医影在线

标题: CT25304结果小肠间质瘤 [打印本页]

作者: 听蝉观竹    时间: 2010-4-5 03:15
标题: CT25304结果小肠间质瘤
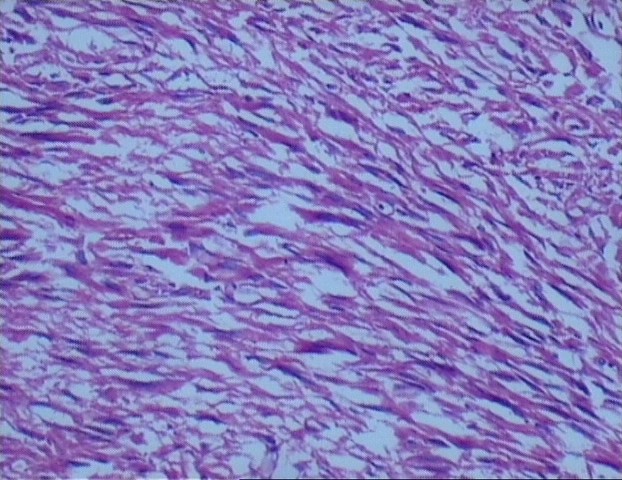
肉眼所见:
4.5x5x5.5cm大小肿物,包膜完整,切开部分呈囊状,囊内流出暗红色液体,实性部分切面呈肉红色,质地脆,肿物基底与回肠紧密相连,不能分离。
光镜所见:
瘤细胞呈梭形或上皮样,核圆形或梭形,核分裂像75/56,胞浆丰富,排列呈巢团状或囊状,部分区域可呈坏死,可见囊性变。
诊断意见:
小肠间质瘤,坏死囊变。
免疫组化:
ck(-),vimentin(+),cd34(++),cd117(+),gfap(-),s-100(-),sma(+),bcl-2(+),ki-67(-)  

  电镜

免疫组化


http://bbs.radida.com/bbs/forum.php?mod=viewthread&tid=64049
作者: 黑白光影    时间: 2010-4-5 05:12
谢楼主反馈病理结果
作者: yangyudong333    时间: 2010-4-5 13:13
谢楼主反馈病理结果
作者: 随光逐影    时间: 2010-4-5 18:35
感谢楼主反馈术后病理结果。




欢迎光临 医影在线 (http://bbs.radida.com/bbs/) Powered by Discuz! X3.2