医影在线

标题: CT25671:请大家看一下,是肝硬化吗 [打印本页]

作者: lffw    时间: 2010-4-11 02:23
标题: CT25671:请大家看一下,是肝硬化吗
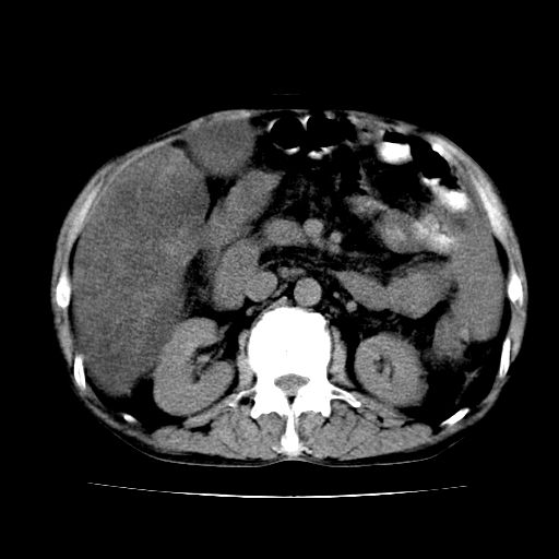
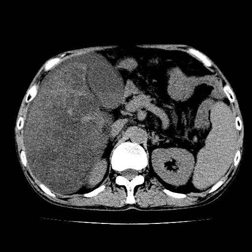
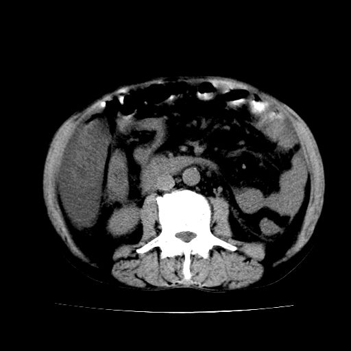
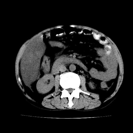
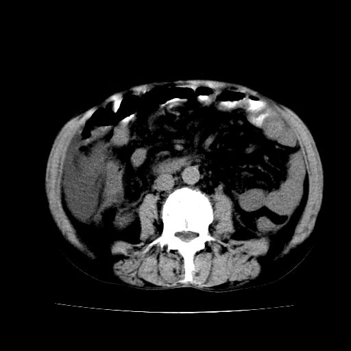
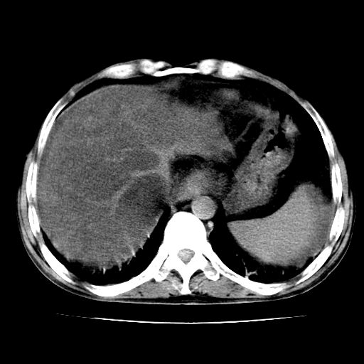
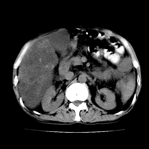
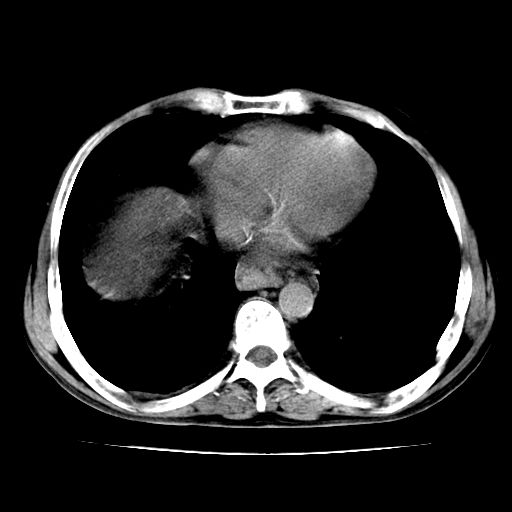
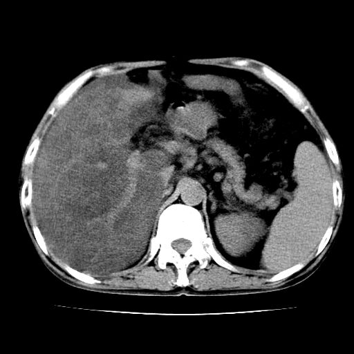
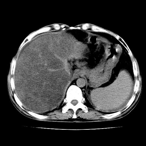
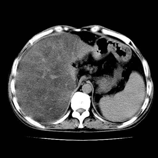
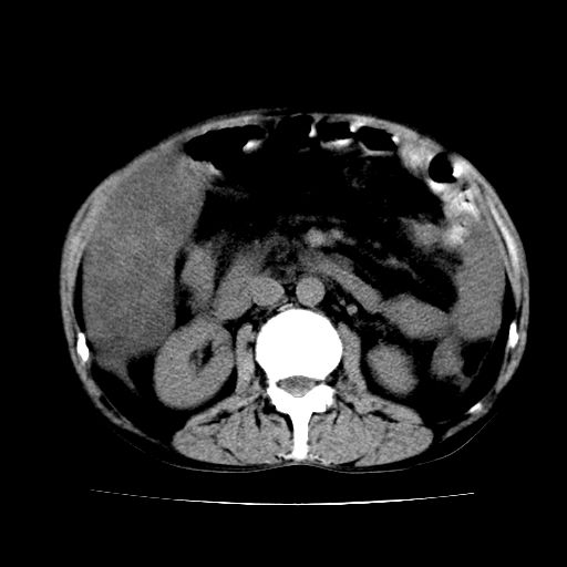
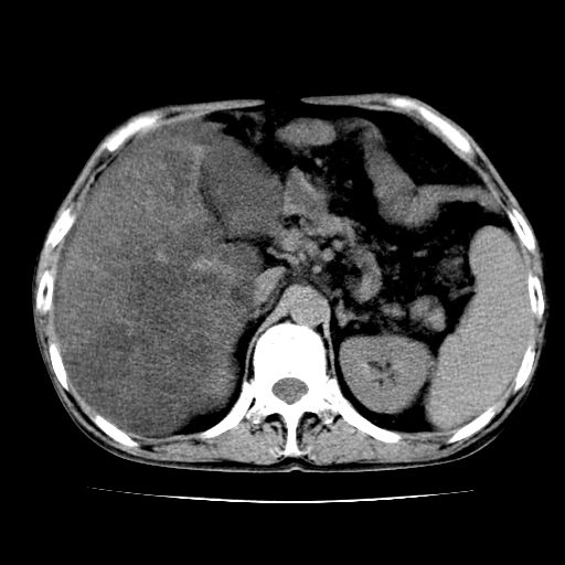
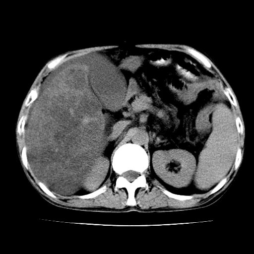
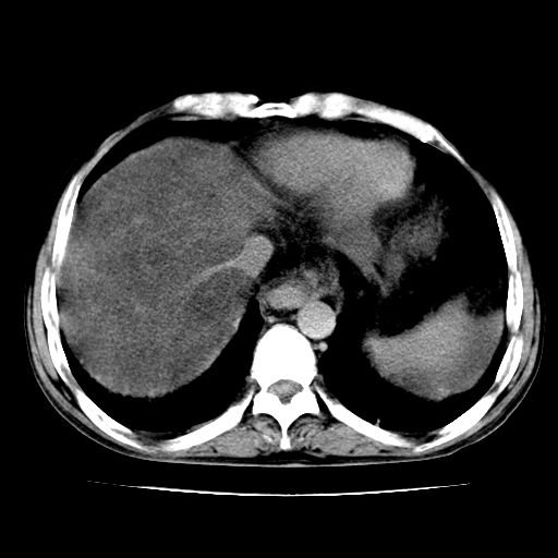
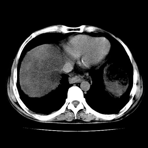
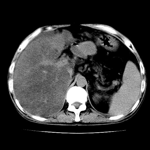
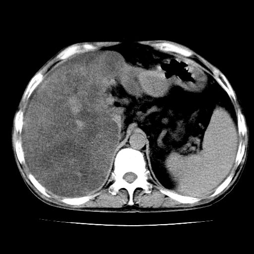
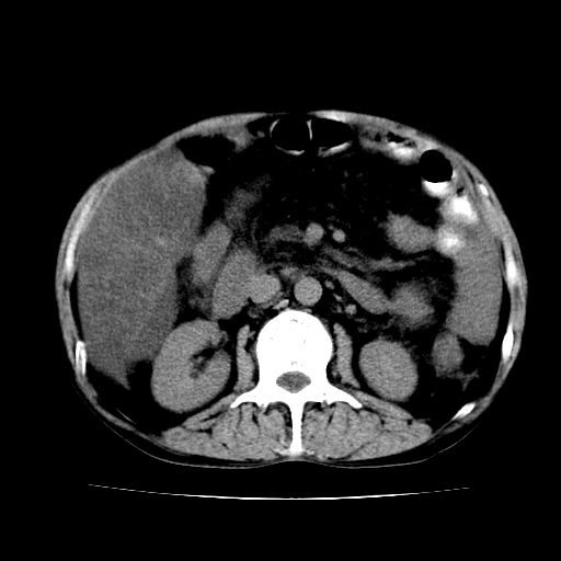
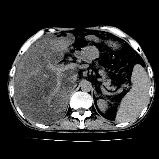
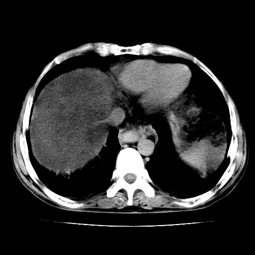
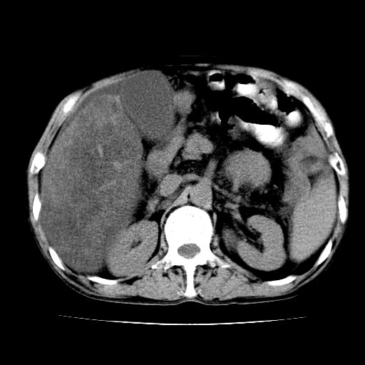
男,55岁,发现“肝硬化”5年,现腰疼、腹胀10余日,巩膜黄染、腹稍胀,肝肋下3指,质硬无压疼,移动性+,血生化:总胆、直胆、间胆均升高。


























[本贴已被 翁志蓬 于 2010-4-10 20:44:32 修改过]

作者: yangyang2000    时间: 2010-4-11 03:00
g1:肝硬化、脾大、腹水。
2:脂肪肝。
3:弥漫性肝癌待排。
作者: zhengwen    时间: 2010-4-11 03:02
肝硬化,脾大,腹水
脂肪肝
肝内多发低密度灶(建议增强扫描除外肝癌)
作者: swyyy2007    时间: 2010-4-11 03:03
脂肪肝性肝病,脾大,建议增强扫描
作者: DDN    时间: 2010-4-11 03:31
肝脾肿大,脂肪肝,腹水。建议增强除外肝癌。
作者: yangyudong333    时间: 2010-4-11 03:36
肝脾肿大,脂肪肝,腹水。建议增强除外肝癌。
作者: 胡宇    时间: 2010-4-11 03:52
肝脾肿大,脂肪肝,腹水。建议增强除外肝癌。
作者: panyishengct    时间: 2010-4-11 03:54
肝硬化,脾大,腹水
脂肪肝
作者: 泪洒红尘    时间: 2010-4-11 04:08
肝硬化,脾大,腹水
脂肪肝
肝占位待排
作者: zxl51642    时间: 2010-4-11 04:32
肝脾肿大,脂肪肝,腹水。建议增强除外肝癌。
作者: 彭    时间: 2010-4-11 04:40
1.脂肪肝
2.腹水
3.肝脾肿大
4.肝癌?
建议增强
作者: 科室第一人    时间: 2010-4-11 04:48
肝硬化,脂肪肝,腹水,肝癌
作者: zhaozejun1    时间: 2010-4-11 05:21
标题: 回复:ct25671:请大家看一下,是肝硬化吗
以下是引用yangyudong333在2010-4-10 19:36:00的发言:[br]肝脾肿大,脂肪肝,腹水。建议增强除外肝癌。

作者: 蓬莱客    时间: 2010-4-11 06:29
腹部病变,ct平扫如同隔靴搔痒,建议增强后上传资料。
作者: yuhongjun    时间: 2010-4-11 13:59
肝脾肿大,脂肪肝,腹水。建议增强除外肝癌。
作者: 随光逐影    时间: 2010-4-11 16:54
脂肪肝,肝硬化,脾大,腹水。
建议:必要时行ct增强扫描检查。
作者: 黑白光影    时间: 2010-4-12 05:11
支持大家。




欢迎光临 医影在线 (http://bbs.radida.com/bbs/) Powered by Discuz! X3.2