医影在线

标题: X7099:27岁、右肩疼痛三月余。 [打印本页]

作者: ganeng.2008    时间: 2010-4-9 06:57
标题: X7099:27岁、右肩疼痛三月余。



[本贴已被 jiajie 于 2010-4-9 6:42:58 修改过]

作者: linyiming    时间: 2010-4-9 10:41
考虑良性病变,骨软骨瘤。
作者: zsl6918    时间: 2010-4-9 13:27
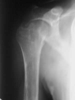
图像欠清晰,位置不标准,影响了诊断。仅能提示肱骨头及关节盂形态不自然,考虑与发育有关。
作者: yuhongjun    时间: 2010-4-9 14:23
支持楼上意见。
作者: yangyudong333    时间: 2010-4-9 14:27
做ct看看吧
作者: dyqct    时间: 2010-4-9 15:38
做ct看看吧.支持!
作者: zxl51642    时间: 2010-4-9 16:24
看不清,肱骨头有破坏?软骨母?tb?
作者: 随光逐影    时间: 2010-4-9 16:42
考虑右肩关节结核;建议行ct扫描检查。
作者: 黑白光影    时间: 2010-4-9 17:16
看不清,骨质肯定有病变。
作者: 37度    时间: 2010-4-9 21:02
标题: 回复:x7099:27岁、右肩疼痛三月余。
以下是引用zsl6918在2010-4-9 5:27:00的发言:[br]图像欠清晰,位置不标准,影响了诊断。仅能提示肱骨头及关节盂形态不自然,考虑与发育有关。

作者: 592438394    时间: 2010-4-9 21:07
做ct看看
作者: 九月120    时间: 2010-4-9 23:35
肱骨头、关节盂似有骨质破坏,肱骨头细小,考虑肩关节结核可能。
作者: 施明    时间: 2010-4-9 23:56
象坏死
作者: muzi888    时间: 2010-4-10 00:14
看不清,骨质肯定有病变。建 议ct扫描。
作者: jiahui7z    时间: 2010-4-10 00:28
建议ct。
作者: 徐飞    时间: 2010-4-10 02:56
tb?
作者: 蓬莱客    时间: 2010-4-10 05:54
右肱骨头及肩盂不规则骨质破坏,密度不均匀减低,周围未见骨质明显硬化,病变跨关节发生,肩关节结核可能性大。
作者: 碧空一鹰    时间: 2010-4-10 05:55
费片一张
作者: 莫尛蓓    时间: 2010-4-10 05:55
图像不怎么清楚耶...
作者: 莫尛蓓    时间: 2010-4-10 05:57
图像不怎么清晰
作者: 拾荒者    时间: 2010-4-10 06:04
肱骨头密度欠均匀,建议ct进一步检查。
作者: sunbin    时间: 2010-4-10 06:22
右肱骨头骨质破坏,边缘稍硬化,周围结节高密度影,骨结核可能,建议ct
作者: gaoyang8    时间: 2010-4-10 06:25
右肱骨头骨质破坏,骨结核可能性大。
作者: hexue    时间: 2010-4-10 06:40
右肱骨头骨质破坏,骨结核可能性大。
作者: muzi888    时间: 2010-4-10 17:52
图像欠清晰,位置不标准,影响了诊断。仅能提示肱骨头及关节盂形态不自然,考虑与发育有关。

支持!
作者: zhanggenliang    时间: 2010-4-10 21:37
图像不清晰,诊断不明。ct吧,直接一些
作者: jinguoji    时间: 2010-4-11 21:02
标题: 回复:x7099:27岁、右肩疼痛三月余。
以下是引用黑白光影在2010-4-9 9:16:00的发言:[br]看不清,骨质肯定有病变。





欢迎光临 医影在线 (http://bbs.radida.com/bbs/) Powered by Discuz! X3.2