医影在线

标题: X7077:右腕关节 [打印本页]

作者: 黑白光影    时间: 2010-4-6 05:45
标题: X7077:右腕关节
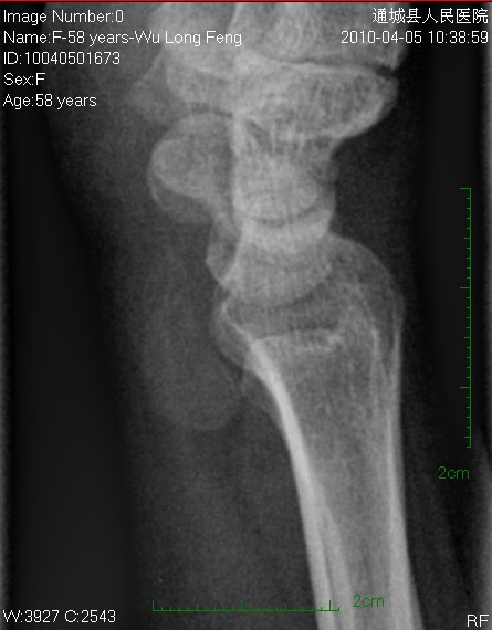
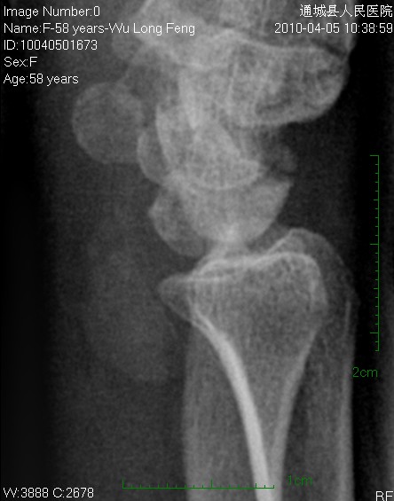
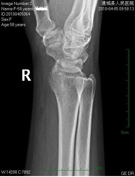
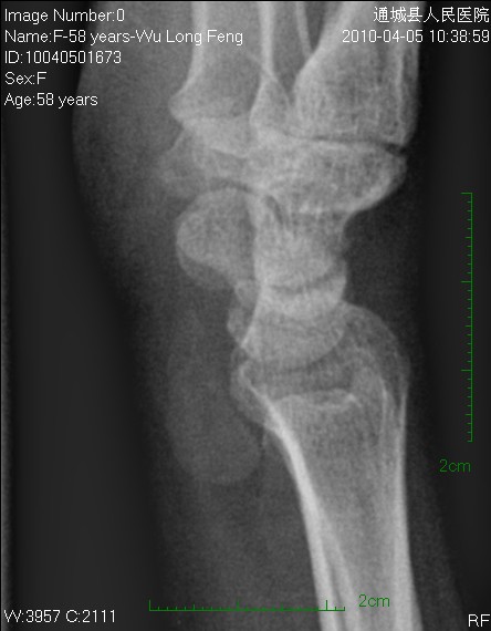
女性58岁,右腕肿痛就诊。平时右腕间断性疼痛,近来加重。

平片见桡前软组织内一密度增高、边缘光整块影






     片后查体见右腕、掌轻度肿胀,腕腹侧按压无硬块,自己除有上述征状及类似手癣(痒、小水泡、死皮)外,关节活动无功能障碍。
作者: 黑白光影    时间: 2010-4-6 05:47
后三张是透视转动下点片放大。
作者: 放射医土    时间: 2010-4-6 08:02
占沙发先!
片含诸构成骨无明显骨质破坏,软组织稍肿胀。片示软组织内异常密度影个人考虑为纤维组织增生,伴局部皮肤呈癣样变。考虑:银屑病性关节炎。建议作进一步检查。
新手上路!静待答案。
作者: dyqct    时间: 2010-4-6 14:59
该部位以腱鞘囊肿多见。
作者: zxl51642    时间: 2010-4-6 16:45
标题: 回复:x7077:右腕关节
以下是引用dyqct在2010-4-6 6:59:00的发言:[br]该部位以腱鞘囊肿多见。

支持,囊液密度较高。
作者: muzi888    时间: 2010-4-6 16:55
是皮肤上的问题。软组织肿块会摸到的。
作者: whmy    时间: 2010-4-6 17:34
该部位以腱鞘囊肿多见。
作者: chiyulongniao    时间: 2010-4-6 18:28
能知道结果吗
作者: 随光逐影    时间: 2010-4-6 18:56
以下是引用dyqct在2010-4-6 6:59:00的发言:
该部位以腱鞘囊肿多见。
作者: 358365720    时间: 2010-4-6 21:04
建议穿刺探查,是否腱鞘囊中
作者: sunbin    时间: 2010-4-6 21:10
腱鞘囊肿可能。
作者: 吴医师    时间: 2010-4-6 22:23
考虑为腱鞘囊肿
作者: ft445741743    时间: 2010-4-6 23:07
标题: 回复:x7077:右腕关节
腱鞘囊肿吧
作者: 谨言慎行    时间: 2010-4-7 01:44
1、腱鞘囊肿;2、舟状骨骨折,是否有可能是创伤后软组织遗留下的某种改变。
作者: zhanggenliang    时间: 2010-4-7 01:45
我考虑腱鞘囊肿可能性大。另尺骨稍长,月骨、三角骨尺骨关节面密度减低。考虑尺骨撞击综合症
作者: yuhongjun    时间: 2010-4-7 02:30
该部位以腱鞘囊肿多见。
作者: 拾荒者    时间: 2010-4-7 03:21
标题: 回复:x7077:右腕关节
以下是引用dyqct在2010-4-6 6:59:00的发言:[br]该部位以腱鞘囊肿多见。

支持!
作者: zhangkening    时间: 2010-4-12 05:25
这个位置这么大的东西竟然摸不到块,应该不是软组织内的吧。




欢迎光临 医影在线 (http://bbs.radida.com/bbs/) Powered by Discuz! X3.2