医影在线

标题: CT25491:女,55岁,发现左侧甲状腺肿块一个月。 [打印本页]

作者: ldm1993    时间: 2010-4-2 05:30
标题: CT25491:女,55岁,发现左侧甲状腺肿块一个月。
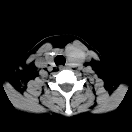
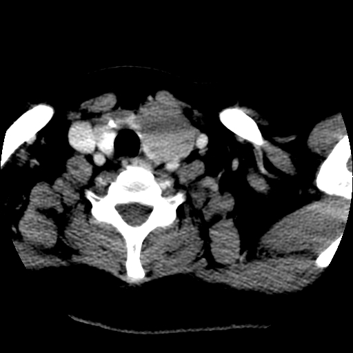
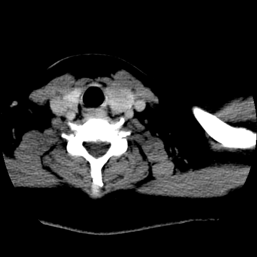
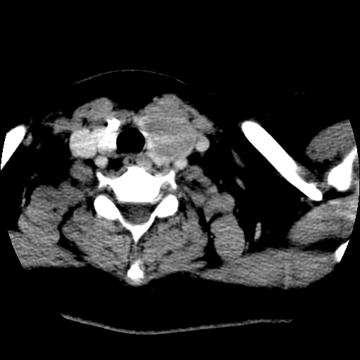
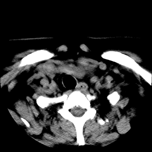
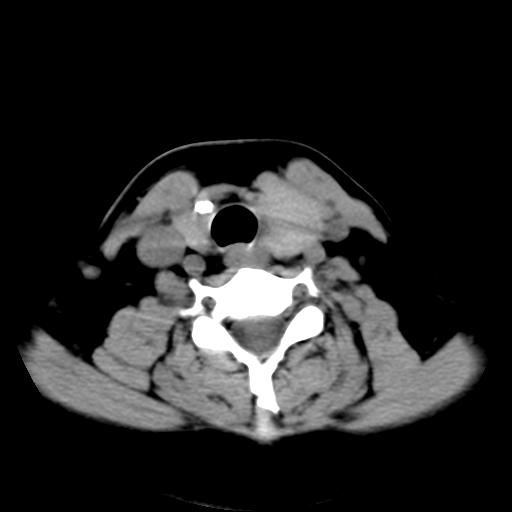
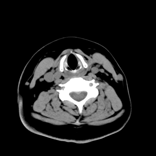
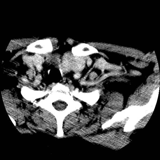
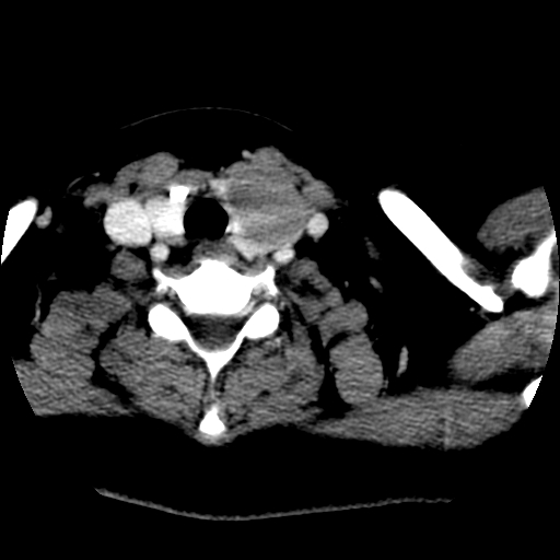
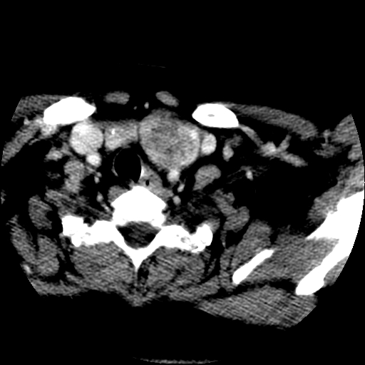
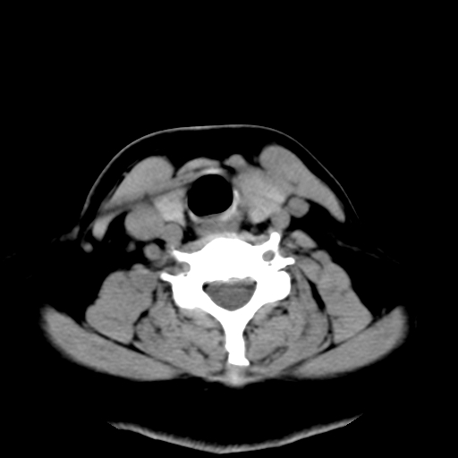
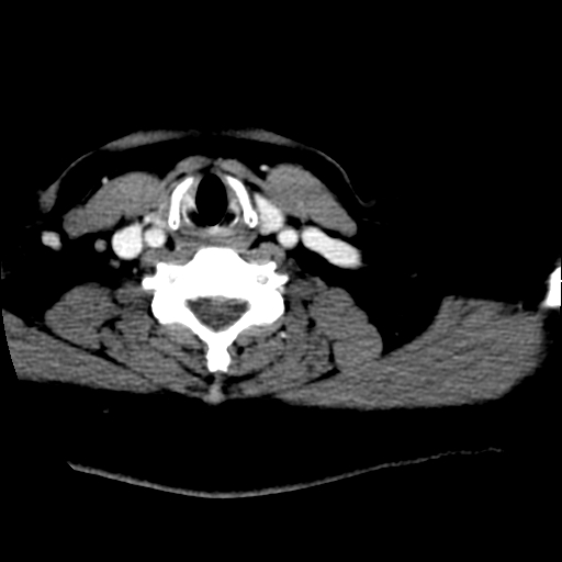
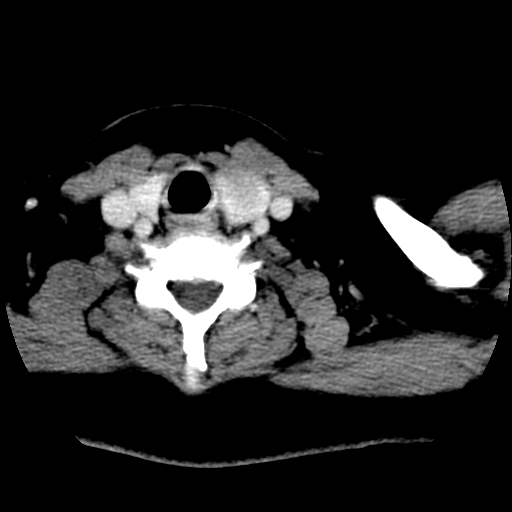
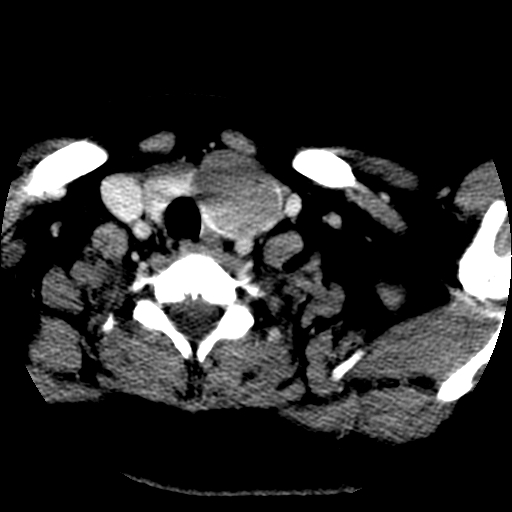
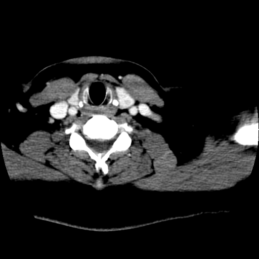
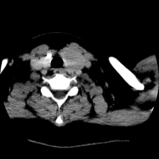
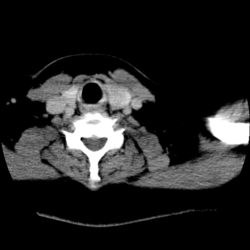
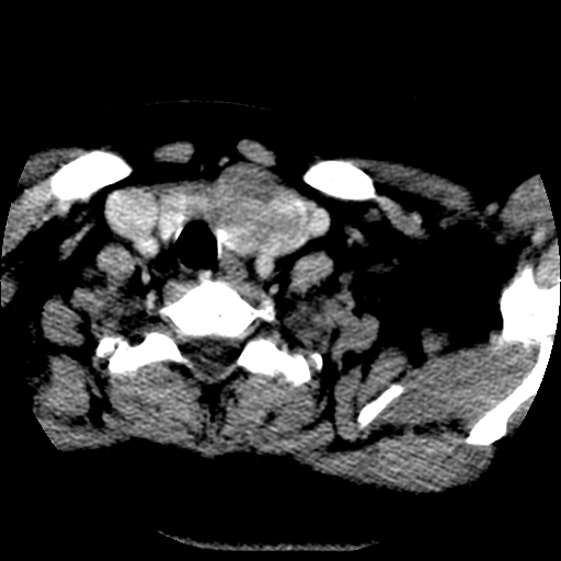
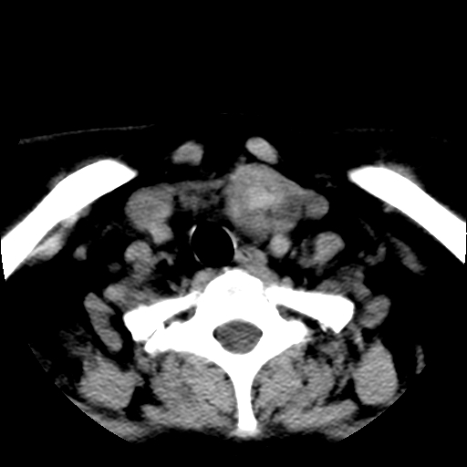
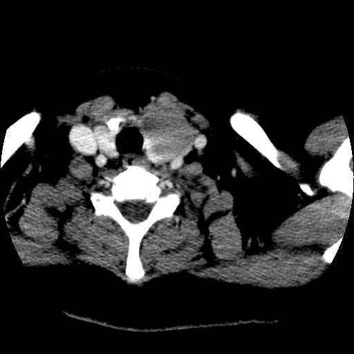
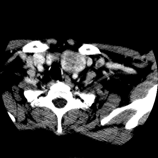
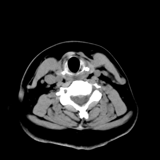
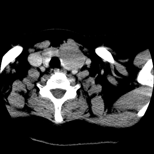
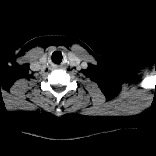
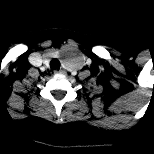
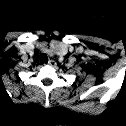
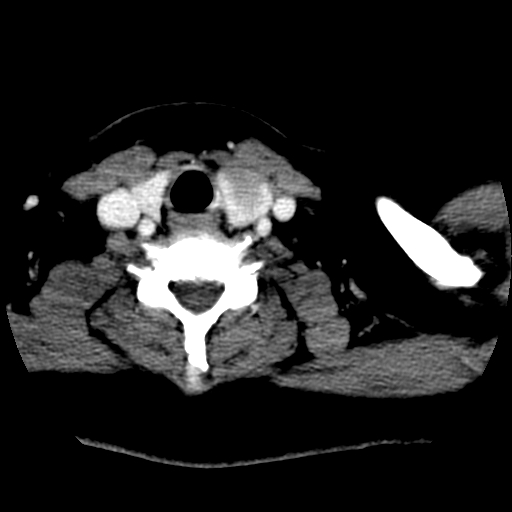
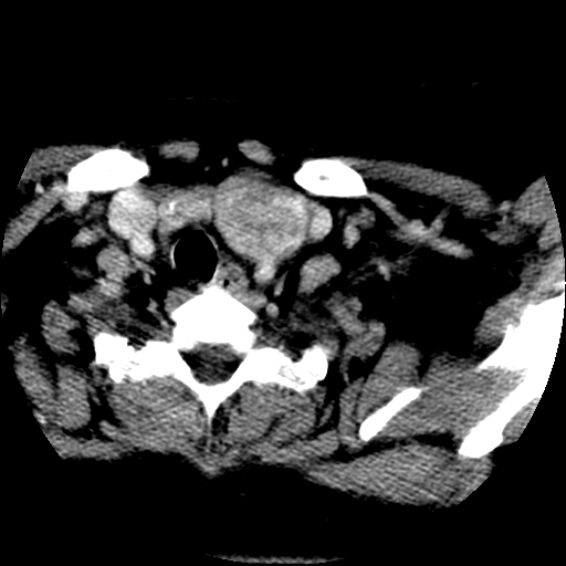
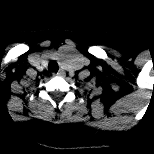
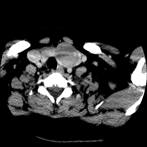
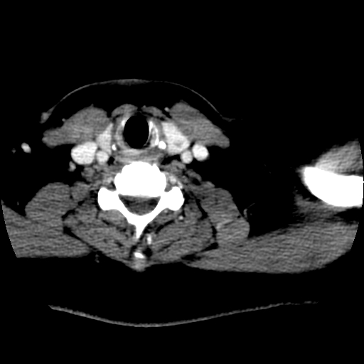
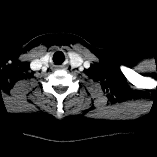
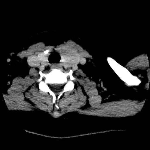
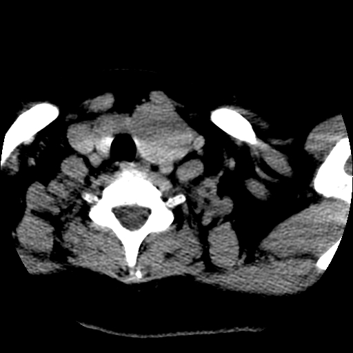
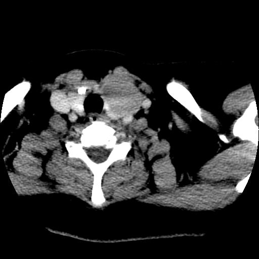
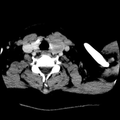
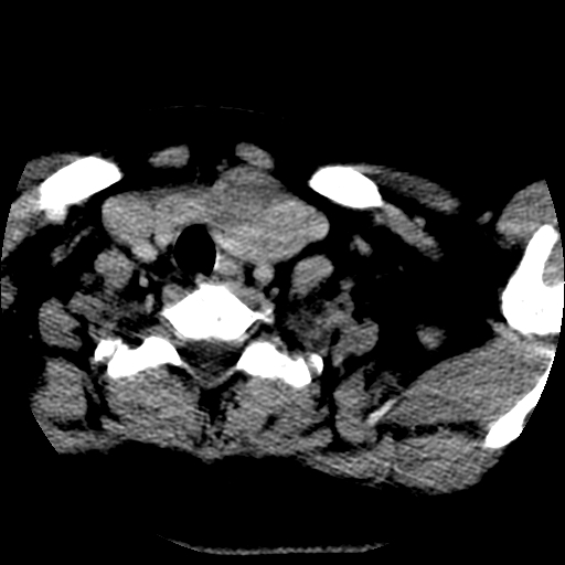
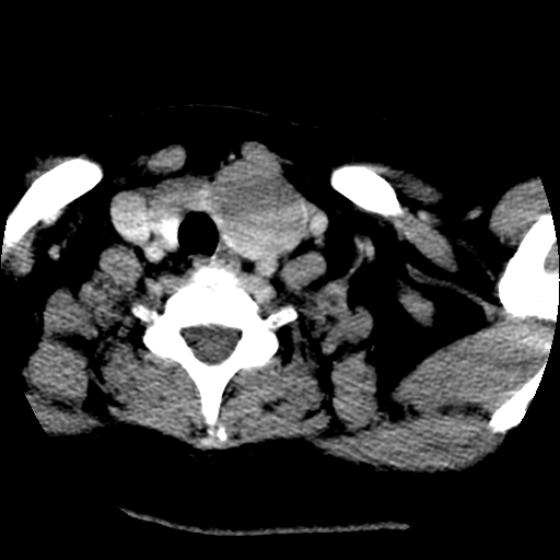
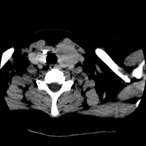
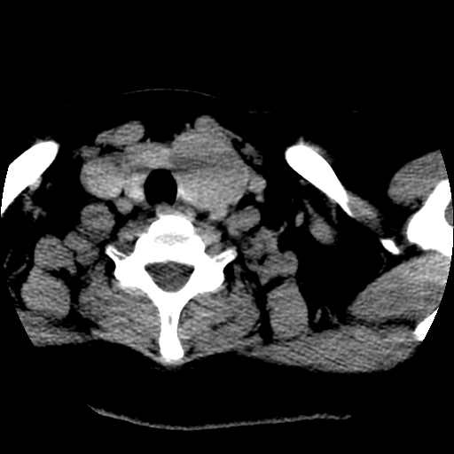
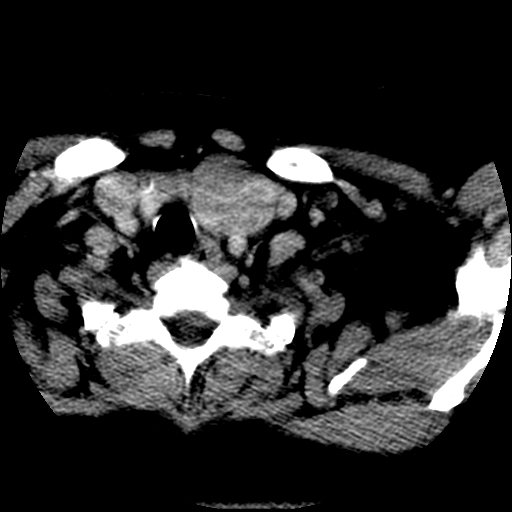
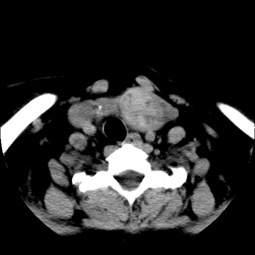
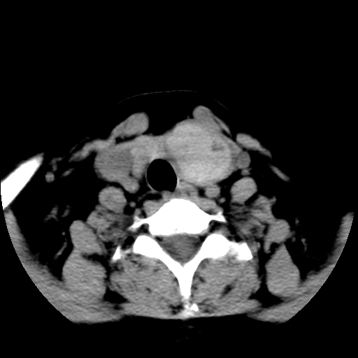
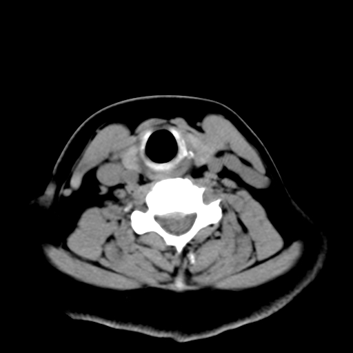
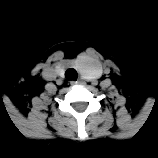
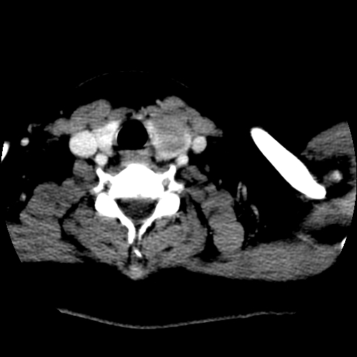
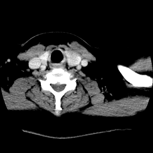
女,55岁,发现左侧甲状腺肿块一个月,彩超示:甲状腺多发结节伴左叶结节液化。






















































[本贴已被 翁志蓬 于 2010-4-1 22:53:36 修改过]

作者: 水蓝色的    时间: 2010-4-2 05:49
多考虑甲状腺腺瘤。
作者: zxl51642    时间: 2010-4-2 05:55
左右叶都有,峡部也受累,有钙化,考虑结甲可能性大。
甲状腺东西特异性不强,结节很小有很多是恶性,有的很怕人却是良性。
作者: DDN    时间: 2010-4-2 06:09
考虑右叶结节性甲状腺肿,伴左叶钙化。主要(1)密度均匀,边境清。(2)病灶与血管界限清。
作者: 狙击手    时间: 2010-4-2 06:13
边界清,无明显强化,考虑考虑甲状腺腺瘤
作者: 黑白光影    时间: 2010-4-2 06:23
考虑甲状腺腺瘤。
作者: wufeisheng    时间: 2010-4-2 06:57
支持结甲!
作者: 拂晓    时间: 2010-4-2 08:43
考虑甲状腺腺瘤
作者: 卜一    时间: 2010-4-2 13:25
支持结甲!
作者: yangyudong333    时间: 2010-4-2 14:15
边界清,无明显强化,考虑考虑甲状腺腺瘤
作者: 施明    时间: 2010-4-2 16:03
腺瘤囊变
作者: 随光逐影    时间: 2010-4-2 16:04
考虑左侧甲状腺结节性甲状腺肿,不排除甲状腺腺瘤。
作者: muzi888    时间: 2010-4-2 16:48
考虑甲状腺腺瘤。
作者: pujunzhi    时间: 2010-4-2 17:05
考虑左侧甲状腺腺瘤囊变。
作者: 求知若渴    时间: 2010-4-2 19:28
甲状腺腺瘤
作者: yuhongjun    时间: 2010-4-3 13:48
考虑左侧甲状腺结节性甲状腺肿,不排除甲状腺腺瘤。
作者: dr.yang    时间: 2013-5-15 23:25
左右叶都有,峡部也受累,有钙化,考虑结甲可能性大。
甲状腺东西特异性不强,结节很小有很多是恶性,有的很怕人却是良性。




欢迎光临 医影在线 (http://bbs.radida.com/bbs/) Powered by Discuz! X3.2