医影在线

标题: X7091:这个报告怎么写才完善、准确? [打印本页]

作者: 站在山崖    时间: 2010-4-7 20:55
标题: X7091:这个报告怎么写才完善、准确?
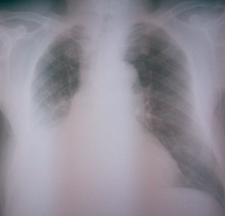
病人男,80岁,咳嗽、胸闷就诊,阴影上缘模糊,仰卧位透视无明显变化
这个报告怎么写才完善、准确?


[本贴已被 jiajie 于 2010-4-7 21:22:12 修改过]

作者: yuhongjun    时间: 2010-4-7 22:05
胸廓对称,右下肺密度均匀增高,上缘不清晰,似呈抛物线样改变,左肺野清晰,左膈面光滑,心脏形态大小尚在正常范围。
考虑:1、右侧胸腔中等量积液2、建议ct除外右肺占位性病变
作者: zxl51642    时间: 2010-4-7 22:27
标题: 回复:这个报告怎么写才完善、准确?
以下是引用yuhongjun在2010-4-7 14:05:00的发言:[br]胸廓对称,右下肺密度均匀增高,上缘不清晰,似呈抛物线样改变,左肺野清晰,左膈面光滑,心脏形态大小尚在正常范围。[br]考虑:1、右侧胸腔中等量积液2、建议ct除外右肺占位性病变

作者: 随光逐影    时间: 2010-4-7 22:29
以下是引用yuhongjun在2010-4-7 14:05:00的发言:
胸廓对称,右下肺密度均匀增高,上缘不清晰,似呈抛物线样改变,左肺野清晰,左膈面光滑,心脏形态大小尚在正常范围。
考虑:1、右侧胸腔中等量积液2、建议ct除外右肺占位性病变。
作者: 站在山崖    时间: 2010-4-8 02:19
个人认为不太象积液,一个是上缘模糊,二是仰卧位观察基本无改变,膈面、肋膈角仍不可见
作者: 拾荒者    时间: 2010-4-8 05:16
有条件的话先做了ct再发报告,首先考虑右下肺感染,积液及占位待排,建议进一步检查。
作者: dyqct    时间: 2010-4-8 06:19
标题: 回复:x7091:这个报告怎么写才完善、准确?
以下是引用拾荒者在2010-4-7 21:16:00的发言:[br]有条件的话先做了ct再发报告,首先考虑右下肺感染,积液及占位待排,建议进一步检查。

支持!
作者: yangyudong333    时间: 2010-4-8 06:21
胸廓对称,右下肺密度均匀增高,上缘不清晰,似呈抛物线样改变,左肺野清晰,左膈面光滑,心脏形态大小尚在正常范围。
考虑:1、右侧胸腔中等量积液2、建议ct除外右肺占位性病变
作者: hexue    时间: 2010-4-8 06:39
标题: 回复:x7091:这个报告怎么写才完善、准确?
以下是引用拾荒者在2010-4-7 21:16:00的发言:[br]有条件的话先做了ct再发报告,首先考虑右下肺感染,积液及占位待排,建议进一步检查。

作者: zhanggenliang    时间: 2010-4-8 17:56
标题: 回复:x7091:这个报告怎么写才完善、准确?
以下是引用yuhongjun在2010-4-7 14:05:00的发言:[br]胸廓对称,右下肺密度均匀增高,上缘不清晰,似呈抛物线样改变,左肺野清晰,左膈面光滑,心脏形态大小尚在正常范围。[br]考虑:1、右侧胸腔中等量积液2、建议ct除外右肺占位性病变

气管稍向右移,下肺右侧似比左侧窄,卧位立位无变化,实在不像积液。我倒更支持炎症。希望ct释疑
作者: 拂晓    时间: 2010-4-8 19:17
ct
作者: dhlyq    时间: 2010-4-8 19:39
胸廓对称,右下肺密度均匀增高,上缘不清晰,似呈抛物线样改变,左肺野清晰,左膈面光滑,心脏形态大小尚在正常范围。
考虑:1、右侧胸腔中等量积液2、建议ct除外右肺占位性病变
作者: 董金荣    时间: 2010-4-8 21:30
标题: 回复:x7091:这个报告怎么写才完善、准确?
右下肺密度均匀增高,右上肺密度稍高条索状,上缘不清晰,似呈抛物线样改变,纵隔稍向右移,左肺野清晰,左膈面光滑,右肋隔角,左肋隔角锐利。消失心脏形态大小尚在正常范围。
考虑:1、右下肺积浓。2.胸膜肥厚粘连。
作者: xshq371    时间: 2010-4-8 22:10
右下肺膨胀不全,考虑有占位可能。
作者: 谨言慎行    时间: 2010-4-8 23:45
标题: 回复:x7091:这个报告怎么写才完善、准确?
以下是引用yuhongjun在2010-4-7 14:05:00的发言:[br]胸廓对称,右下肺密度均匀增高,上缘不清晰,似呈抛物线样改变,左肺野清晰,左膈面光滑,心脏形态大小尚在正常范围。[br]考虑:1、右侧胸腔中等量积液2、建议ct除外右肺占位性病变

作者: 358365720    时间: 2010-4-10 03:25
有条件的话先做了ct再发报告,首先考虑右下肺感染,积液及占位待排,建议进一步检查。 表面上看是积夜立位晃动病人看下(透视)
作者: 墨龙123456    时间: 2010-4-10 17:51
胸膜增厚或右下肺不张;
作者: jinguoji    时间: 2010-4-11 21:21
标题: 回复:x7091:这个报告怎么写才完善、准确?
以下是引用yuhongjun在2010-4-7 14:05:00的发言:[br]胸廓对称,右下肺密度均匀增高,上缘不清晰,似呈抛物线样改变,左肺野清晰,左膈面光滑,心脏形态大小尚在正常范围。[br]考虑:1、右侧胸腔中等量积液2、建议ct除外右肺占位性病变





欢迎光临 医影在线 (http://bbs.radida.com/bbs/) Powered by Discuz! X3.2