医影在线

标题: CT25675:男 71 肺癌部分切除术后 3年 [打印本页]

作者: wsqyg    时间: 2010-4-11 04:27
标题: CT25675:男 71 肺癌部分切除术后 3年














































[本贴已被 翁志蓬 于 2010-4-10 20:49:13 修改过]

作者: 科室第一人    时间: 2010-4-11 04:39
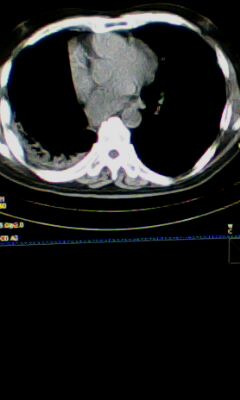
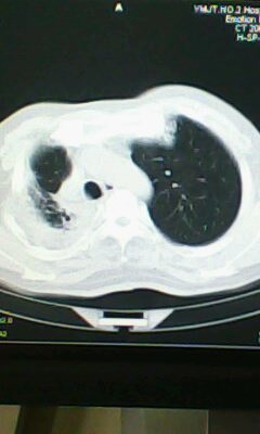
两肺感染性病变,右侧肺膨胀不全,左侧上叶结节影及左侧颈部淋巴结肿大建议复查。
作者: 随光逐影    时间: 2010-4-11 22:11
1)两肺感染性病变。2)右侧胸膜增厚。3)冠状动脉及主动脉钙化。
作者: zxczxc    时间: 2010-4-12 02:41
右肺癌切除术后。
右肺炎症,左肺炎症。
右侧胸膜肥厚。
作者: yangyang2000    时间: 2010-4-12 02:54
两肺感染性病变\\右侧胸膜增厚
作者: 杨军    时间: 2010-4-12 02:57
1.右肺符合肿瘤切除术后ct表现。
2.左肺炎症。
作者: zsl6918    时间: 2010-4-12 04:21
术后改变,双肺内纤维索条影考虑与放疗有关。
作者: 黑白光影    时间: 2010-4-12 05:18
标题: 回复:ct25675:男 71 肺癌部分切除术后 3年
以下是引用zsl6918在2010-4-11 20:21:00的发言:[br]术后改变,双肺内纤维索条影考虑与放疗有关。[br]





欢迎光临 医影在线 (http://bbs.radida.com/bbs/) Powered by Discuz! X3.2