医影在线

标题: X7063:女、40岁、左膝间歇性疼痛一年余,否认有外伤史。 [打印本页]

作者: ganeng.2008    时间: 2010-4-3 07:30
标题: X7063:女、40岁、左膝间歇性疼痛一年余,否认有外伤史。




[本贴已被 cefcmj 于 2010-4-3 9:43:05 修改过]

作者: yuhongjun    时间: 2010-4-3 12:57
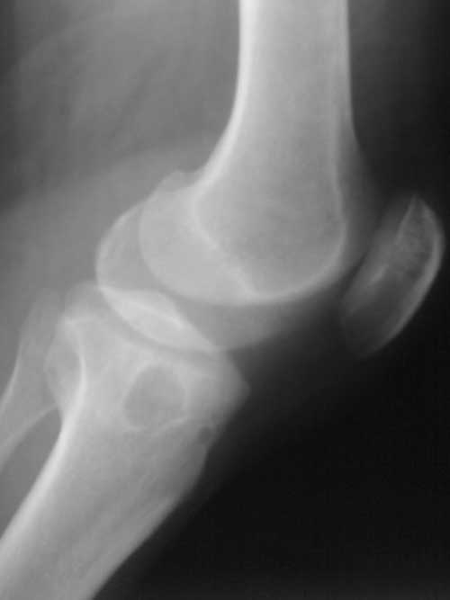
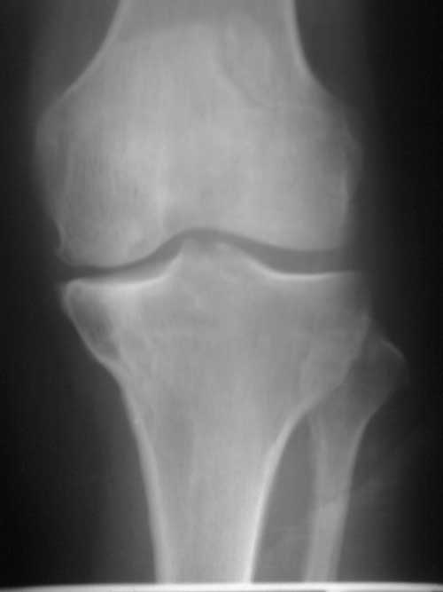
囊性低密度阴影,周边硬化,考虑邻关节骨囊肿。
作者: yangyudong333    时间: 2010-4-3 13:10
1  左膝退变并关节面下骨质囊变。2 二分髌骨。
作者: whmy    时间: 2010-4-3 14:40
纤维性骨皮质缺损?2 二分髌骨。
作者: 随光逐影    时间: 2010-4-3 16:12
1)左膝关节退行性骨关节病,左胫骨上端邻关节骨囊肿。2 )二分髌骨。
作者: 黑白光影    时间: 2010-4-3 16:33
标题: 回复:女、40岁、左膝间歇性疼痛一年余,否认有外伤史。
以下是引用随光逐影在2010-4-3 8:12:00的发言:[br]1)左膝关节退行性骨关节病,左胫骨上端邻关节骨囊肿。2 )二分髌骨。

作者: 513ytb    时间: 2010-4-3 16:51
囊性低密度阴影,周边硬化,考虑邻关节骨囊肿.
作者: zxl51642    时间: 2010-4-3 17:06
邻关节骨囊肿或软骨下假囊肿,二分髌骨。
作者: 吴医师    时间: 2010-4-3 17:16
左膝关节退行性骨关节病,左胫骨上端骨囊肿。二分髌骨。
作者: muzi888    时间: 2010-4-3 17:30
)左膝关节退行性骨关节病,左胫骨上端邻关节骨囊肿。2 )二分髌骨。  
  
支持!
作者: gaoyang8    时间: 2010-4-3 17:34
标题: 回复:女、40岁、左膝间歇性疼痛一年余,否认有外伤史。
以下是引用随光逐影在2010-4-3 8:12:00的发言:[br]1)左膝关节退行性骨关节病,左胫骨上端邻关节骨囊肿。2 )二分髌骨。

作者: DDN    时间: 2010-4-3 23:35
考虑低毒性骨感染。
作者: sunbin    时间: 2010-4-4 01:03
左膝关节退变邻近关节骨囊肿,二分髌骨。
作者: 拂晓    时间: 2010-4-4 01:54
左膝关节退变邻近关节骨囊肿,二分髌骨
作者: dyqct    时间: 2010-4-4 02:12
标题: 回复:x7063:女、40岁、左膝间歇性疼痛一年余,否认有外伤
以下是引用yuhongjun在2010-4-3 4:57:00的发言:[br]囊性低密度阴影,周边硬化,考虑邻关节骨囊肿。

支持!
作者: 37度    时间: 2010-4-4 02:48
左膝关节退变邻近关节骨囊肿,二分髌骨
作者: 拾荒者    时间: 2010-4-4 04:33
以下是引用随光逐影在2010-4-3 8:12:00的发言:
1)左膝关节退行性骨关节病,左胫骨上端邻关节骨囊肿。2 )二分髌骨。
作者: jiahui7z    时间: 2010-4-4 19:33
考虑骨囊肿
作者: 张辉9999    时间: 2010-4-5 15:40
1)左膝关节退行性骨关节病,左胫骨上端邻关节骨囊肿。2 )二分髌骨。
作者: zhanggenliang    时间: 2010-4-7 02:14
支持退变,邻关节骨囊肿
作者: jinguoji    时间: 2010-4-11 21:35
标题: 回复:x7063:女、40岁、左膝间歇性疼痛一年余,否认有外伤
以下是引用随光逐影在2010-4-3 8:12:00的发言:[br]1)左膝关节退行性骨关节病,左胫骨上端邻关节骨囊肿。2 )二分髌骨。





欢迎光临 医影在线 (http://bbs.radida.com/bbs/) Powered by Discuz! X3.2