


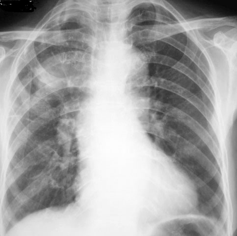
以下是引用随光逐影在2010-4-4 17:47:00的发言:[br]右上肺肿块,不排除肿瘤性病变;建议行ct扫描检查。
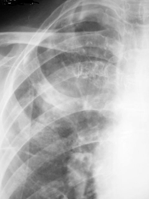
以下是引用随光逐影在2010-4-4 17:47:00的发言:[br]右上肺肿块,不排除肿瘤性病变;建议行ct扫描检查。
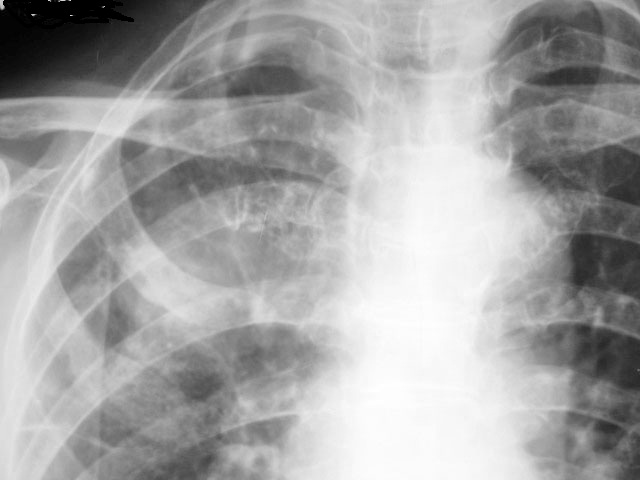
以下是引用随光逐影在2010-4-4 17:47:00的发言:[br]右上肺肿块,不排除肿瘤性病变;建议行ct扫描检查。
以下是引用随光逐影在2010-4-4 17:47:00的发言:[br]右上肺肿块,不排除肿瘤性病变;建议行ct扫描检查。
以下是引用zxl51642在2010-4-4 15:11:00的发言:[br]做ct看看.
| 欢迎光临 医影在线 (http://bbs.radida.com/bbs/) | Powered by Discuz! X3.2 |