医影在线
标题: X7068:女,25岁,自觉胸部气紧不适一年。请老师指教。 [打印本页]
作者: a天 时间: 2010-4-4 03:39
标题: X7068:女,25岁,自觉胸部气紧不适一年。请老师指教。
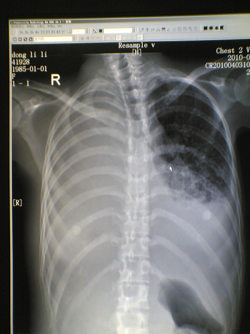
左肺结核病灶?肺泡癌?


[本贴已被 a天 于 2010-4-3 19:41:08 修改过]
[本贴已被 翁志蓬 于 2010-4-4 23:58:00 修改过]
作者: 随光逐影 时间: 2010-4-4 03:58
考虑左肺结核,右侧肺毁损;左侧胸腔积液。
建议:行ct扫描检查。
作者: 37度 时间: 2010-4-4 04:17
考虑左肺结核,左侧胸腔积液。右侧大量胸腔积液并全肺叶不张。
建议:行ct扫描检查。
作者: 拂晓 时间: 2010-4-4 04:35
标题: 回复:女,25岁,自觉胸部气紧不适一年。请老师指教。
以下是引用37度在2010-4-3 20:17:00的发言:[br][br] [br] 考虑左肺结核,左侧胸腔积液。右侧大量胸腔积液并全肺叶不张。[br]建议:行ct扫描检查。 [br] [br]
作者: 拾荒者 时间: 2010-4-4 04:44
标题: 回复:女,25岁,自觉胸部气紧不适一年。请老师指教。
以下是引用37度在2010-4-3 20:17:00的发言:[br][br] [br] 考虑左肺结核,左侧胸腔积液。右侧大量胸腔积液并全肺叶不张。[br]建议:行ct扫描检查。 [br] [br]
作者: dyqct 时间: 2010-4-4 05:01
还是ct检查后再发报告吧!
作者: zxl51642 时间: 2010-4-4 06:40
标题: 回复:女,25岁,自觉胸部气紧不适一年。请老师指教。
以下是引用dyqct在2010-4-3 21:01:00的发言:[br]还是ct检查后再发报告吧!
作者: yangyudong333 时间: 2010-4-4 13:34
以下是引用dyqct在2010-4-3 21:01:00的发言:
还是ct检查后再发报告吧!
作者: yuhongjun 时间: 2010-4-4 14:08
标题: 回复:女,25岁,自觉胸部气紧不适一年。请老师指教。
以下是引用随光逐影在2010-4-3 19:58:00的发言:[br]考虑左肺结核,右侧肺毁损;左侧胸腔积液。[br]建议:行ct扫描检查。
作者: zsl6918 时间: 2010-4-4 15:17
右肺不开窗,纵隔无移位,估计是积液与不张并存,结合患者年龄及病史考虑支气管内膜结核并左肺播散。
作者: jiahui7z 时间: 2010-4-4 19:48
标题: 回复:女,25岁,自觉胸部气紧不适一年。请老师指教。
以下是引用37度在2010-4-3 20:17:00的发言:[br][br] [br] 考虑左肺结核,左侧胸腔积液。右侧大量胸腔积液并全肺叶不张。[br]建议:行ct扫描检查。 [br] [br]
作者: yuebin 时间: 2010-4-4 20:24
支持大家
作者: dr.yang 时间: 2010-4-5 01:29
标题: 回复:女,25岁,自觉胸部气紧不适一年。请老师指教。
以下是引用zsl6918在2010-4-4 7:17:00的发言:[br]右肺不开窗,纵隔无移位,估计是积液与不张并存,结合患者年龄及病史考虑支气管内膜结核并左肺播散。
作者: 光影相伴 时间: 2010-4-5 02:34
考虑:左肺结核,右侧肺毁损;左侧胸腔积液。
建议:行ct扫描检查。
作者: 黑白光影 时间: 2010-4-5 05:19
标题: 回复:女,25岁,自觉胸部气紧不适一年。请老师指教。
以下是引用37度在2010-4-3 20:17:00的发言:[br][br] [br] 考虑左肺结核,左侧胸腔积液。右侧大量胸腔积液并全肺叶不张。[br]建议:行ct扫描检查。 [br] [br]
作者: xiongneo 时间: 2010-4-5 05:49
考虑左肺结核,左侧胸腔积液。右侧大量胸腔积液并全肺叶不张。
建议:行ct扫描检查。
作者: 张辉9999 时间: 2010-4-5 15:37
右肺不开窗,纵隔无移位,估计是积液与不张并存,结合患者年龄及病史考虑支气管内膜结核并左肺播散。
作者: x-ray 时间: 2010-4-5 20:29
病人年轻,病史较长1年,还是考虑慢性病 结核了, 侧位看上肺也有片絮状病变,当然要做个ct ,估计右侧为实变和胸腔积液
作者: luoxinjun 时间: 2010-4-5 23:10
考虑左肺结核,右侧肺毁损;左侧胸腔积液。
建议:行ct扫描检查。
作者: 胡宇 时间: 2010-4-5 23:38
考虑左肺结核,左侧胸腔积液。右侧大量胸腔积液并全肺叶不张。
建议:行ct扫描检查。
作者: zhanggenliang 时间: 2010-4-7 02:06
1985年的片子,病人还活着吗?如果命大,就不用考虑肺泡癌了。怕只怕当时没有ct,现在找不到病人才是最麻烦的。如果病人很健康,结核就无疑了。
作者: jinguoji 时间: 2010-4-11 21:48
标题: 回复:x7068:女,25岁,自觉胸部气紧不适一年。请老师指教
以下是引用dyqct在2010-4-3 21:01:00的发言:[br]还是ct检查后再发报告吧!
| 欢迎光临 医影在线 (http://bbs.radida.com/bbs/) |
Powered by Discuz! X3.2 |