医影在线

标题: X7067:胸部平片 [打印本页]

作者: 潘X    时间: 2010-4-3 23:48
标题: X7067:胸部平片
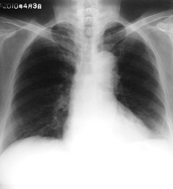
女,68岁,咳嗽、咯血(血丝)一周。余其它状况良好~~


[本贴已被 翁志蓬 于 2010-4-4 23:56:38 修改过]

作者: 科室第一人    时间: 2010-4-4 00:20
左侧肋膈角变钝
作者: 潘X    时间: 2010-4-4 00:35
标题: 回复:胸部平片

作者: 潘X    时间: 2010-4-4 00:39
网速太慢了,发了n久。
作者: 37度    时间: 2010-4-4 02:04
未见明显异常,做个ct看有没有局灶性支扩。
作者: dyqct    时间: 2010-4-4 02:20
胸部平片未见异常。
作者: 奥特之父    时间: 2010-4-4 02:30
平片阴性,ct可能阳性.
作者: 随光逐影    时间: 2010-4-4 03:55
建议行ct扫描检查。
作者: 拂晓    时间: 2010-4-4 04:36
标题: 回复:胸部平片
以下是引用37度在2010-4-3 18:04:00的发言:[br]未见明显异常,做个ct看有没有局灶性支扩。

作者: 拾荒者    时间: 2010-4-4 04:39
平片未见明显异常,建议hrct看有否支扩表现。
作者: zxl51642    时间: 2010-4-4 06:37
建议行ct扫描检查。
作者: yangyudong333    时间: 2010-4-4 13:33
胸部平片未见异常。
作者: yuhongjun    时间: 2010-4-4 14:05
建议行ct扫描检查。
作者: zsl6918    时间: 2010-4-4 15:23
现有的图像资料看不清,不能进行诊断
作者: jiahui7z    时间: 2010-4-4 19:47
未见明显异常。
作者: 黑白光影    时间: 2010-4-5 05:21
胸部平片未见明显异常。
作者: xiongneo    时间: 2010-4-5 05:50
胸部平片未见异常。  
   

dyqct说
作者: luoxinjun    时间: 2010-4-5 23:12
胸部平片未见明显异常
作者: 胡宇    时间: 2010-4-5 23:41
左侧少量胸腔积液;左侧膈肌略抬高,建议ct检查。
作者: zhanggenliang    时间: 2010-4-7 01:59
体胖老年妇女,肋膈角处可能是乳房影,胸部未见明显异常改变,有症状,建议ct进一步检查,以免误诊
作者: jinguoji    时间: 2010-4-11 21:46
胸部平片未见明显异常。




欢迎光临 医影在线 (http://bbs.radida.com/bbs/) Powered by Discuz! X3.2