医影在线

标题: CT25494:胸部ct。 [打印本页]

作者: xupengjie    时间: 2010-4-2 19:04
标题: CT25494:胸部ct。
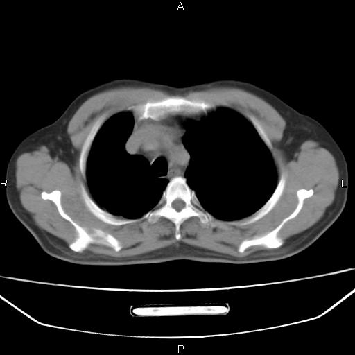
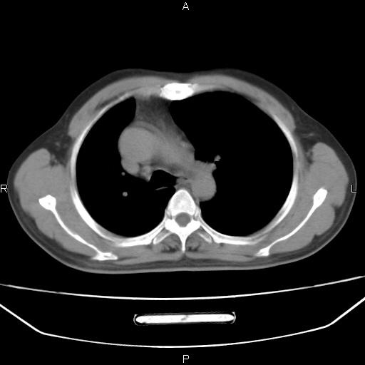
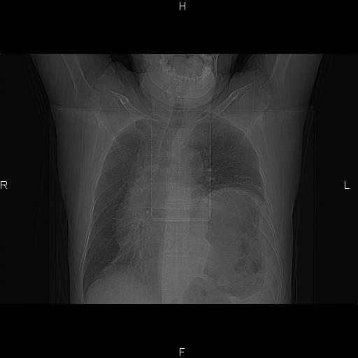
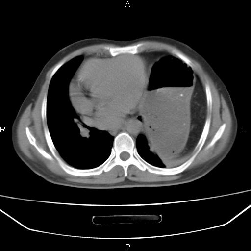
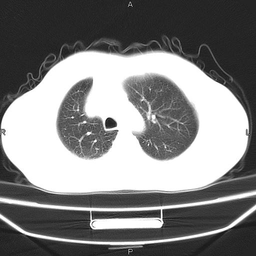
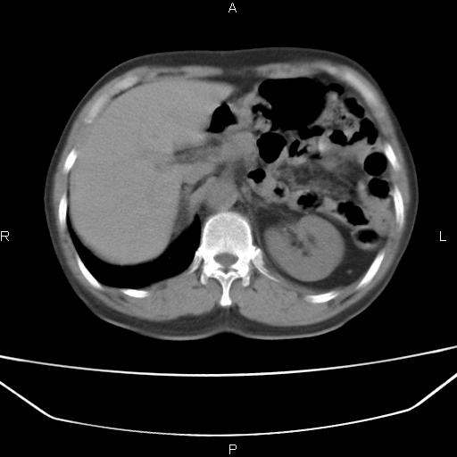
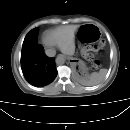
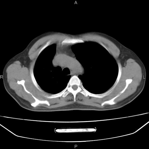
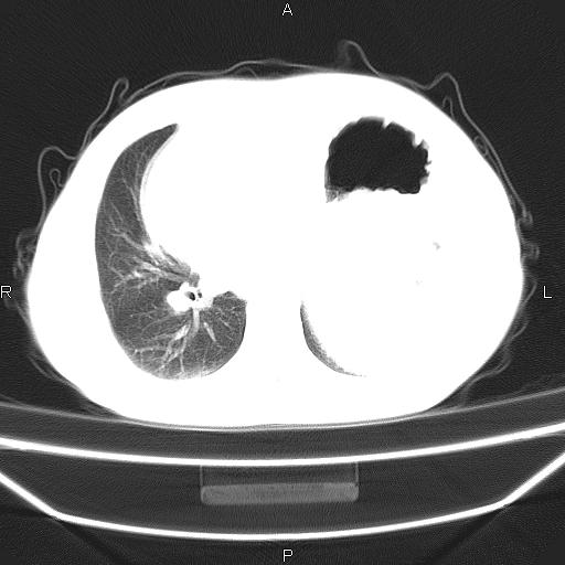
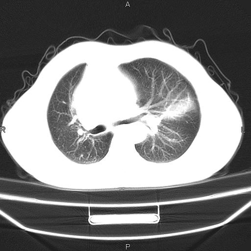
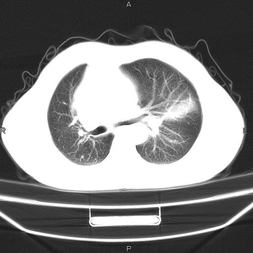
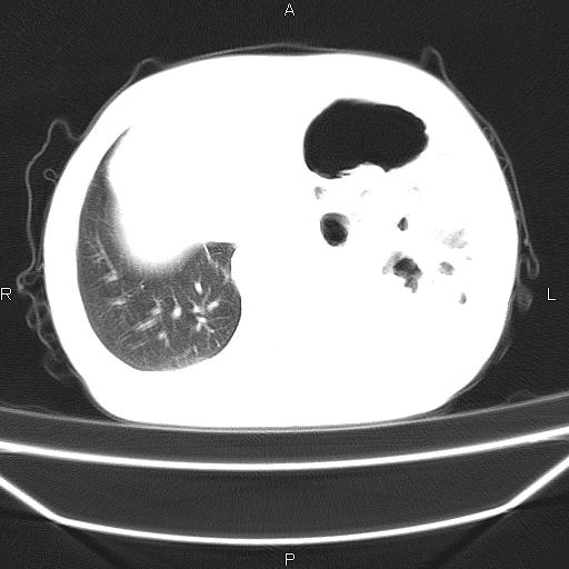
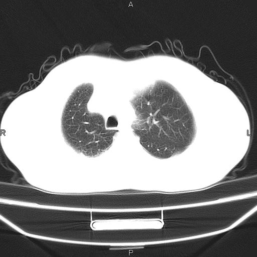
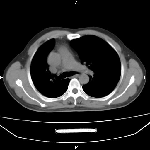
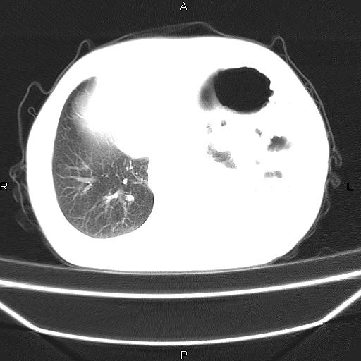
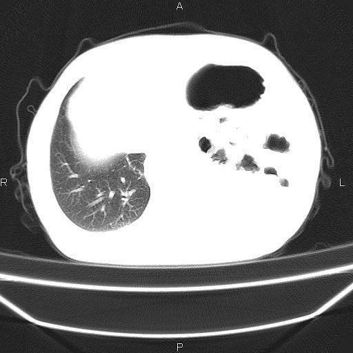
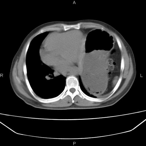
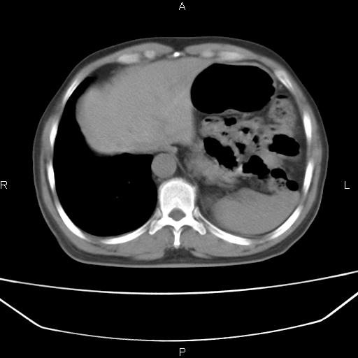
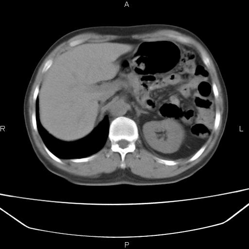
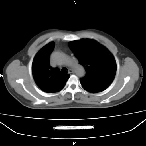
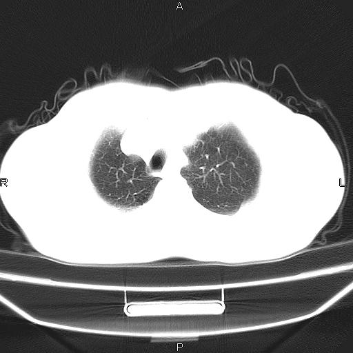
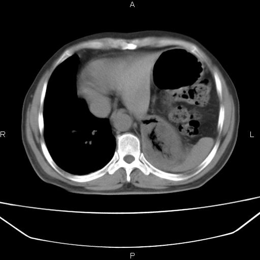
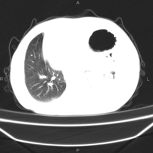
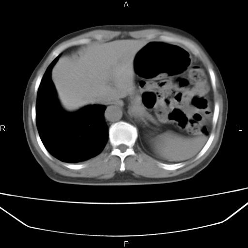
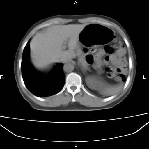
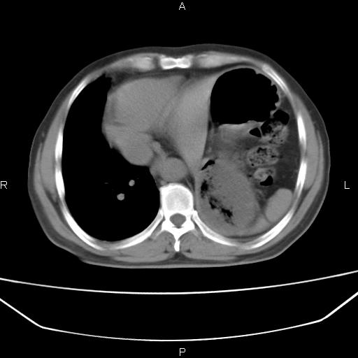
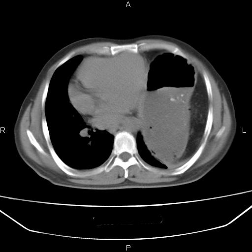
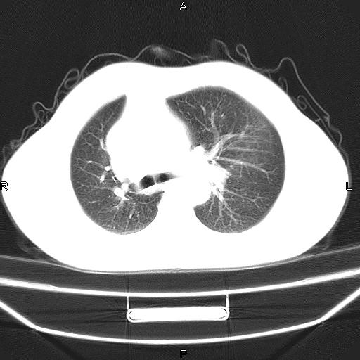
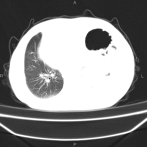
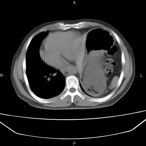
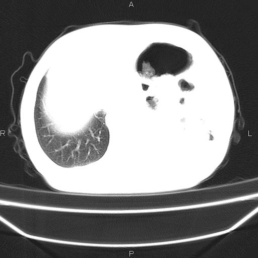
患者,男。50岁。近几日有咳嗽症状,无其他不适,既往病史无,考虑膈疝。请前辈们看看指导指导。





























































[本贴已被 翁志蓬 于 2010-4-4 22:17:08 修改过]

作者: 学者~『风    时间: 2010-4-2 19:06
乱码?
作者: zxl51642    时间: 2010-4-2 19:40
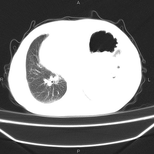
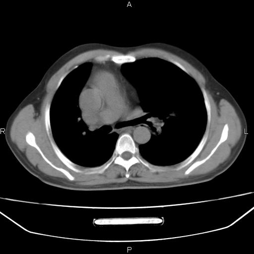
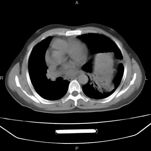
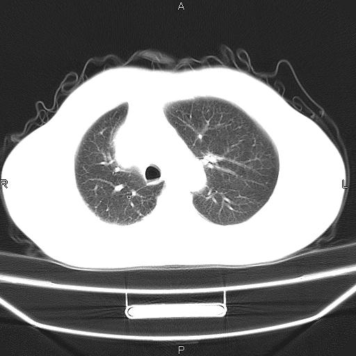
膈膨升,左下肺通气不良,膈肌好像还完整。
作者: 随光逐影    时间: 2010-4-2 19:50
考虑左侧膈疝。
作者: 施明    时间: 2010-4-2 21:10
膈麻?
作者: yangyudong333    时间: 2010-4-2 22:57
考虑左侧膈疝。
作者: dhlyq    时间: 2010-4-2 23:04
左侧膈疝。
作者: yuhongjun    时间: 2010-4-3 13:46
考虑左侧膈疝。
作者: 黑白光影    时间: 2010-4-3 17:12
标题: 回复:胸部ct。
以下是引用zxl51642在2010-4-2 11:40:00的发言:[br]膈膨升,左下肺通气不良,膈肌好像还完整。

作者: 草古木子    时间: 2010-4-3 18:33
符合隔膨升,膈肌较完整。
作者: dr.yang    时间: 2013-5-16 07:20
符合隔膨升,膈肌较完整。




欢迎光临 医影在线 (http://bbs.radida.com/bbs/) Powered by Discuz! X3.2