医影在线
标题: CT25673:胸部 [打印本页]
作者: guojingtao260 时间: 2010-4-11 04:06
标题: CT25673:胸部
(结果公布:http://www.radida.com/bbs/forum.php?mod=viewthread&tid=71900)
【版主注:请上传该病例完整图片】
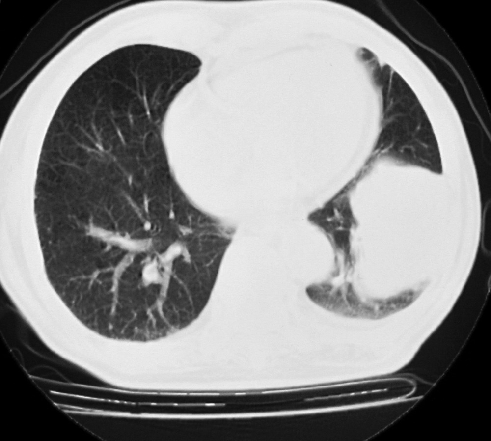
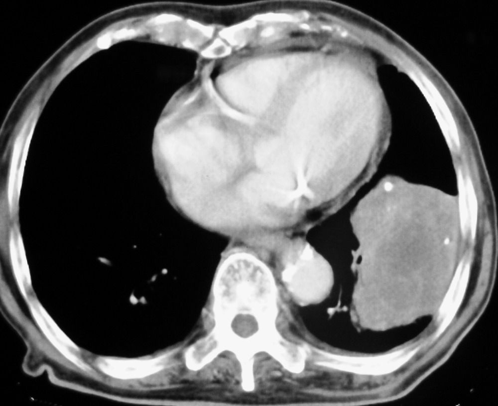
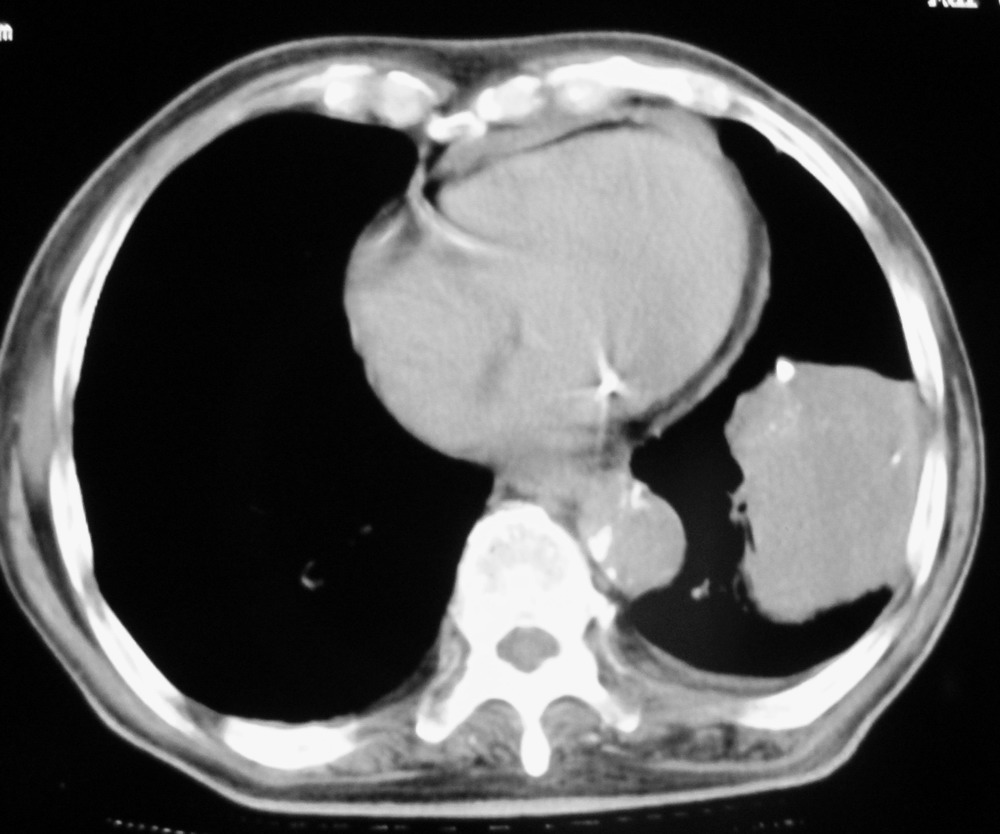
女,78,胸痛3个月,余无特殊。


[本贴已被 翁志蓬 于 2010-4-10 20:47:07 修改过]
[本贴已被 jiajie 于 2010-10-13 18:46:28 修改过]
作者: guojingtao260 时间: 2010-4-11 04:27
请各位老师指教
作者: guojingtao260 时间: 2010-4-11 04:29
请各位老师看一看,如何诊断
作者: 科室第一人 时间: 2010-4-11 04:43
肺癌,心包积液,右下胸膜肥厚。
作者: zxl51642 时间: 2010-4-11 05:19
图片少,不好说,动脉期强化好像不明显,老年人先考虑mt
作者: 123陈 时间: 2010-4-11 05:57
感觉像肺结核干酪灶同侧胸膜和心包结核。
作者: 小啊草 时间: 2010-4-11 06:47
肺结核干酪灶
作者: yuhongjun 时间: 2010-4-11 13:55
支持肺癌诊断。
作者: yangyudong333 时间: 2010-4-11 14:29
考虑肺癌,心包积液,右下胸膜肥厚。
作者: 随光逐影 时间: 2010-4-11 18:21
1)左肺下叶软组织肿块,不排除周围型肺癌可能。2)左侧少量胸腔积液。3)心包积液。4)冠状动脉及主动脉钙化。
作者: 黑白光影 时间: 2010-4-12 05:14
考虑肺癌,心包积液,右下胸膜肥厚。
作者: guojingtao260 时间: 2010-5-21 08:39
结果:肺癌
作者: pujunzhi 时间: 2010-5-21 15:32
谢楼主反馈结果(肺癌),学习了!
作者: 37度 时间: 2010-10-14 04:23
谢楼主反馈结果(肺癌),学习了!可惜不是病理结果。
作者: xiongneo 时间: 2010-10-14 06:16
学习了
作者: 影像之路 时间: 2010-10-17 03:17
谢楼主反馈结果(肺癌) 最好把完整图片传上来更有助于诊断
作者: hmp350310824 时间: 2010-10-17 03:43
支持肺癌
作者: 12640484 时间: 2010-11-6 08:08
学习
欢迎光临 医影在线 (http://bbs.radida.com/bbs/) |
Powered by Discuz! X3.2 |