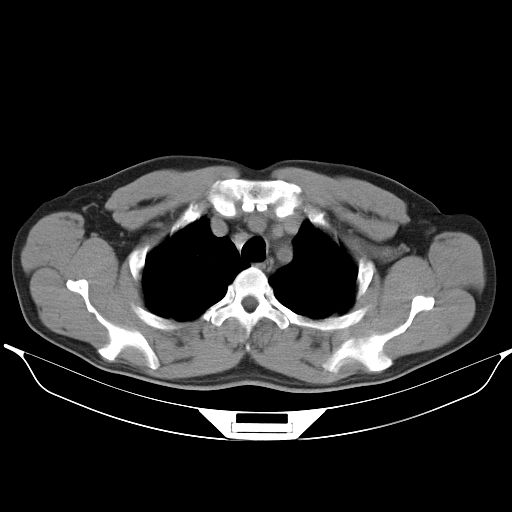
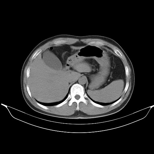
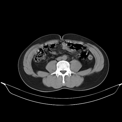
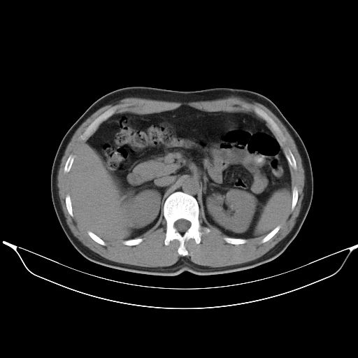
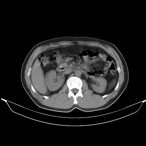
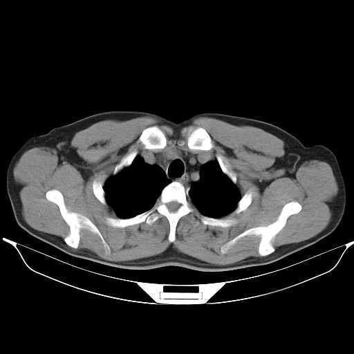
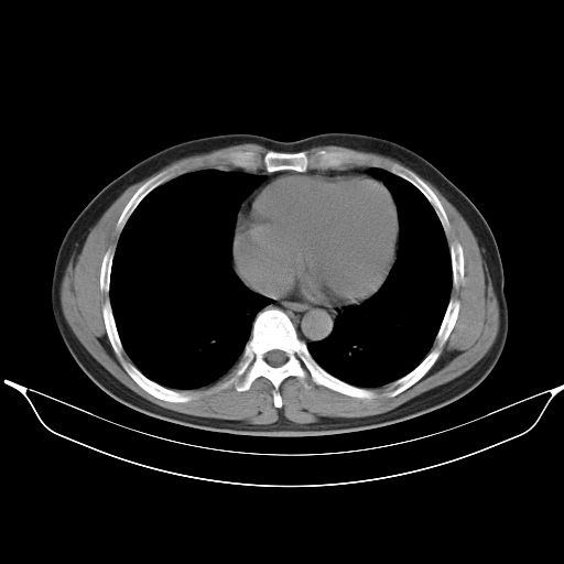
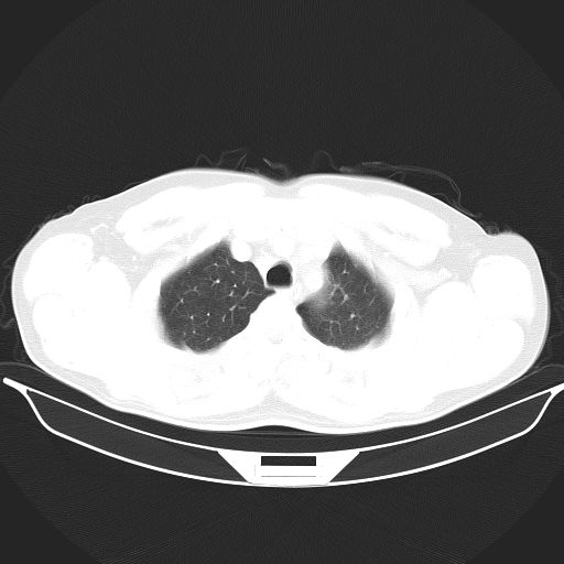
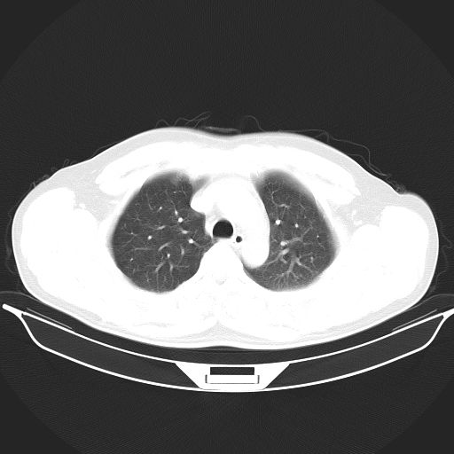
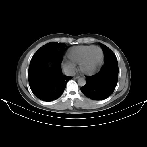
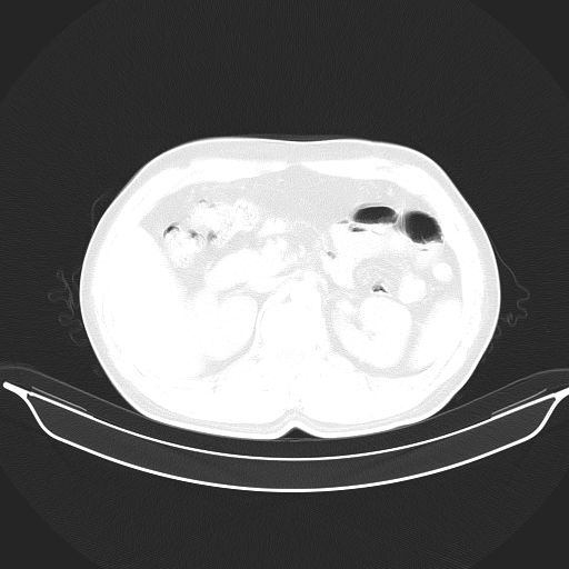
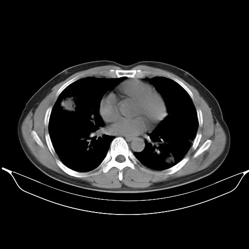
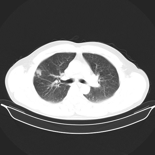
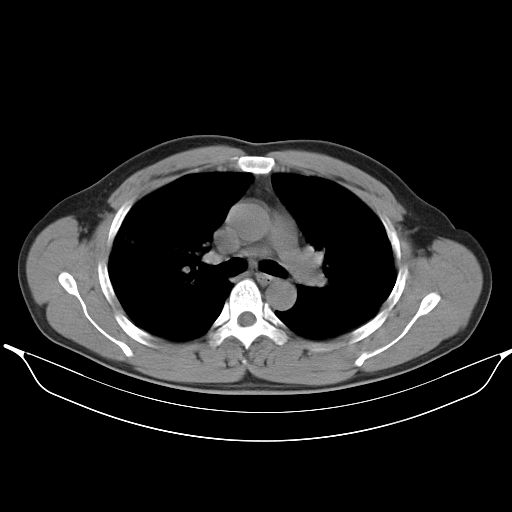
标题: CT25490:男,40岁,体检发现;无其它不适。 [打印本页]

作者: 拂晓    时间: 2010-4-2 05:10
标题: CT25490:男,40岁,体检发现;无其它不适。
















































































[本贴已被 翁志蓬 于 2010-4-1 22:52:04 修改过]

作者: 子期    时间: 2010-4-2 05:21
倾向于结核
作者: dyqct    时间: 2010-4-2 05:23
考虑:1、过各敏性肺炎可能性大,建议定期复查。
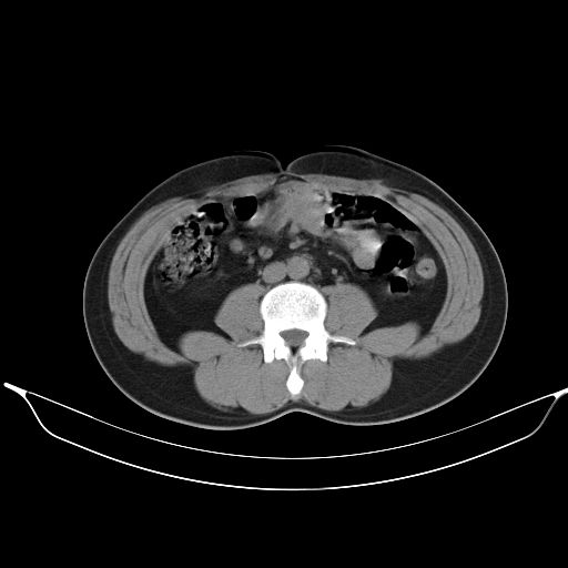
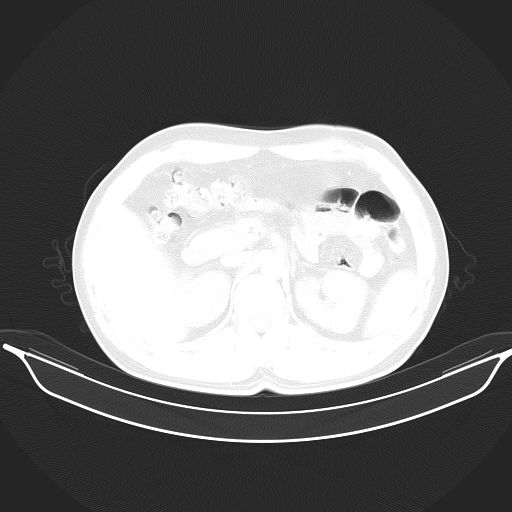
      2、轻度脂肪肝。
      3、建议查血。
作者: 水蓝色的    时间: 2010-4-2 05:44
多考虑结核。
作者: 狙击手    时间: 2010-4-2 06:09
考虑结核
作者: DDN    时间: 2010-4-2 06:16
考虑肺霉菌病。
作者: zzzzffff    时间: 2010-4-2 06:45
没有结核的诊断依据。
作者: dhlyq    时间: 2010-4-2 06:50
转移性肺肿瘤不排除,建议结合相关检查考虑
作者: wufeisheng    时间: 2010-4-2 07:09
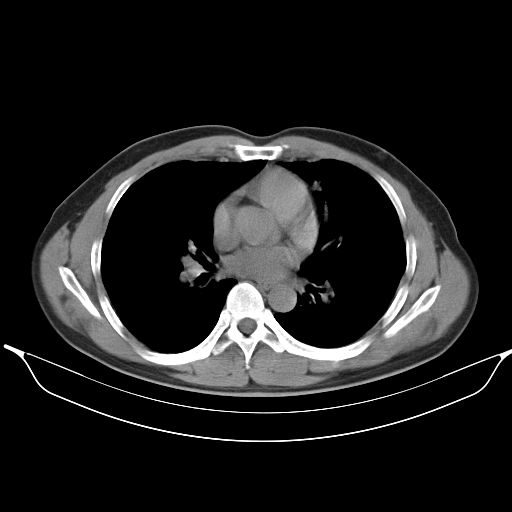
考虑右下肺周围性肺癌并肺内多发转移,纵隔淋巴结转移!
作者: 随缘的人    时间: 2010-4-2 13:23
炎症可能性大
作者: 卜一    时间: 2010-4-2 13:27
感染性病变!建议积极消炎后复查!
作者: yangyudong333    时间: 2010-4-2 14:22
考虑肺癌并肺内转移可能性大。
作者: 学者~『风    时间: 2010-4-2 15:43
考虑过敏性肺炎,建议抗炎后复查,转移瘤及tb待排
作者: 施明    时间: 2010-4-2 16:00
首先考虑过敏所致
作者: 随光逐影    时间: 2010-4-2 16:02
考虑两肺感染性病变;建议抗炎治疗后复查。
作者: muzi888    时间: 2010-4-2 17:08
支持 !考虑右下肺周围性肺癌并肺内多发转移,纵隔淋巴结转移,(气管前腔静脉后,隆突下,主动脉弓下都有了)
作者: zxl51642    时间: 2010-4-2 17:49
1、均为转移,原发灶不在肺内。2、肺癌肺转移。
作者: 科室第一人    时间: 2010-4-2 17:57
感染性肉芽肿
作者: pujunzhi    时间: 2010-4-2 18:38
考虑两肺感染性病变;建议抗炎治疗后复查。
作者: 求知若渴    时间: 2010-4-2 19:08
标题: 回复:ct25490:男,40岁,体检发现;无其它不适。
以下是引用wufeisheng在2010-4-1 23:09:00的发言:[br]考虑右下肺周围性肺癌并肺内多发转移,纵隔淋巴结转移!

作者: dr.yang    时间: 2013-5-15 22:38
考虑两肺感染性病变;建议抗炎治疗后复查。




欢迎光临 医影在线 (http://bbs.radida.com/bbs/) Powered by Discuz! X3.2