


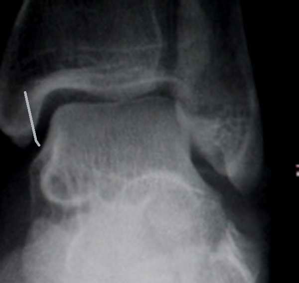
以下是引用黑白光影在2010-4-10 20:37:00的发言:[br]跟骨骨折。外踝也可能有骨折(外踝软组织很肿),距骨内侧有可能是楼主说的是重叠影也有可能是撕裂性骨折,只是在屏上翻拍片子不清楚。

以下是引用眼睛在2010-4-11 7:04:00的发言:[br]跟骨骨折比较明显,距骨改变同意重叠影一说。
以下是引用zhanggenliang在2010-4-10 21:26:00的发言:[br]跟骨骨折,此片不能诊断外踝骨折,可以说可疑,距骨内侧支持楼主重叠影一说。可以ct检查,也可以过几天血肿吸收后复查
| 欢迎光临 医影在线 (http://bbs.radida.com/bbs/) | Powered by Discuz! X3.2 |