医影在线

标题: CT25648:求教:是肺发育不全还是结核? [打印本页]

作者: 红玉    时间: 2010-4-10 18:15
标题: CT25648:求教:是肺发育不全还是结核?
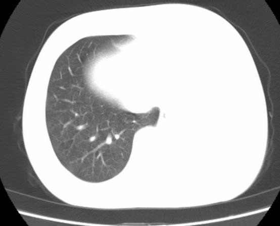
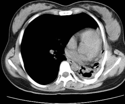
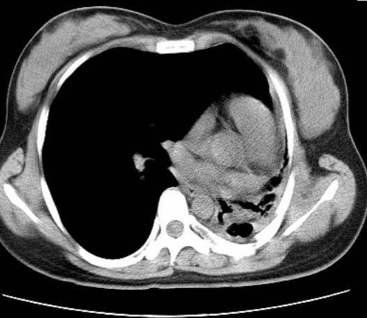
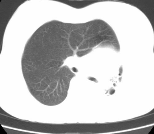
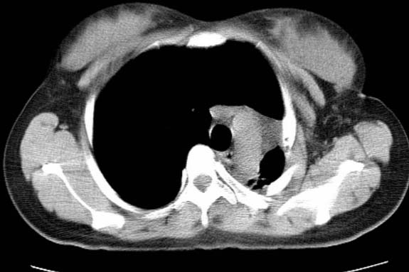
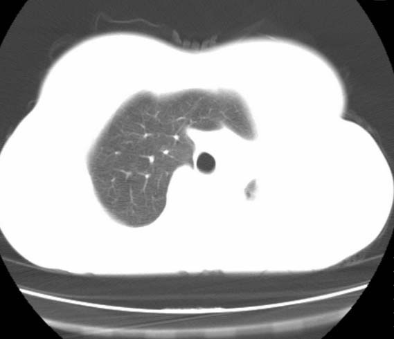
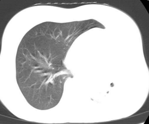
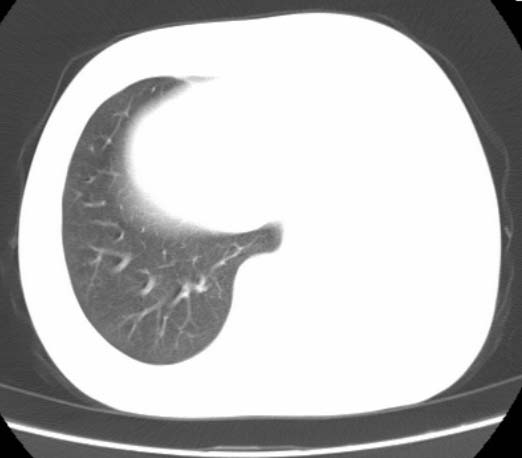
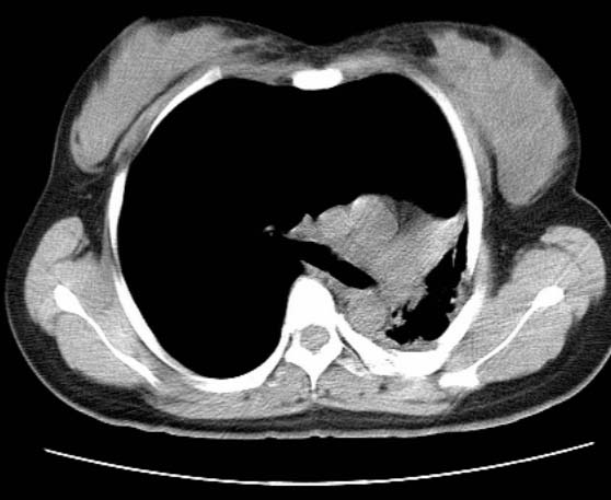
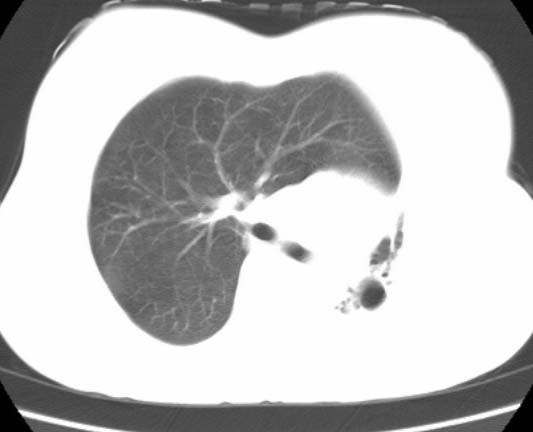
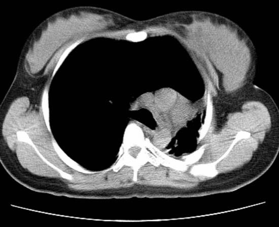
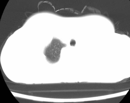
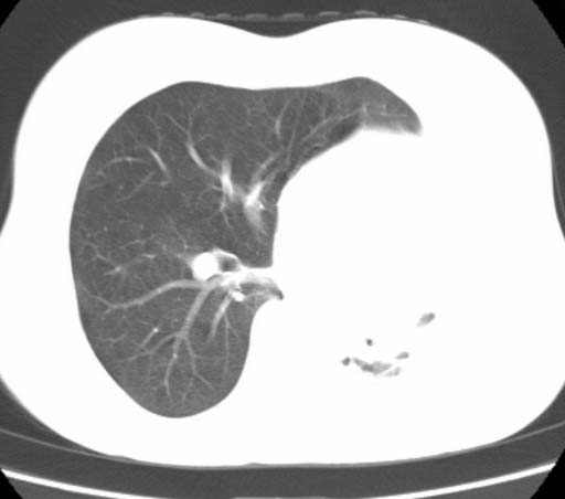
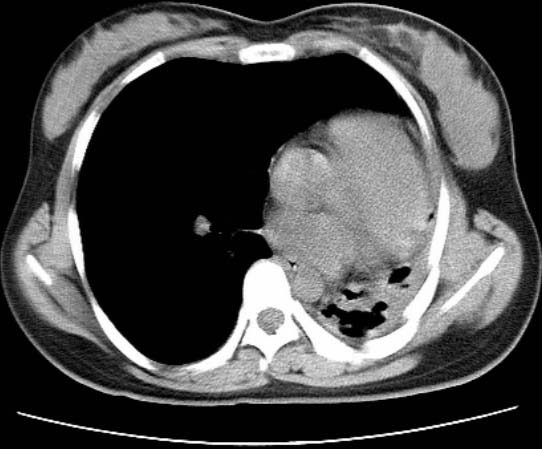
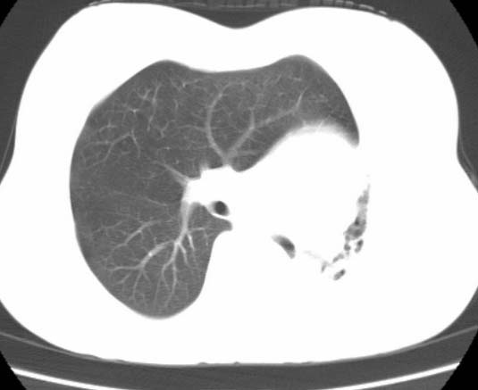
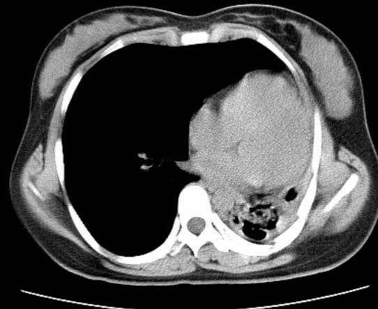
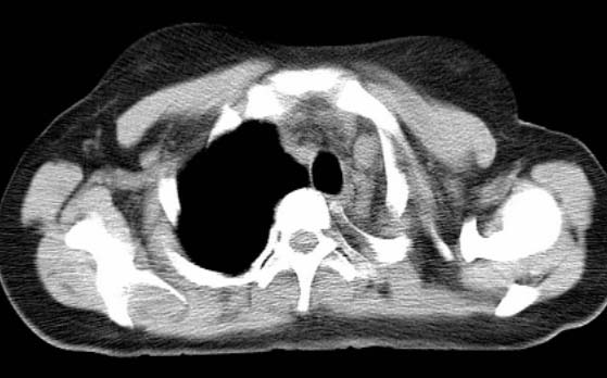
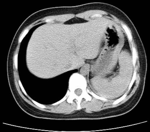
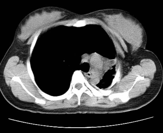
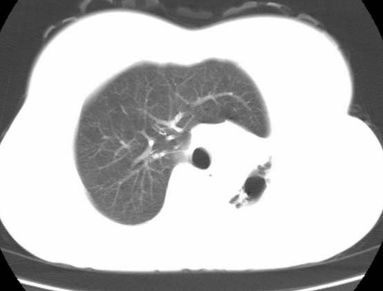
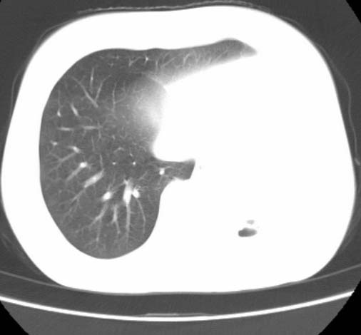
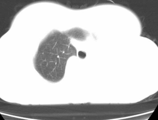
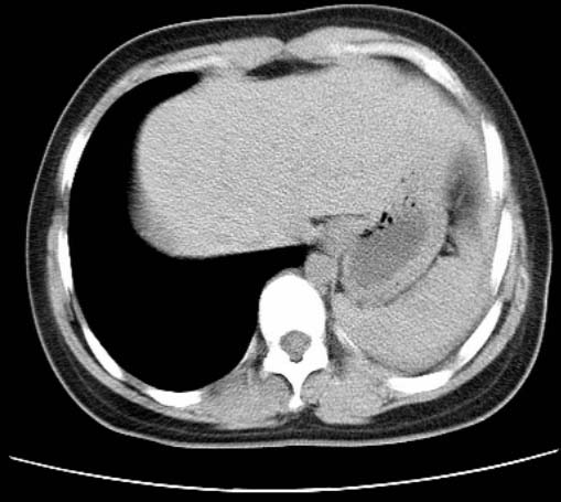
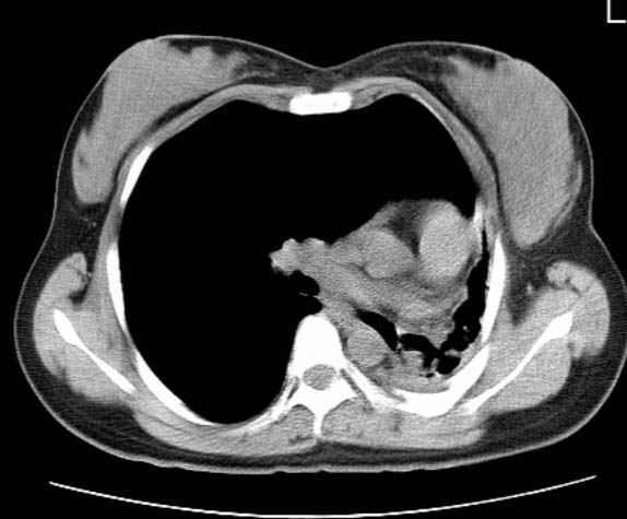
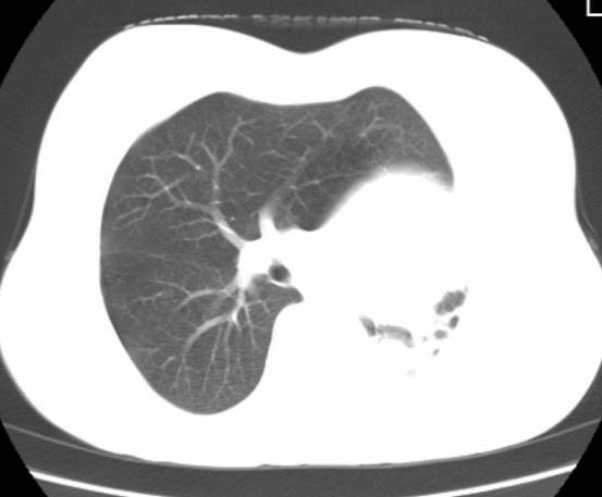
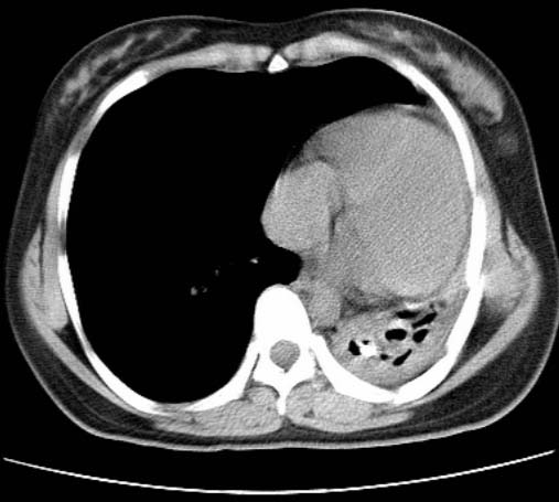
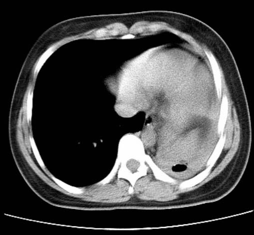
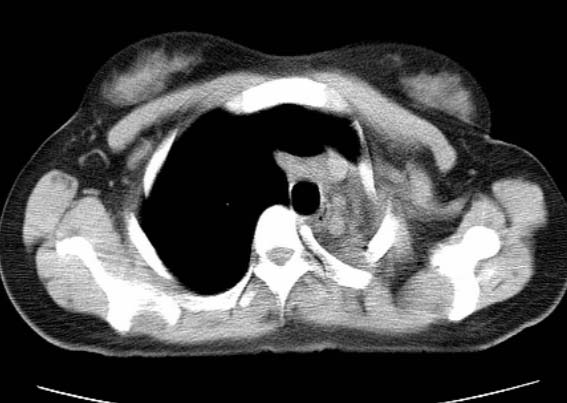
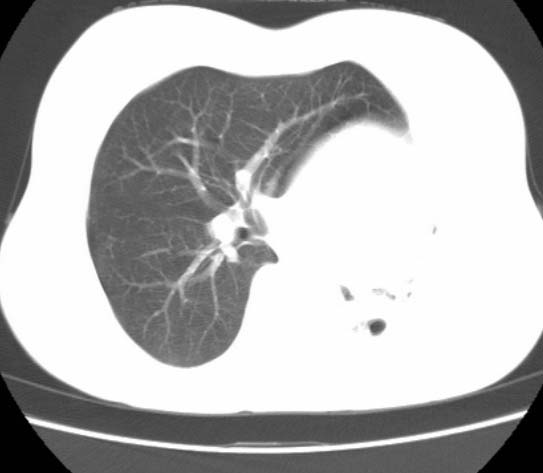
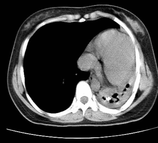
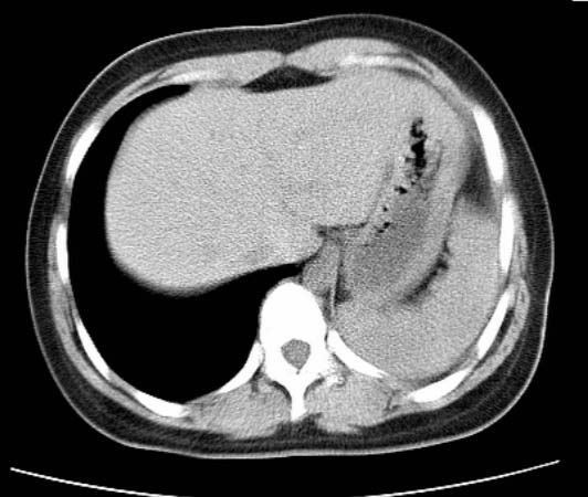
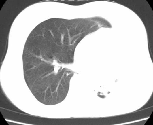
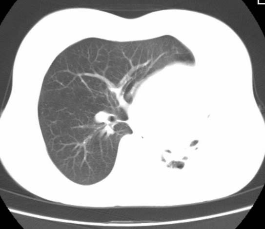
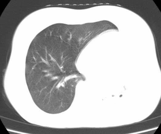
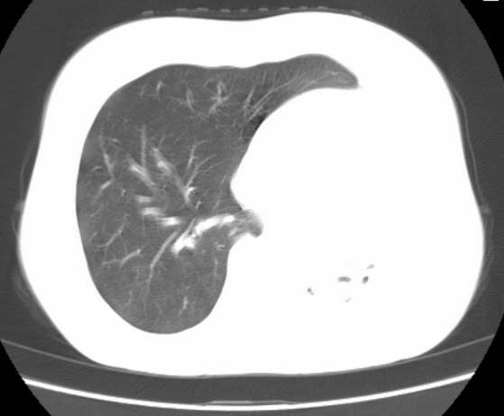
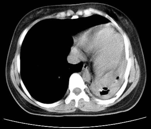
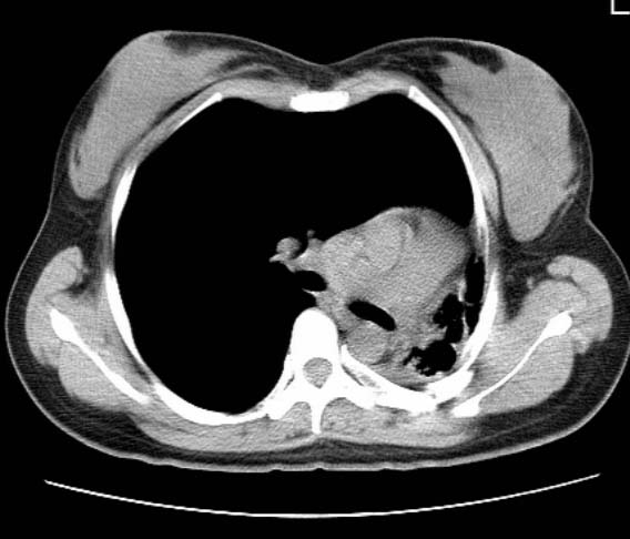
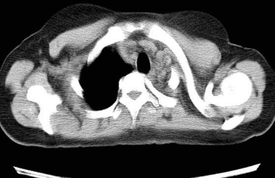
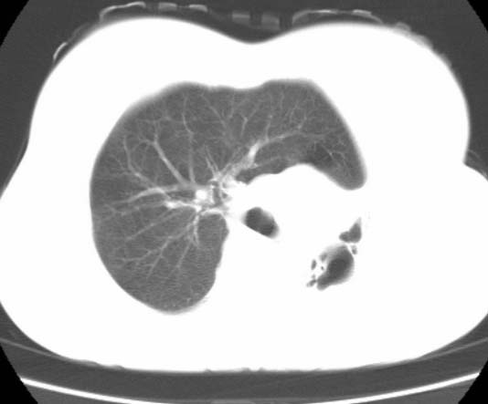
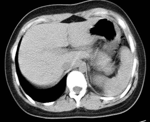
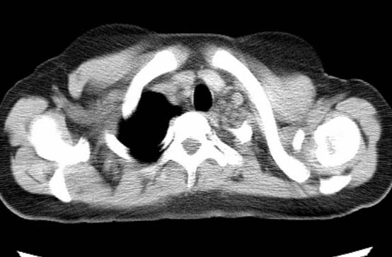
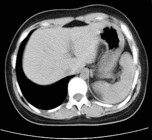
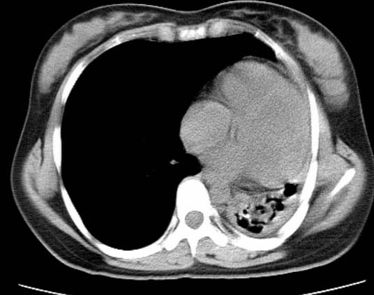
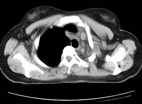
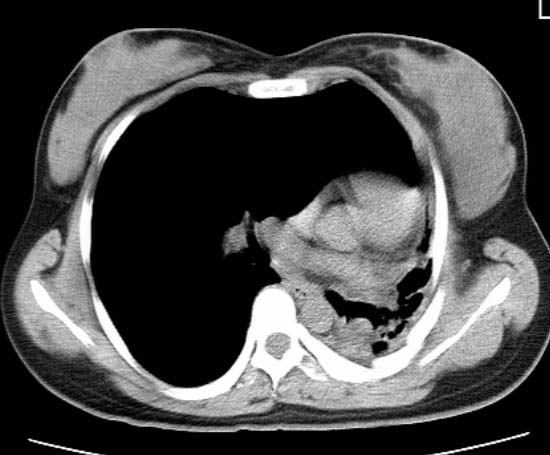
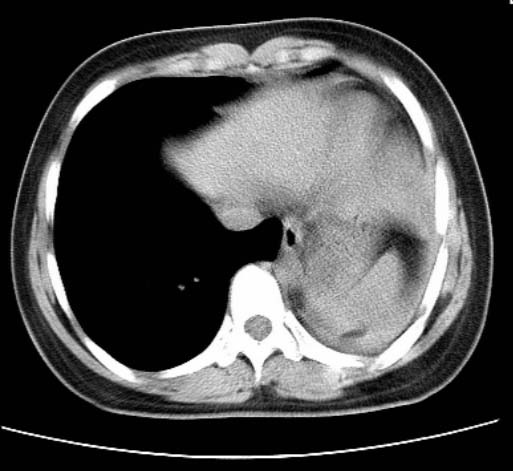
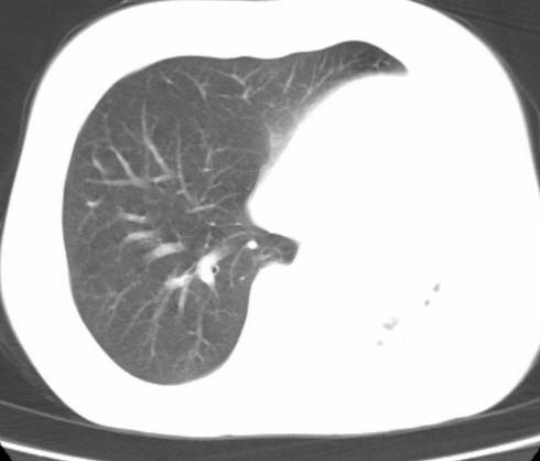
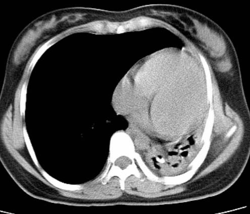
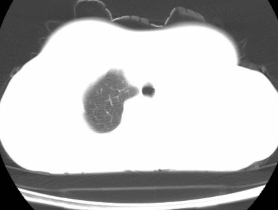
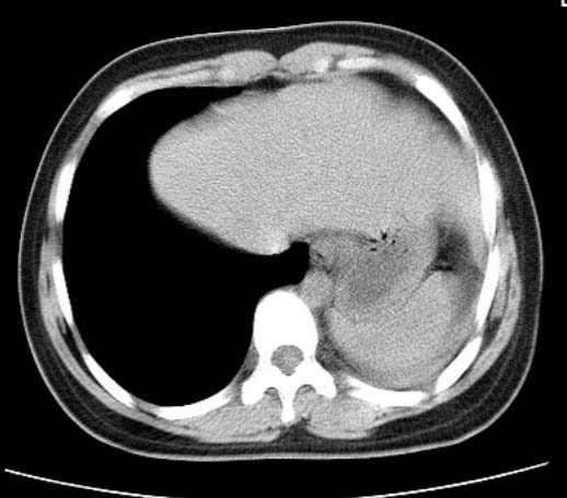
女  20岁。一月前咳血,诊“肺结核”抗痨治疗一月后,咳血停止,现复查。病人精神好。前后ct片对比未见明显变化。既往体检“正常”





























































[本贴已被 翁志蓬 于 2010-4-10 16:02:00 修改过]

作者: qiuqs84    时间: 2010-4-10 18:47
以前体检正常,考虑肺结核。
作者: 随光逐影    时间: 2010-4-10 20:09
1)考虑左肺结核并肺不张、支气管扩张。2)纵隔疝。
作者: 秋风秋雨..    时间: 2010-4-10 23:14
一侧肺发育不全
作者: muzi888    时间: 2010-4-10 23:19
以前体检正常只能考虑左肺结核并肺不张、支气管扩张。2)纵隔疝。
作者: zxl51642    时间: 2010-4-10 23:44
考虑左肺结核,左肺毁损,纵膈左偏,既往体检正常不可靠,tb一个月也不会这个样子的,有钙化,应该病程较长,冰冻三尺非一日之寒!
作者: zxczxc    时间: 2010-4-11 00:32
左肺发育不全。
作者: yangyang2000    时间: 2010-4-11 03:26
考虑左肺结核,左肺毁损,纵膈左偏,既往体检正常不可靠,tb一个月也不会这个样子的,有钙化,应该病程较长,冰冻三尺非一日之寒
作者: 黑白光影    时间: 2010-4-11 06:00
结核,左肺毁损。
作者: yuhongjun    时间: 2010-4-11 14:09
结核,左肺毁损。
作者: yangyudong333    时间: 2010-4-11 14:24
结核,左肺毁损。
作者: 红玉    时间: 2010-4-12 05:41
有结核所致肺毁损的文献报告病例吗?请赐教!
作者: dr.yang    时间: 2013-5-29 23:17
结核,左肺毁损。




欢迎光临 医影在线 (http://bbs.radida.com/bbs/) Powered by Discuz! X3.2