医影在线

标题: X7096:膝关节疼痛伴伸直困难 [打印本页]

作者: 07619    时间: 2010-4-8 21:09
标题: X7096:膝关节疼痛伴伸直困难
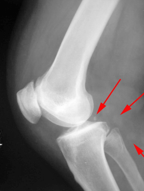
女.50.膝关节疼痛伴伸直困难.请会诊




[本贴已被 jiajie 于 2010-4-9 6:41:50 修改过]

作者: zxl51642    时间: 2010-4-8 21:59
退变,骨质增生,关节腔游离体,后方二个箭头似为滑膜钙化。
作者: 用用看看    时间: 2010-4-8 22:11
退变骨质增生,箭头指的不知道啥东西
作者: yangyudong333    时间: 2010-4-8 22:27
最上边是腓肠小豆骨,下边二个可能是滑膜钙化吧,
作者: zhanghai0830    时间: 2010-4-8 22:43
支持
作者: 谨言慎行    时间: 2010-4-8 23:40
标题: 回复:膝关节疼痛伴伸直困难
以下是引用yangyudong333在2010-4-8 14:27:00的发言:[br]最上边是腓肠小豆骨,下边二个可能是滑膜钙化吧,

作者: 康鹏    时间: 2010-4-8 23:44
guzhizengsheng
作者: linyiming    时间: 2010-4-9 00:01
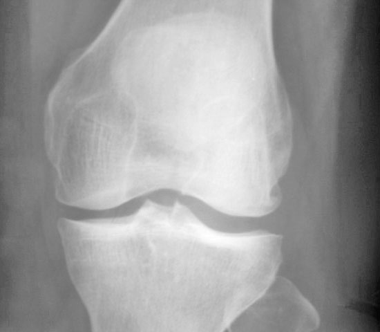
考虑双侧膝关陈退行性骨关节病/。  滑膜钙化。
作者: 随光逐影    时间: 2010-4-9 01:04
膝关节退行性骨关节病并关节游离体。
作者: dhlyq    时间: 2010-4-9 02:01
膝关节退行性骨关节病
作者: 拂晓    时间: 2010-4-9 02:10
标题: 回复:膝关节疼痛伴伸直困难
以下是引用随光逐影在2010-4-8 17:04:00的发言:[br]膝关节退行性骨关节病并关节游离体。

作者: dyqct    时间: 2010-4-9 04:12
膝关节退行性骨关节病并关节游离体。支持!
作者: 拾荒者    时间: 2010-4-9 04:23
膝关节退行性骨关节病。
作者: 观影朔征    时间: 2010-4-9 04:41
标题: 回复:膝关节疼痛伴伸直困难
以下是引用zhanghai0830在2010-4-8 14:43:00的发言:[br]支持[br]

作者: 奥特之父    时间: 2010-4-9 05:14
退变。正常子骨。膝关节内侧后方软组织结节影,考虑大隐静脉呈瘤样曲张。
作者: 寻芳者    时间: 2010-4-9 05:37
可以考虑退行性关节炎----------------
作者: yuhongjun    时间: 2010-4-9 14:26
退变,骨质增生,关节腔游离体,后方二个箭头似为滑膜钙化。  

支持。
作者: whmy    时间: 2010-4-9 15:19
退变,骨质增生,关节腔游离体,后方二个箭头似为滑膜钙化。
作者: 黑白光影    时间: 2010-4-9 17:20
膝关节退行性骨关节病并关节游离体。
作者: 九月120    时间: 2010-4-9 19:23
退行性骨关节病;肯定不是游离体,正位与股骨外侧髁重叠,侧位在膝关节后方,为腓肠小骨(腓肠肌外侧头肌腱内常见的一枚子骨)。
作者: 37度    时间: 2010-4-9 20:43
标题: 回复:x7096:膝关节疼痛伴伸直困难
以下是引用yangyudong333在2010-4-8 14:27:00的发言:[br]最上边是腓肠小豆骨,下边二个可能是滑膜钙化吧,

作者: yx123    时间: 2010-4-9 22:26
考虑双侧膝关陈退行性骨关节病
作者: 施明    时间: 2010-4-9 23:32
应该先把伪影
作者: jiahui7z    时间: 2010-4-10 00:23
关节退行性变。
作者: muzi888    时间: 2010-4-10 00:31
膝关节退行性骨关节病。
作者: DDN    时间: 2010-4-10 04:36
退变
作者: sunbin    时间: 2010-4-10 05:57
膝关节退变,关节内游离体,关节囊钙化?
作者: gaoyang8    时间: 2010-4-10 06:08
膝关节退变,关节内游离体.
作者: 蓬莱客    时间: 2010-4-10 06:11
右膝关节呈退行性改变,关节囊后方多个游离体,符合滑膜骨软骨瘤病。髌韧带增厚,边缘模糊,髌下脂肪垫密度增高,符合滑膜炎。
作者: hexue    时间: 2010-4-10 06:35
膝关节退行性骨关节病
作者: 杨锦钟    时间: 2010-4-10 10:40
膝关节退变,是腓肠豆
作者: zhanggenliang    时间: 2010-4-10 21:44
退变本身就包括关节腔内游离体。下面箭头考虑滑膜钙化
作者: zhangkening    时间: 2010-4-11 06:41
退变,游离体,滑膜结节。
作者: jinguoji    时间: 2010-4-11 21:10
膝关节退行性骨关节病。




欢迎光临 医影在线 (http://bbs.radida.com/bbs/) Powered by Discuz! X3.2