医影在线

标题: X7094:肢端局部皮温增高、肿胀10天,我拷的一张正位像,请 [打印本页]

作者: zoufeixiang    时间: 2010-4-8 06:04
标题: X7094:肢端局部皮温增高、肿胀10天,我拷的一张正位像,请



[本贴已被 cefcmj 于 2010-4-8 7:09:50 修改过]

作者: zxl51642    时间: 2010-4-8 06:15
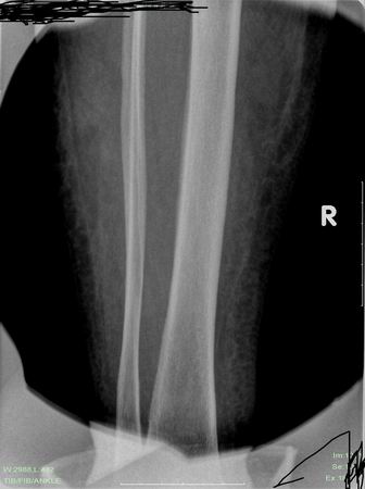
皮下网状结构粗大模糊,软组织感染有,但骨质(-)。
作者: dyqct    时间: 2010-4-8 06:17
时间表太短了,软组织广泛肿胀。必要时做mri可以发现早期骨髓腔和软组织改变。
作者: yangyudong333    时间: 2010-4-8 06:28
骨质未见明显异常改变。
作者: hexue    时间: 2010-4-8 06:48
骨质未见明显异常改变。  骨髓炎两周以后才会引起骨质改变,建议复查或ct检查。
作者: 随光逐影    时间: 2010-4-8 06:49
右小腿软组织肿胀;右侧胫腓骨骨质未见明确异常。
建议:追踪复查。
作者: yuhongjun    时间: 2010-4-8 13:27
右小腿软组织肿胀;右侧胫腓骨骨质未见明确异常。
建议:追踪复查。
作者: 子期    时间: 2010-4-8 16:09
胫骨外侧有骨膜增生,软组织明显肿胀,提示急性骨髓炎
作者: zhanggenliang    时间: 2010-4-8 17:28
只是软组织肿胀明显,要看早期骨髓病变还是mri好
作者: muzi888    时间: 2010-4-8 17:30
皮下网状结构粗大模糊,软组织感染有,但骨质(-)。
作者: 拂晓    时间: 2010-4-8 18:49
标题: 回复:x7094:肢端局部皮温增高、肿胀10天,我拷的一张正位
以下是引用yangyudong333在2010-4-7 22:28:00的发言:[br]骨质未见明显异常改变。

作者: wanchuanyi1982    时间: 2010-4-8 19:55
如果怀疑骨髓炎,早起还是做mri比较好
作者: 康鹏    时间: 2010-4-8 23:45
做个mr吧
作者: dhlyq    时间: 2010-4-9 01:48
皮下网状结构粗大模糊,软组织感染有,但骨质(-)。
作者: 拾荒者    时间: 2010-4-9 04:14
软组织肿胀,但骨质结构未见明显异常,可抗炎治疗后复查或建议mri检查。
作者: 观影朔征    时间: 2010-4-9 04:44
标题: 回复:x7094:肢端局部皮温增高、肿胀10天,我拷的一张正位
以下是引用yangyudong333在2010-4-7 22:28:00的发言:[br]骨质未见明显异常改变。

作者: 寻芳者    时间: 2010-4-9 05:35
皮下网状结构粗大模糊,软组织感染有,但骨未见明确异常。
   

zxl51642说 --------
----支持
作者: whmy    时间: 2010-4-9 15:34
时间太短了,软组织广泛肿胀。必要时做mri可以发现早期骨髓腔和软组织改变。
作者: 黑白光影    时间: 2010-4-9 17:22
本片看不出骨头有毛病
作者: 37度    时间: 2010-4-9 20:52
标题: 回复:x7094:肢端局部皮温增高、肿胀10天,我拷的一张正位
以下是引用拾荒者在2010-4-8 20:14:00的发言:[br]软组织肿胀,但骨质结构未见明显异常,可抗炎治疗后复查或建议mri检查。
可以考虑早期骨髓炎,报正常也没错。
作者: 施明    时间: 2010-4-9 23:28
发个侧位吧 有些事不能省
作者: jiahui7z    时间: 2010-4-10 00:21
暂未见明显骨质异常,建议随诊。
作者: 徐飞    时间: 2010-4-10 02:40
腓骨似有骨膜反应
作者: sunbin    时间: 2010-4-10 05:40
软组织肿胀见粗大网状影,胫骨似有骨膜反应,提示急性骨髓炎。
作者: jinguoji    时间: 2010-4-11 21:15
骨质未见明显异常改变。




欢迎光临 医影在线 (http://bbs.radida.com/bbs/) Powered by Discuz! X3.2