医影在线

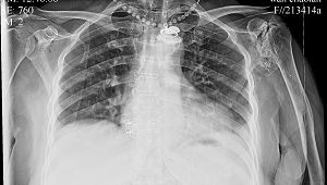
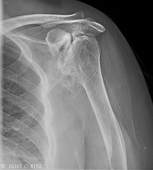
标题: X7100:女,72,左侧肩关节疼痛1一月,既往有外伤史,患者 [打印本页]

作者: dhlyq    时间: 2010-4-9 21:40
标题: X7100:女,72,左侧肩关节疼痛1一月,既往有外伤史,患者




[本贴已被 cefcmj 于 2010-4-9 22:22:33 修改过]

作者: dhlyq    时间: 2010-4-9 21:42
我同事诊断左侧肩关节退行性改变。
作者: yx123    时间: 2010-4-9 22:32
左侧肩关节创伤性骨关节改变。
作者: yuhongjun    时间: 2010-4-9 22:46
左侧肩关节创伤性骨关节改变。
作者: zxl51642    时间: 2010-4-9 23:18
关节盂有破坏,肱骨头变形密度不均,关节间隙狭窄,软组织钙化,有外伤史,考虑创伤性关节炎可能性大,关节tb待排,建议ct。
作者: 九月120    时间: 2010-4-9 23:31
支持创伤性骨关节炎改变。
作者: 施明    时间: 2010-4-9 23:58
应该不是退变是肿瘤 良性的
作者: jiahui7z    时间: 2010-4-10 00:30
结合病史,考虑创伤性关节炎。
作者: yangyudong333    时间: 2010-4-10 02:04
关节盂有破坏,肱骨头变形密度不均,关节间隙狭窄,软组织钙化,有外伤史,考虑创伤性关节炎可能性大,关节tb待排,建议ct。
作者: 拂晓    时间: 2010-4-10 02:24
结合病史,考虑创伤性关节炎.
作者: 随光逐影    时间: 2010-4-10 02:50
考虑左侧肩关节创伤性关节炎可能性大,不排除关节结核。
作者: 徐飞    时间: 2010-4-10 02:58
创伤性肱骨头坏死
作者: 黑白光影    时间: 2010-4-10 04:02
除上述诊断外,有没有外生骨软骨瘤可能?
作者: 联众之王    时间: 2010-4-10 04:20
虑创伤性关节炎,骨质有吸收
作者: DDN    时间: 2010-4-10 05:40
左肩关节结核不除外创伤性关节炎.
作者: 拾荒者    时间: 2010-4-10 06:05
标题: 回复:女,72,左侧肩关节疼痛1一月,既往有外伤史,患者
以下是引用zxl51642在2010-4-9 15:18:00的发言:[br]关节盂有破坏,肱骨头变形密度不均,关节间隙狭窄,软组织钙化,有外伤史,考虑创伤性关节炎可能性大,关节tb待排,建议ct。

支持!
作者: sunbin    时间: 2010-4-10 06:28
左肱骨头及关节盂破坏畸形,密度增高外形不整,关节间隙显示不佳,考虑创伤性关节炎改变。
作者: gaoyang8    时间: 2010-4-10 06:35
结合外伤史,首先考虑创伤性关节炎,不排除其他。
作者: hexue    时间: 2010-4-10 06:41
支持创伤性骨关节炎改变。
作者: zxl51642    时间: 2010-4-10 07:14
标题: 回复:x7100:女,72,左侧肩关节疼痛1一月,既往有外伤史,
以下是引用黑白光影在2010-4-9 20:02:00的发言:[br]除上述诊断外,有没有外生骨软骨瘤可能?

不考虑,年龄太大,要考虑也是软骨肉瘤
作者: 杨锦钟    时间: 2010-4-10 10:35
支持创伤性骨关节改变
作者: 奥特之父    时间: 2010-4-10 16:05
创伤性关节炎并继发性退变.
作者: 513ytb    时间: 2010-4-10 16:46
无菌性坏死
作者: 墨龙123456    时间: 2010-4-10 16:47
标题: 回复:x7100:女,72,左侧肩关节疼痛1一月,既往有外伤史,
以下是引用jiahui7z在2010-4-9 16:30:00的发言:[br]结合病史,考虑创伤性关节炎。

作者: gjj6818    时间: 2010-4-10 17:48
结合病史,考虑创伤性关节炎。
作者: muzi888    时间: 2010-4-10 17:48
结合病史,考虑创伤性关节炎.
作者: zhanggenliang    时间: 2010-4-10 21:40
结合病史,首先考虑创伤性关节炎,不排除结核
作者: 小小医    时间: 2010-4-10 22:07
支持创伤性骨关节炎改变。
作者: zhengwen    时间: 2010-4-11 03:49
标题: 回复:x7100:女,72,左侧肩关节疼痛1一月,既往有外伤史,
以下是引用yx123在2010-4-9 14:32:00的发言:[br]左侧肩关节创伤性骨关节改变。

作者: niexitao    时间: 2010-4-11 04:08
考虑创伤性关节炎
作者: 彭    时间: 2010-4-11 05:27
骨质有破坏,疼痛一个月,要考虑肿瘤
作者: 寻芳者    时间: 2010-4-11 06:53
关节盂骨质破坏,---------------小心啊,结合临床考虑吧!
作者: jinguoji    时间: 2010-4-11 08:33
创伤性骨关节改变。
作者: dr.yang    时间: 2010-4-11 16:03
考虑左侧肩关节创伤性关节炎可能性大,不排除关节结核




欢迎光临 医影在线 (http://bbs.radida.com/bbs/) Powered by Discuz! X3.2