医影在线

标题: MRI2838:椎管内占位,请讨论性质(CT+mri) [打印本页]

作者: guzhongliangddd    时间: 2010-4-5 20:19
标题: MRI2838:椎管内占位,请讨论性质(CT+mri)
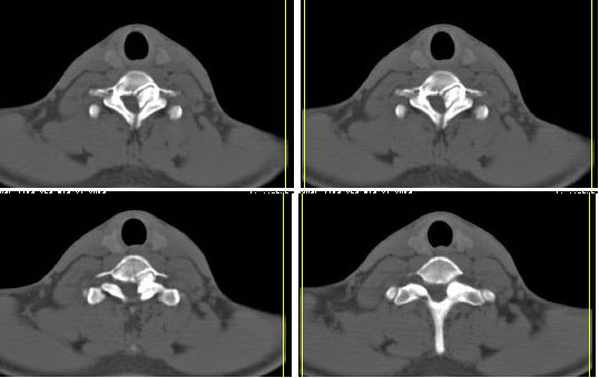
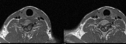
男24岁因一年来感头昏,查体四肢肌力及感觉无异常。颈椎dr未见异常,mri发现c7水平段椎管内左侧占位。患者于7年前有车祸伤病史(但是未检查,自述无异常)。请讨论是否是机化血肿或骨折片,能除外是肿瘤?
ct








强化







[本贴已被 翁志蓬 于 2010-4-5 18:29:42 修改过]

作者: 联众之王    时间: 2010-4-6 02:16
椎管狭窄,其内有正常骨髓组织:考虑骨尤                 
                               或者异常骨块
作者: 翁志蓬    时间: 2010-4-6 02:48
标题: 考虑骨软骨瘤可能性大
椎管内骨性肿块,与第7颈椎左下关节突关系密切,向椎管内生长,第7颈椎椎体左后缘受压变形,边缘可见硬化边,与肿块间间隙清晰。mri扫描肿块内可见骨髓信号,考虑骨软骨瘤可能性大。


楼主曾经传过一个ct病例,位于颈深部的骨性密度肿块,我也考虑是来源于颅底的骨软骨瘤。可以一块研究:
http://www.radida.com/radinet/read.php?tid=63911
作者: jsgdoctor    时间: 2010-4-6 03:30
考虑骨软骨瘤。
作者: 晨风    时间: 2010-4-6 18:40
这个位置的骨软骨瘤挺罕见的,学习了,感谢分享
作者: 随光逐影    时间: 2010-4-6 19:57
考虑c7左侧椎弓根部骨软骨瘤。
作者: 施明    时间: 2010-4-6 22:20
虽然没有看到基底 仍考虑骨软骨瘤
作者: pujunzhi    时间: 2010-4-7 00:42
考虑骨软骨瘤.
作者: 疯猪    时间: 2010-4-7 04:16
学习了
作者: 一杯清酒    时间: 2010-4-8 04:54
骨片或骨尤
作者: linyiming    时间: 2010-4-8 09:40
考虑c7左侧椎弓根部骨软骨瘤。
作者: 蓬莱客    时间: 2010-4-10 21:26
考虑c7左侧椎弓根部骨软骨瘤。




欢迎光临 医影在线 (http://bbs.radida.com/bbs/) Powered by Discuz! X3.2