医影在线
标题: CT25682:腹部肿块,有病理结果 [打印本页]
作者: zenxisengming 时间: 2010-4-11 16:28
标题: CT25682:腹部肿块,有病理结果
(结果公布:http://www.radida.com/bbs/forum.php?mod=viewthread&tid=71901)
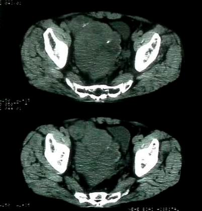
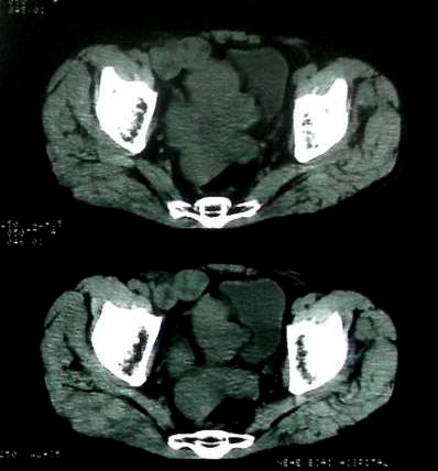
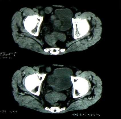
男 60岁,下腹部肿块半年余
















[本贴已被 jiajie 于 2010-4-11 14:53:10 修改过]
[本贴已被 jiajie 于 2010-10-13 18:49:51 修改过]
作者: DDN 时间: 2010-4-11 16:39
前列腺肥大,密度不均。伴盆腔实性肿块。考虑前列腺癌伴盆腔转移。建议增强扫描。
作者: 随光逐影 时间: 2010-4-11 22:18
不排除间质瘤并腹膜后转移可能。
作者: zxczxc 时间: 2010-4-12 02:44
腹膜后肿瘤。间叶瘤。
前列腺增大。
作者: 杨军 时间: 2010-4-12 02:54
考虑来源于肠道的肿瘤,乙状结肠?询问排便情况
作者: zsl6918 时间: 2010-4-12 03:52
盆腔恶性占位,间质瘤可能性大
作者: panyishengct 时间: 2010-4-12 04:29
考虑来源于肠道的肿瘤.
作者: zxl51642 时间: 2010-4-12 04:49
乙状结肠间质瘤
作者: 黑白光影 时间: 2010-4-12 05:35
盆腔恶性占位,间质瘤可能性大。
作者: pujunzhi 时间: 2010-4-12 08:50
考虑盆腔内间质瘤可能性大。
作者: yuhongjun 时间: 2010-4-12 13:53
盆腔恶性占位,间质瘤可能性大。
作者: zenxisengming 时间: 2010-4-13 22:17
病理结果:肠系膜肉瘤
作者: zenxisengming 时间: 2010-4-13 22:20
这个结果怎么可以在分类结果里显示出来呀?
作者: 37度 时间: 2010-10-14 04:21
什么肉瘤呢?
作者: ghp3522 时间: 2010-10-14 04:57
肠系膜的原发性肠系膜肿瘤比较少见,大体可分为囊性和实性两类。囊性肿瘤多为良性。实性肿瘤可以为良性和恶性,恶性肿瘤以恶性淋巴瘤为最多,其次是脂肪肉瘤、平滑肌肉瘤、纤维肉瘤等。恶性肿瘤约占实体肿瘤的6% [1] 。文献资料显示原发性肠系膜肿瘤约7%位于小肠系膜,其中60%位于回肠系膜和肠系膜根部,结肠系膜和阑尾系膜仅占20%左右 [2] 。由于肠系膜肿瘤在临床上不多见,症状无特异性,起病隐匿,早期可无症状,只有当肿瘤增大压迫周围的组织脏器时,才有可能出现相应的症状,并且这些症状常与邻近器官受压有关。腹部包块是主要的症状,临床表现为发热、乏力、腹部隐痛不适和饱胀感、消瘦,偶有呕吐及便秘,当肿瘤出血和囊肿突然增大时,可有腹痛,压迫症状有肠梗阻,下肢肿胀,肾盂积水等表现。体格检查时可触及腹部肿块,且活动度好,尤其是横向移动。b超可早期发现腹块,并可确定大小、性质及部位。x线钡剂灌肠检查,虽然不能提供系膜肿瘤的直接诊断依据,可显示为与肠管关系密切之外在性肿物,并可排除肠管、泌尿系等疾病[3] 。腹腔镜对原因不明的腹痛及性质不明的腹块,既可定性又可定位,其正确诊断率为74% [4] 。肠系膜良性肿瘤和恶性肿瘤的病程长短进行比较,恶性肿瘤绝大多数病程均在半年以内,没有超过2年以上。良性肿瘤大多数病程均在2年以上。这一点在诊断上具有鉴别意义。
作者: cfililiu 时间: 2010-10-14 16:17
多谢,学习了
作者: 影像之路 时间: 2010-10-17 03:14
病理结果:肠系膜肉瘤 学习了 感觉与间质瘤不好鉴别
作者: 拾荒者 时间: 2010-10-17 04:52
病灶形态不规则,偏心性裂隙样坏死,支持恶性病变。来源不好定。感谢反馈结果--肠系膜肉瘤。
作者: 透明的蓝 时间: 2010-10-20 20:36
标题: 回复:ct25682:腹部肿块,有病理结果
以下是引用影像之路在2010-10-16 19:14:00的发言:[br]病理结果:肠系膜肉瘤 学习了 感觉与间质瘤不好鉴别
谢谢,学习了,对于少见病例只有见一个记一个,在诊断时多考虑
作者: 12640484 时间: 2010-11-6 08:06
学习
欢迎光临 医影在线 (http://bbs.radida.com/bbs/) |
Powered by Discuz! X3.2 |