医影在线

标题: CT25670:胸部结节灶,大家看看 [打印本页]

作者: arven    时间: 2010-4-11 02:18
标题: CT25670:胸部结节灶,大家看看
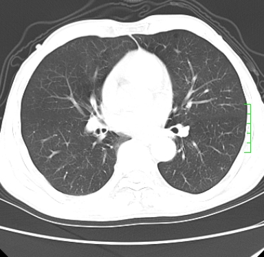
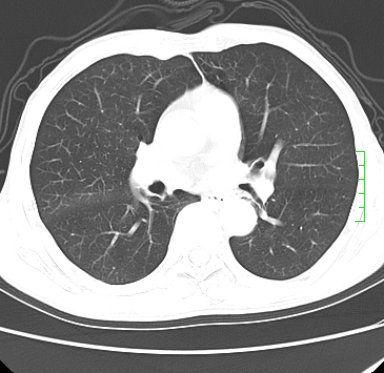
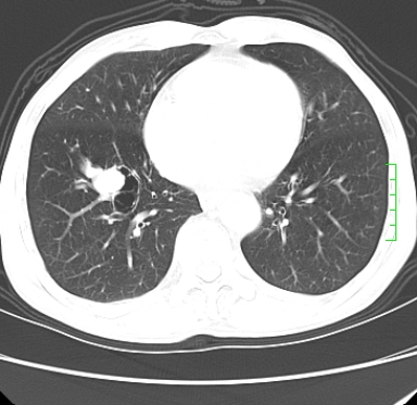
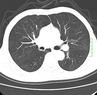
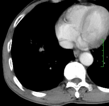
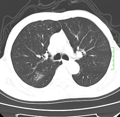
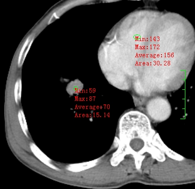
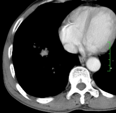
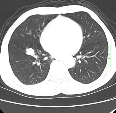
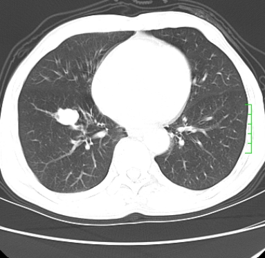
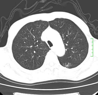
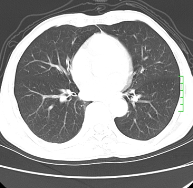
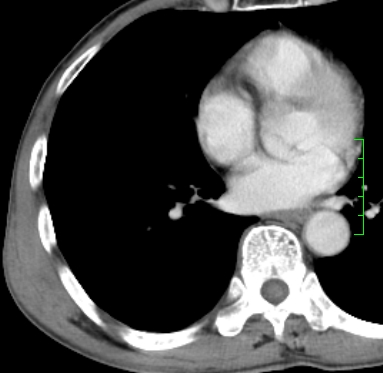
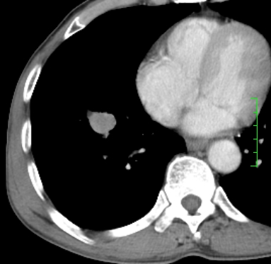
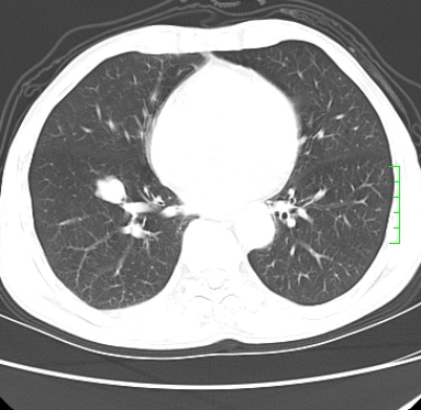
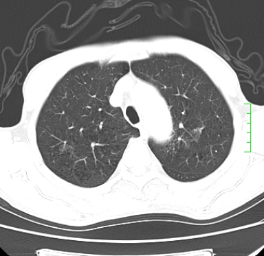
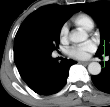
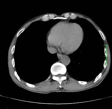
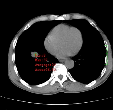
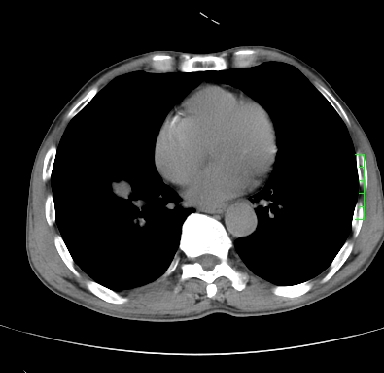
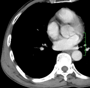
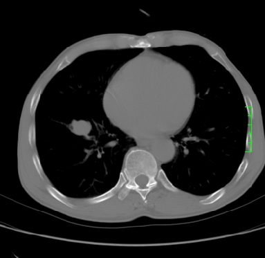
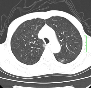
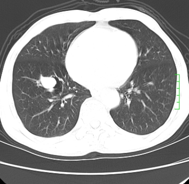
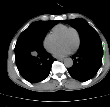
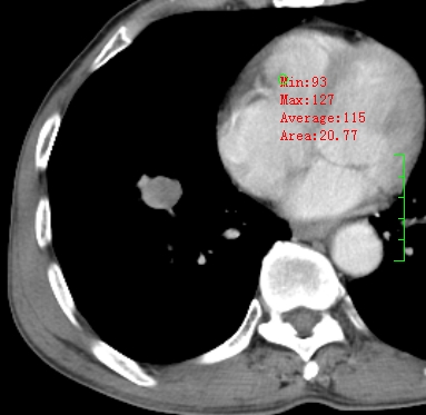
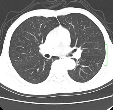
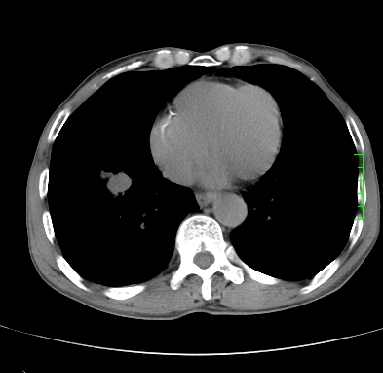
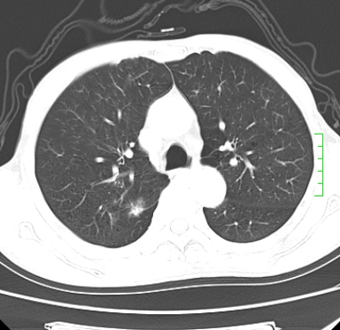
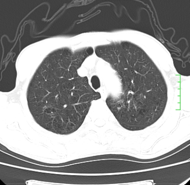
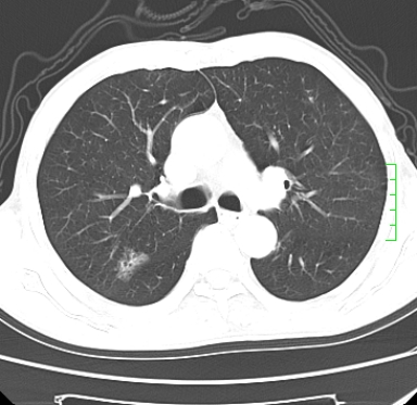
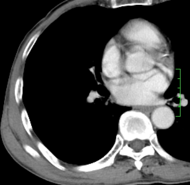
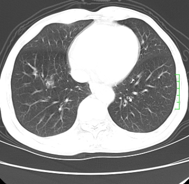
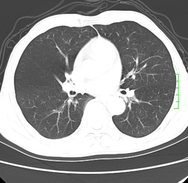
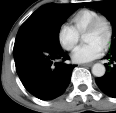
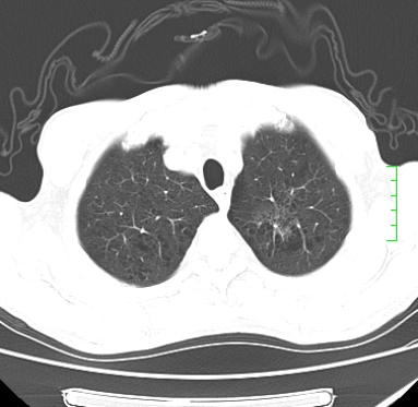
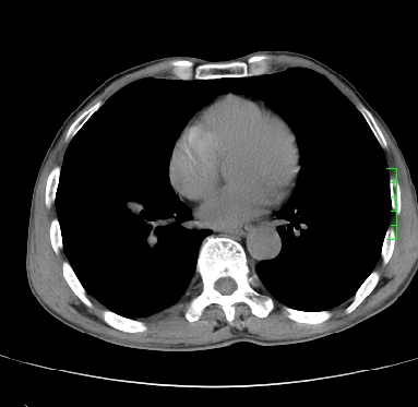
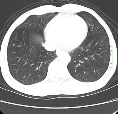
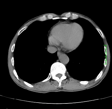
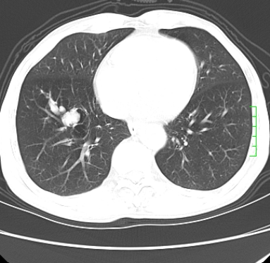
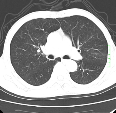
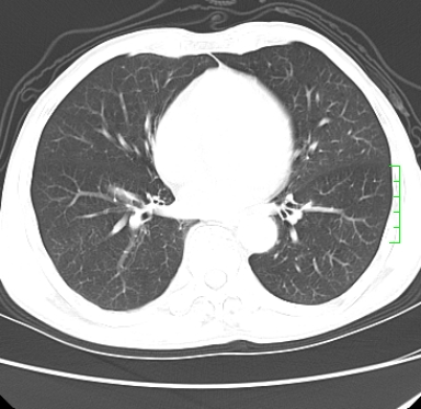
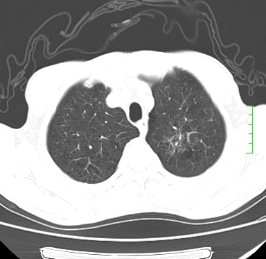
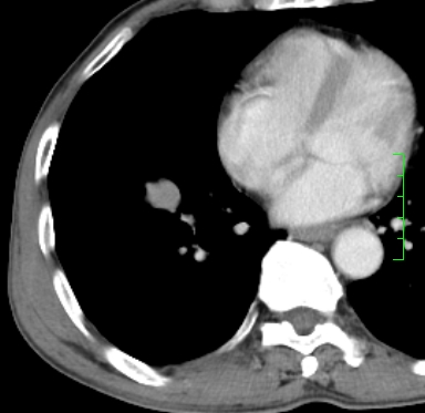
m,73y。膝关节疼痛伴双下肢水肿。入院常规胸片发现结节灶。增强为静脉期。


















































[本贴已被 翁志蓬 于 2010-4-10 20:44:01 修改过]

作者: yangyang2000    时间: 2010-4-11 03:07
浅分叶、棘突,考虑右下肺周围型肺癌
作者: DDN    时间: 2010-4-11 03:26
考虑周围型肺癌  ,双上肺结核。
作者: yangyudong333    时间: 2010-4-11 03:39
肿块周围可见局限性气肿,考虑肺癌可能性大。双肺上叶继发型肺结核。
作者: 心路寻觅    时间: 2010-4-11 03:47
考虑炎性假瘤,建议定期复查!
作者: panyishengct    时间: 2010-4-11 04:22
考虑真菌感染
作者: zxl51642    时间: 2010-4-11 04:30
指套征,强化明显,近侧肺组织局限性肺气肿,考虑支气管类癌,慢支、肺气肿、双上陈旧性tb、冠脉钙化。
鉴别:先天性支气管闭锁,变态反应性支气管肺曲霉菌病,肺癌,支气管囊肿,支扩黏液嵌塞。
期待病理反馈!
作者: 小啊草    时间: 2010-4-11 07:04
周围性肺癌    肺结核
作者: yuhongjun    时间: 2010-4-11 13:54
周围性肺癌
作者: 随光逐影    时间: 2010-4-11 16:51
1)考虑右肺下叶周围型肺癌。2)右肺上叶及左肺感染性病变(结核可能)。3)肺气肿。4)冠状动脉钙化。
作者: 黑白光影    时间: 2010-4-12 05:09
周围性肺癌    肺结核
作者: dr.yang    时间: 2013-5-29 23:07
1)考虑右肺下叶周围型肺癌。2)右肺上叶及左肺感染性病变(结核可能)。3)肺气肿。4)冠状动脉钙化。




欢迎光临 医影在线 (http://bbs.radida.com/bbs/) Powered by Discuz! X3.2