医影在线
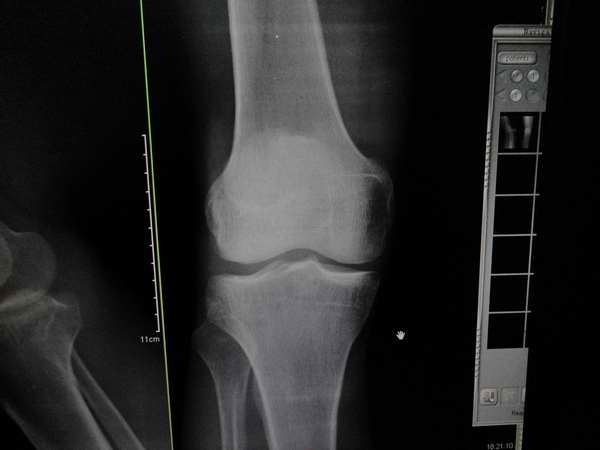
标题: X7107:看法,外伤,患者膝关节间隙内窄外宽改变,你们会不 [打印本页]
作者: 胡宇 时间: 2010-4-11 07:37
标题: X7107:看法,外伤,患者膝关节间隙内窄外宽改变,你们会不



[本贴已被 jiajie 于 2010-4-11 15:05:05 修改过]
作者: 胡宇 时间: 2010-4-11 08:50
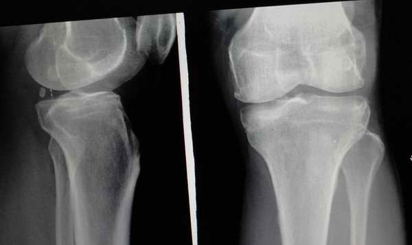
标题: 第二例病人,外伤线上的是不是平台陈旧性骨折


作者: yuhongjun 时间: 2010-4-11 12:59
1、外伤患者,可以提示半月板损伤,也可以写结合临床。
2、感觉不像平台的陈旧骨折。
作者: yangyudong333 时间: 2010-4-11 14:36
1 未见明显异常,2 不是骨折。
作者: 眼睛 时间: 2010-4-11 15:03
看不到的不要报 未见骨折征象
作者: dr.yang 时间: 2010-4-11 15:49
标题: 回复:看法,外伤,患者膝关节间隙内窄外宽改变,你们会
以下是引用yangyudong333在2010-4-11 6:36:00的发言:[br]1 未见明显异常,2 不是骨折。
作者: 老爱克斯 时间: 2010-4-11 15:49
半月板损伤是mri诊断的疾病。平片和ct不要乱下结论。
作者: 随光逐影 时间: 2010-4-11 16:35
第一例:建议行mri检查。
第二例:膝关节退行性改变;不排除内侧平台陈旧性骨折。
作者: dhlyq 时间: 2010-4-11 16:55
看不到的不要报 未见骨折征象
作者: 九月120 时间: 2010-4-11 19:12
提示“膝关节间隙内窄外宽改变,请结合临床或进一步检查”。看不见半月板,普放不能报。
作者: 柳依婷 时间: 2010-4-11 19:25
标题: 2
半月板损伤,平片和ct最多只能提示,不能肯定,因为看不到。可建议mr。
第二位病人,内侧平台陈旧性压缩骨折可能性大,建议ct。
[本贴已被 柳依婷 于 2010-4-11 11:28:14 修改过]
作者: jinguoji 时间: 2010-4-11 20:30
标题: 回复:看法,外伤,患者膝关节间隙内窄外宽改变,你们会
以下是引用老爱克斯新网客在2010-4-11 7:49:00的发言:[br]半月板损伤是mri诊断的疾病。平片和ct不要乱下结论。
作者: 黑白光影 时间: 2010-4-11 21:35
支持大家。
作者: 拂晓 时间: 2010-4-11 22:31
支持大家
作者: 影像之剑 时间: 2010-4-11 23:55
第二例考虑退行性改变。
作者: 谨言慎行 时间: 2010-4-12 00:55
标题: 回复:x7107:看法,外伤,患者膝关节间隙内窄外宽改变,
以下是引用随光逐影在2010-4-11 8:35:00的发言:[br]第一例:建议行mri检查。[br]第二例:膝关节退行性改变;不排除内侧平台陈旧性骨折。
作者: wajkzd 时间: 2010-4-12 03:53
1所示未见明显异常~
2提示退行性改变~
作者: wangxingjian 时间: 2010-4-12 04:04
提示“膝关节间隙内窄外宽改变,请结合临床或进一步检查”。看不见半月板,普放不能报。
作者: 拾荒者 时间: 2010-4-12 04:27
第一个病例报告时要提示膝关节间隙馁窄外宽改变,建议结合临床或进一步检查,第二个病例支持考虑胫骨平台骨折后改变。
作者: zhangkening 时间: 2010-4-12 04:30
反正是退变所致的间隙变窄。
作者: zxl51642 时间: 2010-4-12 04:40
半月板损伤,平片和ct最多只能提示,不能肯定,因为看不到。可建议mr。
第二位病人,内侧平台陈旧性压缩骨折可能性大,建议ct。
作者: chenqiaohui 时间: 2010-4-12 05:22
“膝关节间隙内窄外宽”如果没有外伤病史的话,也可以是膝关节退行性骨性关节病的表现,有没有半月板损伤平片没有权力诊断,有外伤史可以结合临床看外侧副韧带有没有损伤,拍双膝夹枕位片可有助于诊断
作者: dyqct 时间: 2010-4-12 05:31
标题: 回复:x7107:看法,外伤,患者膝关节间隙内窄外宽改变,
以下是引用随光逐影在2010-4-11 8:35:00的发言:[br]第一例:建议行mri检查。[br]第二例:膝关节退行性改变;不排除内侧平台陈旧性骨折。
支持 !
作者: zhanggenliang 时间: 2010-4-12 05:44
第一例可报:内窄外宽改变,建议mri检查。第二例考虑有胫骨平台陈旧性骨折
作者: linyiming 时间: 2010-4-12 09:51
看不到的不要报 未见骨折征象
| 欢迎光临 医影在线 (http://bbs.radida.com/bbs/) |
Powered by Discuz! X3.2 |