医影在线
标题: PED3185:这样的小孩还有治不 [打印本页]
作者: 11030404 时间: 2010-4-10 21:20
标题: PED3185:这样的小孩还有治不
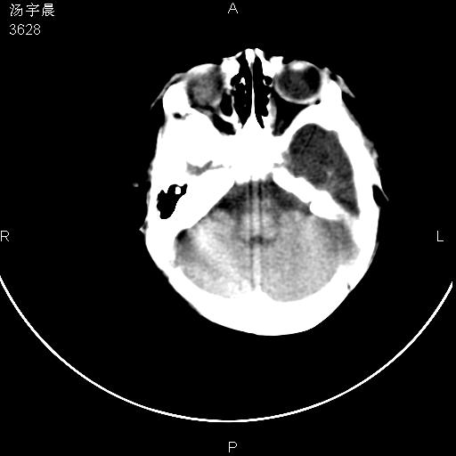
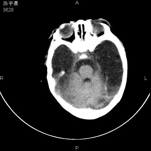
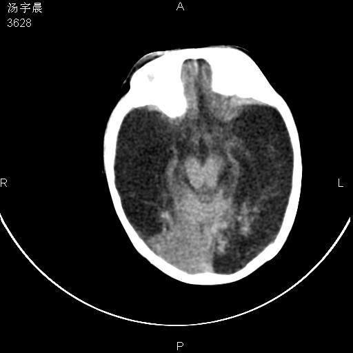
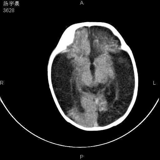
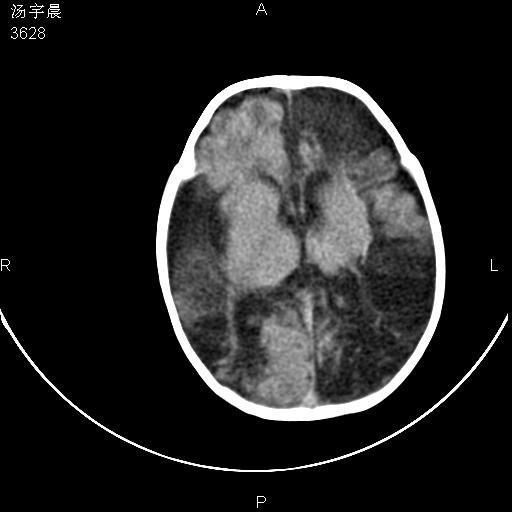
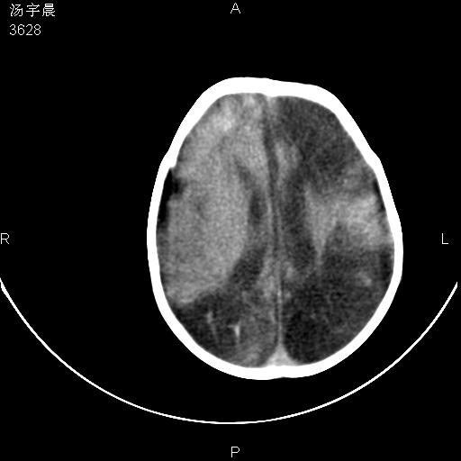
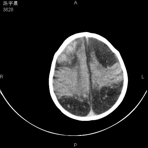
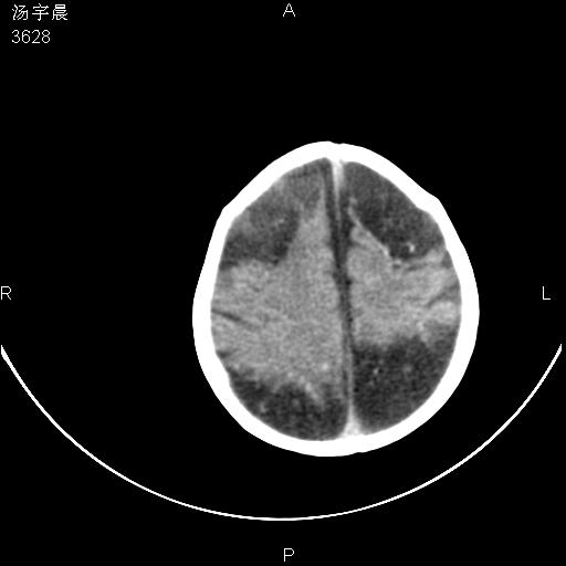
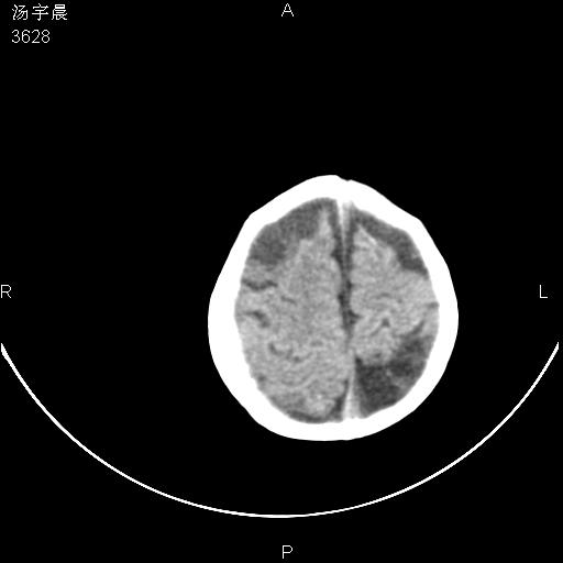
早产儿,现两月大,2月份在某医院诊断病毒性脑炎并治疗,mri报右颞部脑白质片状长t2信号,脑白质模糊。其他不详,现家属要求ct复查 。











[本贴已被 翁志蓬 于 2010-4-10 16:26:03 修改过]
[本贴已被 jiajie 于 2010-4-24 14:09:33 修改过]
作者: yuhongjun 时间: 2010-4-10 22:12
标题: 回复
啥病不好说,病毒性脑炎的后遗表现,我个人意见救治的价值不是很大了。
[本贴已被 yuhongjun 于 2010-4-11 6:54:04 修改过]
作者: yangyudong333 时间: 2010-4-10 22:23
双侧大脑半球大片状低密度,无明显占位表现, 符合病毒性脑炎。
作者: 林建春 时间: 2010-4-10 22:37
吉少凶多!
作者: 深泽交通 时间: 2010-4-10 23:12
zhichi病毒性脑炎
作者: 随光逐影 时间: 2010-4-10 23:13
符合病毒性脑炎表现。
作者: zxl51642 时间: 2010-4-10 23:29
符合病毒性脑炎表现,预后差。
作者: 卜一 时间: 2010-4-10 23:44
小儿病毒性脑炎ct表现缺乏特异性,但其定位分布有一定特异性,单纯疱疹病毒性脑炎ct表现以颢叶病变为主,同时可累及其他脑区或伴出血,乙型脑炎表现为基底及丘脑的病变,流行性腮腺病毒性脑炎则ct表现可正常,故ct检查对病毒性脑炎的定性有重要的价值。 本例支持:病毒性脑炎的后遗改变!
作者: 拾荒者 时间: 2010-4-11 05:37
治疗意义不大。
作者: hguox 时间: 2010-4-12 04:22
符合病毒性脑炎表现,预后差。
作者: dyqct 时间: 2010-4-12 04:31
支持:病毒性脑炎的后遗改变!
作者: 同 时间: 2010-4-12 04:44
标题: 回复:ped3125:这样的小孩还有治不
以下是引用卜一在2010-4-10 15:44:00的发言:[br]小儿病毒性脑炎ct表现缺乏特异性,但其定位分布有一定特异性,单纯疱疹病毒性脑炎ct表现以颢叶病变为主,同时可累及其他脑区或伴出血,乙型脑炎表现为基底及丘脑的病变,流行性腮腺病毒性脑炎则ct表现可正常,故ct检查对病毒性脑炎的定性有重要的价值。 本例支持:病毒性脑炎的后遗改变!
作者: 黑白光影 时间: 2010-4-12 06:15
符合病毒性脑炎表现
作者: muzi888 时间: 2010-4-12 17:14
符合病毒性脑炎表现。
作者: ljchenshiying 时间: 2010-4-12 18:31
啥病不好说,病毒性脑炎的后遗表现,我个人意见救治的价值不是很大了。
| 欢迎光临 医影在线 (http://bbs.radida.com/bbs/) |
Powered by Discuz! X3.2 |