医影在线

标题: CT25496:颅脑增强:男性,70岁 [打印本页]

作者: 网事随风    时间: 2010-4-2 19:54
标题: CT25496:颅脑增强:男性,70岁
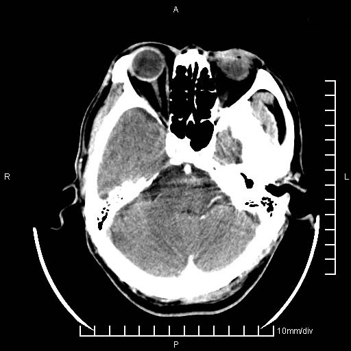
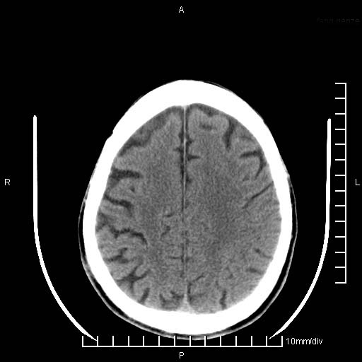
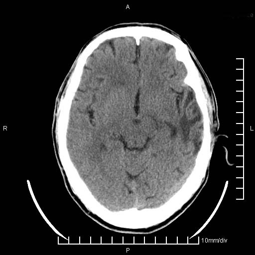
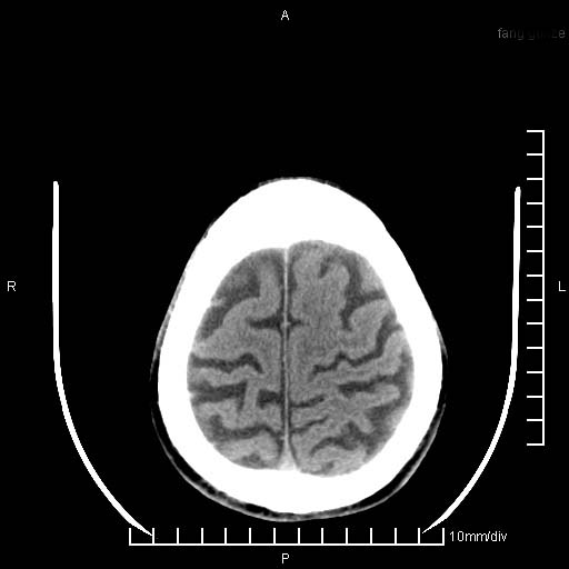
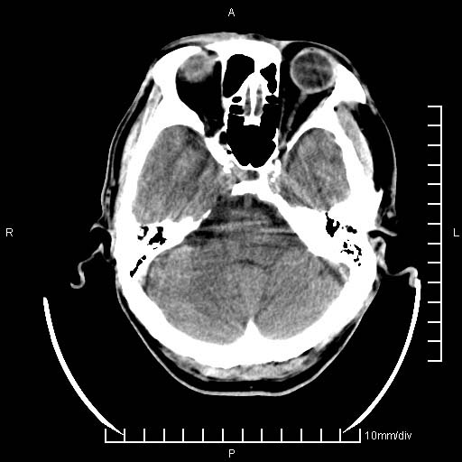
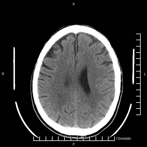
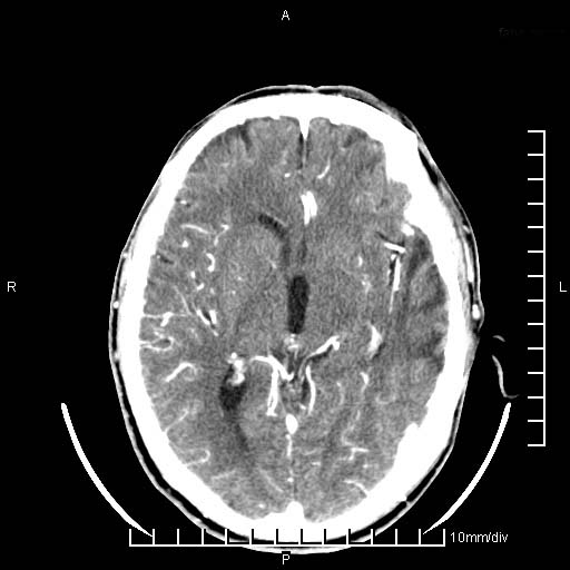
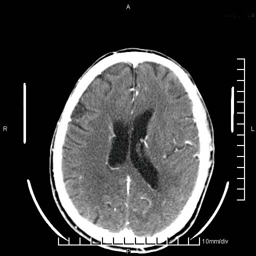
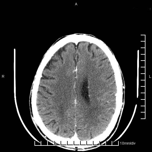
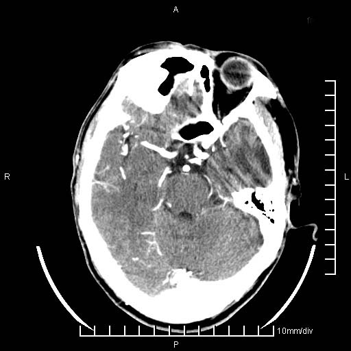
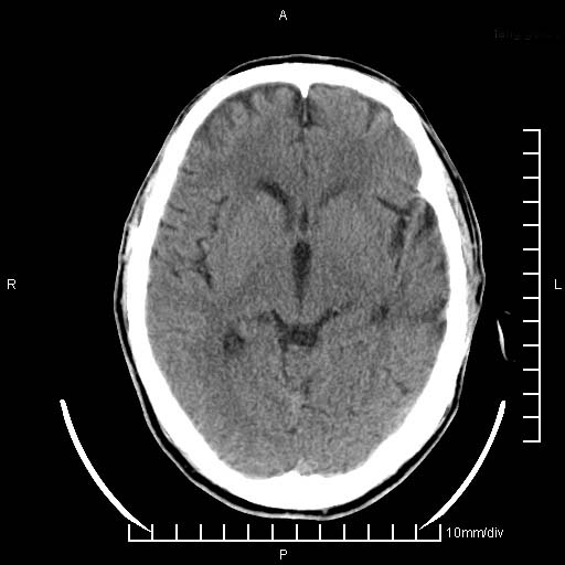
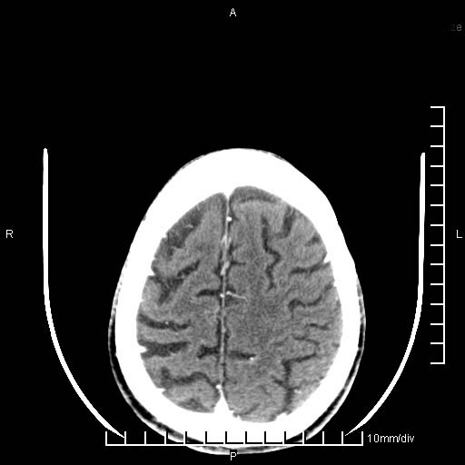
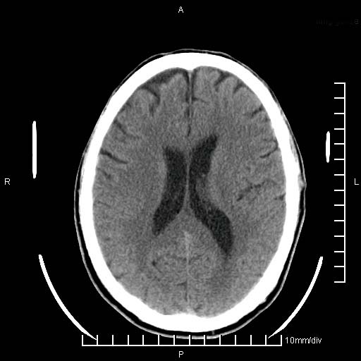
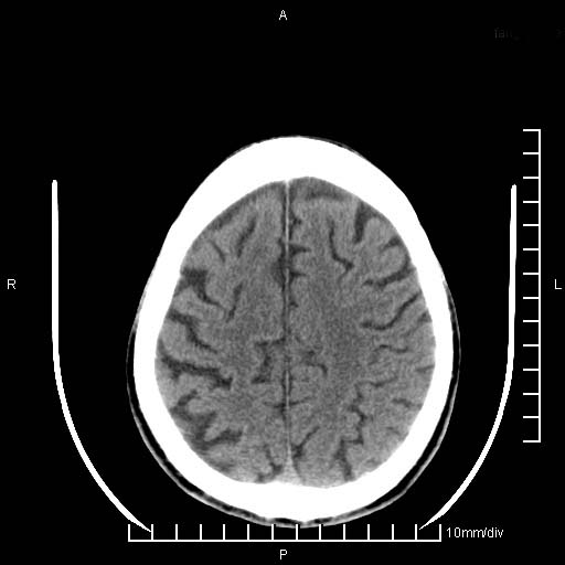
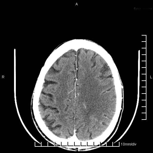
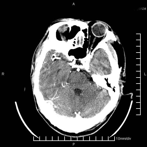
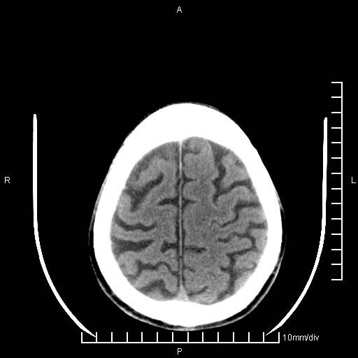
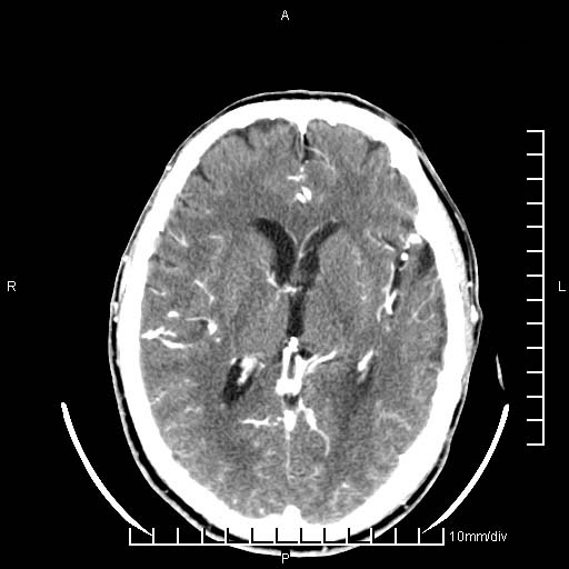
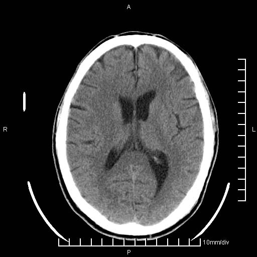
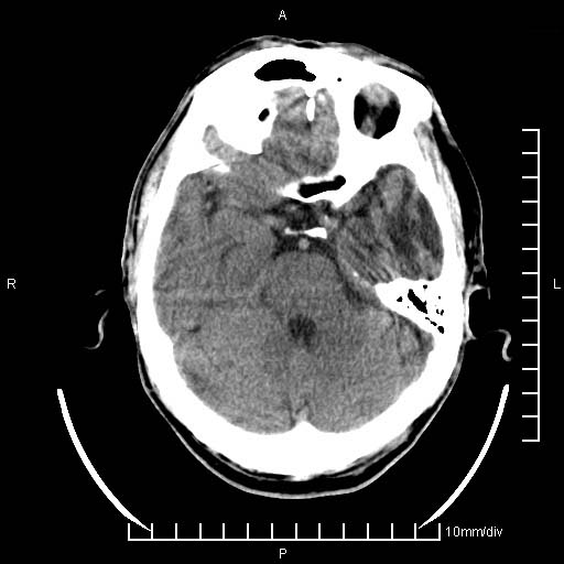
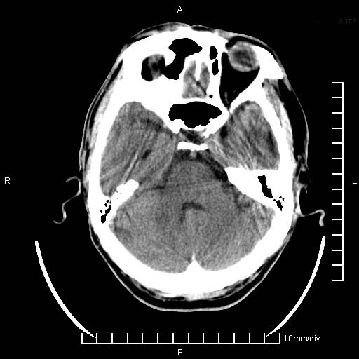
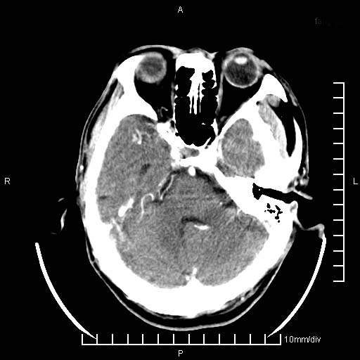
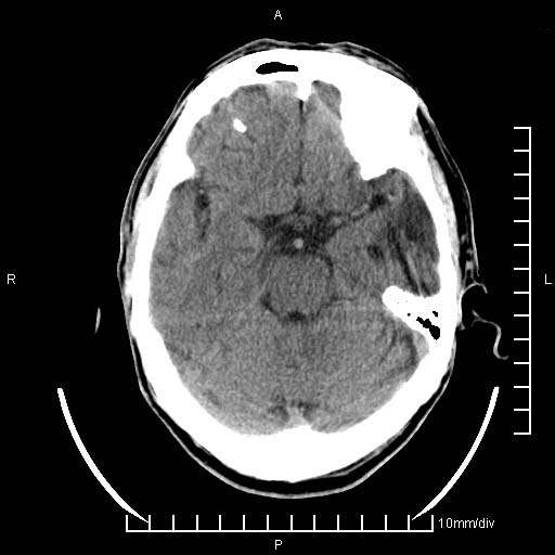
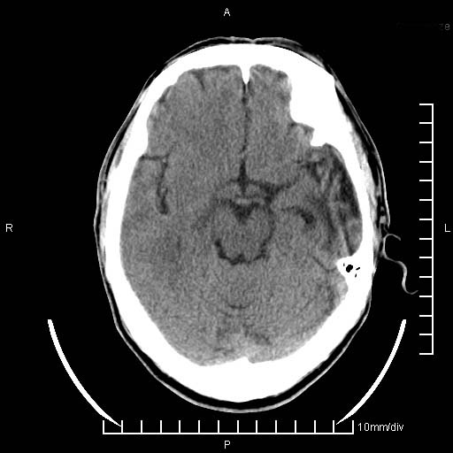
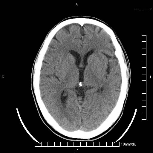
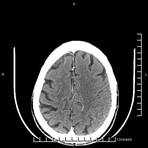
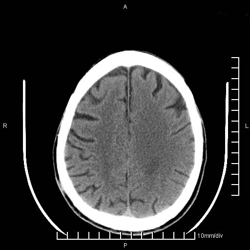
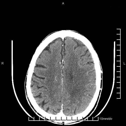
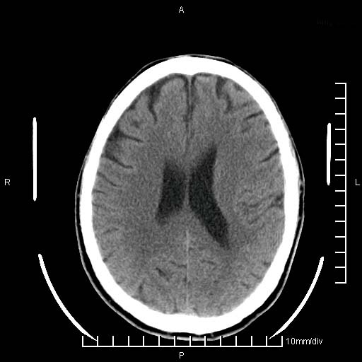
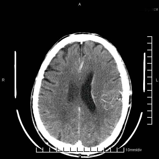
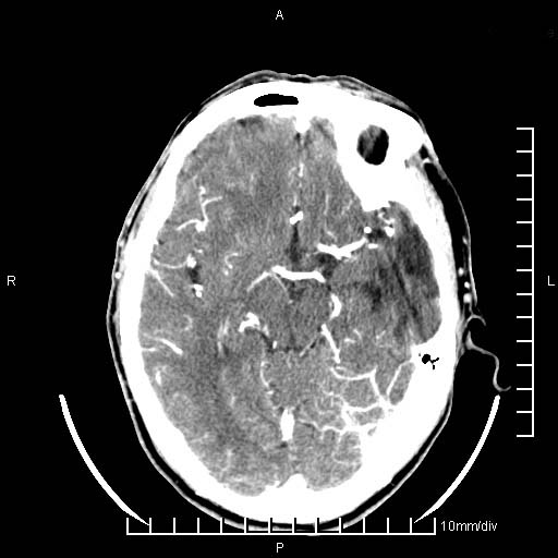
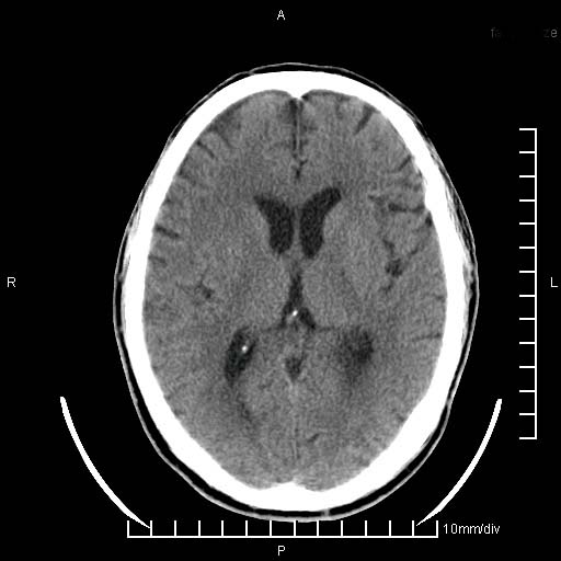
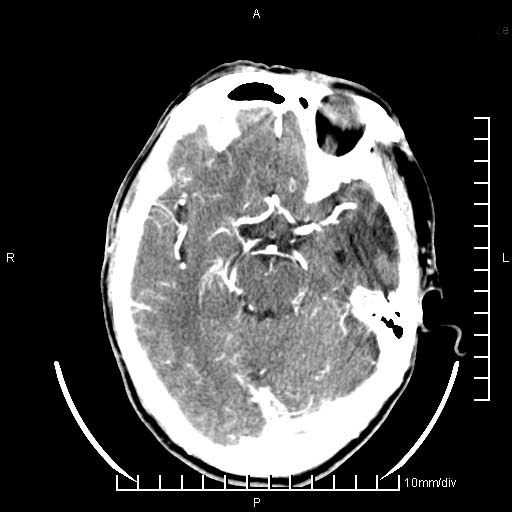
临床以双下肢浮肿,疼痛收治,无明显神经系统症状,既往无梗塞,出血病史。左颞叶见低密度灶,考虑什么?










































[本贴已被 翁志蓬 于 2010-4-4 22:18:00 修改过]

作者: 随光逐影    时间: 2010-4-2 20:01
考虑左侧颞叶脑软化灶。
作者: zxl51642    时间: 2010-4-2 20:06
支持2楼
作者: 科室第一人    时间: 2010-4-2 20:10
脑软化灶
作者: 施明    时间: 2010-4-2 21:26
无强化 无占位 软化灶吧
作者: yangyudong333    时间: 2010-4-2 22:50
软化灶
作者: dhlyq    时间: 2010-4-2 23:31
考虑左侧颞叶脑软化灶
作者: 37度    时间: 2010-4-3 00:55
标题: 回复:颅脑增强:男性,70岁
以下是引用随光逐影在2010-4-2 12:01:00的发言:[br]考虑左侧颞叶脑软化灶。

作者: yuhongjun    时间: 2010-4-3 13:36
考虑左侧颞叶脑软化灶 。
作者: 黑白光影    时间: 2010-4-3 17:16
支持大家
作者: 草古木子    时间: 2010-4-3 18:45
无强化、 无占位、局部脑沟增宽, 软化灶吧。
作者: dr.yang    时间: 2013-5-16 17:57
支持




欢迎光临 医影在线 (http://bbs.radida.com/bbs/) Powered by Discuz! X3.2