医影在线

标题: X7060:女,40,呕吐一日,自觉上腹部不适,剑突下痛。 [打印本页]

作者: a天    时间: 2010-4-2 21:21
标题: X7060:女,40,呕吐一日,自觉上腹部不适,剑突下痛。
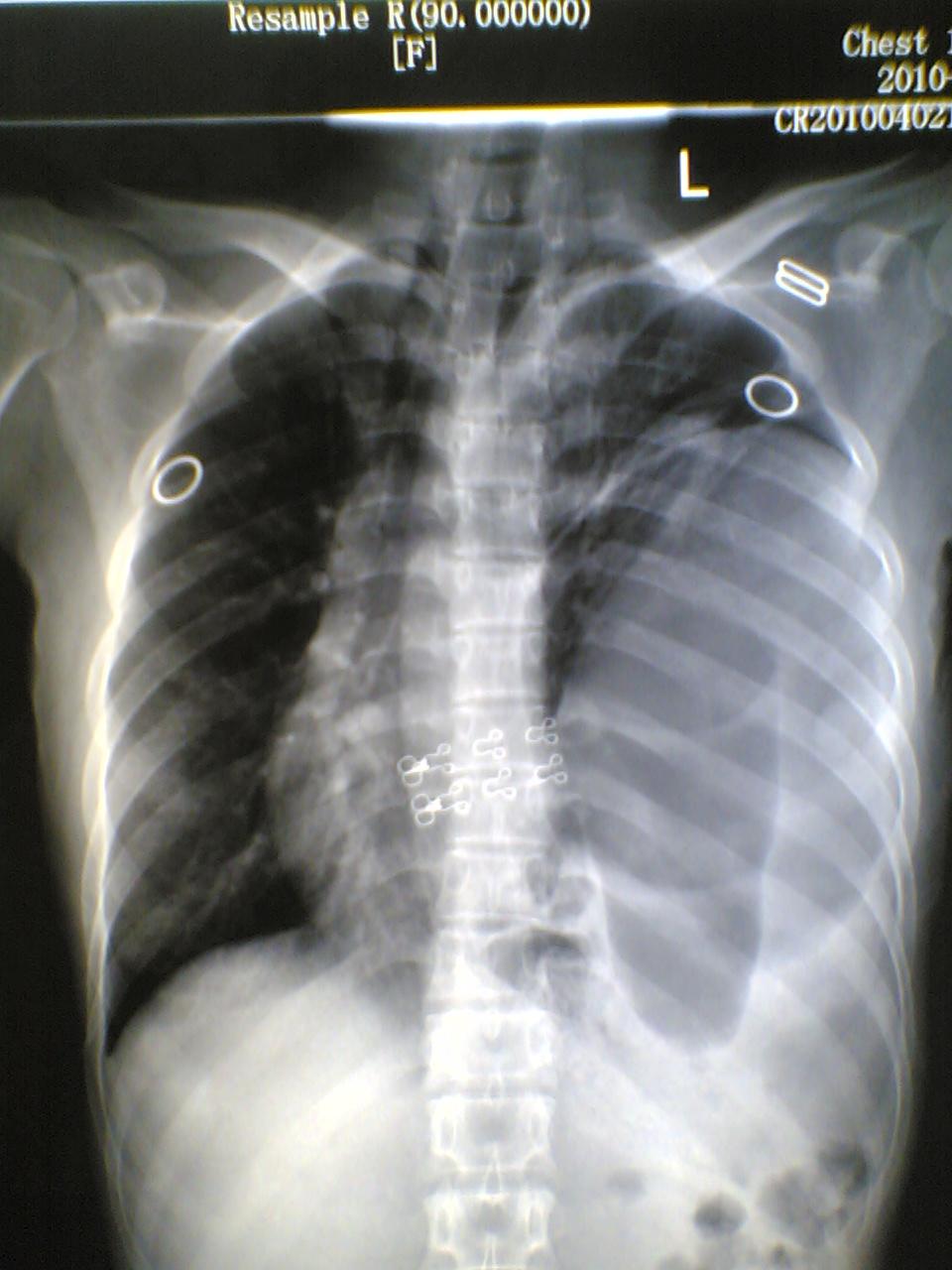
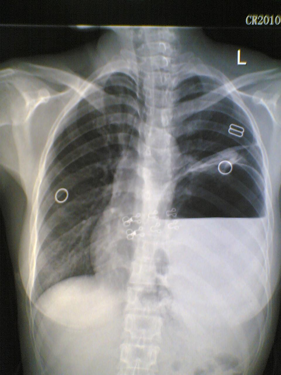
膈疝?膈膨升?胃泡上是膈面还是肺组织?请各位老师多多指教(图像质量欠清,包涵)





[本贴已被 cefcmj 于 2010-4-3 9:40:55 修改过]

作者: 随光逐影    时间: 2010-4-2 22:53
1)考虑左侧膈疝。2)左下肺盘状肺不张。
作者: yangyudong333    时间: 2010-4-2 23:04
考虑左侧膈疝
作者: 37度    时间: 2010-4-2 23:42
标题: 回复:女,40,呕吐一日,自觉上腹部不适,剑突下痛。
以下是引用随光逐影在2010-4-2 14:53:00的发言:[br]1)考虑左侧膈疝。2)左下肺盘状肺不张。

作者: zhanggenliang    时间: 2010-4-2 23:46
考虑左侧膈疝。像结肠影
作者: 子期    时间: 2010-4-2 23:57
支持膈疝
作者: 道哥    时间: 2010-4-3 01:02
1)考虑左侧膈疝。2)左下肺盘状肺不张。
作者: 黑白光影    时间: 2010-4-3 07:24
标题: 回复:女,40,呕吐一日,自觉上腹部不适,剑突下痛。
以下是引用随光逐影在2010-4-2 14:53:00的发言:[br]1)考虑左侧膈疝。2)左下肺盘状肺不张。

支持
作者: 韦伟    时间: 2010-4-3 07:40
考虑左侧膈疝。2)左下肺盘状肺不张。
作者: hexue    时间: 2010-4-3 07:40
考虑左侧膈疝
作者: yuhongjun    时间: 2010-4-3 12:58
1)考虑左侧膈疝。2)左下肺盘状肺不张。  
支持 。
作者: 眼睛    时间: 2010-4-3 14:37
考虑左侧膈疝
作者: gaoyang8    时间: 2010-4-3 15:54
考虑左侧膈疝。
作者: zxl51642    时间: 2010-4-3 17:04
支持
作者: 吴医师    时间: 2010-4-3 17:07
支持大家
作者: muzi888    时间: 2010-4-3 17:34
考虑左侧膈疝
作者: DDN    时间: 2010-4-3 23:42
左侧膈疝,伴胃扩张,左下肺膨涨不全(压缩所至)。
作者: sunbin    时间: 2010-4-4 00:48
左侧膈疝,左下肺盘状不张。
作者: 拂晓    时间: 2010-4-4 02:00
支持大家
作者: dyqct    时间: 2010-4-4 02:07
1)考虑左侧膈疝。2)左下肺盘状肺不张。支持!应该做钡餐或透视进一步检查。
作者: 拾荒者    时间: 2010-4-4 04:24
1)考虑左侧膈疝。2)左下肺盘状肺不张。  
支持 !
作者: 光影相伴    时间: 2010-4-5 03:01
标题: 回复:x7060:女,40,呕吐一日,自觉上腹部不适,剑突下痛
以下是引用随光逐影在2010-4-2 14:53:00的发言:[br]1)考虑左侧膈疝。2)左下肺盘状肺不张。

作者: jinguoji    时间: 2010-4-11 21:28
支持 考虑左侧膈疝;左下肺盘状肺不张.




欢迎光临 医影在线 (http://bbs.radida.com/bbs/) Powered by Discuz! X3.2