医影在线

标题: X7095:“左”乳浸润性导管癌 [打印本页]

作者: hexue    时间: 2010-4-9 19:51
标题: X7095:“左”乳浸润性导管癌

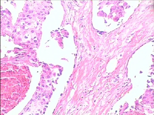
“左”乳浸润性导管癌。
(点击阅片:)http://www.radida.com/bbs/forum.php?mod=viewthread&tid=64635

[本贴已被 jiajie 于 2010-4-10 6:38:27 修改过]

作者: 随光逐影    时间: 2010-4-10 03:04
感谢楼主反馈术后病理结果。
作者: 黑白光影    时间: 2010-4-10 03:33
谢楼主反馈术后病理结果




欢迎光临 医影在线 (http://bbs.radida.com/bbs/) Powered by Discuz! X3.2